Estudio por imagen de la patología mesentérica y peritoneal

Jorge Antonio Nogales Montero, Yonil Gregorio Piña Alcántara, Rocio Mora Monago, Ana López Moreno, Jose Pedro Mora Encinas, Beatriz Martin Martin

Sed ut perspiciatis unde omnis iste natus sit voluptatem accusantium doloremque laudantium, totam rem aperiam.

Ver

Lesiones hiperecogénicas de la mama

Amàlia González López, Viviana P. Beltrán Salazar, Sergi Ganau Macías, Amaya Martín Olóriz, Melcior Sentís Crivellé

Sed ut perspiciatis unde omnis iste natus sit voluptatem accusantium doloremque laudantium, totam rem aperiam.

Ver

Neoplasias más frecuentes en edad pediátrica diagnosticadas en urgencias

Johanna Marcela Vasquez Veloza, Monica Rebollo Polo, Lucia Riaza Martin, Maria Navallas Irujo, Emili Inarejos Clemente

Sed ut perspiciatis unde omnis iste natus sit voluptatem accusantium doloremque laudantium, totam rem aperiam.

Ver

General

 

 

Radioprotección y seguridad en CT decálogo de buenas prácticas.

Carlos Padrón Pérez, Antonia Sanchez Crespo, Francisco Javier Guerrero Bravo, José Manuel Cordero
PDF

Pruebas de imagen avanzadas (RM cuerpo entero y PET/TC) en Mieloma Múltiple.

Paula Gamo Villegas, Sonia Allodi De La Hoz, Jorge Cabezudo Pedrazo, Esther Llorente Herrero, Virginia Peiro Valgañón, Adina Florina Negoita
PDF

De imaginatio Radiologum

Roberto Fornell Pérez, Amparo Givica Pérez, Juan Sánchez Flores
PDF

Un nuevo profesionalismo para Radiólogos, ¿lo necesitamos?

Jesús Guzman Revuelta
PDF

Utilidad de la 18FDG PET-TC y RM de cuerpo entero en el estudio del Mieloma Múltiple (MM).

Paloma Largo Flores, Nieves Gomez León, Beatriz Aguado Bueno, María Luz Parra Gordo, Luisa Fernanda Leon Ramirez, elena Ocon Alonso
PDF

TROMBOEMBOLISMO PULMONAR (TEP) Y SUS COMPLICACIONES

Ángeles Silva Rodríguez, Raquel García Latorre, Laura García Alonso De Caso, Almudena Ureña Vacas, Luis Gorospe Sarasúa
PDF

Algoritmos diagnósticos en la patología glandular de cabeza y cuello. Cómo realizar el manejo clínico-radiológico de las patologías más frecuentes.

María Dolores Monedero Picazo, Luisa Requeni Monfort, Ángels Meseguer Ripollés, María Dolores Reyes Ojeda, Juan Manuel Pazos Guarín, Fernando Brahm Mallagaray
PDF

¿Como informar una fractura de miembro inferior? Lo que el radiólogo necesita saber.

María Antonia Garrido Collado, Leandro Jesús Delgado Escudero
PDF

La Calota....... La gran olvidada

Daniel Zarranz Sarobe, Juliana Mesa García, Jennifer Barredo Parra, Josu Mendiola Arza, Nerea Hormaza Aguirre, Esther Riñones Mena
PDF

Estudio Deglutorio Abordaje Interdisciplinario

María Claudia Tarzián Engraff, María Andrea Zanetti Durand, María Evangelina Simos Martinez, María Silvia Sánchez Iriarte
PDF

BIOPSIA CON AGUJA GRUESA GUIADA RADIOLÓGICAMENTE EN EL DIAGNÓSTICO DE SARCOMAS Y TUMORES LOCALMENTE AGRESIVOS ÓSEOS

Consuelo Grassi Zamora,, José Antonio Narváez Garcia, Javier Hernández Gañán, Jaime Isern Kebschull, Xavier Sanjuan Garriga
PDF

Estudio radiológico del Cáncer Renal

Clara Rodríguez Godoy, Milagros Milán Rodríguez, Sara Comellas Cruzado, Elena Esteban Durán, Danyelle Sánchez Paré, Ana María López Moreno
PDF

Comparación de las secuencias Steady-State y las secuancias T2 SE en la valoración de las estenosis del acueducto de Silvio

Miguel Gonzalo Domínguez, María Cristina Hernández Rodríguez, Juan Antonio Juanes Méndez, Margarita Rodríguez Velasco
PDF

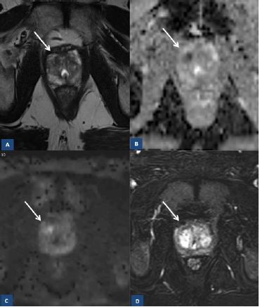
Caracterización de lesiones prostáticas con RM multiparamétrica 3 T: Comparación nuevo modelo de lectura PI-RADS versión 2 versus el modelo subjetivo Likert

Violeta Catalá Sventzetzky, Olga Mayordomo Mayordomo, Salvador Esquena Fernandez, F. Algaba Arrea, M.J. Martinez Barcina
PDF

VALOR DE LOS HALLAZGOS RADIOLÓGICOS EN EL DIAGNÓSTICO DE LINFOMAS CEREBRALES PRIMARIOS

Fernando Carretero López, Jorge Mario Sánchez Reyes, Rebeca Vara Cilla, Teresa Corbalán Sevilla, Lara Nuñez Moreno, Nathali Guiracoche Papetti
PDF

Clasificación de Bosniak. Lo que todo radiólogo debe saber

Clara Rodríguez Godoy, Sara Comellas Cruzado, Milagros Milán Rodríguez, Danyelle Sánchez Paré, Luis Fernández Prudencio, Gema Guerrero Martínez
PDF

Patología infecciosa del sistema nervioso central en inmunocompetentes: Hallazgos en TC y RM

Lander Antón Méndez, María Udondo González Del Tánago, Jaun José Gómez Muga, María del Mar Sarmiento De La Iglesia, Sandra Delgado Saiz, Clara Morandeira Arrizabalaga
PDF

TUMORES DEL ESTROMA GASTROINTESTINAL. CARACTERÍSTICAS RADIOLÓGICAS Y EVALUACIÓN DE LA RESPUESTA AL TRATAMIENTO

Carmen Martínez Huertas, Ana Milena Muñoz, Virginia Jimenez Coronel, Macarena Eisman Hidalgo, Inmaculada C. Valero Rosa, Mª Antonia Garrido Collado
PDF

HAMARTOMATOSIS BILIAR MÚLTIPLE; HALLAZGOS RADIOLÓGICOS Y DIAGNÓSTICO DIFERENCIAL.

Astrid López Secades, Marta Ornia Rodriguez, Irene González Ardines
PDF

Recurrencia de la enfermedad de Crohn en la anastomosis ileocolica: hallazgos por EnteroRM

Alejandro Vara Castrodeza, Jesús Barrio Andrés, Ramón Atienza Sánchez, Francisco Brunie Vegas, Manuel Fajardo Puentes, Gabriel Carlos Fernández Pérez
PDF

EVALUACIÓN DE RESPUESTA TRAS NEOADYUVANCIA EN CÁNCER DE RECTO. HALLAZGOS EN RM

Javier Encinas De La Iglesia, Miguel Ángel Corral De La Calle, Gabriel Carlos Fernández Pérez
PDF

LOE hepática incidental: Diagnóstico diferencial

Raquel Pérez Pérez, Marta Elena Gómez Gil, Juan Antonio Hernández Ponce, Alba Alonso De León, Cristina González Delgado, María Soledad Pastor Santoveña
PDF

¿Utilizamos correctamente los estudios de columna completa para valoración de la escoliosis?

Mª Francisca Cegarra Navarro, Laura Abenza Oliva, María Victoria Redondo Carazo, Maria Del Carmen Alcántara Zafra, María Jesús Fernández Ferrando, Carmen Ojados Hernández
PDF

Estudio por RM de los tumores de partes blandas en la mano. Revisión de los casos de nuestro hospital.

Maria Simonet Redondo, Idoia Santos Gomez, David Martínez De La Haza, Antonio Marín Cañete, Isabel Puig Povedano, Ana Maria Sánchez Laforga
PDF

Anomalías congénitas nefrourológicas: Un paseo ecográfico

Cristina González Delgado,, Leonor López Morales, Raquel Pérez Pérez, Yolanda Marcelino Reyes, Daniel Batista Martín, María Soledad Pastor Santoveña
PDF

FALSOS POSITIVOS POR AUMENTO EN LA DETECCIÓN DE LESIONES HISTOLÓGICAS DE ALTO RIESGO (LHAR) CON TOMOSÍNTESIS.

Manuela Parras Jurado, Paloma Quevedo Moreno, Cristina Márquez González, Cristina Miró Guillén, Olga Martín Ruíz
PDF

Aproximación a la composición química de las litiasis renales mediante el uso de Tomografía Computerizada Multi Detector (TCMD).

Alfonso Illade Fornos, Rubén Díez Bandera, Rosa Bouzas Sierra, Rubén Méndez Rodríguez, Cristina Collazo Abal, Juan Manuel Vieito Fuentes
PDF

Mediastinitis aguda: explorando los límites de la fascia cervical profunda.

Andrea Lopez Martinez, Milivoj Franulic Guggiana, Cristina Martinez Ocaña, Patricia Moise Cosano, Cristina Martinez Medialdea
PDF

HIBERNOMA: NUESTRA EXPERIENCIA EN 16 PACIENTES

Mario Huete Naval, Jaime Isern Kebschull, José Antonio Narvaez García, Javier Hernández Gañán, Xavier Sanjuan Garriga, Salutario Martínez
PDF

PET/TC básico para residentes

Antonio Ginés Santiago, Felipe Gómez-Caminero López, Palom García-Talavera San Miguel, Luis Gonzaga Díaz González, Cristina Mostaza Sariñena, Gabriel C. Fernández Pérez
PDF

Papel de la RM cuerpo entero en el manejo del Mieloma Múltiple (MM).

Esther Fernandez Pardavila, Amaia Guisasola Iñiguez, Ion Guruz Esnal Andueza, Mikel Beristain Mendizabal, Jose María Alústiza Echeverría
PDF

Seguridad en RM: Qué se puede y qué no se puede introducir en un equipo de RM.

Raul Mut Pons, Elena Miralles Aznar, Victor Moreno Ballester, Elsa Alonso Muñoz, Diego Soriano Mena, Eugenio Sanchez Aparisi
PDF

Patrones de edema cerebral en el estudio tomográfico urgente. Guía de manejo precoz desde una perspectiva comarcal.

Sergio Tapia Concha, Beatriz González Humara, Adela Delgado Tapia, Mónica Del Riego Martínez, José Alonso Alonso
PDF

Segmentación con Software Libre 3D Slicer del espacio subaracnoideo para la representación tridimensional en estudios morfométricos y volumétricos.

Miguel Gonzalo Domínguez, María Cristina Hernández Rodríguez, Juan Antonio Juanes Méndez, Juan Chaviano Grajera, Sara Higuero Hernando, Rodrigo Blanco Hernández
PDF

El A, B, C, de la evaluación ganglionar con Ultrasonidos.

Guillermo Alejandro Gonzalez Alvarado, María Jesús Fernández Ferrando, Carmen María Aleman Navarro, Maria Del Carmen Alcantara Zafra
PDF

Lipoma sinovial arborescente: lo que el radiólogo debe saber

Guillermo García Gutiérrez, Alejandro Espejo Reina, Pedro Gutiérrez Chacón, Francisco Amores Ramírez, Alejandro Espejo Baena
PDF

OSTEOMIELITIS: CORRELACIÓN DE HALLAZGOS RADIOLÓGICOS PARA UN ADECUADO DIAGNÓSTICO PRECOZ. CORRELACIÓN DE HALLAZGOS RADIOLÓGICOS PARA UN ADECUADO DIAGNÓSTICO PRECOZ.

Susana Bahamonde Cabria, Blanca Esther Viñuela Rueda, Pilar Sanz López, Beatriz Bañares González, Begoña Encinas Gaspar, Carmen Niño Rojo
PDF

¿Ayudan las secuencias potenciadas en Difusión en el estadiaje del cáncer de recto a los radiólogos menos experimentados?

Roberto Fornell Pérez, Esteban Pérez Alonso, Juan Francisco Loro Ferrer, Valentina Vivas Escalona, Joel Aranda Sánchez, María Carmen González Domínguez
PDF

PELVIMETRIA-RM, que debemos saber?

Blanca Prieto Hernández, Roberto Domingo Tabernero Rico, Rodrigo Blanco Hernandez, Ignacio Martin Garcia, Sara Higuero Hernando, Juan Chaviano Grajera
PDF

LESIONES DE PARTES BLANDAS DE LA MANO: hallazgos radiológicos

Marta Lobo García, Cristina Fernandez Rey, Ana Vargas Díaz, Javier Pereda Rodriguez, Diana Garcia Casado, Monserrat Garrido Blazquez
PDF

PATOLOGÍA OCULAR: OFTALMÓLOGO ¿EN QUÉ LE PUEDO AYUDAR?

Sara Lojo Lendoiro, Raquel Esteban Saiz, Berta Pinto Vargas, Marta Gallego Riol
PDF

PRUEBAS DE IMAGEN EN EL DIAGNÓSTICO Y SEGUIMIENTO DEL MELANOMA CUTÁNEO

Claudia Lorena Martinez Higueros
PDF

¡Alarma, gas en el periné!, ¿qué es lo que hay que saber sobre la gangrena de Fournier?

José Ignacio Barragán Tabarés, Blanca Esther Viñuela Rueda, Susana Bahamonde Cabrie
PDF

Melanoma metastásico

Cristina Del Pilar Liberato Cano, María José Calvo López, Alejandro Pérez Martín, Cristina García Villar
PDF

Quiste hidatídico hepático

Cristina Del Pilar Liberato Cano, Maria Jose Calvo López, Cristina García Villar, Macarena Sanchez-Carpintero De La Vega
PDF

“La mejor posición” en RM para valorar el tendón distal del bíceps braquial

Luis Lopez Ruiz, Ana Plaza Molero, Mirian Villanueva Anguita, Sergio Garcia Fauro, Juan Bachiller Egea
PDF

Experiencia con un programa de administración contraste yodado intravenoso PT3 (Patient Personalized Protocolo ) en TC

Mar Perez-Peña Del Llano, Irene Gutierrez Perez, Cecilia Quispe Leon, Elena Guerra Del Barrio, Cristina Gonzalez Huerta, Sana Shehadeh
PDF

Tumores de partes blandas más frecuentes del pie.

Mónica Fernández Blanco, Raquel Seijo Rodríguez, Sabela Barreiro Villalustre, Vanesa Taboada Rodríguez, Juan Manuel Vieito Fuentes, Mercedes Arias González
PDF

Más allá del absceso retrofaríngeo: tendinopatía retrofaríngea aguda calcificante ¿realidad o ficción?

Raquel Seijo Rodríguez, Mónica Fernández Blanco, Ana María Afonso Centeno, Sabela Barreiro Villalustre, Vanesa Taboada Rodríguez, Juan Manuel Vieito Fuentes
PDF

CONTRASTES YODADOS Y SUS REACCIONES ANAFILACTICAS: PROFILAXIS Y TRATAMIENTO. EXPERIENCIA EN UN HOSPITAL COMARCAL.

Israel Fernández Muñoz, Sara Roldán Baños, Jose Angel Flores García
PDF

MEDIOS DE CONTRASTE RADIOLOGICOS Y SU SEGURIDAD EN LA PRACTICA CLINICA.

Israel Fernández Muñoz, Sara Roldán Baños, Jose Angel Flores Garcia
PDF

El linfoma, más allá de la afectación ganglionar.

Maria Carmen Ballesteros Reina, Olga Victoria Guerrero Mayor, Natividad Rebollo Garcia, Carmen Lozano Calero, Blanca Morón Rodriguez, Ana Villar Puerta
PDF

RADIOLOGIA Y EMBARAZO, UNA SITUACIÓN DELICADA SIEMPRE PRESENTE

Elisa Cuartero Martínez, Ana Rodríguez Molina, Laura Domínguez Gómez, Laura Peñuela Ruiz, Ana Tapia Guerrero, María José Regaña Feijoo
PDF

Nódulos tiroideos. Experiencia en 386 pacientes.

Marcelo Rengel Ruiz, Juan Manuel Sanchis Garcia, Susani Flores Casaperalta, Rocio Gil Viana, Alvaro Pesquera Muñoz, Juan Jose Pomares Pomares
PDF

Exposición radiactiva en pacientes durante la exploración PET/TC con 18-FDG

JR Garcia Garzon, Marina Soler Peter, Maria Valentina Vivas Escalona, Adela Carnicer Cáceres, Mercè Ginjaume Egido, Miguel Baquero Munuera
PDF

Alteraciones anatómicas en los Situs Inversus

Eva Sánchez Lalana, Montserrat Guasch Marcé, Eva María Lacoma Latre, Pedro Jaime Rubio Barlés, Jose Manuel Bescós Marín
PDF

Leiomiomatosis Benigna Metastatizante, entidad infrecuente. Revisión de la Literatura.

Alba Mas Sanchez, Rosa Jimenez Yanez, Ángeles Franco López, Fátima García Navarro, María Eugenia Arias Laverde, Laura Humanes López
PDF

VENTAJAS EN LA UTILIDAD DE UN PROGRAMA P3T (PROTOCOLO PERSONALIZADO POR PACIENTE) EN TOMOGRAFIA COMPUTERIZADA.

Elena Díaz Alonso, Regina Díaz Boiles, Elvira Fernandez Martinez, Mónica Vilela Gafo, Nieves García Rodriguez, Mar Perez-Peña Del Llano
PDF

EVALUACIÓN ECOGRÁFICA DEL HEMARTROS EN LA HEMOFILIA GRAVE CON TRATAMIENTO SUSTITUTIVO A DEMANDA

Silvia Caparrós Cánovas, Carolina Martínez Gamarra, Mar Tapia Viñé, Daniel Bernabéu Taboada, Víctor Jiménez Yuste
PDF

MANEJO DEL NÓDULO TIROIDEO: UNA CLASIFICACIÓN FÁCIL DE APLICAR.

Margarita González Fernández, Elisa Cuartero Martínez, Antonio Márquez Moreno, Guillermo García Gutierrez, Victoria Romero Laguna, María Lucía Bermá Gascón
PDF

Realce de la médula ósea vertebral en TC con contraste por dilatación del sistema venoso basivertebral. No es malo todo lo que reluce.

Eñaut Garmendia Lopetegui, Ion Gurutz Esnal Andueza, Mikel Beristain Mendizabal, Idoia Echegoyen Juaristi, Ane Etxeberria Del Campo, Elena Inchausti Iguiñiz
PDF

REVISIÓN RADIOLÓGICA DEL MAPA GANGLIONAR EN EL CÁNCER DE PULMÓN

Laura Cadenas Rodríguez, Marga Muro Díaz, Marta Guirado Blazquez, Juan Romero Coronado, Javier Fernández Jara
PDF

La Deficiencia de Vitamina B y el Sistema Nervioso Central: no más confusiones

Diego Páez Granda, Juan Francisco Martínez Martínez, Santiago Ibañez Caturla, Antonio Navarro Baño, Andrés López Sánchez, Victoria Vázquez Sáez
PDF

CORRELACIÓN CLÍNICO - RADIOLÓGICA EN LA ESTADIFICACION DE LA OSTEONECROSIS MAXILAR POR BIFOSFONATOS

Inmaculada Bañón García, Laura Serrano Velasco, Francisca Velazquez Marín, María Dolores Morales Cano
PDF

Fistulas perianales. Experiencia de uso de RM en nuestra institución

Esther Domínguez Ferreras, Mercedes Estaire Gomez, Teresa Gómez San Román
PDF

LA SONOELASTOGRAFIA EN LOS TUMORES SUBCUTANEOS: NUEVAS APLICACIONES, NUEVOS ARTEFACTOS

Elena Gallardo Agromayor, Rosa Landeras Alvaro, Marta Drake Perez, Vanesa Gómez Dermit, Rosa De La Puente Formoso, Gerardo Lopez Rasines
PDF

ANEMIA FALCIFORME. ¿QUÉ PODEMOS ENCONTRAR Y POR QUÉ?

Noelia Padrón Rodríguez, Ruth Domene Moros, Patricia Menal Muñoz, Jose Andrés Guirola Ortiz, Yasna Villegas Mora, Marta Martínez Montalbán
PDF

Utilidad de la videofluoroscopia en el diagnóstico de la disfagia.

Jorge Costa Fernández, Blanca Morón Rodríguez, Natividad Rebollo García, Carmen Lozano Calero, Jimena Abiles Osinaga, Ana Román Casares
PDF

SONOELASTOGRAFIA EN LAS LESIONES QUISTICAS SUBCUTANEAS

Marta Drake Perez, Rosa Landeras Alvaro, Sara Sanchez Bernal, Alexandra De Diego Perez, Vanesa Gomez Dermit, Elena Gallardo Agromayor
PDF

Inyección percutánea de alcohol para tratamiento de metástasis de ganglio linfático cervical en pacientes con carcinoma tiroideo papilar y medular.

Ricardo Paz Fumagalli
PDF

Valoración de los márgenes de resección en cirugías de sarcomas mediante técnicas de imagen.

Miguel Paniagua González, Carlos Pérez García, Javier Pascau González-Garzón, Eduardo Alvarado Vásquez, María Silos Viu, Felipe Calvo Manuel
PDF

MANIFESTACIONES RADIOLÓGICAS DE LA ESQUISTOSOMIASIS. REVISIÓN DEL TEMA.

Virginia Jiménez Coronel, Laura Díaz Rubia, Carmen Martínez Huertas, Mariola Gutiérrez Gallardo, Cristina Dávila Arias
PDF

Amígdalas: Lo que el radiólogo debe saber.

Yolanda Marcelino Reyes, Maria Adela Rodriguez Fuentes, Daniel Batista Martin, Cristina Gonzalez Delgado, Natalaia Mylonas Leegstra, Maria Soledad Pastor Santoveña
PDF

CRISIS DEL EBOLA. MANEJO ESPECÍFICO Y PREVENCIÓN DE CONTAGIOS EN EL SERVICIO DE RADIODIAGNÓSTICO.

Ana Rodriguez Molina, Lucía Bermá Gascón, Tania Pirogova ., Marina Andres Martinez, Maria Rodriguez Molina, Margarita Gonzalez Fernandez
PDF

SINDROME DE EAGLE: UNA PATOLOGÍA INFRADIAGNOSTICADA

Marta Martínez Montalbán, Beatriz Carro Alonso, Carlos Eduardo Paradisi Chacón, Eva Maria Lacoma Latre, Ruth Domene Moros, Noelia Padrón Rodriguez
PDF

¡Que no cunda el pánico! EMBARAZADA Y RADIOLOGIA, qué debemos saber.

Marta Martínez Montalbán, Eva María Lacoma Latre, Beatriz Carro Alonso
PDF

"El que busca encuentra" más allá de un trombo.

Luisa Fernanda Taborda Ramirez, Covadonga Del Riego Nespral-Fernandez, Jorge Cabezudo Pedrazo, Paula Gamo Villegas, Sonia Allodi De La Hoz, Adina Negoita Negoita
PDF

Cornada envainada: una lesión desconocida pero potencialmente letal.

Luis Gijón De La Santa, Irene Méndez Mesón, José Antonio Pérez Retortillo, Lidia Nicolás Liza, Ainhoa Camarero Miguel, José Manuel Ramia Ángel
PDF

Club Bibliográfico SERAM: una contribución de los residentes a la comunidad científica radiológica

Patricia Camino Marco, José Andres Guirola Ortíz, Gloria Maria Coronado Vilca, Miguel Schüller Arteaga, Mariano Facundo Werner Reyes, Noelia Padrón Rodríguez
PDF

BIOPSIA GUIADA POR ESTEREOTAXIA. CORRELACION CON BIOPSIA QUIRURGICA.

Sara Plaza Loma, Yolanda Rodríguez De Diego, Cristina Mostaza Sariñena, Ana Arnal Burró, Francois Xavier Emilie Brunie Vegas, Manuel Fajardo Puentes
PDF

Presentación atípica de metástasis en carcinoma papilar de tiroides.

Yasna Villegas Mora, Diego Dotti Gonzalez, Jose Andres Guirola Ortíz, Noelia Padrón Rodríguez, Ruth Domene Moros, Patricia Menal Muñoz
PDF

Punción aspiración con aguja fina guiada radiológicamente en el diagnóstico de los sarcomas de partes blandas

Mario Huete Naval, Jose Antonio Narváez García, Anna Güell Bara, Javier Hernández Gañán, Jaime Isern Kebscull, Xavier Sanjuán Garriga
PDF

EMBOLIZACIÓN PREQUIRÚRGICA DE GRANDES NEUROFIBROMAS PLEXIFORMES

Bibiana Aristizábal Buitrago, Ana María Fernández Martínez, Oscar Balboa Arregui
PDF

Radioprotección: papel del radiólogo en la práctica diaria.

María Montserrat Duh, Juan Carlos Rodriguez
PDF

Hallazgos radiológicos en el Síndrome SHAPO

Inmaculada Alcantud González, Juan Luis Sánchez Rocamora, Cristina López Cárceles, Lorenzo Abad Ortiz, Germán Maldonado Hermoso, José Javier Solera Santos
PDF

Manifestaciones radiológicas musculares de las lesiones por denervación.

Inmaculada Alcantud González, María Isabel Tercero Azorín, Patricia Camino Marco, Rosa María Collado Jiménez, Lorenzo Abad Ortiz, Elena Lozano Setién
PDF

Criterios de respuesta tumoral. Cuanto de necesario es el radiólogo en la actualidad.

Juan Antonio Hernández Ponce, Daniel Batista Martín, Pierre Lemercier, Sergio Pitti Reyes, María Soledad Pastor Santoveña
PDF

Sialectasia del conducto de Stenon

José Lope Garrido Rull, Juan García Villanego, Alejandro José García Muñoz, Maria Rosario Campos Arenas, Macarena Sanchez-Carpintero De La Vega, Marina Cristina Sánchez-Porro Del Rio
PDF

Escuela-Hospital en formación de TSID. Nuestra experiencia

Manuel Delgado Márquez, Paloma Chimeno Herrero, Juan Alfonso Soria Jerez, Maria Ester López Rodríguez, César Canales Pimentel
PDF

Soy Tutor de Residentes. ¿Lo estoy haciendo bien?

Manuel Delgado Márquez, Jorge Cobos Alonso, Paloma Chimeno Herrero
PDF

Hallazgos Y Limitaciones (“pitfalls”) De La Ecografía Doppler En La Disfunción Eréctil

Sonia Santos Ochoa De Eribe, Jone Sagasta Urrutia, Oleksandr Ostapenko Xx, Laura Alonso Irigaray, Virginia Vuelta Resa
PDF

Papel del radiólogo en la sepsis grave: qué técnicas realizar y cuándo.

Ana Tapia Guerrero, María Lucía Bermá Gascón, Ana Rodríguez Molina, Eva García Carrasco, Tania Díaz Antonio, Laura Peñuela Ruiz
PDF

Hernia Medular Transdural Idiopática: Cuándo Pensar En Ella Y Cómo Diagnosticarla.

Ana Tapia Guerrero, María José Regañá Feijoo, Eva García Carrasco, Laura Domínguez Gómez, Rafael Aguilar Cuevas, Laura Peñuela Ruiz
PDF

EL PACIENTE INMUNOSUPRIMIDO: PATRONES DE AFECTACIÓN INFECCIOSA DEL SNC

Laura Koren Fernández, Amaya Hilario Barrio, Elena Salvador Alvarez, Constanza Liébana De Rojas, Ana Ramos González
PDF

Anatomía y patología del espacio subglúteo.

Amaya Fernández- Argüelles García, Mercedes Vallejo Márquez, Vinicius Bianchi Batista, Máximo Villalba Varona, Juan Ribera Zabalbeascoa
PDF

Papel de la ecografía en la valoración de la diseminación locorregional del melanoma.

José María Bondia Gracia, Jose Miguel Madrid Pérez, Jesús Dámaso Aquerreta Beola
PDF

Apariencia por imagen de la metalosis.

José María Bondia Gracia, José Miguel Madrid Pérez, Jesús Dámaso Aquerreta Beoala
PDF

Metástasis de liposarcomas mixoides: nuestra experiencia y revisión de la literatura

Jorge Calbo Maiques, Concepción Crespo Martínez, Mª Eugenia Arias Laverde, Fátima García Navarro, Alba Mas Sánchez, Mª José Mayol Belda
PDF

ESTRATEGIAS DE REDUCCION DE DOSIS EN TC

LORENZO Pastor Hernández, Nuria Fernández García, Esther Montes Pérez, Luciaº Raposo Rodríguez, Oscar Fernández Guinea
PDF

Neuromas traumáticos: diagnóstico por imagen y opciones terapéuticas

Jorge Calbo Maiques, Mª Carmen Castro Copete, Alba Mas Sánchez, Mª Eugenia Arias Laverde, Fátima García Navarro, Concepción Crespo Martínez
PDF

Hallazgos radiológicos en la enfermedad de Rosai-Dorfman.

Carolina Calvo Corbella, Ana Sánchez Martín, Antonia Gil Sierra
PDF

Linfangiografía Con Lipiodol En El Tratamiento De La Fuga Linfática

Dolores Lora Jiménez, Santiago Gil Sánchez, Irene García Pastor, Alberto Quirce Vázquez, Fernando Sánchez
PDF

"ANGINA DE LUDWIG: ¿QUÉ QUIERE SABER EL CIRUJANO?"

Macarena Sánchez-Carpintero De La Vega, Ana Collantes Gónzalez, Cristina García Villar, José Lope Garrido Rull, Alejandro García Muñoz
PDF

Hallazgos de la enfermedad malabsortiva en TC

Hugo Rodríguez Requena
PDF

PAPEL DE LA RM EN LOS PACIENTES CON DIABETES INSÍPIDA.

Ángeles Silva Rodríguez, Raquel García Latorre, Laura García Alonso De Caso, Jaime Alejandro Marcano Fernández, Miguel Navarro Fernández-Hidalgo, Juan S. Martínez San Millán
PDF

Hiperparatiroidismo en imagen: cuándo, cómo y dónde buscarlo

Mar Pérez Dávila, Concepción Ferreiro Arguelles, Paola Barón Ródiz, John Camacho Oviedo, Pilar Nuñez Valentín, Juan Luis Cervera Rodilla
PDF

Estudio multimodal del colesteatoma: hallazgos y complicaciones evaluados mediante TC y RM

Víctor Manuel Suárez Vega, Felix Guerra Gutiérrez, Franzisca Baudraxler, Ana Alonso Torres, Maria Jose Hernandez Garcia, Carlos Sanchez Almaraz
PDF

EMERGENCIAS TORACICAS Y ABDOMINALES EN PACIENTES ONCOLOGICOS : QUÉ TENEMOS QUE DECIR LOS RADIÓLOGOS.

M. E. Hernández García, B. Díaz Barroso, M. Huelves García, M. Rascón Risco, P. L. Arenas García, M. A. Cruz Díaz
PDF

Fístulas perianales: Diagnóstico y clasificación mediante RM.

Alberto Bravo Soberón, Diego Garrido Alonso, Miguel Bello Erias, Enrique Vazquez Muñoz
PDF

Papel de las técnicas de imagen en la recidiva del cáncer de próstata

Eva María Merino Serra, David Martínez De La Haza, Javier Robles Barba, Isabel Puig Povedano, María Pardo Antúnez, Ferran Ferrer González
PDF

LESIONES MEDULARES NO TRAÚMATICAS. LO QUE EL RADIOLÓGO GENERAL DEBE CONOCER.

Natividad Rebollo García, Carmen Lozano Calero, Blanca Moron Rodríguez, Jorje Alberto Costa Fernández, Fatima Fernández Gutierrez Del Alamo, Maria Carmen Ballesteros Reina
PDF

Lesiones de la piel y uñas en la enfermedad reumatológica. Valoración ecográfica.

Rosa Mª Landeras Álvaro, Elena Gallardo Agromayor, M. Del Rosario García Barredo Pérez, Marta Pelaz Esteban, Carmen González Vela, María Marcellán Fernández
PDF

Manejo radiológico y gestión del paciente politraumatizado.

Jesús Javier Collado Sánchez, Rosa María Piqueras Olmeda, Pilar Estelles Lerga, María Andrea Jarre Mendoza, Yurany Maritza Ochoa Santiago, Jose Adolfo Flores Mendez
PDF

Valoración mediante TC de las alteraciones en la erupción dentaria.

Cristina Sebastián Sebastián, Cristina Gutierrez Alonso, Beatriz Izquierdo Hernández, Jai Jaime Iglesias Gordo, Sandra Marcos Mondón, Alvaro Boria Alegre
PDF

TORSIÓN TESTICULAR EN ADOLESCENTE: aspecto eco-doppler

EVA MARÍA Lacoma Latre, EVA Sanchez Lalana, Marta Martínez Montalbán, ARA PILAR Alconchel Lagranja, JO´SÉ IGNACIO López López, pEDRO Rubio Barles
PDF

Enfermedad de Erdheim-Chester. ¿Qué hallazgos radiológicos ayudan al diagnóstico?

Elisabeth Cruces Fuentes, Elena Parlorio De Andrés, Enrique Girela Baena, Jose Ramón Olalla Muñoz, Alba Patricia Solano Romero, Marta Tovar Pérez
PDF

Imágenes radiológicas en las revistas médicas generales: análisis comparativo del volumen, complejidad y autoría entre 2009 y 2014.

Ainhoa Viteri Jusué, Amaia Bilbao González, Jose Luis Del Cura Rodríguez, Silvia Cisneros Carpio, Miguel Arturo Schuller Arteaga, Domingo Grande Icaran
PDF

Diagnóstico diferencial de las tumoraciones de partes blandas hipointensas en secuencias potenciadas en T2

Maria Simonet Redondo, Idoia Santos Gómez, Antonio Marín Cañete, Nuria Rojo Sanchis, Amparo Villar Canovas, Ana Maria Sánchez Laforga
PDF

LA SONOELASTOGRAFIA EN LA VALORACION DE LOS TUMORES DEL TEJIDO CELULAR SUBCUTANEO

Elena Gallardo Agromayor, Rosa Landeras Alvaro, Marta Pelaz Esteban, Amaya Iturralde Garriz, Alexandra De Diego Diez, Rosario García-Barredo Perez
PDF

REVISANDO LOS CONTRASTES YODADOS: CÓMO LOS USAMOS Y CÓMO DEBERÍAMOS UTILIZARLOS. FIJANDO CONCEPTOS.

Alejandro Pérez Martín, Amado Rodríguez Benítez, Macarena anchez-Carpintero De La Vega, Cristina Liberato Cano, Cristina García Villar
PDF

"Eppur si muove". Artefactos por movimiento en TC. Conocerlos y evitarlos.

Joaquín Martín Cuartero, Ignacio Quintana Martínez, Laura Elvira Dinu, Jorge Gonzalez Gambau, Teresa Gómez Gil, José María Artigas Martín
PDF

SONOELASTOGRAFIA EN LOS TUMORES DE ESTIRPE GRASA

Elena Gallardo Agromayor, Sara Sanchez Bernal, Marta Drake Perez, Javier De La Calle Lorenzo, Victor Fernández Lobo, Rosa Landeras Alvaro
PDF

Correlación diagnóstica entre hallazgos endoscópicos y TC de senos paranasales en rinosinusitis y pólipos nasales.

M. Pilar Gallego Gómez, Félix Guerra Gutiérrez, María Aragonés García, Franziska Baudraxler, Alvaro Sanchez Barrueco, Ana Alonso Torres
PDF

Cordón espermático: un gran olvidado con mucho que decirnos

Alba Patricia Solano Romero, Elena Parlorio De Andrés, Juana Mª Plasencia Martínez,, Ana Blanco Barrio, Enrique Luis Girela Baena, Lucía Hernández Sánchez
PDF

Hallazgos inesperados en el paciente politraumatizado: presentación de casos.

ANGELS Domingo Castelló, Sandra Córdoba Rovira, MAR Cordón Holzknecht, LUZ Guerrero Acosta, Orsolya Mezosi
PDF

LESIONES QUISTICAS BENIGNAS INFRECUENTES DEL CANAL ESPINAL COMO CAUSA DE COMPROMISO MEDULAR O RADICULAR

Luis González Ramos, Guillermo Carbonell López Del Castillo, Elena López Banet, Andrés Francisco Jiménez Sánchez, Yésica Martínez Paredes, Victoria Váquez Sáez
PDF

Calcio, líquido o gas en la ecografía del escroto. ¿En qué debemos pensar?

Elisabeth Cruces Fuentes, Elena Parlorio De Andrés, Juana María Plasencia Martínez, Carmen Ortíz Morales, Enrique Girela Baena, Jose Ramón Olalla Muñoz
PDF

PARALISIS UNILATERAL DE CUERDA VOCAL: ANATOMIA Y PATOLOGíA DEL NERVIO LARINGEO RECURRENTE en TCMD

Nerea Insausti Jaca, María Begoña Guantes Del Vigo, Martin Aperribay Ulacia, Eneritz Larrazabal Echevarria, Leire Hernaiz Argudo
PDF

Comité Multidisciplinar de Tumores Ginecológicos: ¿cuál es el papel del radiólogo?

Elena Canales Lachén, Elena Álvarez Moreno, Mar Jiménez De La Peña, Antonio Maldonado Suárez, Verónica Muñoz Carpio, Vicente Martínez De Vega
PDF

RM Cuerpo Entero en el mieloma multiple

Amaia Guisasola Iñiguez, Esther Fernandez Pardavila, Mikel Beristain Mendizabal, Ion Gurutz Esnal Andueza, Jose María Alústiza Echeverría
PDF

Patología del CAE: Lo que el otorrino no ve y el radiólogo debe saber.

Ana Isabel Barrio Alonso, Ángela Meilán Martínez, Lucía Terán Álvarez, Juan Sanz Díaz, Susana González Sánchez, Gonzalo Anes González
PDF

La liga de Rayos: un juego competitivo en un entorno 3D para aprender radiología en pregrado

Rocío Lorenzo Álvarez, Teodoro Rudolphi Solero, Pedro Aguado Linares, Francisco Sendra Portero
PDF

Seminarios de Radiología para estudiantes de Medicina ¿Se aprende igual en entornos virtuales 3D que en las aulas?

Teodoro Rudolphi Solero, Rocío Lorenzo Álvarez, Francisco Sendra Portero
PDF

Ginecomastia masculina. Hallazgos en imagen y estadios evolutivos.

Guilda Morell González, María Carolina Gutiérrez Ramírez, Ana Azahara García Ortega, Guillermo Carbonell López Del Castillo, Dolores Hernández Gómez, Florentina Guzmán Aroca
PDF

Alone in the Sky. Desarrollo de un juego de aprendizaje de radiología en Second Life desasitido

Francisco Jesús Manjón Mostazo, Teodoro Rudolphi Solero, Rocío Lorenzo Álvarez, Francisco Sendra Portero
PDF

Utillidad de la fistulografía por RM en el protocolo de estudio de la fístula perianal compleja.

Susana Lopez Celada, Alba Mas Sanchez, Fatima Garcia Navarro, Maria Eugenia Arias Laverde, Maria Carnero Ruiz, Pedro Slon Roblero
PDF

Enfermedad de Rendu Osler Weber aproximación diagnóstica mediante TC y RM.

Sara García Quesada, Álvaro Lozano Rodríguez, Maria Del Carmen González Domínguez
PDF

El aire en disposición atípica: ¿En qué entidades patológicas se puede encontrar?

María Vicente Quílez, Pilar Redondo Buil, Sandrá Sánchez García, Paola Andrea Rueda Mejía, Helena Cigarrán Sexto, Juan Calvo Blanco
PDF

Hallazgos incidentales en resonancia de estudios de PET-RM de cuerpo completo en el paciente oncológico.

Virginia Perez Dueñas, Ana Ortiz De Mendivil Arrate, Lina Garcia Cañamaque, Maria Victoria Torres Isidro, Ángel Acosta Rojas, Marjorie Garcerant Tafur
PDF

Punción con aguja fina del nódulo tiroideo mediante ecografía y rendimiento diagnóstico: nuestra experiencia en los últimos 4 años.

Cynthia Vidal Cameán, Jorge González Ramírez, Silvia Guerrero Vázquez, Alba María Novo Amado, María Fraga Sánchez, Fiz Andrés Maciñeira Bertrán De Lis
PDF

Hallazgos y vías de diseminación de tumores laríngeos

Jano Manuel Rubio Garcia, Amparo Gívica Pérez, María Elena Orihuela De La Cal, María Del Carmen González Domínguez, Alina Uriarte Rodríguez, María Valentina Vivas Escalona
PDF

Dispositivos médicos en la radiografía de tórax.

Rafael Morales Ruiz, María Fernández-Velilla Peña
PDF

VALORACIÓN DEL CARCINOMA DEL CANAL ANAL POR RESONANCIA MAGNÉTICA

Daniel Zarranz Sarobe, Ricardo Ituarte Uriarte, Jennifer Barredo Parra, Ana Rosa Gil Martín, Maider Bringas Veiga, Ander Garcia Etxebarria
PDF

VALIDEZ DE LA BIOPSIA CON AGUJA GRUESA (BAG) EN EL ALGORITMO DIAGNÓSTICO DE LAS ADENOPATÍAS

Ane Ugarte Nuño, Amaia Goienetxea Murgiondo, Maite Esnaola Albizu, Ion Gurutz Esnal Andueza, Mikel Beristain Mendizabal, Iñaki Prieto Argarate
PDF

TUMORES LIPOMATOSOS DE PARTES BLANDAS: NO ES MALIGNO TODO LO QUE NO SUPRIME.

Vanessa Goic Ortiz, Maria Eugenia Banegas Illescas, Maria Librada Rozas Rodriguez, Rafael Ruiz Martinez, Jose Alfredo Villanueva Liñan, Carlos Ariza Molina
PDF

Indicaciones y semiología de la patología escrotal por ultrasonidos

Almudena Blázquez Sáez, Ana Casas Martín, Aitor Costales Sánchez, Heidy Sáenz Acuña
PDF

CUERPOS EXTRAÑOS IMPACTADOS EN LA VÍA AERODIGESTIVA SUPERIOR: UTILIDAD Y ERRORES DE INTERPRETACIÓN DE LA RADIOGRAFÍA LATERAL DE CUELLO

Alba Castán Senar, Ylenia Navarro Monforte, Elisa Ruiz De La Cuesta, Jonathan Taboada Villca, Raquel Larrosa López, José María Artigas Martín
PDF

Tratamiento neoadyuvante del cáncer de recto: Aportación del radiólogo

Ángela Salmerón Ruiz, Mª Dolores García Roa, Inmaculada Mendoza Arnau, Miguel Pérez Rosillo, Elena Moya Sánchez, Antonio Medina Benítez
PDF

Biopsia con aguja gruesa guiada radiológicamente en el diagnóstico de los sarcomas de partes blandas.

Mario Huete Naval, Jose Antonio Narváez García, MArta Pérez Rubiralta, Javier Hernández Gañán, Jaime Isern Kebschull, Xavier Sanjúan Garriga
PDF

ECOGRAFÍA TRANSVAGINAL Y RESONANCIA MAGNÉTICA EN LA ENDOMETRIOSIS PROFUNDA. CUÁNDO Y CÓMO

Laura Buñesch Villalba, Rafael Salvador Izquierdo, Blanca Paño Brufau, Maria Carme Sebastià Cerqueda,
PDF

Diagnóstico diferencial de las lesiones quísticas del cuello

María Victoria Ferrufino Villalba, Esther Alonso García, Amaia Dehesa Garcia, Esther Riñones Mena, Maria Jesús Rubio Sanz, Carlos Martín Gomez
PDF

PRINCIPIOS BÁSICOS DE RM: LO QUE TODO RADIÓLOGO DEBE CONOCER PARA SU PRÁCTICA DIARIA

Sonia Claret Loaiza, Victor Federico Cáceres Filippon
PDF

NUEVAS TENDENCIAS DE LA CIRUGIA PLASTICA Y ELTCMC.

Elena Yllera Contreras, Eva María Alonso Fernández, Antonio Ortiz Rivas, Beatriz García Martínez, Beatriz González Humara, Higinio Ayala Gutirrezéz
PDF

Manifestaciones abdominales de la enfermedad esclerosante asociada a IgG4, una patología simuladora. Hallazgos en TC y RM.

Cristina Asensio Moreno, Alberto José Rodríguez Rodríguez, Silvia Navarro Herrero, Rafael Félix Ocete Pérez
PDF

Patología por asta de toro. Lesiones producidas en festejos taurinos populares

Mª Rosa Cozcolluela Cabrejas, David Ibañez Muñoz, Nerea Yanguas Barea, JAvier Salceda Artola, Paulino Gonzalez Diego, Carmen Riba Castel
PDF

Las infecciones en el cuello: lo que el radiólogo debería saber.

Antonio José Revert Ventura, Fares Salame Gamarra, Yolanda Pallardó Calatayud, Bernardo Cano García, Sonia Insa Molla
PDF

Diagnóstico por imagen de las lesiones más habituales derivadas de la práctica deportiva del ciclismo

Rocío Mora Monago, José Pedro Mora Encinas, Jorge Antonio Nogales Montero, Beatriz Martín Martín, Ana María López Moreno, Fátima Mora Monago
PDF

COMPLICACIONES Y CALIDAD PERCIBIDA TRAS LA REALIZACION DE BIOPSIA ASISTIDA POR VACIO

Rosa Mª Jiménez Yáñez, Mª Fermina Lorente Férnandez, Julia Pérez Cutillas, Laura Humanes López, Nadia Picazo Escribano, Javier López Romero
PDF

Fiabilidad y eficacia de la biopsia con aguja gruesa en el diagnóstico de las lesiones focales en glándulas salivares.

Gloria Coronado Vilca, Rosa Zabala Landa, Igone Korta Gómez, Miguel Schuller Arteaga, Jose Luis Del Cura Rodríguez
PDF

Malformaciones congénitas del oído: cómo reconocerlas en un estudio de imagen

Manuel Salomón De La Vega, Esther Gorostiza Bermejo, Verónica García De Pereda De Blas, Josu Mendiola Arza, José Rafael Villoria Alonso, Olivia María Rodríguez San Vicente
PDF

Valoración de la relación del canal dentario inferior en patología dental

Manuel Salomón De La Vega, Esther Gorostiza Bemejo, Guillermo González Zapico, Josu Mendiola Arza, José Rafael Villoria Alonso, Olivia María Rodríguez San Vicente
PDF

Sensibilidad de la RM en el diagnóstico del adenocarcinoma mucinoso de recto. Comparación con la biopsia endoscópica inicial.

Cayetano Sempere Ortega, Cristina Gonzalez Gordaliza, Isabel Garcia Gomez-Muriel, Carmen Soteras Roura, Maria Muñoz Beltran
PDF

La importancia del papel del radiólogo en la TC de cuerpo entero en una unidad de chequeos intrahospitalaria

Maite Millor Muruzábal, Jose Miguel Madrid Pérez, Fanny Meylin Caballeros Lam, David Cano Rafart, Óscar Beloqui Ruiz, Isabel Vivas Pérez
PDF

Actualización, hallazgos radiológicos y protocolos de imagen de los tumores de partes blandas benignos.

Renzo Javier Andrade Gonzales, MAria Dolores Abellan Rivero, Guillermo Carbonell Lopez Del Castillo, Guilda Morell Gonzalez, Carolina Gutierrez Ramirez, Yesica Martinez Paredes
PDF

¿Cómo se mide la Actividad Radiológica en España y a nivel Internacional?

Daniella Gómez Campos, Ana Utrera García De Salazar, Luis Donoso Bach
PDF

NUESTRA EXPERIENCIA EN LA TERMOABLACIÓN POR RADIOFRECUENCIA GUIADA CON ECOGRAFIA EN EL NÓDULO TIROIDEO

Elisa Cuartero Martínez, María José Regaña Feijoo, Margarita González Fernández, Ana Tapia Guerrero, Victoria Romero Laguna, José Ruiz Escalante
PDF

El radiólogo también puede tratar el dolor.

Elda Balliu Collgròs, Isabel Peláez Hernández, Victor Cuba Camasco, Gerard Carbó Vilavedra, Jose Antonio Becerra Fontal, Salvador Pedraza Gutierrez
PDF

Fístulas perianales: Recuerdo anatómico y caracterización mediante RM

María Teresa Corbalán Sevilla, Lara Núñez Moreno, Rebeca Vara Cilla, Fernando Carretero López, Concepción Fernández De La Plaza Román, Jose Luis Fernández Cueto
PDF

Validez de la biopsia con aguja gruesa en el algoritmo diagnóstico de los linfomas

Amaia Goienetxea Murgiondo, Ane Ugarte Nuño, Maite Esnaola Albizu, Izaskun Ceberio Echechipia, Cristina Sarasqueta Eizaguirre, Carmen Lobo Moran
PDF

Planificacion de la cirugía de la enfermedad mínima. Colocación de semillas radiomarcadas guiadas con imagen. Técnica y resultados.

Cayetano Sempere Ortega, Ignacio Gallego Rivera
PDF

TOMOGRAFÍA COMPUTARIZADA EN TRAUMA GRAVE TRAS EL ESTUDIO REACT 2: ¿TC CUERPO COMPLETO O DIRIGIDO?

Laín Ibáñez, Susana Borruel, Elena Martínez, J. Carmelo Albillos
PDF

Herramientas tridimensionales útiles para el postprocesado de las imágenes radiológicas

Roberto Domingo Tabernero Rico, Juan Antonio Juanes Méndez, Alberto Prats Galino
PDF

“COMPARACIÓN DE LAS REACCIONES ALÉRGICAS DE DOS CONTRASTES NO IÓNICOS DE BAJA OSMOLARIDAD”

María Rojo Trujillo, Antonio Pinardo Zabala, Carlos Ariza Molina, María José Rodríguez Muñoz, José Ramón Muñoz Rodríguez
PDF

UTILIDAD DE LA RM EN EL SEGUIMIENTO DE PACIENTES CON ENFERMEDAD DE POMPE DEL ADULTO(LOPD)

Claudia A. Nuñez Peralta, Jaume Llauger Roselló, Jordi Díaz Manera, Izaskun Belmonte Jimeno, Sebastian Figueroa Bonaparte
PDF

4D Flow: consejos técnicos y posibilidades diagnósticas.

Francisco Daniel Sancho García
PDF

APLICACIÓN PARA LA AUTOMATIZACIÓN DE LA TOMA DE MEDIDAS DE TUMORES EN IMÁGENES DE TOMOGRAFÍA COMPUTARIZADA

Marina Cebollero Messía De La Cerda, María De las Nieves Gómez León, Patricia Sánchez González, Saturnino González Ortega
PDF

TRATAMIENTO DE LOS NÓDULOS TIROIDEOS BENIGNOS MEDIANTE TÉCNICAS MÍNIMAMENTE INVASIVAS. NUESTRA EXPERIENCIA

Irene Cases Susarte, Carlos Vázquez Olmos, Silvia Torres De Río, Isabel María González Moreno
PDF

Eficacia de la eco-PAFF en el diagnóstico de los nódulos de las glándulas salivales

Carlos Vilches Catalán, Jose Ignacio Rodriguez Martín, Sonia de Águeda Martín, María Dolores Montero Rey, Antonio Santiago Hernando, Carmen Martín Hervás
PDF

TOMOGRAFÍA COMPUTARIZADA, BASES FÍSICAS Y DOSIS: " LO QUE USTED SIEMPRE QUISO SABER Y NUNCA SE ATREVIÓ A PREGUNTAR"

Ángeles Franco López, Gabriel Fernández Pérez
PDF

CLINIRAD: Una experiencia de aprendizaje basado en problemas en un rotatorio clínico en sexto curso.

Cristina Lozano Terrón, Rocío Lorenzo Álvarez, Francisco Sendra Portero
PDF

Correlación radiopatológica del nódulo tiroideo según la categorización TIRADS

Alicia Duque Taurá, Esther de Luis Pastor, Irene Garrido Morro, Antonio Ferreiro Pérez
PDF

UTILIDAD DEL USO DE UNA TABLET EN LA PLANIFICACIÓN DE LA TOMOGRAFÍA COMPUTARIZADA

C. Andrés Sepúlveda Villegas
PDF

XOrange 1.0 Almacenamiento avanzado de casos radiológicos

R. Blanco Salado
PDF

MEDIOS DE CONTRASTE RADIOLÓGICOS. ¿ESTÁN SEGUROS NUESTROS PACIENTES?

Israel Fernández Muñoz, Isaac Fernández Muñoz
PDF

¿Cambia el valor de la concentración de hierro medida por Resonancia Magnética al utilizar antena de superficie?

Beatriz Criado Pamos
PDF

Hacia un manejo más conservador de los tumores desmoides: Papel de la RM en la valoración de su agresividad y en su seguimiento

José Miguel Escudero Fernández, Rosa Domínguez Oronoz, Matias De Albert De las Vigo, Lourdes Casas Gomila, Carme Torrents Odin, Cleofe Romagosa Perez Portabella
PDF

ENSAYO CLÍNICO DE PRUEBAS DIAGNÓSTICAS EN LA EVALUACIÓN DE LA ESTADIFICACIÓN INICIAL Y LA RESPUESTA FINAL AL TRATAMIENTO DE LOS PACIENTES CON LINFOMA DIFUSO DE CÉLULA GRANDE B CON LA TOMOGRAFÍA COMPUTARIZADA DE 64 DETECTORES FRENTE A LA 18FDG TOMOGRAFÍA POR EMISIÓN DE POSITRONES/TOMOGRAFÍA COMPUTARIZADA

Xiomara Altagracia Santos Salas, Carlos Suevos Ballesteros, Saturnino González Ortega, María De las Nieves Gómez León
PDF

Gestión y calidad

 

 

El consentimiento informado en la jurisprudencia ¿Qué podemos aprender de las resoluciones judiciales?

Sandra Marcos Mondón, Luisa Fernanda Angel Rios, José María Mellado Santos, Laura Pérez Del Palomar Aldea, alvaro Boria Alegre, Luis Humberto Ros Mendoza
PDF

La radiología en el MIR. El crecimiento exponencial de las imágenes.

Pablo López Ramírez, Jose Carlos Pérez Tejada, Celia Pérez Ramírez, Carolina Méndez Lucena, Laura Reyes Márquez, Ana María Cáceres Valverde
PDF

Herramientas para mejorar la calidad

Rut Romera Sánchez
PDF

Influencia de la listas de espera en la incomparecencia de los pacientes

Patricia Fraga Rivas, Leticia Gutierrez Velasco, Alvaro Gomez Trujillo, Maribel Diez Perez De Las Vacas, Marcos Manzano Paradela
PDF

¿SABEMOS LOS RIEGOS DE LA RADIACIÓN? UN ANÁLISIS EN NUESTRO CENTRO

Alinne Morales Pulachet, Rebeca Mirón Mombiela, Pilar Donderis Folgado
PDF

Índice de impacto y nivel de evidencia. ¿Son conceptos equivalentes?

Cristina García Villar, Jose Andrés Guirola Ortiz, Jose María García Santos
PDF

Hallazgos incidentales en estudios preoperatorios. ¿Quién lee el informe? Implantación de un sistema informático de alertas.

Elena Utrera Perez, Gonzalo Tardáguila De La Fuente, Ana Maria Villanueva Campos, Daniel Mera Fernández, Ariana Bustos Fiore, Maria Ochoa Diez
PDF

Desarrollo de un sistema de diagnóstico asistido por ordenador para la detección de nódulos en una radiografía de tórax

Amara Tilve Gómez, Miriam García Vázquez-Noguerol, Jorge Juan Suárez Cuenca, Gonzalo Ferro Costas, Miguel Souto Bayarri
PDF

APLICACIÓN DE DOCUMENTOS PDF-3D PARA REPRESENTAR IMÁGENES TRIDIMENSIONALES EN (NEURO)RADIOLOGÍA.

Roberto D. Tabernero Rico, Juan A. Juanes Méndez, Alberto Prats Galino
PDF

Valoración prequirúrgica de los adenomas paratiroideos mediante TC complementado con ecografía dirigida “second look”.

Amaia Dehesa García, Gonzalo Fernández Matía, Esther Riñones Mena, Olga Denisse Laffite Licona, Begoña De Miguel Martínez, Isabel Lanchas Alfonso
PDF

LA RELACIÓN MÉDICO-PACIENTE EN RADIODIAGNÓSTICO

Ana María Carrillo Colmenero, Tomás Vallejo Palomino, María Teresa Cantero Rodríguez, Julio Galván Sánchez
PDF

CLAVES PARA AUMENTAR LA EFICACIA DE UN SERVICIO DE IMAGEN

Ángeles Franco López, Isabel Gonzalez Alvarez, Monica Garcia Momper, Fermina Lorente Fernandez
PDF

A vueltas con el Sobrediagnóstico. ¿Cómo afecta a nuestro trabajo cotidiano?

Laura Cuesta Lujano, Celia Izco García-Cubillana, Luis Fernández Ollero, Antonia Mora Jurado, Antonio Delgado Cotán
PDF

Radiología 2.0 - Herramientas informáticas para el radiólogo del S. XXI.

Daniel Eiroa Gutiérrez, Héctor Rebollo Bollullo
PDF

Sesgos cognitivos en radiodiagnóstico: ¿cuáles son y cómo funcionan?

Luisa Fernanda Angel Rios, Sandra Marcos Mondón, Ana Forradellas Morales, José María Mellado Santos, Jaime David Iglesias Gordo, Luis Humberto Ros Mendoza
PDF

Poniendo en marcha un programa de Mejora Continua de Calidad en Radiología de Urgencias

Rut Romera Sánchez, Agustina Vicente Bártulos, Marta Soler Vigil, Ana Sánchez De La Fuente, Maria Arantzazu Basagoiti López, Javier Blázquez Sánchez
PDF

IMPLANTACION DE UN SISTEMA DE REGISTRO DOSIMÉTRICO. EVALUACIÓN INICIAL DE RESULTADOS OBTENIDOS.

Eugenio Sánchez Aparisi, Víctor Moreno Ballester, Rául Mut Pons, Elsa Alonso Muñoz, Vanesa Galindo Tomás, Verónica Sáiz Blasco
PDF

TELERADIOLOGÍA EN LA SANIDAD PÚBLICA, UNA FORMA EFICIENTE Y DE CALIDAD PARA ACERCARNOS AL PACIENTE

Mercedes Arias González, Alfonso Iglesias Castañón, Jorge Mañas Uxó, Patricia Mantilla Álvarez, Rosario Royo Martel, mª Luisa Brandt Sanz
PDF

Lo que el radiólogo debe conocer sobre los VNA o PACS abiertos

Ignacio Gonzalez Crespo, Pablo Bartolomé Leal, Almudena Quilez Larragan, Isabel Vivas Perez, David Cano Rafart, Elena Faedda Sanz
PDF

Conocimientos y actitudes de los clínicos y radiólogos ante la radiación derivada pruebas de imagen.

Jorge Vilar Palop, Isabel Gonzalez Alvarez, José Vilar Samper, Ildefonso Hernandez Aguado, Blanca Lumbreras Lacarra
PDF

DISPOSITIVOS IMPLANTABLES: SEGURIDAD FRENTE A RM

Dra. Bernal Lafuente, Dra. Seral Moral, Dr. Martinez Gracia, Dra. Vela Marín, Dr. Marín Cárdenas, Dra. Ruiz de la Cuesta
PDF

Club Bibliográfico SERAM, un puente entre la residencia y el mundo editorial

Clara Morandeira Arrizabalaga, Sara Lojo Lendoiro, Carolina Vargas Jimenez, Daniel Eiroa Gutierrez, Ana Maria Garcia Correa, Alberto Ibañez Ibañez

¿Camino al error 0? Discrepancias y soluciones en el quehacer radiológico diario

Daniel Eiroa, Mónica Fernández del Castillo Ascanio, Sonia Benítez Rivero, Yasmín El Khatib Ghzal, Violeta Pantoja Ortiz, Carlos Marichal Hernández
PDF

DEL ESFUERZO DE LA CERTIFICACIÓN DE CALIDAD HACIA LA SEGURIDAD DEL PACIENTE EN UN SERVICIO DE DIAGNÓSTICO POR IMÁGEN

P. GARCÍA ÍÑIGO, RA DULANTO BANDA, MT GONZÁLEZ MARTÍN
PDF

MEJORA DE LA PRACTICA CLINICA Y SEGURIDAD DE PACIENTES EN TC UTILIZANDO UN PROGRAMA DE PERSONALIZACION DE DOSIS DE CONTRASTE

Elena Díaz Alonso, Mª Regina Díaz BoiLes, Mª Nieves García Rodríguez, Elvira Fernández Martínez, Mónica Gafo Mónica, Mª Del Mar Pérez-Peña
PDF

Optimización de la dosis de radiación en Tomografía Computarizada: Una guía actualizada

Roberto S. Samuel Espin, Marta Llopis Pardo, Ana M. Avila Venegas, Raquel Alarcón Cano, Isabel Juaneda Seguí, Francisco J. García González
PDF

INFORMAR, COMUNICAR Y HUMANIZAR LOS SERVICIOS DE SALUD. Herramientas fundamentales en el Servicio de Radiodiagnóstico.

M. Begoña Ballesteros Escolar, Beatriz García Sánchez
PDF

TELERRADIOLOGÍA: LUCES Y SOMBRAS

Cristina Gómez Vega, Antonio Pinardo Zabala, Manuel Calvo García, Carlos Ariza Molina, María José Rodriguez Muñoz, María Teresa Gómez San Román
PDF

Nace el Observatorio para la Innovación en Imagen Médica Digital

Nuria Abdon Gimenez, Jesús Berdún Peñato, Oscar Tarriño Bueno, Marc De San Pedro Lopez, Carlos Gallego Perez, Francesc Garcia Cuyas
PDF

Qué opinan los estudiantes de medicina sobre League of Rays, un juego virtual multiusuario para aprender radiología

Rocío Lorenzo Álvarez, Teodoro Rudolphi Solero, Francisco Sendra Portero
PDF

¿Cómo respondemos a la demanda de A. Primaria desde la U.G.C. de Radiodiagnóstico de un Hospital de 1er nivel?: Nuestra experiencia

A. Ruiz Salas, JA. Martos Fornieles, E. Pardo Susacasa, R. López Gonzalez, MM. Acebal Blanco, MD. Domínguez Pinos
PDF

Imagen abdominal

 

 

RM del carcinoma de próstata. Una guía para empezar, intepretar e informar los estudios

Cristina Méndez Díaz, Esther Rodríguez García, Rafaela Soler Fernández, Andrea López Da Costa, Pablo Fernández Armendáriz, Sara Martínez Breijo
PDF

Hallazgos de imagen en el Síndrome del Cascanueces Que debemos conocer.

María Carolina Gutiérrez Ramírez, Guilda Morell González, Renzo Javier Andrade Gonzáles, Elena López Banet, Yésica Martínez Paredes
PDF

El Peritoneo Recorriendo Sus Espacios Para Entender Su Patología

Ane Ugarte Nuño, Ane Etxeberria Del Campo, Amaia Goienetxea Murgiondo, Karmele Biurrun Mancisidor, Maite Esnaola Albizu, Mónica Fernández Martín
PDF

Colonografía por TC Revisión de una muestra de 150 casos de muestro

Marta Morán Hevia, Pedro González Filgueira, Sandra Sánchez García, Sara Gálvez García
PDF

Aproximación diagnóstica de las masas pélvicas Claves en RM

Esther Rodríguez García, Cristina Méndez Díaz, Rafaela Soler Fernández, Andrea López Da Costa, Pablo Fernández Armendáriz, Lucia Álvarez Devesa
PDF

UTILIDAD DEL TAPÓN VASCULAR (AMPLATZER) EN EL TRATAMIENTO ENDOVASCULAR DE ANEURISMAS ABDOMINALES.

Miguel Echenagusia Boyra, Enrique Calleja Cartón, Gracia Rodríguez Rosales, Manuel González Leyte, Arturo Alvarez Luque, Fernando Camúñez Alonso
PDF

LESIONES HIPERVASCULARES PANCRÉATICAS

María Conde Martín, Alberto Martínez Arnaiz, Borja Nevado Polo, Fernando Pizarro Rodríguez
PDF

RM RECTAL NO SÓLO EL ADENOCARCINOMA RECTAL

Yiken Karelys Ng Wong, Cesar Augusto Ortiz Andrade, María de los Ángeles Lobos, Víctor Pineda Sánchez, Sarai Roche Valles, Javier Merino Casabiel
PDF

¿Qué puede hacer la Ecografía con Contraste por nuestro Hígado?

Teresa González De La Huebra Labrador, Diana Oquillas Izquierdo, José Ignacio Martín Gómez, Ana Vargas Díaz, Cris Eugenia Sibaja Castro, Virginia Fernández Cisneros
PDF

Evaluación mediante TCMD de la anatomía renal y vascular normal y variantes anatómicas con relevancia en la cirugía renal laparoscópica.

Silvana María Lara Fernandez, Inmaculada Sanchez Romero, Laura Garcia Camacho, Cristina Montes Duran, Francisco Javier Hidalgo Ramos, Gloria Porcuna Cazalla
PDF

Hernias internas. Claves diagnósticas

Natalia Alegre Borge, María Dolores López Parra, Alejandro Urbina Balanz, Victoria Carnerero Herrera, Jorge De Luis Yanes
PDF

ENGROSAMIENTO MURAL DEL COLONº ALGORITMO DIAGNÓSTICO

Amaia Goienetxea Murgiondo, Ane Ugarte Nuño, Maite Esnaola Albizu, Arantza Agote Jemein, Gorka Arenaza Choperena, Ane Echeberria Del Campo
PDF

Amiloidosis cuándo sospecharla en imagen

Ana Carballeira Alvarez, Santiago Correa García, Amaia Llodio Uribeetxebarria, Karmele Biurrun Mancisidor, Juan Vega Eraso, Amaia Guisasola Iñiguez
PDF

Complicaciones abdominales en el embarazo y el puerperio

Elena Arizaga Batiz, Daniel Rodriguez Rodriguez, Amaia Arrillaga Hermoso, Cristina Gonzalez Sainza, Ane Gonzalez Sainz
PDF

¿Capta o no capta?, esa no es la cuestión Captaciones benignas, fisiológicas y artefactos en abdomen y pelvis en estudios PET-TC.

Josima Luchsinger Heitmann, Marta García García-Esquinas, Aida Ortega Candil, Cristina Díaz Del Arco, María Luz Parra Gordo, María Nieves Cabrera Martín
PDF

Mi paciente está operado pero ¿Qué cirugía es?

Laura Galván Herráez, Beatriz Lannegrand Menéndez, Irene Martín Lores, Paula Hernández Mateo, María Vidal Martínez, Mercedes Ruiz Tolón
PDF

Imagen radiológica de la patología duodenal en el adulto

Alberto Bravo Soberón, Alfonso Martín Díaz, Joaquín Morán Marsili, María José Simón Merlo
PDF

Grandes lesiones hepáticas Patrones de realce tipicos

Amaya Iturralde Garriz, Francisco J. Gonzalez Sanchez, Raúl Pellon Daben, Paula Gallego Ferrero, Juan Crespo Del Pozo
PDF

Guía práctica sobre colonoscopia virtual.

Estíbaliz Gomez Garcia
PDF

Resonancia magnética mutiparamétrica de próstata Diagnóstico, estadificación y seguimiento del cáncer de próstata en resonancia de 3T

Sandra Sánchez García, Diego Rubio Solís, Lucía Terán Álvarez, Ana Isabel Barrio Alonso, Juan Sanz Díaz, Rafael Menédez Del Llano Ortega
PDF

GIST lo que debe conocer el radiólogo general

Pedro Garatea Aznar, Javier Salceda Artola, Álvaro Gargallo Vaamonde, Laura Gargallo Vaamonde, David Ibañez Muñoz, Gregorio Aisa Rivera
PDF

Entero-TC y la enfermedad de Crohn nuestra experiencia

Cristina Muela García, Álvaro Julián Pérez, José Antonio Alarcón Calvillo, Paula Calvo Ramírez, Remedios Alpera Tenza, Zuleyma Sánchez Acevedo
PDF

PET-RM MULTITRAZADOR EN LA ESTADIFICACIÓN Y DETECCION DE RECIDIVA EN CANCER DE PROSTATA

Antonio Maldonado Suarez, Manuel Recio Rodriguez, Javier Carrascoso Arranz, Felipe Couñago Lorenzo, Silvia Fuertes Cabero, Vicente Martinez De Vega
PDF

TRONCO CELIACO: VARIANTES ANATOMICAS, PATOLOGIA Y COMPLICACIONES.

Ainhona Astiazaran Rodríguez, Maite Esnaola Albizu, M. Aranzazu Agote Jemein, M. Itziar Aguirre Oteiza, Elena Inchausti Iguiñiz, Monserrat Poch Zatarain
PDF

Vólvulos del tracto gastrointestinal Diagnóstico en radiología simple y correlación con la tomografía computarizada

Sandra Sánchez García, Helena Cigarrán Sexto, Marta Morán Hevia, Sara Gálvez García, María Vicente Quílez, Juan Calvo Blanco
PDF

Manifestaciones extraintestinales (MEI) de la enfermedad inflamatoria intestinal (EII)

Ángel Quispe - Mauricio, Begoña Díaz Barroso, María Ángeles Ramirez - Escobar, Susana Tabernero Da Veiga, Almudena Mejias Espada, María Ángeles Cruz Díaz
PDF

Hallazgos diagnósticos de las ictericias obstructivas no litiásicas

Silvia Bermúdez Sánchez, Teresa Moreno Sanchez, Florian Moreno Rodriguez
PDF

Hallazgos comparativos de la CPRM y la US en la evaluación de vías biliares en pacientes diagnosticados de pancreatitis aguda

José Adolfo Flores Méndez, Ariel Pacheco Usmayo, Juan José Delgado Moraleda, Asunción Torregrosa Andrés, Jesús Javier Collado Sanchez, Alexandre Pérez Girbés
PDF

Tumor papilar solido quistico del pancreas

José Antonio Aguilar Arjona
PDF

Claves para diagnosticar a "la gran imitadora": Tuberculosis abdominal

Lidia Nicolás Liza, Emilio Valbuena Durán, Luis Gijón De La Santa, Ainhoa Camarero De Miguel, Raquel Cabrejas Morales, María José Raya Núñez
PDF

Perforación de intestino delgado por cuerpo extraño: hallazgos en el TC

Eva Prado Miranda, elena Martínez Chamorro, Vanessa Terán Pareja, Elena Martínez Carapeto, Vanesa Rueda Sainz-Aja, Susana Borruel Nacenta
PDF

Determinación y cuantificación de la grasa y del hierro hepáticos con RM mediante secuencias rápidas en apnea

Pablo Bartolomé Leal, Almudena Quilez Larragán, María Arraiza Sarasa, David Cano Rafart, Isabel Vivas Pérez, Alberto Benito Boillos
PDF

Esa gran "bolsa" con tan variada patología: La Vejiga.

Elena Yllera Contreras, Alejandro Fernandez Flórez, Beatriz González Humara, María Diez Blanco, Elena López Uzquiza, Guillermo Velilla Diez
PDF

Infecciones tras el tratamiento de aneurisma de aorta abdominal: Un diagnóstico infrecuente a tener en cuenta.

Antonio Navarro Baño, Santiago Ibáñez Caturla, Andrés López Sánchez, Daniel Rodríguez Sánchez, Francisco Sarabia Tirado, Francisca Velázquez Marin
PDF

Alteraciones del asa intestinal en la isquemia mesentérica aguda

Raquel Pérez Pérez, Marta Elena Gómez Gil, Juan Antonio Hernández Ponce, Tania Rodríguez Méndez, Jordi Estornell Erill, María Soledad Pastor Santoveña
PDF

Invaginación intestinal. ¿Cuál cabeza produce la invaginación?

Cris Eugenia Sibaja Castro, Jacinto Grasa Diaz, Virginia Fernandez Cisneros, Carlos Oliva Fonte, Diana Garcia Casado, Javier Pereda Rodriguez
PDF

Masas extrahepáticas con contenido graso del abdomen y la pelvis: enfoque técnicas de imagen, diagnóstico diferencial, hallazgos radiológicos

Renzo Javier Andrade Gonzales, Juan Manuel Franco Reverte
PDF

EVALUACIÓN DE LAS ANOMALÍAS DEL SITUS: ¿QUÉ MÁS BUSCAR?

Susana Bahamonde Cabria, Blanca Esther Viñuela Rueda, José Antonio Alonso López, Begoña Inoriza Rueda, María Ruiz Martín, Alejandro Relea Sarabia
PDF

Imagen de difusión y coeficiente de difusión aparente en riñones fetales normales y su relación con riñones maternos.

Elena Moya Sánchez, María Culiañez Casas, María Gómez Huertas, Miguel Ángel Pérez Rosillo, Elena Pastor Pons, Elena Pastor Pons
PDF

Tolerancia y factibilidad de la colonografía por TC en la evaluación del cáncer colorrectal estenosante tras una colonoscopia óptica incompleta.

María José Redondo García, Alberto Rodríguez Jiménez, Irene España Ramírez, Miguel Requena López, Silvia Bermúdez Sánchez
PDF

"Check-list" de complicaciones postquirúrgicas en patología abdominal

Mónica Fdez. Del Castillo Ascanio, Carlos Marichal Hernández, María Soledad Garrido Carrasco
PDF

RM pelvica dinamica / RM defecografía. Evaluación del suelo pelvico.

Francisco Gonzalez Sanchez, Raul Pellon Daben, Amaya Iturralde Garriz, Javier Valentín De La Calle Lorenzo, Alexandra De Diego Diez, Juan Crespo Del Pozo
PDF

INFORME ESTRUCTURADO EN EL ESTADIAJE DEL ADENOCARCINOMA PANCREÁTICO. ¿CÓMO Y POR QUÉ?

Maite Esnaola Albizu, Ainhoa Astiazaran Rodriguez, Maria Aranzazu Agote Jemein, Monserrat Poch Zatarain, Miren Itziar Aguirre Oteiza, Elena Inchausti Iguiñiz
PDF

Retroperitoneo: revisión anatómica y de la patología retroperitoneal

J. A. Prat Matifoll, Xavier Guri Azogue, Rosa Boye De La Presa, Shelagh Dyer Hartnett, Cesar Augusto Ortiz Andrade, Cristian Hernández Giraldo
PDF

ENFOQUE RADIOLÓGICO DE LA PATOLOGÍA DUODENAL

Sergi Juanpere Martí, Laia Valls Massot, Isabel Serra Matamala, Margarita Osorio Fernandez, Jorge Soriano Viladomiu, Albert Maroto Genover
PDF

ESPECTRO DE HALLAZGOS RADIOLÓGICOS Y PITFALLS EN LOS INSULINOMAS.

Gema Guerrero Martínez, Sara Comellas Cruzado, Ana López Navia, Mª José Matito Díaz, Mª Ángeles Fernández Gil, Rosa Moro Sánchez
PDF

Hallazgos de TC en la anisakiasis gastrointestinal como causa de dolor abdominal agudo

Sandra Marcos Mondón, Luis Sarría Octavio De Toledo, Cristina Sebastián Sebastián, Luisa Fernanda Angel Rios, Raquel Larrosa López
PDF

Mesenteritis esclerosante: gran simuladora. Hallazgos de imagen claves para no confundirla.

Macarena Sánchez-Carpintero De La Vega, Ana Collantes González, Maria Eugenia Rodríguez Cabillas, María José Calvo López
PDF

Imagen funcional del mediastino: Valor de la 18FCG-PET/CT y la RM avanzada

Jordi Broncano Cabrero, Antonio Luna Alcalá, Teodoro Martin Noguerol, Pilar Caro Mateo, Javier Sanchez Gonzalez
PDF

NEOPLASIAS CON SUFIJO “-BLASTOMA”

María Teresa Alonso Espinaco, Mónica Fernandez Martin, Diana María Garcia Asensio, Ana Gurruchaga Aguirrezabalaga, Ane Etxeberria Del Campo, Amaia Llodio Uribeetxebarria
PDF

OBSTRUCCION DE INTESTINO DELGADO: BUSCANDO DÓNDE Y POR QUÉ

Elena Diez Uriel, Noelia Arevalo Galeano, Araceli Muñoz Hernandez, Elena Roa Martinez, Elena Barcina Garcia
PDF

Revisión de los hallazgos radiológicos normales después de las principales cirugías abdominales.

Amália González López, Eva Ballesteros Gomiz, Marta Solà García, Louisiana Rivera Valladares, Vladimir Cheranovskiy, María José Prieto Del Rey
PDF

Lesiones suprarrenales atípicas: cuando no hay supresión de señal en fuera de fase

Alberto Sierra Solís, Ana Mª López Moreno
PDF

Dolor En Fosa Ilíaca Izquierda: Más Allá De La Diverticulitis.

Rodrigo Domínguez Piedra, Patricia Maria Leal Oliveira, Eugenio Navarro Sanchis
PDF

Punción percutánea en patología pancreática tumoral. Nuestra experiencia

Vanesa Di Caro Stangherlin, Claudio Bonini Cerasa, Marisol Ferrer Turiella, Jaime Ferrer Gomez, Roberto L Villavicencio Culasso
PDF

DIAGNÓSTICO POR IMAGEN DE HEPATOCARCINOMA EN CANDIDATOS A TRASPLANTE HEPÁTICO

Elena Villacastín Ruiz, Rebeca Pintado Garrido, Hermógenes Calero Aguilar, Mariola Hernández Herrero, Francois Xavier Emile Brunie, Verónica Alvarez-Guisasola
PDF

LINFOMA GASTROINTESTINAL PRIMARIO. CLAVES PARA EL DIAGNÓSTICO RADIOLÓGICO.

María Carnero Ruíz, Fátima García Navarro, Alba Mas Sánchez, María Eugenia Arias Laverde, Susana López Celada, Pedro José Slon Robledo
PDF

Manejo de las lesiones quísticas pancreáticas.

Santiago Correa García, Ana Carballeira Alvarez, Amaia Llodio Uribeetxebarria, Maite Esnaola Albizu, Arantza Agote Jemein
PDF

Manifestaciones radiológicas de la pinza aorto-mesentérica.

Miguel Mas Gelabert, Mercedes Cuadra Coll, Silvia Martin Martin, Miriam Dorao Martinez-Romillo, Blas Ramos Alcaraz, Susan Pardo Barro
PDF

LESIONES IATROGÉNICAS DE LA VÍA BILIAR

Marina Cristina Sánchez-Porro Del Río, Cristina García Villar, María Rosario Campos Arenas, Macarena Sánchez-Carpintero De La Vega, Mª José Calvo López
PDF

GASTROSTOMÍAS PERCUTÁNEAS RADIOLÓGICAS: CÓMO Y CON QUÉ MINIMIZAR LOS RIESGOS Y COMPLICACIONES.

ANTONIA Gil Sierra, Carolina Calvo Corbella, Paloma Arias Baldo, MARIA JESUS Arias Fernandez, ANA Sanchez Martin, Aranzazu Gutierrez Pantoja
PDF

Patología neoplásica en la encrucijada duodeno-pancreática.

Paula Gallego Ferrero, Juan Crespo Del Pozo, Víctor Fernández Lobo, Beatriz García Martínez, Alexandra De Diego Díez, Elena López Uzquiza
PDF

ERRORES EN LA ESTADIFICACIÓN DEL CÁNCER DE ENDOMETRIO POR RM

Sara Lojo Lendoiro, Maria Consolación Cárdenas Rodríguez, Mercedes Leal Cala, Manuela Rebolledo Vicente, Raquel Esteban Saiz
PDF

DILATACIONES BENIGNAS DE LA VÍA BILIAR INTRA Y EXTRAHEPÁTICA: Estudio con RM.

Sara Lojo Lendoiro, María Consolación Cárdenas Rodríguez, Eduardo Herrero Carretero, Raquel Esteban Saiz
PDF

BIOPSIA DE LA VÍA BILIAR POR VÍA PERCUTÁNEA: TÉCNICA Y RESULTADOS.

Mª Pilar Servent Sáenz, Rocío González Costero, Santiago Méndez Alonso, Agustín García Suárez, Carlota Pérez Martín, Mª Ángeles Francés Arpón
PDF

Hallazgos radiológicos y rol de la TC multidetector en la fibrosis retroperitoneal.

Cecilia Janette Quispe León, Mar Pérez-Peña Del Llano, Elena Guerra Del Barrio, Cristina González Huerta, Irene Gutiérrez Perez, Sana Shehadeh
PDF

Afectación abdominal por asta de toro: lo que el radiólogo debe saber.

Luis Gijón De La Santa, Irene Méndez Mesón, José Antonio Pérez Retortillo, Ainhoa Camarero Miguel, Lidia Nicolás Liza, José Manuel Ramia Ángel
PDF

TÉCNICA DE MARCAJE PARA LOCALIZACIÓN INTRAOPERATORIA DE METÁSTASIS HEPÁTICAS, PREVIA A QUIMIOTERAPIA NEOADYUVANTE.

Jose Javier Echevarria Uraga, Nerea Garcia Garai, Estibaliz Gómez Juménez, Elena Ingunza Loizaga, Gorka Del Cura Allende, José Luis Miguélez Vidales
PDF

LESIONES INTESTINALES Y/O DE VASOS MESENTÉRICOS SECUNDARIAS A TRAUMATISMO ABDOMINAL DE ALTA ENERGÍA. PATOLOGÍA INFRECUENTE EN AUSENCIA DE LESIÓN DE VÍSCERA SÓLIDA.

Jade García Espinosa, Alberto Martínez Martínez, Luis Guzmán Alvarez
PDF

Masas sólidas renales

Cristina Del Pilar Liberato Cano, Maria Jose Calvo López, Macarena Sanchez-Carpintero De La Vega, Marina Sanchez-Porro Del Rio, Maria Rosario Campos Arena
PDF

El volumen renal parenquimatoso y cortical mediante TCMD en relación con la función renal.

Ruth Domene Moros, Yasna Villegas Mora, Jose Andres Guirola Ortiz, Diego Dotti Gonzalez, Ramón Ortiz Gimenez, Jose Antonio Fernandez Gomez
PDF

Pancreatitis enfisematosa. Evaluación y seguimiento mediante TC.

Teresa Domínguez Cejas, Ana Fernández Martínez, Laura López González, Maria José Fernández Bermúdez
PDF

TCMD en la perforación esofágica por cuerpo extraño.

Silvana Maria Lara Fernández, Laura García Camacho, Inmaculada Sánchez Romero, Victoria De Lara Bendahán, Carlos Borrega Harinero
PDF

COLANGIOCARCINOMA: IMAGEN Y SU CORRELACION ANATOMOPATOLOGICA. EXPERIENCIA EN UN HOSPITAL COMARCAL.

Israel Fernández Muñoz, Sara Roldán Baños, Jose Angel Flores García
PDF

Correlación de la Ecografía y el TC en la detección de neoplasias gastrointestinales ocultas en pacientes con Anemia Ferropénica

Juan Sales Sánchez, José Vizuete Del Río, Tomás Ripollés González, Juan Manuel Pazos Guarín, José María Paredes Arquiola
PDF

BODY PACKING EN PRUEBAS DE IMAGEN. SEMIOLOGÍA. EXPERIENCIA EN UN HOSPITAL COMARCAL.

Israel Fernández Muñoz, Sara Roldán Baños, Jose Angel Flores García
PDF

Utilidad de la ecografía en el diagnóstico de diverticulitis aguda, incluso sin sospecha clínica.

Frank Farfan Leal, Sara Escoda Menéndez, Carmen Picón Serrano, Angeles Silva Rodríguez, Inés Pecharroman De Las Heras, Agustina Vicente Bartulos
PDF

Esteatosis hepática en el paciente oncológico: retos para el radiólogo

Fernando Pizarro Rodríguez, Alberto Martínez Arnaiz, María Conde Martín, Guido Alberto Finol Vaccariello, Elena Martínez Carapeto, Ana Giménez Sánchez De La Blanca
PDF

Resonancia magnética potenciada en difusión vs fibroscan para el estudio de la fibrosis hepática.

Eduardo Enrique Daguer Tamayo, Enrique Ramon Botella, Ana Matilla Peña, Derek De Jesus Rojas Porras, Enrique Calleja Carton
PDF

Diagnóstico Diferencial de Lesiones Quísticas Pancreáticas

Marcos Manzano Paradela, Álvaro Gómez Trujillo, Laura García Del Salto Lorente, Felipe Aguilera Del Hoyo, Jaime De Miguel Criado
PDF

Hernia traumática de pared abdominal: localización, causas y signos.

Estibaliz Gomez Jimenez, Nerea Garcia Garai, Elena Langara Garcia-Echave, Elena Ingunza Loizaga, Gorka Del Cura Allende, Jose Javier Echevarria Uraga
PDF

ANEURISMAS ESPLÉNICOS: TRATAMIENTO ENDOVASCULAR, CÓMO Y CUANDO.

Antonio Lorenzo Górriz, Jose H. García Vila, Manuel Cifrian Perez, Volker Schröer, Laura Grimalt García, Maria Ponce González
PDF

Hallazgos clínicos y radiológicos en la Anisakiasis Intestinal.

Eva Sánchez Lalana, Eva María Lacoma Latre, Ara Pilar Alconchel Lagranja, Claudia Martínez Huguet, Pedro Jaime Rubio Barlés, José Ignacio López López
PDF

UTILIDAD DE LA ECOGRAFíA EN EL DIAGNOSTICO DE ANISAKIASIS DEL TUBO DIGESTIVO

Luis López Calderón, Jaime Salvador García, Tomás Ripolles Gonzalez, Gregorio Martín Benitez
PDF

TC COMO PREDICTOR DE LOS HALLAZGOS QUIRÚRGICOS EN LA ISQUEMIA MESENTÉRICA (IM)

Cristina Abad Fernández, Carmen Picón Serrano, Rut Romera Sánchez, Raquel García Latorre, Sara Escoda Menéndez, Agustina Vicente Bártulos
PDF

Ablación percutánea por radiofrecuencia de tumores renales guiada por ecografía: Resultados en nuestro centro

Lander Antón Méndez, José Luis Del Cura Rodríguez, María Udondo González Del Tánago, Igone Korta Gómez, Rosa Zabala Landa, Miguel Arturo Schüller Arteaga
PDF

Patología ovárica urgente: TORSIÓN ANEXIAL

Elena Ingunza Loizaga, Nerea García Garai, Gorka Del Cura Allende, Ainhoa Tellería Bajo, Ainize Cancho Salcedo, Elena Lángara García-Echave
PDF

LA IMPORTANCIA DE LA FIGURA DEL RADIÓLOGO EN LA EVOLUCIÓN DEL PACIENTE TRASPLANTADO RENAL

Rebeca Sigüenza González, José Manuel Herrero Izquierdo, José María Duro Roca, Eduardo Cortejoso Gonzalo, Teresa Álvarez De Eulate García, Antonio Hermosín Peña
PDF

Síndrome de Fitz-Hugh-Curtis. Hallazgos radiológicos.

Guillermo Carbonell López Del Castillo, Elena López Banet, Ana Azahara García Ortega, Daniel Rodríguez Sánchez, Renzo Javier Andrade Gonzales, Guilda Morell González
PDF

RM pélvica en el cáncer de endometrio: Lo que el radiólogo no debe olvidar

Cristina González Delgado, Alba Alonso De León, Beatriz Romero Martín, Leonor López Morales, Juan Antonio Hernández Ponce, María Soledad Pastor Santoveña
PDF

Elastografía hepática cuantitativa tipo ARFI en el seguimiento del hígado trasplantado

Marta Alfageme Zubillaga, M. Teresa Fontanilla Echeveste, Jorge Escartín López, Javier Minaya Bernedo, Rosa María Ruiz Peralbo, Ana Royuela Vicente
PDF

Tejido pancreático ectópico: ¿donde podemos encontrarlo?

Silvia Lopez Romero, Irune Perez Arroyuelos, Ainize Cancho Salcedo, Pablo Sadaba Sagrero, Elena Ingunza Loizaga, Ainhoa Telleria Bajo
PDF

Estudios tomográficos tras cirugía pancreática. Hallazgos normales frente

Nadia Ouyoun Ouyoun, Iliana Romero Batista, Miguel Ángel Edo Prades, Valentina Troconis Vaamonde
PDF

Hallazgos radiológicos de la banda gástrica y sus complicaciones.

Ronny Rodelo Haad, Jose Antonio Aguilar Gutierrez, Juan Manuel Pazos Guarin
PDF

Actualización del manejo diagnóstico de la hemorragia digestiva baja aguda

Alfonso Martín Díaz, Lucía Fernández Rodriguez, Rosa Capilla Pueyo, María José Simón Merlo, Áurea Díez Tascón, Milagros Martí De Gracia
PDF

Diverticulitis aguda: ¿ecografía o TC?

Mónica Fdez. Del Castillo Ascanio, Carlos Marichal Hernández, Daniel Eiroa Gutiérrez, Sonia Benitez Rivero, Victor Vázquez Sánchez
PDF

Patología benigna de la región anorrectal en RM: no todo son tumores

María Del Carmen González Domínguez, Roberto Fornell Pérez, María Valentina Vivas Escalona, Alina Uriarte Rodríguez
PDF

Estudio por imagen de la confluencia biliopancreática: Carcinomas periampulares y diagnóstico diferencial con otras entidades.

Ana Milena Muñoz, Jose Pozo Sanchez, Jose Antonio Miras Ventura, Laura Díaz Rubia, Mariola Gutierrez Gallardo, Cristina Dávila Arias
PDF

Utilidad de la tomografía en la valoración de las fistulas aortoentéricas

Susanie Flores Casaperalta, Marcelo Rengel Ruiz, Rocío Gil Viana, Juan Ignacio Cervera Miguel, Juan Manuel Sanchis, Juan josé Pomares Pomares
PDF

TC de las hernias de la pared abdominal: Lo que el radiólogo tiene que informar

Antonia Mora Jurado, Laura Cuesta Lujano, Antonio Delgado Cotán, Celia Izco García Cubillana, Luis Fernández Ollero, Carlos Caparrós Escudero
PDF

Radiofrecuencia de tumores renales: 10 años de experiencia

Caritat Garcia Vera, Anna Alguersuari Cabiscol, Eva Criado Paredes, Joan Falcó Fages, José Ramón Fortuño Andrés, Josep Guitart Giménez
PDF

Describir los hallazgos en tomografía de las lesiones de intestino delgado como causa de neumoperitoneo.

Susanie Flores Casaperalta, Rocío Gil Viana, Marcelo Rengel Ruíz, Carlos Piñana Plaza, Alvaro Pesquera Muñoz
PDF

Patología intestinal, más allá de la obstrucción.

Ignacio Martín García, Bianca Prieto Hernández, Sara Higuero Hernando, Cecilia Santos Montón, Juan Gatón Gómez, Jose Martín Marín Balbín
PDF

RENTABILIDAD DE LA BIOPSIA CON AGUJA GRUESA DE MASAS MESENTERICAS Y DEL PERITONEO

Maria Eugenia Pérez Montilla, Sagrario Lombardo Galera, Juan Jose Espejo Herrero, Luis Zurera Tendero
PDF

Descubriendo las hemorragias de intestino delgado mediante angioTC.

Lucía Fernández Rodríguez, Alfonso Martín Díaz, Aurea Díez Tascón, José Maria Artigas, Maria José Simón Merlo, Milagros Marti De Gracia
PDF

Experiencia en nuestro hospital en embolización arterial prostática (PAE) en pacientes con hiperplasia benigna de próstata (HBP), portadores de sonda urinaria permanente y alto riesgo quirúrgico.

Paloma Largo Flores, Julian Cuesta Perez, Karla Hypatia Vivancos Costaleite, Alberto Mingo Basail, Alfonsa Friera Reyes
PDF

¿Cuándo y cómo es seguro retirar el catéter de colecistostomía percutánea? Nuestra experiencia.

Jose Luis Ortega García, Alix Julliette Mantilla Pinilla, Pedro De La Iglesia Cardeña, David Contreras Padilla, Dolores Lora Jimenez, Santiago Gil Sanchez
PDF

ELASTOGRAFIA HEPATICA. PROGRAMA DE FORMACIÓN PARA DUE DE RADIOLOGIA.

Eugenio Sánchez Aparisi, Víctor Moreno Ballester, Charo Boscá Mayans, José Lorenzo Fos
PDF

Rotura esplénica atraumática: revisión.

Mara Begoña Guantes Del Vigo, Leire Hernaiz Argudo, Nerea Insausti Jaca, Eneritz Larrazabal Echevarria, Martin Aperribay Ulacia, Laura Casadiego Matarranz
PDF

Carcinoma de vesícula biliar: revisión radiológica y epidemiológica

María Begoña Guantes Del Vigo, Eneritz Larrazabal Echevarria, Leire Hernaiz Argudo, Nerea Insausti Jaca, Martin Aperribay Ulacia
PDF

Es nefrotóxico el contraste yodado? Se cuestiona una creencia generalizada.

Xavier Gallardo Cistaré, Beatriz Consola Maroto, Jaume Almirall Daly, Eva Castañer González, Marta Andreu Magarolas, Elena Gonzalez Cañas
PDF

Papel de la Histerosalpingografía frente a radiografía simple en el control de los dispositivos Essure

Juan Vega Villar, John Jairo Bautista Castro, Fernando Carretero López, Concepción Fernandez De La Plaza Román, Lorenzo Ortiz Fernández, Jose Luis Fernandez Cueto
PDF

Evaluación mediante Elastografía cuantitativa tipo ARFI de la respuesta al tratamiento antiviral en la recidiva del VHC en pacientes trasplantados hepáticos.

Marta Alfageme Zubillaga, M. Teresa Fontanilla Echeveste, Ana M. Duca, Iñigo Pérez González, Isolina Baños Pérez, M. Pilar Servent Sáenz
PDF

Complicaciones abdominales agudas en pacientes con neoplásias hematológicas. Hallazgos radiológicos mediante TC.

Juan José Pomares Pomares, Carlos Piñana Plaza, Rosa Dosdá Muñoz, Rocío Gil Viana, Juan José Delgado Moraleda, Julio Palmero Da Cruz
PDF

Carcinoma hepatocelular, ¿tratamiento combinado de quimioembolización arterial transcatéter (TACE) y ablación por radiofrecuencia o ablación por radiofrecuencia como tratamiento único?

María Udondo González Del Tánago, Jose Luis Del Cura Rodriguez, Borja Peña Baranda, Miguel Schüller Arteaga, Lander Antón Mendez, Domingo Grande Icaran
PDF

Experiencia inicial en el estadiaje del cáncer de vejiga con RM

Carmelo Palacios Miras, Carlos Sánchez Alamaraz, Adrián Husillos Alonso, Antonia Arjonilla López, Daniel Hernández Aceituno, Jaime Fernández Cuadrado
PDF

Resonancia magnética en el estudio del sistema gastrointestinal fetal

María Gómez Huertas, María Culiañez Casas, Miguel Angel Pérez Rosillo, Maria Pax Carrillo Badillo, Francisca Sonia Molina García, Elena Pastor Pons
PDF

REVISIÓN DE QUISTES PARAOVÁRICOS.

Antonio Ginés Santiago, María De La O Hernández Herrero, Sara Higuero Hernando, Covadonga Sales Fernández, Marcelino Mendo González, Manuel Fajardo Puentes
PDF

El índice neutrófilo-linfocito (INL) como posible marcador del diagnóstico de isquemia mesentérica aguda (IMA)

Lorena Flavia Rodriguez Gijon, Angel Aguado Toquero, Aurea Díez Tascón, José Simón Merlo, Marta Oñate Miranda, Milagros Martí De Gracia
PDF

Invaginación intestinal en el adulto: causa excepcional de obstrucción intestinal mecánica.

María Teresa Corbalán Sevilla, Rebeca Vara Cilla, Lara Núñez Moreno, Juan Vega Villar, Francisco Ballesta Vicente, Jorge Cobos Alonso
PDF

Patología infrecuente en estudios baritados.

Laura Domínguez Gómez, María José Regaña Feijoó, Guillermo García Gutierrez, Tania Díaz Antonio, Maria Del Mar Garcia Gallardo, Juan López Hidalgo
PDF

PNEUMATOSIS INTESTINAL: ES SIEMPRE UNA URGENCIA VITAL?

Montserrat Monzón Gaspà, Maria Auxiliadora Peralta Silva, Angel Seara Gil, Xavier Salvador Izquierdo, Sonia Carmen Rodriguez Gonzalez
PDF

Control radiológico del tratamiento de las metástasis hepáticas del cáncer colorrectal con anti- EGFR (cetuximab) o antiangiogénicos (bevacizumab). ¿Como evaluar la respuesta?.

Ruben Diez Bandera, Alfonso Illade Fornos, Maria Rosa Bouzas Sierra, Ruben Mendez Rodriguez, Raquel Seijo Rodriguez, Juan Manuel Vieito Fuentes
PDF

Impacto de la ecografía con contraste (ECS) en la caracterización de lesiones renales indeterminadas detectadas por ecografía sin contraste (ECS) o TC con contraste (TCC)

Jone Sagasta Urrutia, OlekSandr Ostapenko Xxx, Sonia Santos Ochoa De Eribe, Laura Alonso Irigaray, Guillermo Viteri Ramírez, Jon Etxano Cantera
PDF

UTILIDAD DE LAS UNIDADES HOUNSFIELD EN EL TRATAMIENTO DE LAS LITIASIS MEDIANTE LEOC.

Alejandro Puerta Sales, Paula Samper Mateo, Helena Pérez-Templado Ladrón De Guevara, Isabel Pena Fernández, Juana María Plasencia Martínez
PDF

SEGURIDAD Y EFICACIA DE LA PUNCION ASPIRACION-DRENAJE Y ESCLEROSIS DE LOS QUISTES HEPATICOS SIMPLES

Miguel Angel Zarca Diaz De La Espina, Carmen Martos Plasencia, Alicia Hernandez Albujar, Rosario Salmoral Luque
PDF

Colangiocarcinoma, un reto diagnóstico

Olga Montesinos Sánchez-Girón, Montserrat Garrido Blázquez, Diana Oquillas Izquierdo
PDF

Hidatidosis hepática, ¿qué quiere saber el cirujano?

Ainhoa Camarero Miguel, Luis Gijón De La Santa, Lidia Nicolás Liza, María José Raya Nuñez, José Manuel Ramia Ángel, José Antonio Pérez Retortillo
PDF

LA RESONANCIA MAGNÉTICA (RM) EN LA VALORACIÓN DE LAS PRINCIPALES MALFORMACIONES MÜLLERIANAS.

José Antonio Aguilar Gutierrez, Luis Lopéz Calderón, Juan Sales Sánchez, Ronny Rodelo Haad, Gregorio Marín Benítez
PDF

RM difusión abdominal para súperprincipiantes: bases físicas y aplicaciones

Carmen María Ortiz Morales, Elena Parlorio De Andrés
PDF

SONOHISTEROGRAFÍA 3D: FACIL, RAPIDA Y EFICAZ

Adela Rodriguez Fuentes, Ignacio Gonzalez Garcia, Yolanda Marcelino Reyes, Glenis Nieves Perdomo, Patricia Mora Guanche, Angela Palumbo
PDF

Complicaciones intestinales del bevacizumab

Francesc Calaf Forn, Laura Pelegrí Martínez, Javier Míguez González, Alona homas Martínez, Vicente Valles Noguera
PDF

¿Es posible la diferenciación de la sigmoiditis/diverticulitis aguda del cáncer de colon con pruebas radiológicas?

José Pablo León Salinas, Cristina La Parra Casado, Andrea Llavata Solaz, Esther Taberner Lopez, Pau Motesinos García, Silvia Paulina Gallegos Espinoza
PDF

El siguiente paso en el manejo del Cáncer de Próstata: biopsia de lesiones en RM multiparamétrica de próstata con co-registro de ecografía transr

Cristina González Gordaliza, Rafael RodríguezPatrón Rodríguez, Javier Fabuel Alcañiz, Enrique Sanz, Javier Burgos Revilla, Javier Blázquez Sánchez
PDF

Síndrome del ligamento arcuato medio:

Sonia Benítez Rivero, Javier Díaz Guitiérrez, Daniel Eiroa Gutiérrez, Víctor Vázquez Sánchez, Nímar Núñez Vila, Neymar Gómez Ferrera
PDF

Obstruccion Intestinal: Diagnóstico Radiológico Y Hallazgos Por Imagen De Sus Principales Causas.

Miguel Angel Perez Rosillo, María Gomez Huertas, Angela Salmeron Ruiz, Eduardo Ochando Pulido, Marta Revelles Paniza

Diagnóstico Radiológico Mediante TC Y RM De Las Lesiones Quísticas Pancreáticas Más Frecuentes.

Miguel Angel Perez Rosillo, Maria Gomez Huertas, Angela Salmeron Ruiz, Pablo Tomas Muñoz, Elena Moya Sanchez
PDF

Angio TC En La Evaluación Vascular Preoperatoria Del Hígado

Victoria De Lara Bendahán, Silvana Lara Fernandez, Carlos Borrega Harinero, Verónica Lorenzo Quesada
PDF

Impacto De La Volumetría Hepática Preoperatoria En La Resección De Metástasis Hepáticas De Cáncer De Colon

Victoria De Lara Bendahán, Francisco Javier Hidalgo Ramos, Gloria Porcuna Cazalla, Inmaculada Sánchez Romero, Jesús García Serrano
PDF

CISTOSCOPIA VIRTUAL EN EL DIAGNÓSTICO Y SEGUIMIENTO DEL CÁNCER DE VEJIGA

David Ibáñez Muñoz, Ignacio Quintana Martínez, Ana Fernández Militino, Daniel Sánchez Zalabardo, Rosa Cozcolluela Cabrejas
PDF

COMPLICACIONES POSTQUIRÚRGICAS PRECOCES EN PACIENTES NEOPLASIAS GASTROINTESTINALES

Andrea Llavata Solaz, Silvia Paulina Gallegos Espinoza, Esther Taberner Lopez, Esther Blanco Perez
PDF

Necrosis Cortical Renal. Revisión De Los Hallazgos Radiológicos Diagnósticos, Evolutivos Y Diferenciación De Otras Causas De Isquemia Renal.

Rubén Molina Fàbrega, Cristina La Parra Casado, Rafael Revert Espi, Yolanda Pallardó Calatayud
PDF

Tratamiento temporal con prótesis autoexpandible en patología intestinal alta.

Raúl Pellón Dabén, Amaya Iturralde Garriz, Javier Valentin De La Calle Lorenzo, Alexandra De Diego Diez, Juan Crespo Del Pozo, Francisco José González Sánchez
PDF

Revisión de todas las complicaciones que pueden aparecer en la colecistitis

Raúl Pellón Dabén, Paula Gallego Ferrero, Victor Fernandez Lobo, Beatriz Garcia Martinez, Mercedes Acebo García, Francisco Gonzalez Sánchez
PDF

¿ES UNA DIVERTICULITIS AGUDA COMPLICADA?

Blas Ramos Alcaraz, Roberto Severín Samuel Espín, Marta Llopis Pardo, Myriam Dorao Martínez-Romillo, Susana Pardo Barro
PDF

Ecografía del trasplante hepático, revisión.

Ruth Domene Moros, Jose Andres Guirola Ortiz, Noelia Padrón Rodriguez, Patricia Menal Muñoz, Yasna Villegas Mora, Diego Dotti Gonzalez
PDF

MANEJO DEL INCIDENTALOMA SUPRARRENAL

Esther García Rodríguez, Marta Bonfill Garcín, Marta Herrero Redondo, Fernando García Lorente, Maribel Cugat Gimeno, Ana Oliva Martí
PDF

Sé lo que cenaste ayer. ¡Lo que comes, puede matarte!

Andrés Alcázar Peral, Begoña López-Botet Zulueta, Gema Medrano Seoane, Guillermo Gallardo Madueño
PDF

Ablación percutánea de tumores hepáticos mediante microondas: experiencia en nuestro centro tras 4 años

Daniel Barnés Navarro, Angeles García Criado, Luis Bianchi Cardona, Ramón Vilana, Julián Moreno, Concepció Bru Saumell
PDF

Estudio por imagen de las complicaciones postcolecistectomía: Descripción de las técnicas quirúrgicas, diagnóstico, manejo, y potenciales errores diagnósticos.

Rubén Molina Fàbrega, Cristina La Parra Casado, Rafael Revert Espí, Yolanda Pallardó Calatayud, Vicente Alapont Olavarrieta
PDF

Diagnóstico por imagen de las complicaciones asociadas a la diálisis peritoneal: Revisión de la técnica, los hallazgos radiológicos y el papel de la TC peritoneografía.

Rubén Molina Fàbrega, Eduardo Torregrosa De Juan, Rafael Revert Espi, Yolanda Pallardó Calatayud
PDF

Complicaciones postquirúrgicas de las derivaciones urinarias

Beatriz García Martínez, Pedro Lastra García-Barón, Victor Fernandez Lobo, Paula Gallego Ferrero, Alejandro Fernández Florez
PDF

Descubriendo la adenomiosis uterina: un diagnóstico por RM. Formas típicas y atípicas y tratamiento endovascular.

Cristina La Parra Casado, Rubén Molina Fábrega, Enrique Esteban Hernández, Almudena Vera González, Julia Cano Gimeno
PDF

DIAGNÓSTICO POR IMAGEN DE LA ENFERMEDAD DE CROHN EN LA ACTUALIDAD: DESDE EL TRÁNSITO INTESTINAL BARITADO A LA ENTERORESONANCIA.

Maria Esther Gómez San Martín, Rebeca Sigüenza González, Nuria Andrés García, Jose Manuel Herrero Izquierdo, Ana Belén Gil Guerra, Juan José Fuertes Alija
PDF

CARACTERIZACIÓN DE LAS LESIONES DE LA VÍA BILIAR MEDIANTE COLANGIORESONANCIA (COLANGIORM).

Maria Esther Gómez San Martín, Maria Pina Pallín, Alicia Matilla Muñoz, Elena Nuñez Miguel, Reyes Petruzzella Lacave, Margarita Rodriguez Velasco
PDF

TC multicorte en traumatismos toracoabdominales cerrados: ilustración y repaso de los hallazgos más típicos visualizados en hernias traumáticas diafragmáticas y de pared abdominal.

Carolina Martinez Gamarra, Cristina Utrilla Contreras, Marta Oñate Miranda, Lucia Fernandez Rodriguez, Ana Verón Sánchez, Milagros Martí Gracia
PDF

Diagnóstico por imagen de patología ginecológica aguda

Inmaculada Mendoza Arnau, Amaia Izco Aso, Fabiola Muñoz Parra, Carmen Ortiz Cuevas
PDF

El síndrome del ligamento arcuato mediano o síndrome de Dunbar y todo lo que a él se refiere.

Danyelle Sánchez Paré, Ana María López Moreno, Milagros Milán Rodriguez, Luis Fernández Prudencio, Clara Gil Perea, Elena Esteban Duran
PDF

ENFOQUE RADIOLÓGICO DE LAS LESIONES TRAUMÁTICAS DEL APARATO URINARIO

Vladimir Cheranovskiy, Eva Ballesteros Gómiz, Antoni Malet Munté, Eva Criado Paredes, Louisiana Rivera Valladares
PDF

RM de pelvis en la infertilidad femenina, lo que el radiólogo necesita saber

Marta Bonfill Garcín, Esther García Rodríguez, Marta Herrero Redondo, Alexandro Eugena Martinez, Fernando García Lorente
PDF

TCMD EN LA DIVERTICULITIS AGUDA DE INTESTINO DELGADO

Silvana María Lara Fernández, Verónica Lorenzo Quesada, Victoria De Lara Bendahán, Laura García Camacho, Gloria Porcuna Cazalla, Carlos Borrega Harinero
PDF

El estudio de la hemorragia digestiva aguda mediante TC

Pablo Bartolomé Leal, Almudena Quílez Larragán, José Miguel Madrid Pérez, Meylin Caballeros Lam, Paula García Barquín, David Cano Rafart
PDF

Cistoadenoma biliar. Hallazgos característicos en RM y diagnóstico diferencial.

José Pablo León Salinas, Julia Cano Gimeno, Cristina La Parra Casado, Almudena Vera Gonzalez, Miquel Forment Navarro, Pedro Poves Gil
PDF

VALORACION DE LAS ANOMALIAS CONGENITAS DE LA VENA CAVA INFERIOR MEDIANTE TCMD

Verónica Lorenzo Quesada, Juan Carlos Perez Herrera, Juan Manuels Sanchez Crespo
PDF

DESCUBRIENDO AL COLANGIOCARCINOMA: PRESENTACIONES ATÍPICAS

Nuria Fernández García, Lorenzo Pastor Hernández, Lucia Raposo Rodríguez, Esther Montes Pérez, Oscar Fernández Guinea, Tomás Díaz Sánchez
PDF

MALROTACION INTESTINAL EN ADULTOS. HALLAZGOS EN TC

Veronica Lorenzo Quesada, Carlos Borrega Harinero, Juan Carlos Perez Herrera
PDF

Histerosalpingografía: nuestra experiencia.

Ana Tapia Guerrero, Lydia Eugenia Rojo Carmona, María Lucía Berma Gascón, Guillermo García Gutierrez, Victoria Romero Laguna, Tania Díaz Antonio
PDF

LI-RADS: revisión del manejo de lesiones hepáticas en pacientes cirróticos o con riesgo de hepatocarcinoma.

María José Raya Núñez, Emilio Valbuena Durán, Raq Raquel Cabrejas Morales, Ainhoa Camarero De Miguel, Léa Marie Klein, Lidia Nicolás Liza
PDF

MASAS QUÍSTICAS ABDOMINALES. CLAVES PARA UNA APROXIMACIÓN DIAGNÓSTICA.

Julia Mato Chaín, Teresa Guerra Garijo, Irene Perez Alonso, Julio Gallego Beuth, Ana Pastor Valvuena, Juan Cristobal Valenzuela Claros
PDF

Abdomen agudo secundario a LOEs hepáticas hemorrágicas.

Elsa Camuera Gonzalez, Jenny Catalina Correa Zapata, Leticia Múgica Alvarez, Guillermo González Zapico, Manuel Salomón De La Vega, Esther Gorostiza Bermejo
PDF

Leiomatosis peritoneal diseminada: Hallazgos por imagen

Cristina Lidia Fernández Rey, Javier Pereda Rodriguez, Carlos Oliva Fonte, Laia Perez Tapia, Marta Lobo Garcia, Javier González Llorente
PDF

Uso de la Secuencia de DWI en el seguimiento y valoración de respuesta del tratamiento de los tumores GIST

Marta Abadal Prades, Sonia Casals Vila, Juan Carlos Mariano Rodriguez, Nuria Roson Gradaille, Neus Torra Ferrer
PDF

Recuerdo anatómico: Espacios peritoneales y retroperitoneales

R. Falero Pérez, F. J. Díaz Formoso, M. R. Rodríguez Falcón, M. A. Santana Rodríguez
PDF

ACTUALIZACIÓN EN EL DIAGNÓSTICO RADIOLÓGICO DE LAS LESIONES QUÍSTICAS PANCREÁTICAS

Virginia Fernández Cisneros, Ana María Vargas Díaz, Carlos Oliva Fonte, Cris Eugenia Sibaja Castro, Francisco Javier Rodríguez Recio
PDF

Adaptación al servicio de radiología de la técnica Goñi-Moreno: neumoperitoneo progresivo pre-operatorio en la reparación de hernias gigantes de pared abdominal con pérdida de domicilio.

Jordi Català Forteza, Xavier Araque Pascual, Sonia Ruiz Macarrilla, Gracia Valderas Martinez, Marc Pujol Riqué, Joaquim Robres Puig
PDF

TUMORES ABDOMINALES GIGANTES: UN RETO DIAGNÓSTICO PARA EL RADIÓLOGO.

M. E. Hernández García, B. Díaz Barroso, C. R. Cárcamo Flores, A. Mejias Espada, c. Sainz Azara, m. a. Cruz Diaz
PDF

Estadificacion del cáncer gástrico. Papel del TC multidetector.

Verónica Lorenzo Quesada, Silvana Maria Lara Fernandez, Juan Carlos Perez Herrera
PDF

Hallazgos de imagen en patología de la región ileocecal del adulto: área compleja y múltiples diagnósticos.

Victoria Romero Laguna, Guillermo García Gutiérrez, Lucía Bermá Gascón, Ana Tapia Guerrero, Laura Domínguez Gómez, Tania Díaz Antonio
PDF

La cistografía retrógrada en estanquidad vesical, ¿continúa siendo de utilidad?

Victoria Romero Laguna, Lydia Eugenia Rojo Carmona, Ana Tapia Guerrero, Guillermo García Gutiérrez, Lucía Bermá Gascón, María José Regaña Feijoó
PDF

Enfoque radiológico de la trombosis portal. Causas y complicaciones.

Raúl Pellón Dabén, Alexandra De Diego Diez, Victor Fernandez Lobo, Javier Valentin De La Calle Lorenzo, Juan Crespo Del Pozo, Francisco González Sánchez
PDF

Tumores renales infrecuentes:

Carlos R. Cárcamo Flores, Begoña Díaz Barroso, M- E. Hernández García, P. Arenas García, M. Huelves García, M. A. Cruz Díaz
PDF

Patología del Recto: Hallazgos en la TC-Colonografía

Susana A. Otero Muinelo, María José Martínez-Sapiña Llanas, Tania Pérez Ramos, Enrique Flores Ríos, Pablo Fernández Armendáriz, Concepción Crespo García
PDF

EL CÁNCER DE VEJIGA INTERVENIDO. CISTECTOMIA RADICAL Y DERIVACIONES URINARIAS. LO QUE EL RADIOLOGO DEBE SABER.

Natividad Rebollo García, Kenza Machan, Olga Guerreo Mayor Tapia Guerrero, Blanca Moron Rodriguez
PDF

APROXIMACIÓN DEL TIPS A LOS RESIDENTES: DESCRIPCIÓN DE LA TÉCNICA Y CONTROL MEDIANTE ECOGRAFÍA DOPPLER.

Antonio Lorenzo Górriz, Soraya Barrachina Hidalgo, Laura Grimalt Garcia, Maria Ponce Gonzalez, Eva Casanovas Feliu, Iliana Romero Batista
PDF

VALOR DE LA PET-RM EN EL CANCER DE OVARIO

Antonio Maldonado Suarez, Elena Alvarez Moreno, Mar Jimenez De La Peña, Lucia Gonzalez Cortijo, Elia Del Cerro Peñalver, Ricardo Sainz De La Cuesta Abbad
PDF

¿Por qué la ecografía continúa siendo nuestra herramienta inicial frente a en la diverticulitis aguda?

FRANK Farfan Leal, CARMEN Picon Serrano, SARA Escoda Menendez, ALVARO Arribas Marcos, INES Pecharroman De Las Heras, AGUSTINA Vicente Bartulos
PDF

CALCIFICACIONES EN LA RADIOGRAFÍA SIMPLE DE ABDOMEN

Ramon Ortiz Gimenez, Jose Ant AntonioFernandez Gomez, Jose Andres Guirola Ortiz, Ruth Domene Moros, Diego Dotti Gonzalez, Angel Joan javier Gesualdo De La Cruz
PDF

"Patología de la vía biliar: De la A a la Z”

Paloma Largo Flores, Pablo Rodriguez Carnero, Ramiro Pedro Campos Rivas, Daniel Tejedor Segura, Saturnino González Ortega, Lourdes Del Campo Del Val
PDF

Desde la urografía iv al uroTC y uroRM: Estudio de estas técnicas de imagen en la valoración del sistema urinario.

Miguel Angel Perez Rosillo, Maria Gomez Huertas, Maria Dolores Garcia Roa, Antonio Gamez Martinez, Eduardo Ochando Pulido
PDF

ADENOMIOSIS,FORMAS DE PRESENTACIÓN. CARACTERÍSTICAS EN RM

Guillermina Montoliu Fornas, Aleixandre Pérez Girbés, Jesús Javier Collado Sánchez, Roberto Llorens Salvador, Miguel Angel Sánchez Fuster, Rosa Mª Viguer Benavent
PDF

Imagen de difusión en Resonancia Magnética abdominopélvica: Técnica y utilidad.

Anthony Vizarreta Figueroa, Jaime Salvador García, Fernando Brahm Mallagaray, Juan Manuel Pazos Guarin, Fructuoso Delgado Cordón
PDF

Intervencionismo Radiológico en la Pancreatitis Necrotizante

Marta Tovar Pérez, José R. Olalla -Muñoz, Enrique Girela Baena, Carmen Botía González, Elizabeth M. Nuñez Peynado, Elisabeth Cruces Fuentes
PDF

PATOLOGÍA NO NEOPLÁSICA DEL DUODENO: QUÉ BUSCAMOS, QUÉ ENCONTRAMOS... HALLAZGOS SEGÚN LA TÉCNICA DE IMAGEN EMPLEADA

María Rosario Campos Arenas, Marina Cristina Sánchez-Porro Del Río, Teresa María Guijo Hernández, Macarena Sánchez-Carpintero De La Vega, María Soraya García Gómez, José Lope Garrido Rull
PDF

Linfoma gastrointestinal primario. ¿Quién dijo adenopatías?

Natalia Bernal Garnés, Antonio Ortuño Macía, Elena Esteban García, María Alberola Marco, Camelia Lungan, Guillermo Alabau Vázquez
PDF

Valoración mediante DIXON de lesiones adrenales incidentales

Ana Ecenarro Montiel, Sandra Baleato González, Roberto García Figueras, Emilio Huelga Zapico
PDF

Patología aguda gástrica por TC

Lara Farràs Roca, Natalia M Romero Martinez, Iván Carrion Martinez, Camilo Pineda Ibarra, Albert Pons Escoda, Richard Mast Vilaseca
PDF

¿Hasta dónde afina la ecografía en la apendicitis aguda?

Sandra Bermúdez Nieto, Álvaro Arribas Marcos, Almudena Ureña Vacas, Ruben Eduardo Pacios Blanco, Ernesto Garcia Santana, josefa Pérez-Templado Ladrón De Guevara
PDF

Aportación del TC en la estadificación del carcinoma de colon

María Gómez Huertas, Miguel Angel Pérez Rosillo, Angela Salmerón Ruiz, Antonio Medina Benitez
PDF

DIAGNÓSTICO Y MANEJO DE LAS LESIONES QUÍSTICAS HEPÁTICAS

Luisa Fernanda Angel Rios, Luis Sarría Octavio De Toledo, Cristina Sebastián Sebastián, Raquel Larrosa López, Elena Martinez Mombila, Sandra Marcos Mondón
PDF

Lo que el apéndice esconde: ¿apendicitis aguda o tumor apendicular?

aNTONIO Marín Cañete, Idoia Santos Gómez, María Simonet Redondo, Nuria Rojo Sanchis, Amparo Villar Canovas, Ana María Sánchez Laforga
PDF

Entero-RM en la enfermedad de Crohn: diagnóstico, clasificación y manejo

Marta Bonfill Garcín, Ana Oliva Martí, Esther García Rodriguez, Maribel Cugat Gimeno, Fernando García Lorente, Maite Fonoll Balaña
PDF

Manejo de las complicaciones vasculares en paciente post-trasplante hepático

Victor Cuba Camasca, Alejandro Sotomayor, Patricia Bermúdez, Marta Barrufet, Karina Chavez, Marta Burrel

Pancreatitis aguda: evolución y complicación.

Marcelo Rengel Ruíz, Nerses Nersesyan, Marta Rausell Félix, Rocio Gil Viana, Susani Flores Casaperalta, Carlos Piñana Plaza
PDF

Enfermedad inflamatoria intestinal: ATLAS RADIOLOGICO DE ENTERORM

Ana María López Moreno, Danyelle Elena Sánchez Paré, Rocío Mora Monago, Luis Fernández Prudencio, Elena María Esteban Durán, Virginia Arroyo Fernández
PDF

Tumores neuroendocrinos abdominales: un reto diagnóstico

Alba Maria Novo Amado, María Fraga Sánchez, Jorge González Ramírez, José Manuel Crespo Teijeiro, Clara Miras Castelao, José Manuel Bermúdez Cancelo
PDF

Hallazgos radiológicos en las malformaciones congénitas del aparato urinario.

Carlos Borrega Harinero, Verónica Lorenzo Quesada, Francisco Javier Hidalgo Ramos, Inmaculada Sánchez Romero, Victoria De Lara Bendahan, Silvana María Lara Fernández
PDF

DISPOSITIVOS GENITOURINARIOS : LO QUE DEBEMOS CONOCER Y TENEMOS QUE DECIR LOS RADIÓLOGOS.

B. Díaz Barroso, M. E. Hernández García, C. R. Cárcamo Flores, P. L. Arenas García, M. Rascón Risco, M. A. Cruz Diaz
PDF

PATOLOGÍA INFLAMATORIA-INFECCIOSA DE LAS TROMPAS DE FALOPIO

Sonia Claret Loaiza, Victor Federico Cáceres Filippon, Patricia Solano Díaz
PDF

Estenosis biliares. Claves para el diagnóstico diferencial.

Elena Moya Sánchez, Ángela Salmerón Ruiz, Antonio Medina Benítez, Pablo Tomás Muñoz, Jade García Espinosa, María Gómez Huertas
PDF

Hernia interna: un reto para el radiólogo.

María Carrillo García, Elizabeth M. Núñez Peynado, Elena Parlorio De Andrés, Juana María Plasencia Martinez, Ana Moreno Pastor, Jose Ramón Olalla Muñoz
PDF

1. Diagnóstico y estadificación del cáncer de páncreas. El aporte del radiólogo.

María Dolores García Roa, Ángela Salmerón Ruiz, María Culiáñez Casas, Elena Moya Sánchez, Antonio Medina Benítez
PDF

Carcinoma del tracto urinario superior: ¿reto diagnóstico?.

Alberto Bravo Soberón, Diego Garrido Alonso, Miguel Bello Erias, V´íctor Muley Luelmo
PDF

UTILIDAD DE LA COLONOGRAFÍA-TC O COLONOSCOPIA VIRTUAL EN LA PATOLOGÍA COLORRECTAL.

Susana De Lázaro De Molina, Santiago Marco Domenech, Eva Casanovas Feliu, Iliana Romero Batista
PDF

¿CÓMO MEJORAR LA INTERPRETACIÓN DE LA COLONOSCOPIA VIRTUAL?

Beatriz Lannegrand Menéndez, Paula Hernández Mateo, Laura Galván Herráez, Irene Martín Lores, Jose Luis Lerma Gallardo, Juan Carlos Monte González
PDF

Vólvulos gastrointestinales: Todo lo que debemos saber

María Alberola Marco, Antonio Ortuño Macia, Natalia Bernal Garnés, Camelia Lungan, Guillermo Dario Alabau Vazquez, Juan Pablo Garcia Fresnadillo
PDF

Lesiones ováricas más frecuentes. Un reto por imagen.

Javier Pereda Rodríguez, Carlos Oliva Fonte, Cristina Lidia Fernández Rey, Marta Lobo Garcia, Virginia Fernández Cisneros, Javier Gonzalez Llorente
PDF

Utilidad de la TC-Colonografía en el diagnóstico del Carcinoma Colorrectal en pacientes con Diverticulitis Crónica

María José Martínez-Sapiña Llanas, Susana A. Otero Muinelo, Tania Pérez Ramos, Concepción Crespo García, Pablo Fernández Armendáriz, Enrique Flores Ríos
PDF

IMAGEN DE LA DEHISCENCIA DE SUTURA DE CESÁREA: UN DIAGNÓSTICO RADIOLÓGICO CON IMPORTANTE IMPLICACIÓN PRONOSTICA

Tomás Fernandez-Villa Del Hoyo, Fernando Idoate Saralegui, Pedro Luis Alejandre García, David Pintado Vera, Juan Luis Alcazar Zambrano

Hematoma de la vaina de los rectos: hallazgos radiológicos, complicaciones y opciones terapéuticas.

Ildefonso Pulido Ruiz, Carlos Gálvez García, Rafael Félix Ocete Pérez
PDF

Diagnóstico y estadiaje de cáncer de próstata en la era de la RM: guía para el residente.

Orsolya Mezosi, Joan-Pere Vives Abelló, Luz Elena Guerrero Acosta
PDF

Patología apendicular: Más allá de la apendicitis aguda

Gorka Del Cura Allende, Pablo Sádaba Sagredo, Ainize Cancho Salcedo, María Elena Lángara García-Echave, Nerea García Garai, Estibaliz Gómez Jiménez
PDF

MANIFESTACIONES RADIOLÓGICAS DEL COLANGIOCARCINOMA.

Elena Quílez Caballero, Emilio Valentín Agrela Rojas, Adriana María López Ruiz, Federica Cordido Henriquez, Ignacio López-Vidaur Franco, Juan Carrero Alvaro
PDF

Nuevos horizontes en el diagnóstico del cáncer de próstata.

Alejandro José García Muñoz, José Lope Garrido Rull, Teresa María Guijo Hernández, Cristina Liberato Cano, Marina Cristina Sanchez-Porro Del Río, María Rosario Campos Arenas
PDF

TCMD del potencial donante vivo de trasplante renal: lo que el cirujano quiere saber

Vanessa S. Terán Pareja, Elena Martínez Carapeto, Carlos Fernandez Cabrera, Nancy Guerrero Salcedo, Angel Sanchez Guerrero
PDF

ECOGRAFÍA CON CONTRASTE: DIAGNÓSTICO DE NÓDULOS HEPÁTICOS EN HEPATÓPATAS.

Elena Inchausti Iguiñiz, Maite Esnaola Albizu, Montserrat Poch Zatarain, Maria Arantzazu Agote Jeimen, Ainhoa Astiazaran Rodriguez, Jose Maria Alustiza Echeverria
PDF

Patología adrenal: diagnóstico diferencial por imagen.

María José García Hernández, Noelia Romera Romera, María Dolores García Roa
PDF

Imagen postoperatoria del trasplante pancreático: lo que el radiólogo debe conocer

Vanessa S. Terán Pareja, Guido A. Finol Vaccariello, Nuria Pérez Peláez, Alberto Martínez Arnáiz, Angel Sanchez Guerrero
PDF

COMPLICACIONES DE LA COLONOSCOPIA. PRINCIPALES HALLAZGOS DE IMAGEN

Nancy Guerrero Salcedo, Elena Martínez Chamorro, Vanessa Terán Pareja, Virginia Navarro Cutillas, Guido Finol Vaccariello, Susana Borruel Nacenta
PDF

Enterografía por RM: Guía técnica práctica para su optimización y solución de problemas

Sonia Rodriguez Gomez, Jordi Rimola Gibert, Mario Pages Llinas, Ana Darnell Martin, Santiago Sotes Abril, Carmen Ayuso Colella
PDF

Abdomen agudo de origen ginecológico: papel del TCMD

Vanessa S. Terán Pareja, Susana Borruel Nacenta, Elena Martínez Chamorro, Gerardo Ayala Calvo, Danitza Mandich Crovetto, Virginia Navarro Cutillas
PDF

Pancreatitis crónica: Hallazgos en ecografía, Tomografía Computarizada (TC) y Resonancia Magnética (RM).

Jaime Salvador García, Anthony Vizarreta Figueroa, Juan Manuel Pazos Guarín, Fernando Brahm Mallagaray, Fructuoso Delgado Cordón
PDF

Patología duodenal en la práctica diaria. Revisión del tema y hallazgos radiológicos.

Rafael Revert Espi, Ruben Molina Fàbrega, Yolanda Pallardó Calatayud
PDF

CARACTERIZACIÓN DE MASAS ANEXIALES: PAPEL DE LA IMAGEN EN LA DETECCIÓN PRECOZ DEL CA. DE OVARIO.

María Martínez Martínez-Losa, Miguel Grande Bárez, Ana María Garcia Morena, Esther Domínguez Franjo, Ana Isabel Fernández Martínez, Rosa Galván Flórez
PDF

Lesiones quísticas del páncreas, algo más que pseudoquistes.

Enrique Flores Ríos, María José Martínez-Sapiña Llanas, Pablo Fernández Armendáriz, Tania Pérez Ramos, Susana Altea Otero Muinelo, Sergio García Dubra
PDF

VALORACIÓN DE LAS LESIONES QUÍSTICAS PANCREÁTICAS: TC Y RM

Gloria María Anicama Orcón, María Dolores García Gonzalez, Thelmo Patricio Zamora Verduga, Gabriel Nombela Fernandez, José Antonio Calderón Navarrete, Ruben Bernardo Palomar
PDF

Técnicas actuales de detección de la grasa en RM abdominal

María Isabel Rossi Prieto, Ana Benítez Vazquez, Carlos Luis Peñalver Paolini, Belén Fernández Crehuet, Ana Alejandra Sánchez Naves, Luis Herraiz Hidalgo
PDF

Resonancia magnética multiparamétrica en el seguimiento de pacientes tratadas de cáncer ginecológico

Alfonso Iglesias Castañón, Mercedes Arias González, Mónica Fernández Blanco, Marta Herreros Villaraviz, Beatriz Nieto Baltar, Jorge Mañas Uxó
PDF

Utilidad de la RM en las complicaciones de la cicatriz de cesárea.

Alfonso Iglesias Castañón, Mercedes Arias González, Raquel Seijo Rodríguez, Marta Herreros Villaraviz, Ángel Nieto Parga, Beatriz Nieto Baltar
PDF

Enterocolitis necrotizante en el recién nacido a término

Elisa Aguirre Pascual, Carmen Gallego Herrero, Constanza Liébana De Rojas, David Coca Robinot, Gloria Del Pozo García, Carmelo Serrano Hernández
PDF

CORRELACIÓN DE LOS HALLAZGOS DE IMAGEN LA ENFERMEDAD DE CROHN EN ECOGRAFÍA Y ENTERO-RM.

Ronny Rodelo Haad, Luis López Calderón, Tomás Ripollés González
PDF

EnteroRM en la Enfermedad de Crohn. Valoración de actividad

Marta Abadal Prades, Sonia Casals Vila, Maria Montserrat Duh, MAite Fernandez Planas, Juan Carlos Mariano Rodriguez
PDF

LESIONES QUÍSTICAS Y PSEUDOQUÍSTICAS MESENTÉRICAS Y OMENTALES

Eneritz Larrazabal Echevarria, Leire Hernaiz Argudo, Bego;a Guantes Del Vigo, Nerea Insausti Jaca, Martin Aperribay Ulacia, Silvia Cisneros Carpio
PDF

Isquemia intestinal: protocolo de estudio y principales hallazgos por TC

Eduardo Herrero Carretero, Mercedes Leal Cala, Sara Lojo Lendoiro, Marta Gallego Riol, Raquel Esteban Sáiz, Rafael Virués Vázquez
PDF

Caracterización de lesiones focales hepáticas mediante Resonancia Magnética utilizando contraste órgano-específico Gd-EOB-DTPA.

Angel Alberto Marin Suarez, Silvia Llaverias Borrell, Vicente Querol Borras, Ana Maria Olarte Tobon, Anna Maria Gallart Ortuño,, Cristina Simon Olive
PDF

Colpocistodefecografía con bario en el intestino delgado. ¿Cómo? ¿Para qué? ¿Cómo elaborar el informe radiológico?

María José Regaña Feijoó, Laura Domínguez Gómez, Guillermo Garcia Gutierrez, Tania Díaz Antonio, Maria Del Mar Garcia Gallardo, Juan López Hidalgo
PDF

Estudios Baritados Digestivos en el Siglo XXI: Análisis presente y futuro

Tomás Vallejo Palomino, Ana Mª Carrillo Colmenero, Julio Galván Sánchez

Diagnóstico por imágenes en el colangiocarcinoma.

Alfredo Joaquín Laguna, Lidia Nicolás Liza, Emilio Valbuena Durán, Juan Díaz Concepción, Juan Carlos Jurado López, José Antonio Pérez Retortillo
PDF

HALLAZGOS EN IMAGEN DE LA ESPLENOSIS.

Luis López Calderón, José Vizuete Del Río, Fructoso Delgado Cordon
PDF

TROMBOSIS VENOSA MESENTERICA, UN ENEMIGO SILENCIOSO: Utilidad de las imágenes diagnósticas.

Paola Andrea Rueda Mejía, Helena Cigarran Sexto, Juan Calvo Blanco, Ana Menezes Falcao, Vicente Santamaria Perez, Karen Del Castillo Arango
PDF

RM y Secuencias DWI en patología de ovario. Nuestra experiéncia

Sonia Casals Vila, Marta Abadal Prades, Araceli Moreno Luna, Juan Carlos Mariano Rodriguez, Maria Teresa Fernandez Planas, Maria Jose Fantova Cosculluela
PDF

EL INFORME DE TC EN EL CÁNCER DE PÁNCREAS: EL RADIÓLOGO CON MENTE DE CIRUJANO.

Isabel Fernández Sobrino, Begoña López-Botet Zulueta, Christian Escalona Huerta, Gema Medrano Seoane, Andrés Alcázar Peral, Guillermo Gallardo Madueño
PDF

CAMBIOS HEMODINÁMICOS PORTALES Y ARTERIALES EN EL TRASPLANTE HEPÁTICO: ESTUDIO PROSPECTIVO MEDIANTE DOPPLER COLOR Y ESPECTRAL.

Jorge Escartín López, Marta Alfageme Zubillaga, Teresa Fontanilla Echeveste, Carolina Correoso Pardo, Yamilet Cepeda Ibarra, Gianluca Martinelli Martinelli
PDF

Síndrome del ligamento arcuato, ¿qué debemos conocer?

Laura García Alonso De Caso, Angeles Silva Rodriguez, Raquel García Latorre, Agustina Vicente Bártulos, Ines Pecharroman De Las Heras
PDF

Lesiones focales hepáticas benignas, revisión de las patologías más frecuentes que el radiólogo debe conocer. Diagnóstico y seguimiento.

Marta Llopis Pardo, Miguel Gonzalez De Cabo, Susana Pardo Barro, Sandra Patricia Arévalo Arévalo, Roberto Severín Samuel Espin, Mercedes Cuadra Coll
PDF

El desarrollo de ascitis condiciona la supervivencia de los pacientes tratados con DEB-TACE.

Susana Sanmartino González, Alicia Mesa Alvarez, María Pipa Muñiz, Florentino Vega García, Verónica Soto Verdugo, María Varela Calvo
PDF

La recidiva del cáncer de páncreas. ¿La vemos?

Marta Vilas Gonzàlez, Fernando Bazan Asencios, Juan Sánchez Parrilla, Marcos Busto Barrera, José María Maiques Llácer, Aleksandar Radosevic
PDF

CARCINOMATOSIS PERITONEAL DE ORIGEN OVARICA – una entidad bien conocida, estudiada con nuevas técnicas radiológicas

Dániel Vas, Maria Carmen Sebastia Cerqueda, Maria Mayoral, Laura Buñesch Villalba, Sergio Martinez, Carlos Nicolau Molina
PDF

La imagen de la Pancreatitis Aguda.

Cris Eugenia Sibaja Castro, Teresa Gonzalez De La Huebra Labrador, Diana Oquillas Izquierdo, Marta Lobo Garcia, Montserrat Garrido Blázquez, Ana Maria Vargas Diaz
PDF

Traumatismo intestinal y mesentérico: revisión de signos en TC

M Auxiliadora Peralta Silva, Angel Seara Gil, Xavier Salvador Izquierdo, Montserrat Monzón Gaspá, Sonia Carmen Rodríguez González
PDF

Manejo radiológico de las complicaciones del trasplante hepático.

Juan Francisco Martínez Martínez, Santiago Ibañez Caturla, Diego Páez Granda, Antonio Navarro Baño, Yesica Martínez Paredes, Matilde Fuster Quiñonero
PDF

Diagnóstico diferencial de las masas del área suprarrenal en neonatos

Sandra Liliana Barrero Varon, Eva Regina Amador Gonzalez, Maria Rodriguez Eiriz, Melisa Guadalupe Tito Mollo, Beatriz Miriam Rodriguez Chikri, Valeriano Henales Villate
PDF

Afectación hepática en la telangiectasia hemorragica hereditaria. Hallazgos radiologicos.

Marta Llopis Pardo, Myriam Dorao Martinez-Romillo, Miguel Gonzalez De Cabo, Roberto Severín Samuel Espin, Sandra Patricia Arévalo Arévalo, Blas Ramos Alcaraz
PDF

Hiperplasia nodular regenerativa hepática: hallazgos en TC y RM.

Trinidad Escudero Caro, Covadonga Sales Fernández, Verónica Álvarez-Guisasola Blanco, Mariola Hernández Herrero, Antonio Ginés Santiago, Gabriel C. Fernández Pérez
PDF

LINFOMA: MANIFESTACIONES RADIOLÓGICAS DE LA AFECTACIÓN NODAL Y EXTRANODAL EN ABDOMEN

nEREA Insausti Jaca, Leire Hernaiz Argudo, Eneritz Larrazabal Echevarria, María Begoña Guantes Del Vigo, Martin Aperribay Ulacia, Irune Perez Arroyuelos
PDF

Utilidad de la imagen radiológica en las infecciones renales. Hallazgos que el radiólogo debe conocer.

Marta Llopis Pardo, Roberto Severín Samuel Espin, Miguel Gonzalez De Cabo, Susana Pardo Barro, Miguel Mas Gelabert, Sandra Patricia Arevalo Arevalo
PDF

GIST: hallazgos radiológicos y formas de presentación

María Begoña Guantes Del Vigo, Nerea Insausti Jaca, Eneritz Larrazabal Echevarria, Leire Hernaiz Argudo, Laura Casadiego Matarranz, Martin Aperribay Ulacia
PDF

Estudio de las complicaciones de la cirugía bariátrica por TC.

Clara Morandeira Arrizabalaga, Maria Victoria Bárcena Robredo, Amai Amaia Bilbao Gonzalez, Maria Isusi Fontan, Marta Perez Bea, Domingo Grande Icaran
PDF

Gradación de la respuesta del cáncer de recto tras neoadyuvancia: Correlación radiopatológica.

Gerardo Ayala Calvo, Mª Santos Gallego Gallego, Alberto Martínez Arnaiz, Yolanda Rodríguez Gil, Vanesa Rueda Sainz-Aja
PDF

Utilidad de las técnicas de difusión en la RM para el diagnóstico de la recidiva local del cáncer de recto.

Maria Pardo Antúnez, Isabel Puig Povedano, David Martinez De La Haza, Eva Merino Serra, Ana Sánchez Marquez, Eduard Andía Navarro
PDF

Obstrucción de intestino delgado: un abordaje diagnóstico para principiantes

Meylin Caballeros Lam, Jose Miguel Madrid Pérez, Pablo Bartolomé Leal, Ignacio González De La Huebra Rodriguez, Isabel Vivas Pérez
PDF

Diagnóstico de las complicaciones del trasplante renal: cuando recurrir al TC

María Gómez Huertas, Miguel Angel Pérez Rosillo, Angela Salmeron Ruiz, Maria Dolores García Roa, Antonio Medina Benitez
PDF

Torsión de trompa de Falopio: causa de dolor pélvico agudo en niñas y adolescentes. Revisión de la patología.

Belén Del Río Carrero, Carmina Durán Feliubadaló, Caritat García Vera, César Martín Martínez, Inmaculada Romero Novo, Lola Esteba Bech De Careda
PDF

TOMOGRAFÍA COMPUTARIZADA DEL DONANTE VIVO Y RECEPTOR PARA EL TRASPLANTE RENAL: LO QUE EL CIRUJANO ESPERA DEL INFORME RADIOLÓGICO

Juan José Delgado Moraleda, Carolina Ramírez Ribelles, Carmen Ballester Vallés, Alexandre Pérez Girbés, Ariel Rolando Pacheco Usmayo, Juan José Pomares Pomares
PDF

Aplicaciones de la ecografía con contraste en la patología urinaria

Fernando Brahm Mallagaray, Jaime Salvador García, Anthony Vizarreta Figueroa, Juan Manuel Pazos Guarín, Jose Vizuete Del Río
PDF

Hallazgos en imagen de los tumores biliares

Fernando Brahm Mallagaray, Luis López Calderón, Anthony Vizarreta Figueroa, Jaime Salvador García, Juan Manuel Pazos Guarín, Fructuoso Delgado Cordón
PDF

Distensión abdominal en el neonato: más allá de la NEC...

Constanza Liébana De Rojas, Carmen Gallego Herrero, Elisa Aguirre Pascual, David Coca Robinot, Miguel Rasero Ponferrada, Gloria Del Pozo García
PDF

Diagnóstico diferencial del dolor en fosa ilíaca derecha en la mujer, más allá de la apendicitis

Beatriz Gutiérrez Martínez, Mónica Bernabéu Rodríguez, Rafael Morcillo Carratalá, María Jesús Lucena González, Carmen Nieves Cereceda Pérez, Carmen García Roch
PDF

CARACTERIZACIÓN RADIOLOGICA DEL HEMANGIOENDOTELIOMA EPITELOIDE HEPÁTICO MEDIANTE DIFERENTES TÉCNICAS RADIOLÓGICAS.

José David Guio Fernández, Carlos Pastor Sanchez, Vanessa Paz Goic Ortiz, Cristina Gómez Vega, Carlos Ariza Molina
PDF

DIAGNÓSTICO POR IMAGEN DE LAS MASAS QUÍSTICAS ABDOMINALES CONGÉNITAS

Laura Garcia Suarez, Javier Manso Molina, Sandra Sanchez Garcia, Diego Rubio Solis, Susana Gonzalez Sanchez, Gonzalo Anes Gonzalez
PDF

Tiempo de tránsito colónico con marcadores radiopacos: nuestra experiencia.

Cristina Muela García, Álvaro Julián Pérez, Jose Antonio Alarcón Calvillo, Paula Calvo Ramírez, Remedios Alpera Tenza, Zuleyma Sánchez Acevedo
PDF

Las funduplicaturas en niños: lo que el radiólogo debe saber

Pablo Rodríguez Carnero, Daniel Tejedor Segura, Thane Blinman, Sudha Anupindi
PDF

Periné femenino: revisión de la anatomía y patología

Esther Dominguez Franjo, Laura Garcia Del Salto, Maria Martinez Martinez Losa, Ana Maria Garcia Morena, Laura Cubillo De Olazadal, Rosa Galvan Florez
PDF

LESIONES QUISTICAS PELVICAS NO GINECOLOGICAS : QUÉ TENEMOS QUE DECIR LOS RADIÓLOGOS.

Carlos Sánchez Almaraz, Begoña Díaz Barroso, Victor Manuel Suarez Vega, Carmelo Palacios Miras, Ana Bernardo Fernandez, Belen Brea De Diego
PDF

Afectación intestinal y extraintestinal en la colitis ulcerosa: una revisión de imagen

Patricia Camino Marco, Dionisio Jesús Donate Ortiz, Ángela Fernández López, Miguel Villar García, Cristina López Cárceles, Maria Del Rosario Pastor Juan
PDF

Simuladores de adenocarcinoma de páncreas: ¿Qué debe saber el radiólogo?

Patricia Camino Marco, Maria Del Rosario Pastor Juan, Maria Isabel Tercero Azorin, Javier Peinado Rodenas, Nuria Mª López-Galiacho Heras, Ángela Fernández López
PDF

DIAGNÓSTICO DE LA HIPERPLASIA NODULAR FOCAL MEDIANTE ECOGRAFÍA CON CONTRASTE INTRAVENOSO

Adriana María López Ruiz, Elena Quílez Caballero, Juan Carrero Álvaro, Ignacio López-Vidaur Franco, Leire Armendariz Blanco, Isabel Rozas Gómez
PDF

Vigilancia radiológica en el tratamiento de los tumores hepáticos con microesferas de Y90

Daniel Pérez Enguix, Blanca Ibañez Roselló, Noelia López Muñoz, María Sabater Peñalber, Pilar Bello Arqués, Juan Manuel Campayo Esteban
PDF

Estudio comparativo entre la TCMD64 y el 18FDG-PET/CT en el diagnóstico inicial de la afectación extranodal en el linfoma

Begoña López-Botet Zulueta, Nieves Gómez León, Lourdes Del Campo Del Val, María Ángeles Pérez Saenz, Beatriz Cabezas Martínez, Marta García García-Esquinas
PDF

Angioresonancia magnética sin contraste en la valoración de la arteria del injerto renal.

Jorge Argimiro López García, Carmen Nieves Pérez Brito, Francisco Javier Díaz Romero
PDF

Leiomiosarcoma venoso abdominal. Un desafío diagnóstico.

Miguel Grande Bárez, María Martínez Martínez-Losa, Rodrigo Pastorín Salís, María Carretero Arbona, Juan Gredilla Molinero, Nuria Santamaría Guinea
PDF

DISPOSITIVOS MÉDICO-QUIRÚRGICOS ABDOMINOPÉLVICOS: UNA CORRECTA INTERPRETACIÓN

Esther Blanco Pérez, Esther Taberner López, Silvia Paulina Gallegos Espinoza, Cristina La Parra Casado, Julia Cano Gimeno, Carmen Martínez Rubio
PDF

PUBALGIA DEPORTIVA: REVISIÓN ANATÓMICA Y HALLAZGOS RADIOLÓGICOS.

Sandra Mechó Meca, Javier Martínez Agea, Lara Berrocal Morales, Anna Torramilans Lluís, Isabel Escape Diaz-Bonilla, M. Rosa Morro Martí
PDF

Claves diagnósticas de la patología intestinal aguda en cuadrante inferior derecho por ecografía

María Jesús Lucena González, Beatriz Gutiérrez Martínez, Carmen García Roch, Rafael Morcillo Carratala, Mónica Bernabéu Rodríguez
PDF

RADIOGRAFÍA SIMPLE DE ABDOMEN: QUÉ INFORMACIÓN APORTA RADIÓLOGO

Juan José Delgado Moraleda, Alberto Alegre Delgado, Rosa María Piqueras Olmeda, Ariel Rolando Pacheco Usmayo, José Adolfo Flores Méndez, Fernando Trucco
PDF

Esplenosis Intrahepática: ¿Se puede distinguir de otras tumoraciones benignas o malignas en la TCMD?

Carmen Zevallos Maldonado, María Jesús Fernández Ferrando, Carmen Aleman Navarro, Cristina Bermudez Garcia
PDF

Manifestaciones radiológicas de la toxicidad hepática por quimioterapia.

Irune Perez Arroyuelos, Silvia Lopez Romero, Nerea Insausti Jaca, Pablo Sadaba Sagredo,, Iciar Aguirre Oloriz, Zalema Fernandez Temprano
PDF

Tumores neuroendocrinos pancreáticos. Semiología en TC y RM.

Paula Hernández Mateo, Irene Martín Lores, Pablo Gómez Cáceres, Beatriz Lannegrand Menéndez, Laura Galván Herráez, Fátima Matute Teresa
PDF

DERIVACIÓN URINARIA Y TCMD: Elección del protocolo idóneo a la hora de evaluar las distintas complicaciones postquirúrgicas.

Violeta González Méndez, Alicia Merina Castilla, Alberto Martínez Arnáiz, Elena Martínez Chamorro
PDF

LESIONES QUÍSTICAS PANCREÁTICAS MÁS ALLÁ DEL PSEUDOQUISTE

Rebeca Vara Cilla, Teresa Corbalán Sevilla, Lara Núñez Moreno, Guadalupe Ugena Díaz, Concepción Fernández De La Plaza, Jose Luis Fernández Cueto
PDF

NEUMATOSIS INTESTINAL: UN SIGNO RADIOLÓGICO DE GRAVEDAD ¿SIEMPRE?

Alexandra De Diego Díez, Raúl Pellón Daben, Javier De La Calle Lorenzo, Amaya Iturralde Garriz, Angélica Lamagrande Obregón, Beatriz García Martínez
PDF

Obstrucción de intestino grueso: Algoritmo diagnóstico y hallazgos radiológicos.

Álvaro Gargallo Vaamonde, Javier Salceda Artola, David Ibáñez Muñoz, Pedro Garatea Aznar, Romina Zalazar, Rosa María Cozcolluela Cabrejas
PDF

Complicaciones postquirúrgicas del by-pass gástrico.

Lara Núñez Moreno, Rebeca Vara Cilla, María Teresa Corbalán Sevilla, Concepción Fernández De La Plaza Román, Lorenzo Ortiz Fernández, Jorge Cobos Alonso
PDF

Lesiones sólidas pancreáticas más allá del adenocarcinoma.

Lara Núñez Moreno, Rebeca Vara Cilla, María Teresa Corbalán Sevilla, Jose Luis Fernández Cueto, Concepción Fernández De La Plaza Román, Jorge Cobos Alonso
PDF

Caracterización y manejo de las lesiones quísticas complicadas. Criterios de Bosniak.

Almudena Blázquez Sáez, Aitor Costales Sánchez, Heidy Sáenz Acuña, Ana Casas Martín
PDF

Manifestaciones Abdómino-Pélvicas del Linfoma: Hallazgos en TCMD

Marta Elena Gómez Gil, Raquel Pérez Pérez, Juan Antonio Hernández Ponce, Tania Rodríguez Méndez, Jordi Estornell Erill, María Soledad Pastor Santoveña
PDF

TUMOR CARCINOIDE GASTROINTESTINAL: DIAGNÓSTICO, ESTADIFICACIÓN, TRATAMIENTO Y MONITORIZACIÓN GRACIAS A LA IMAGEN ANATÓMICA Y FUNCIONAL

Paloma Quintana Martínez, Elsa García Antuña, Yolanda García Alonso, Rita Gavela Ramón, Lynda Yenny Castañeda Rodriguez, Rebeca Fernandez De Sanmamed Gutierrez
PDF

EFECTOS DE LA QUIMIOTERAPIA EN PARENQUIMA HEPATICO EN PRUEBAS DE IMAGEN CT Y RM

Ana Rosa Gil Martin, Ricardo Ituarte Uriarte, Jennifer Barredo Parra, Rakel Álvarez Francisco, Silvia Ibáñez Alonso
PDF

Trasplante pancreático. Aprendiendo junto a los cirujanos.

Francisco Jose Gonzalez Sanchez, Raul Pellon Daben, Maria Diez Blanco, Marta Drake Perez, Elena Lopez Urquiza, Mercedes Acebo Garcia
PDF

Tromboflebitis septica de la porta. Complicación inesperada de procesos abdominales Complicación inesperada de procesos abdominales

Marta Drake Perez, Francisco Jose Gonzalez Sanchez, Raul Pellon Daben, Paula Gallego Ferreras, Victor Fernandez Lobo
PDF

Duodenopancreatectomia cefálica ( Whipple). El conocimiento lleva a la correcta interpretación.

Elena Lopez Urquiza, Francisco J Gonzalez Sanchez, Raul Pellon Daben, Alexandra De Diego Diez, Mercedes Acebo Garcia
PDF

Afectación de la grasa peritoneal: no todo es carcinomatosis

Laia Valls Masot, Sergi Juanpere Martí, Antoni Rubió Rodríguez, Eugeni López Bonet, Mª Pilar Barretina Ginesta, Albert Maroto Genover
PDF

Colangiopatía de la hipertension portal. Causa rara de obstruccion biliar.

Francisco J Gonzalez Sanchez, María Diez Blanco, Raul Pellon Daben, Beatriiz García Martinez, Amaya Iturralde Garriz
PDF

Termoablacion percutánea de tumores hepáticos. ¿Es un metodo tan seguro como nos cuentan ? ¿Como podemos mejorar?

Elena Lopez Urquiza, Francisco Jose Gonzalez Sanchez, RAUL Pellon Daben, Beatriz Garcia Martinez, Juan Crespo Del Pozo
PDF

Manifestaciones radiológicas de la isquemia hepática. Tipo:

MARTA Drake Perez, Francisco J Gonzalez Sanchez, Victor Fernandez Lobo, Raul Pellon Daben, Alexandra De Diego Diez, Mercedes Acebo Garcia
PDF

La enfermedad por IGg4: conócela, búscala, y la encontrarás. La nueva gran simuladora

Joana Valcarcel José, Mª Eugenia De Lama Salvador, Xavier Solanich Moreno, Isabel Català Costa, Jose Antonio Narvaez García, Pablo Naval Baudín
PDF

INTRODUCCIÓN A LA RM DE PRÓSTATA. GUÍA PARA RESIDENTES

Eider Alcalde Odriozola, Javier Castillo De Juan, Maria Isusi Fontan, Naroa Nates Uribe, Gonzalo Lecumberri Cortes, Miguel Schuller Arteaga
PDF

Estudio por imagen de la patología mesentérica y peritoneal

Jorge Antonio Nogales Montero, Yonil Gregorio Piña Alcántara, Rocio Mora Monago, Ana López Moreno, Jose Pedro Mora Encinas, Beatriz Martin Martin
PDF

RM DE LOS TUMORES DEL ESTROMA OVÁRICO-CORDONES SEXUALES Y SU DIAGNÓSTICO DIFERENCIAL.

Marta Revelles Paniza, María Culiañez Casas, Ángela Salmerón Ruiz, Clara Eugenia Chamorro Santos, Eduardo Ochando Pulido, Elena Pastor Pons
PDF

TCMD en la estadificiación local del adenocarcinoma de páncreas: comparación con ecoendoscopia

Patricia Camino Marco, Maria Del Rosario Pastor Juan, Javier Peinado Rodenas, Lorena López Martínez, Jose Ignacio Miota De Llama, Maria Nieves Martínez López
PDF

Complicaciones de las diverticulosis de intestino delgado

Laura García Del Salto Lorente, Jaime De Miguel Criado, Felipe Agilera Del Hoyo, Marcos Manzano Paradela, Ana Gloria Marco Sanz, Maria Isabel Díez Pérez De Las Vacas
PDF

Carcinoma papilar de células renales. Lo que el radiólogo debe conocer.

María Isusi Fontán, Gonzalo Lecumberri Cortes, Ane Miren Ibañez Zubiarrain, M Victoria Barcena Robledo, Eider Alcalde Odriozola, Igone Corta Gomez
PDF

Estadificación mediante RM del adenoma rectal malignizado, dificultades y correlación anatomopatológica.

Pilar Lozano Arranz, Vicente Valles Noguero, Javier Miguez Gonzalez, Francesc Calaf Forn, Lorenzo Viso Pons, Maria Angels Cañas Tello
PDF

Estadificación inicial del càncer gástrico mediante TC: guía para el radiólogo.

Pilar Lozano Arranz, Francesc Calaf Forn, Laura Pelegri Martinez, Javier Miguez Gonzalez, Caterina Montull Ferrer, Alona Thomas Martinez
PDF

Quistes en el páncreas. Recuerdo diagnóstico y actualización en su manejo.

Carmen María Ortiz Morales, Marta Huertas Moreno, Elena Parlorio De Andrés, José Ramón Olalla Muñoz, Enrique Girela Baena, Juan Antonio López Corbalán
PDF

Usos de la CPRM: estudio de la anatomía biliopancreática, errores de interpretación y principales indicaciones clínicas.

José Adolfo Flores Méndez, Ariel Pacheco Usmayo, Jesus Javier Collado Sanchez, Juan José Delgado Moraleda, Alejandro Montoya Filardi, Alexandre Pérez Girbés
PDF

UROGRAFÍA INTRAVENOSA: EN QUÉ CONSISTE, PARA QUÉ SE UTILIZA Y CÓMO SE INTERPRETA

Sonia Claret Loaiza, Victor Federico Cáceres Filippon
PDF

COLECISTITIS AGUDA, SER O NO SER: ÉSA ES LA CUESTIÓN. CONTROVERSIAS EN LA CONFIANZA DIAGNÓSTICA DE LA COLECISTITIS AGUDA Y ALTERNATIVAS EN EL MANEJO DE LA IMAGEN.

Virginia Navarro Cutillas, Guido Alberto Finol Vacarelli, Gerardo Ayala Calvo, Vanessa Terán Pareja, Elena Martínez Chamorro, Susana Borruel Nacenta
PDF

Valoración de los tumores gástricos mediante TCMD: semiología radiológica.

Alexander Rodas Ocampo, Jose Lopez Abraldes
PDF

ANISAKIASIS DIGESTIVA: HALLAZGOS RADIOLÓGICOS MÁS FRECUENTES

Beatriz González Humara, Sergio Tapia Concha, Laura González Humara, Elena Yllera Contreras, Adela Delgado Tapia
PDF

VALORACIÓN RADIOLÓGICA DE PACIENTES SOMETIDOS A CIRUGÍA PANCREÁTICA

Juan José Delgado Moraleda, Sara Brugger Frigols, Alexandre Pérez Girbés, Ariel Rolando Pacheco Usmayo, Daniel Iván Sánchez Mateos, José Adolfo Flores Méndez
PDF

Carcinoma hepatocelular: Evaluación de la respuesta a la quimioembolización (TACE)

Mercedes Ruiz Tolón, María Ángeles Rojas Soldado, Fátima Matute Teresa
PDF

HALLAZGOS RADIOLÓGICOS ABDOMINALES TRAS RADIOTERAPIA EXTERNA EN PACIENTES ONCOLÓGICOS

Irene Martín Lores, Paula Hernández Mateo, Laura Galván Herráez, Beatriz Lannegrand Menéndez, Ricardo Rodríguez González, Ramiro Méndez Fernandez
PDF

Síndrome post-colecistectomía: hallazgos radiológicos .

Gonzalo Lecumberri Cortes, María Isusi Fontán, Maria Victoria Barcena Robredo, Ane Miren Ibañez Zubiarrain, Jaime Cardenal Urdampilleta, Eider Alcalde Odriozola
PDF

¿Es posible un algoritmo Radiológico para el Diagnóstico de la Colitis Isquémica?

Agustina Vicente Bártulos, Inés Pecharromán De Las Heras, Rut Romera Sánchez, Maria Eugenia Cobo Reinoso, Javier Blazquez Sánchez, Javier Zamora Romero
PDF

ENDOMETRIOSIS: EVALUACIÓN POR RESONANCIA MAGNÉTICA

Eider Alcalde Odriozola, María Isusi Fontán, Alex Grande Astorquiza, Roque Oca Pernas, Jaime Cardenal Urdampilleta, Ane Miren Ibañez Zubiarrain
PDF

FíSTULAS AORTO ENTÉRICAS: LO QUE EL RADIÓLOGO DEBE SABER.

Alejandro Pérez Martín, Juan García Villanego, Cristina Del Pilar Liberato Cano
PDF

ADENOCARCINOMA DE PANCREAS: ESTADIAJE, CRITERIOS DE RESECABILIDAD Y CAMBIOS POSTTRATAMIENTO.

ANA Gonzalez Valencia, JOSE ANGEL Jiménez Lasanta, DAVID Balaguer Paniagua, EVA Barluenga Torres, MONTSERRAT Tenesa Bordas
PDF

HERNIAS DEL SUELO PÉLVICO: UN DILEMA DIAGNÓSTICO Y TERAPÉUTICO

Margarita González Fernández, Lucía Bermá Gacón, Ana Rodríguez Molina, María Rodríguez Molina, Laura Peñuela Ruiz, Victoria Romero Laguna
PDF

Complicaciones tras cirugía urológica laparoscópica: hallazgos de TC.

María Jesús Díaz Candamio, María Del Carmen Pardo Souto, Saad Eddine Bencheikh, Marta García Fernández, Angel Ríos Reboredo
PDF

Nueva clasificación de la Dilatación del Tracto Urinario: Lo que el Radiólogo debe saber

Heidy Sáenz Acuña, David Albillo Labarra, Almudena Blazquez Saez, Carolina Cuellar Marquez, María Teresa Garzón Guteira
PDF

Carcinoma neuroendocrino de vejiga: hallazgos por TC

Lucía Álvarez Devesa, Darío Vázquez-Martul Pazos, Tania Pérez Ramos, Fátima Vidal Filgueira, Carmen Rodriguez López, Sergio García Dubra
PDF

RM-Difusión y DTI en la valoración de la patología renal. ¿Qué puede aportar?

Teodoro Martín Noguerol, Antonio Luna Alcalá, Lidia Alcalá Mata, Jordi Broncano Cabrero
PDF

COMPLICACIONES RADIOLÓGICAS EN IMAGEN ABDOMINAL SECUNDARIAS A TRATAMIENTO QUIMIOTERÁPICO

Maria Aranzazu Agote Jemein, Ainhoa Astiazaran Rodriguez, Montserrat Poch Zatarain, Maite Esnaola Albizu, Itziar Aguirre Oteiza, Ane Ugarte Nuño
PDF

ESTUDIO RADIOLÓGICO DEL ESTREÑIMIENTO CRÓNICO EN EL ADULTO

Fausto Gimeno Solsona
PDF

Tras el trasplante hepático… ¿Qué debemos saber?

Nerea Hormaza Aguirre, Ana Rosa Gil Martin, Ricardo Ituarte Uriarte, Jose Maria Peña Sarnago, Juliana Mesa Garcia, Ruth Gonzalez Sanchez
PDF

Anomalías congénitas de la vena cava inferior (VCI): Aproximación mediante TC

María Teresa Corbalán Sevilla, Rebeca Vara Cilla, Lara Núñez Moreno, John Jairo Bautista Castro, Lorenzo Ortiz Fernández, Jorge Cobos Alonso
PDF

Evaluación de la respuesta al tratamiento de los GIST: Papel de la TCMD

Alejandro Cernuda García, Alicia Mesa Álvarez,, Pedro González Filgueira, Ana Fernández Del Valle, Marta Morán Hevia, Carlos Álvarez Fernández
PDF

“Evaluación de Cáncer Gástrico mediante TCMD: actualización y estado del arte en el s. XXI:

Maria Antonia Garrido Collado, Ana María Carrillo Colmenero, Manuel De Dios Redondo Olmedilla, Carmen Ortiz Pegalajar
PDF

Mutación del gen KRAS y grado de respuesta histológica tras neoadyuvanciaen el carcinoma de recto. Correlación con los hallazgos en resonancia magnética diagnóstica.

Ignacio García Sola, Luis Sarria Octavio de Toledo
PDF

Cuantificación de la concentración del yodo con TC de doble energía en pacientes con pancreatitis aguda incipiente

Elena Utrera Pérez, Gonzalo Tardáguila de la Fuente, Nicol García Pouton, Ana Villanueva Campos, Claudia Jurado Basildo
PDF

Abscesos supraelevadoresde origen criptoglandular: aplicación de la Resonancia Magnética

Juan José Delgado Moraleda, Adela Batista Doménech, Alvaro Garcia Granero, Vicente Navarro Aguilar, Polina Rudenko, José Adolfo Flores Méndez
PDF

Criterios morfológicos en la evaluación de la enfermedad hepática metastásica de origen colónico tratada con quimioterapia y antiangiogénicos.

Cayetano Sempere Ortega, Isabel García Gómez Muriel, Raquel García Latorre, Joaquín Sánchez Monforte, Ernesto García Santana, Ángeles Silva Rodriguez
PDF

Biopsia percutánea en la lesión focal renal. Importancia en la toma de decisiones clínicas

E. Fernández, MD Ferrer Puchol, R. Auban, C. Martínez, DH Restrepo, E. Esteban
PDF

Perforación gastrointestinal por espina de pescado Sólo se encuentra lo que se busca

Ana Villanueva Campos, Concepción Martínez Rodríguez, Elena Utrera Pérez, Claudia Jurado Basildo, Montserrat Novoa Ferro, Carlos Andrés Sepúlveda Villegas
PDF

Gangrena de Fournier: evaluación de la tomografía computarizada en una serie de 25 casos.

F. González Tello, P. Marazuela García, B. Lumbreras Fernández, N.A. Almeida Arostegui, M. Vicente Redondo, C. Campos Ferrer
PDF

Administración de contraste yodado. ¿Existe riesgo de daño renal agudo?

MD Ferrer-Puchol, P Montesinos, M Forment, E Sanz-Rodrigo, E Taberner, E Blanco
PDF

Pielonefritis xantogranulomatosa : hallazgos radiológicos en una serie de 23 casos Autores

Manuel Vicente Redondo, José Miguel Blanc Molina, Fernando González Tello, Bla Lumbreras Fernández, Nicolás Almeida Arostegui, Inés Pecharromán De Las Heras
PDF

Resultados de una vía de Alta Resolución en la estadificación inicial de tumores del tracto digestivo

Esther Domínguez Ferreras, Pilar Olivencia Palomar, M Teresa Gómez San Román, Mónica Sánchez Alonso
PDF

Precisión diagnóstica de la RM para las adenopatías en el cáncer de recto: ¿mejora con las secuencias de Difusión?

R Fornell Pérez, E Pérez Alonso, JF Loro Ferrer, G Porcel De Peralta, A Durán Castellón, MC González Domínguez
PDF

UTILIDAD DE LA ELASTOGRAFÍA ARFI PARA VALORAR LA EVOLUCIÓN DE LA ENFERMEDAD GRASA DEL HÍGADO NO ALCOHÓLICA (EGHNA) EN PACIENTES OBESOS INTERVENIDOS DE CIRUGÍA BARIÁTRICA

Elena López Banet, Florentina Guzmán Aroca, Andrés Francisco Jiménez Sánchez, Juan Francisco Martínez Martínez, Santiago Ibañez Caturla
PDF

TRASPLANTE HEPÁTICO: MODIFICACIÓN DE LA RIGIDEZ HEPÁTICA MEDIDA MEDIANTE ELASTOGRAFÍA TIPO ARFI ANTE LA APARICIÓN DE COMPLICACIONES PARENQUIMATOSAS EN EL INJERTO DURANTE EL PRIMER AÑO TRAS EL TRASPLANTE

Marta Alfageme Zubillaga, Teresa Fontanilla Echeveste, Ana Royuela Vicente, Javier Minaya Bernedo, Rosa María Ruiz Peralbo, Iñigo Pérez González
PDF

TRASPLANTE HEPÁTICO: INFLUENCIA DEL TIEMPO DE ISQUEMIA Y LA EDAD DEL DONANTE EN LA RIGIDEZ DEL INJERTO MEDIDA MEDIANTE ELASTOGRAFÍA TIPO ARFI

Marta Alfageme Zubillaga, Teresa Fontanilla Echeveste, Ana Royuela Vicente, Cristina Cortés León, Javier Minaya Bernedo, Paula María Hernández Guilabert
PDF

RM de pelvis: La guía en el manejo del cáncer rectal.

Irene Martínez González, Alicia Victoria Gavilanes Vaca, Claudia Pascual Montero, Ignacio Díaz Villalonga, Cristina Pérez Calvo
PDF

PROCEDIMIENTO DE DESINVAGINACION ILEOCOLICA CON SEDACION PROFUNDA EXPERIENCIA EN NUESTRO CENTRO

P. Rodríguez de la Fuente, C. de Arriba Villamor, B. Elduayen Aldaz, J. Esparza Estaun, A. Pérez Martínez, M.L. Cía Armendáriz
PDF

Concordancia entre el PCI radiológico y quirúrgico en la carcinomatosis peritoneal.

Alejandro Cernuda García, Alicia Mesa Álvarez, Pedro González Filgueira, Ana Fernández Del Valle, Lourdes Sanz Álvarez, Estrella Turienzo Santos
PDF

Correlación entre el volumen renal total medido por RM y el filtrado glomerular en la poliquistosis renal autosómica dominante

Irene Miguelsanz Martínez, José Ignacio Rodríguez Martín, Emilio Cuesta López, Montserrat Bret Zurita, Marta Oñate Miranda, Ramón Peces Serrano
PDF

Correlación entre valor del Coeficiente de difusión ADC y el grado histopatológico del cáncer de endométrio

Saad Eddine Bencheikh, María Felez Carballada, Sara Amado Cabana, Ana Porta Vila, Marta Alvarez Lafuente
PDF

Prevalencia de los hallazgos característicos de espondiloartritis mediante entero-RM en pacientes con enfermedad inflamatoria intestinal.

Juan Mesa Quesada, Alberto Benito Ysamat, María José García Ortega, Daniel López Ruiz, Francisco Triviño Tarradas, Cristina Pulido Carmona
PDF

BIOPSIA RENAL GUIADA POR ULTRASONIDOS. EXPERIENCIA EN NUESTRO CENTRO. SERIE DE 96 CASOS

Electra Eduina Hernández Santana, Gerard Rafart Martínez, José Ángel Jiménez Lasanta, Judit Horneros Torres, Raúl Rodríguez Iniesta, Eva Barluenga Torres
PDF

valoración de respuesta de la enfermedad hepática mediante elastografía arfi en pacientes con hepatitis c tratados con terapias libres de interferón

Elena López Banet, María Dolores Abellán Rivero, Manuel Santa-Olalla González, Juan de Dios Berna Mestre, Florentina Guzmán Aroca, Juan de Dios Berna Serna
PDF

Ablación por radiofrecuencia vs. microondas en el tratamiento del hepatocarcinoma

S. Ochoa de Eribe Santos, J. Etxano Cantera, L. Alonso Irigaray, E. Díez Lasheras, R. González Serrano, F. López Zárraga
PDF

RADIOLOGÍA ABDOMINAL: preparaciones, medicamentos y medios de contraste

José Ignacio Rodríguez Martín, Sara Morón Hodge, Nuria Saturio Galán, Manuel Varo Alonso, MAr Tapia Viñe, Carmen Martín Hervás
PDF

QUILURIA POSTRATAMIENTO DE TUMORES RENALES

Paula Concejo Iglesias, Wilmar Antonio Ocampo Toro, Manuel Martínez Pérez, Cristina Cardenas Valencia, Alice Pérez de los Ríos, María Azahara Hoyas García
PDF

TUMORES APENDICULARES EN NUESTRO HOSPITAL: HALLAZGOS RADIOLÓGICOS Y CORRELACIÓN HISTOPATOLÓGICA

A Jalón Navas, B Morón Rodríguez, A Villar Puertas, JL Egozcue Loisel, C Lozano Calero, M Revelles Paniza
PDF

DIVERTICULITIS AGUDA CON AIRE EXTRALUMINAL HALLAZGOS RADIOLÓGICOS QUE INFLUYEN EN EL MANEJO DEL PACIENTE

Alba Virtudes Pérez Baena, Félix Serrano Puche, Alberto Titos García, María Requena Santos, Laura Romacho López, José Sánchez Segura
PDF

Correlación de volumetría renal en pacientes poliquísticos: ecografía versus resonancia magnética. Implicaciones terapéuticas.

Teresa Martí Ballesté, Jonathan Hernandez Mancera, Mónica Furlano Albrecht, Irene Loscos Giménez, Roser Torra Balcells, Violeta Catalá Sventzetzky
PDF

VOLUMETRÍA POR TC EN HERNIAS ABDOMINALES CON PÉRDIDA DE DERECHO A DOMICILIO

TOMÁS VALLEJO PALOMINO, ANA MARÍA CARRILLO COLMENERO, CARMEN MARÍA ESCOBEDO ARAQUE, SARA SÁNCHEZ TALAVERA, SEBASTIÁN URBANO CATARAIN, MIGUEL ÁNGEL MADERO MORALES
PDF

QUISTES DE DUPLICACIÓN ENTÉRICOS : presentación, diagnóstico y manejo

Cinta Sangüesa Nebot, Elena Carazo Palacios, Sara Picó Aliaga
PDF

CORRELACIÓN RADIOPATOLÓGICA DE LESIONES SUPRARRENALES

Ángela Fernández López, María del Rosario Pastor Juan, María Isabel Tercero Azorín, Cristina López Cárceles, Alberto Ibáñez Ibáñez, Ricardo Rodenas Lozano
PDF

UTILIDAD DE LOS CONTRASTES ECOGRÁFICOS EN EL ANÁLISIS DEL RIÑÓN TRASPLANTADO

Francisco Javier Pérez Fontán, Diego Domínguez Conde, Sergio García Dubra, Carmen Rodríguez López, Fátima Vidal Filgueira, Ariana Prado Prado
PDF

EL BAZO: patología no traumática

Cinta Sangüesa Nebot
PDF

La Colonografía por TC (CTC) en la detección de lesiones colónicas proximales, en pacientes con carcinoma colorrectal estenosante Diego

Diego Domínguez Conde, María José Martinez-Sapiña Llanas, Concepción Crespo García, Sergio García Dubra, Carmen Rodríguez López, Fátima Vidal Filgueira
PDF

ENTERO-TC EN LA HEMORRAGIA DE INTESTINO DELGADO

Adrián Martínez Vázquez, Enrique Ladera González, Jorge González Plaza, Alfonso Illade Fornos, Juan Manuel Vieito Fuentes, María Rosa Bouzas Sierra
PDF

¿HABLAMOS EL MISMO IDIOMA? CLAVES PARA MEJORAR LA CORRELACIÓN INTEROBSERVADOR EN LA PANCREATITIS AGUDA.

C. Oterino Serrano, A. Diez Tascón, C. Vilches Catalán, A. Jimenez Rodrigo, M. J. García Sánchez, M. Martí De Gracia
PDF

UTILIDAD DE LA ECOGRAFÍA CON CONTRASTE INTRAVENOSO EN LA VALORACIÓN DE LA RECURRENCIA POSTQUIRÚRGICA DE LA ENFERMEDAD DE CROHN.

Isabel María García Chaume, María Jesús Martínez Pérez, Juan Manuel Pazos Guarin, Andrés Adolfo Painel Seguel, Tomás Ripollés González, Jose María Paredes Arquiola
PDF

Rendimiento diagnóstico de las biopsias percutáneas de riñón.

Josep Garcia Bennett, Eugenia de Lama Salvador, Natalia Romero Martinez, Maria Magdalena Serra Salas, Dominika Gaisor Borsuk
PDF

RM multiparamétrica prostática en 1,5T sin antena endorrectal, un estudio de viabilidad

Paulino García Benedito, Pedro Álvarez Díaz, María Victoria Torres Isidro, Paloma Arias Baldo, Clara Romero Martínez, Stalin Pinto Morales
PDF

Angio Rm sin contraste con secuencia In Hance inflow en 3T en el estudio de las complicaciones vasculares del trasplante renal.

José Luis Abades Vázquez, Fernando Gil Catalinas, José Luis Cordero Castro, María José Herraíz Bayod
PDF

F18FDG PET/TC y TC abdominal trifásico un protocolo de exploración combinada para la evaluación de metástasis hepáticas en el carcinoma colorrectal

Esther Domínguez Ferreras, Ana María García Vicente
XML

Radiología de urgencias

 

 

La pielonefritis en la urgencia Protocolo diagnostico. Subtipos y aspectos esenciales de la infección del tracto urinario superior.

Víctor Federico Cáceres Filippon, Sonia Claret Loaiza, Araceli Montilla Moreno, Rocio Rodriguez Ortega, Francisco Padilla Palomo, Luis Rodriguez García
PDF

Radiólogo de urgencias e Ictus: Más allá de la arteria cerebral media

Inmaculada Mota Goitia, Inés Pecharromán De Las Heras, Santiago Resano Pardo
PDF

ACTUACIÓN RADIOLÓGICA EN EL PROCESO ASISTENCIAL INTEGRADO DE ATENCIÓN AL TRAUMA GRAVE: NUESTROS RESULTADOS

Elisa Cuartero Martinez, Ana Rodríguez Molina, Victoria Romero Laguna, Ana Tapia Guerrero, María Lucía Bermá Gascón, Guillermo García Gutierrez
PDF

Tc perfusión en el servicio de urgecias: imitadores del ictus isquémico.

Santiago Resano Pardo, Inés Pecharromán De Las Heras, Inmaculada Mota Goitia, Sara Escoda Menendez, Esther Garcia Casado, Agustina Vicente Bartulos
PDF

Síndrome medular agudo no traumático: ¿Cómo, cuándo y para qué estudiar la médula espinal en Urgencias?

Isabel Bermudez - Coronel Prats, Ines Pecharromán De Las Heras, Santiago Resano Pardo, Carme Picón Serrano, Agustina Vicente Bártulos, Javier Blazquez Sanchez
PDF

El papel del radiólogo en el manejo de pacientes con heridas por arma de fuego.

Miguel Paniagua González, Carmen Fernández Álvarez, Maite Urízar Gorosarri, José María Jiménez Pérez, Dereck de Jesús De La Rosa Porras
PDF

Errores por sobrevaloración u omisión más frecuentes en informes de TC craneal durante las guardias.

Ilinana Romero Batista, Silvia Ambit Capdevila, Nadia Ouyon Ouyon, Antonio Lorenzo Gorriz, Soraya Barrachina Hidalgo, Valentina Troconis Vaamonde
PDF

Hallazgos en imagen de patología mesenterica no vascular.

Susanie Flores Casaperalta, Marcelo Rengel Ruiz, Rosa Dosda Muñoz, Rocio Gil Viana, Cecilia Rubio Maicas, Julio Palmero Da Cruz
PDF

Protocolo de Urgencias en el Traumatismo Torácico Leve-Moderado: Medicina Basada en la Evidencia.

Verónica García De Pereda De Blas, Magdalena Carreras Aja, Silvia Carbajo Azabal, Irma Arrieta Artieda, Elsa Camuera González, Eunate Arana Arri
PDF

Proyecto de mejora de la adecuación de la solicitud de Tomografía Computarizada en los servicios de urgencias hospitalarios ante el motivo de consulta Síncope

Josu Mendiola Arza, Eunate Arana Arri, Sara De Benito Sobrado, Ana Santorcuato Bilbao, Jose Rafael Villoria Alonso, Jennifer Barredo Parra
PDF

TC de urgencia en la crisis epiléptica

Laura Garcia Alonso De Caso, Angeles Silva Rodriguez, Raquel García Latorre, Agustina Vicente Bártulos
PDF

El informe de la radiología simple de urgencias: más que una buena práctica, nuestra obligación

Mar Pérez-Peña Del Llano, Jose Antonio Llavona Amor, Cristina Gonzalez Huerta, Irene Gutierrez Perez, Cecilia Quispe Leon, Elena Guerra Del Barrio
PDF

PRIAPISMO DE ALTO FLUJO EN LA URGENCIA

Rafael Revert Espí, Ruben Molina Fàbrega, Yolanda Pallardó Calatayud, Enrique Esteban Hernández
PDF

ALGORITMO DE AYUDA PARA LA PETICIÓN DE TC CRANEAL POR CEFALEA EN LA URGENCIA.

Cristina Abad Fernández, Agustina Vicente Bártulos, Rut Romera Sánchez, RAquel García Latorre, Javier Zamora Romero, Ana Royuela Vicente
PDF

La realización de un TC-BODY en pacientes con traumatismo potencialmente grave permite disminuir la estancia media en urgencias.

Nuria López Garro, Milagros Martí De Gracia, Aurea Díez Tascón, Alberto Borobia, Rosa Capilla, María Claudia Pulido Rozo
PDF

Hemoptisis aguda amenazante, ¿cuándo realizar angioTC? Revisión bibliográfica y enfoque clínico-epidemiológico del proyecto MAPAC.

Amaya Palacios Weiss, Inmaculada Pinilla Fernández, Milagros Martí De Gracia, Teresa Hernández Cabrero, Aurea Díez Tascón, Gonzalo Garzón Moll
PDF

HETEROGEIDAD EN EL MODELO DE ORGANIZACIÓN Y REALIZACIÓN DE LAS URGENCIAS RADIOLOGICAS. ESTUDIO PILOTO EN LOS SERVICIOS DE RADIOLOGIA DE CATALUÑA

Salvador Pedraza Gutierrez, Santiago Thio Henestrosa, Leandre Fernandez Cabrera, Carles Nadal Vidal, Manuel Escobar Amores, Teresa Maristany Daunert
PDF

PACIENTES CON DOLOR TORÁCICO EN URGENCIAS. ¿ES ÚTIL LA ESCALA DE DIAMOND-FORREST PARA DIRIGIR EL ESTUDIO DE ANGIOTC MULTIDETECTOR DE CORONARIAS PARA EL DIAGNÓSTICO DE CARDIOPATÍA ISQUÉMICA?

Inés Pecharromán De Las Heras, Santiago Resano Pardo, Olga María Sanz De León, Agustina Vicente Bártulos, Javier Zamora Romero, Jesus Corres Gonzalez
PDF

Patología del hueco poplíteo en Urgencias. Más allá de la TVP.

Estibaliz Gómez García, Maider Eguino Gorrochategui
PDF

LA FOSA ILÍACA DERECHA EN URGENCIAS: REVISIÓN DE 200 CASOS

Alvaro Arribas Marcos, Sandrá Bermúdez Nieto, Frank Eric Farfan Leal, Angeles Silva Rodriguez, Agustina Vicente Bartulos
PDF

Implantación de protocolos de organización y protocolos clínicos consensuados con el servicio de Urgencias.

Alvaro Paniagua Bravo, Ana Crespo Giménez, Maria Rosa Sanz De Barros, Jose Carmelo Albillos Merino
PDF

Divertículo de Meckel en Urgencias: presentación clínica y hallazgos asociados.

María Lucía Bermá Gascón, Ana Rodriguez Molina, Guillermo García Gutierrez, Elisa Cuartero Martinez, Victoria Romero Laguna, Ana Tapia Guerrero
PDF

Manejo del cólico renal en Urgencias: Puesta al día y propuesta de un protocolo.

Jose Ignacio Massa Navarrete, Mari Luz Paredes Martinez, Ignacio Florencio Quilis, Michaela Alina Guitulescu, Nuria Castillo Soria, Diego Martinez Garcia
PDF

URGENCIAS DEL ESPACIO RETROFARINGEO (ERF)

Macarena Reyes Ortega, Kathy Quisiyupanqui Ascate, María Rosa Martí Doménech, Anna Ungueti Rodríguez, Andrea Elias Mas, Cristina Corbella Sala
PDF

Isquemia mesentérica aguda: adecuación de solicitud de pruebas radiológicas en el Servicio de Urgencias.

Inés Pecharromán De Las Heras, Santiago Resano Pardo, Cristina Abad Fernández, Agustina Vicente Bártulos, María Eugenia Cobo Reinoso, Javier Zamora Romero
PDF

DIAGNÓSTICO EN URGENCIAS: CUÁNDO SOSPECHAR EL SÍNDROME DE ENCEFALOPATÍA POSTERIOR REVERSIBLE EN EDAD PEDIÁTRICA (PITFALLS AND MIMICS)

Amaya Iturralde Gárriz, Enrique Marco De Lucas, Alexandra De Diego Díez, Víctor Fernández Lobo, Elena Carmen Gallardo Agromayor, Elena López Uzquiza
PDF

PATOLOGÍA GINEGOLÓGICA EN RADIOLOGÍA DE URGENCIAS

Nerea Insausti Jaca, Eneritz Larrazabal Echevarria, Irune Perez Arroyuelos, Leire Hernaiz Argudo, María Begoña Guantes Del Vigo, Martin Aperribay Ulacia
PDF

Errores en TC craneal urgente

Giorgio Barbieri, Maria Dolores Morales Cano, Andrés Francisco Jimenez Sanchez, Blanca García-Villalba Navaridas, Adelaida Leon Hernandez, Francisca Velazquez Marin
PDF

Radiología de urgencias en pacientes con Sintron: Hallazgos característicos y revisión de las complicaciones más frecuentes de estos pacientes

Iliana Romero Batista, Valentina Troconis Vaamonde, Nadia Ouyon Ouyon, Antonio Lorenzo Gorriz, Eva Casanovas Feliú, Soraya Barrachina Hidalgo
PDF

APLICACIONES DE LA ECOGRAFIA MUSCULOESQUELÉTICA EN EL SERVICIO DE URGENCIAS

Leire Hernaiz Argudo, Eneritz Larrazabal Echevarria, Maria Begoña Guantes Del Vigo, Nerea Insausti Jaca, Martin Aperribay Ulacia, Miren Zubizarreta Etxaniz
PDF

Hallazgos radiológicos en Ecografía y TC de la patología urgente del cuello: ¿Qué es importante saber?

Angel Marín Suarez, Elisenda Grive Isern, Ana Maria Olarte Tobón, Silvia Llaverias Borrell, Anna Maria Gallart Ortuño, Iacopo Ciampa
PDF

Influencia de los hallazgos del angioTC abdominal en la decisión terapéutica de pacientes con hemorragia digestiva baja aguda (HDBA) en el Servicio de Urgencias.

Alfonso Martín Díaz, Lucía Fernández Rodriguez, Áurea Díez Tascón, Alberto Borobia Pérez, José María Artigas Martín, Milagros Martí De Gracia
PDF

Urgencia medular de etiología traumática, ¿qué hacer de inmediato?

Isabel Bermúdez - Coronel Prats, Inés Pecharromán De Las Heras, Santiago Resano Pardo, Agustina Vicente Bártulos, Carmen Picón Serrano, Javier Blázquez Sánchez
PDF

Traumatismo Penetrante: ¿hay que intervenir?

Verónica García De Pereda De Blas, Aritz De La Fuente Gaztañaga, Leticia Múgica Álvarez, Guillermo González Zapico, Irma Arrieta Artieda, Magdalena Carreras Aja
PDF

Diagnóstico radiológico de la patología aórtica de urgencias.

Jennifer Cambronero Gómez, Gerard Carbó Vilavedra, Victor Cuba Camasca, Alfredo Gimeno Cajal, Laia Valls Masot, Gloria Sánchez Nuñez
PDF

PATOLOGÍA URGENTE DEL HUESO TEMPORAL: MÁS ALLÁ DE LAS FRACTURAS

Mónica Bernabéu Rodríguez, Beatriz Gutiérrez Martínez, Isabel Herrera Herrera, Elena Capilla Cabezuelo, Juan Manuel García Benassi, Rafael González Gutiérrez
PDF

PATOLOGÍA BILIOPANCREÁTICA ENFISEMATOSA EN LA URGENCIA DE NUESTRO CENTRO Y REVISIÓN DE LA LITERATURA.

B. Lumbreras Fernández, A. López-Frías López-Jurado, N. Almeida Arostegui, M. Vicente Redondo, F. González Tello, E.M. García Casado
PDF

EVALUACIÓN DEL ERROR DIAGNOSTICO EN LA TELERADIOLOGIA DE URGENCIAS Dra.

Dra. Rojo
PDF

Manejo radiológico de los pacientes con enfermedad inflamatoria intestinal diagnosticada que acuden al Servicio de Urgencias.

Pablo Marazuela García, Inés Pecharromán De Las Heras, Alfonso López-Frías López-Jurado, Francisco Mesonero Gismero, David Arroyo Manzano, Agustina Vicente Bártulos
PDF

Lumbalgias en Urgencias: creación de un algoritmo diagnóstico de ayuda.

Sandra Bermúdez Nieto, Santiago Resano Pardo, Rubén Eduardo Pacios Blanco, Josefa Pérez-Templado Ladrón de Guevara, Olga María Sanz De León, Jesús Corres González

ADECUACIÓN DE LAS RX DE ABDOMEN EN URGENCIAS

Nuria Rojo Sanchís
PDF

Propuesta de algoritmo para la solicitud de TC craneal en la urgencia en pacientes con síndrome confusional agudo (SCA)

Daniel Lourido, Carlos Estévez, Ernesto García, Agustina Vicente, Josefa Pérez-Templado, Javier Zamora Rodero
PDF

GUIA PARA EL DIAGNÓSTICO RADIOLÓGICO EN URGENCIAS DE LA DISECCIÓN DE ARTERIAS CERVICALES: ¿Cuándo se debe sospechar?

Yesica Martínez Paredes,, María Dolores Morales Cano, Andrés Francisco Jiménez Sánchez, Regina María Sánchez Martos, Elisa López Banet
PDF

APLICACIÓN DE LA RM EN URGENCIAS: NUESTRA SITUACIÓN ACTUAL Y CONCEPTOS BÁSICOS.

Yesica Martínez Paredes, Diego Páez Granda, María Dolores Morales Cano, Regina María Sánchez Jiménez, María José Martínez Cutillas, Irene Sánchez Serrano
PDF

Las crisis convulsivas en la urgencia: propuesta de algoritmo diagnóstico radiológico

Josefa Pérez-Templado Ladrón de Guevara, Ernesto García Santana, Daniel Lourido García, Agustina Vicente Bártulos, Jesús Corres González, Javier Blázquez Sánchez
PDF

ANÁLISIS DE LA EFICIENCIA DEL TC TOTAL BODY EN PACIENTES PARA LOS QUE SE ACTIVÓ UN PROTOCOLO DE POLITRAUMATISMO.

Javier Sánchez Hernández, Verónica Familiar Carrasco, Antonia Arjonilla López, Daniel Hernández Aceituno, Diego Pereira Boo, Julia Calatayud Moscoso del Prado
PDF

Más allá de la técnica patología urgente que debemos conocer

Adrià Esplugues Vidal, Renato Silva Drummond, Ester Benet Almazan, María José Sánchez Goñi, Albert Garrido Lara
PDF

Imagen mamaria

 

 

Biopsia de mama asistida por tomosíntesis Por qué y cómo.

Carles Gómez Zaragoza, Sergi Ganau Macías, Amaya Martín Oloriz, Melcior Sentís Crivellé, María Magdalena Serra Salas, Carlota Cano Rodríguez
PDF

Relación entre el test de 21 genes y descriptores BIRADS en mujeres con cáncer de mama con receptor de estrógenos positivo (RE+), receptor 2 de factor de crecimiento epidérmico humano negativo (HER2-) y sin afectación ganglionar (N0).

José Luis Lerma Gallardo, María José Ciudad Fernández, Myriam Montes Fernández, José Ángel García Saenz, Juan Arrazola García
PDF

Correlación radiopatológica post-quimioterapia neoadyuvante en cáncer de mama

Daniela Gómez Campos, Ana Utrera García De Salazar, Alicia Cazorla Jiménez, Jorge Muñoz Rodriguez, Alejandro Tejerina Bernal, Carmen Estrada Blan
PDF

DRENAJE LINFÁTICO DEL CÁNCER DE MAMA E IMPORTANCIA DE LAS CADENAS GANGLIONARES EXTRAAXILARES

Valentina Troconis Vaamonde, Antonio Lorenzo Gorriz, Carola Rocafuerte Avila, Nadia Ouyoun Ouyoun, Dayra Daza Narvaez, Juan José Delgado Moraleda
PDF

LA ENFERMEDAD INFLAMATORIA EN LA MAMA MÁS ALLÁ DE LA MASTITIS

Rafael Reina Cubero, María Rosario Campos Arenas, Soraya Garcia Gomez, Eva Marie Heursen, María Cristina Sanchez-Porro Del Rio, Daniel Rodriguez Vargas
PDF

Los primeros pasos de un residente en procedimientos intervencionistas. ¿Es la mama un órgano adecuado para ello?. Técnica, experiencias y resultados.

Pablo López Ramírez, Fausto Rubio Rubio, Pilar Escobar Casas, Mario Gago Galan, Ana Romero Marina, Ana María Cáceres Valverde
PDF

Mastopatía diabética. Poco frecuente pero importante.

Sara Jiménez Arranz, Ana Belén Delgado Laguna, Silvia Alonso Roca, Eva Labrador Barba, Teresa Díaz De Bustamante Durbán
PDF

Estudio de los subtipos moleculares de cáncer de mama en un programa de cribado poblacional.

Rodrigo Sánchez Vallejo, Xavi Bargalló Castelló, Daniel Vas, Martín Veslasco Romera, Montserrat Del Amo Conill, Gorane Santamaría Ormaetxea
PDF

Hiperplasia Estromal Pseudoangiomatosa, revisión a propósito de cuatro casos.

Astrid López Secades, Marta Ornia Rodriguez, Francisco Dominguez Iglesias, Irene González Ardines
PDF

Biopsia de mama asistida por vacío guiada por RM, rápida y sencilla, nuestra experiencia

Javier Perez Cutillas, Maria Fermina Lorente Fernandez, Rosa Jimenez Yañez, María Eugenia Arias Laverde, Nadia Picazo Escribano, Jorge Calbo Maiques
PDF

¿Influyen la clasificación molecular del cáncer de mama en los hallazgos visualizados en RM?

Mº Trinidad Fernández Sarabia, Rocio Mora Monago, Carolina Ortega Ruipérez, Antonio Cardenal Escarcena, Jose Pedro Mora Encinas
PDF

Utilidad de la biopsia percutánea axilar en la estadificación del cáncer de mama

Inmaculada Mendoza Arnau, Fabiola Muñoz Parra, Carmen Ortiz Cuevas, Amaia Izco Aso
PDF

ESTADIFICACIÓN BIMODAL DE LA AXILA TRAS EL DIAGNÓSTICO DE CÁNCER DE MAMA

Jade García Espinosa, María Culiáñez Casas, Alberto Martínez Martínez, Salvador Martínez Meca, Elena Pastor Pons
PDF

Enfermedad de Mondor. ¿Tenemos alto índice de sospecha?

Teresa Domínguez Cejas, Laura López González, Constanza Camila Torrez Villarroel, Nancy Bibiana Aristizábal Buitrago, Javier Gómez Moríñigo
PDF

Ecografía con contraste intravenoso en la patología mamaria aguda no tumoral

Juan Sales Sánchez, Esther Blanc García, Rosana Medina García, Juan Manuel Pazos Guarín, Ronny José Rodelo Haad
PDF

Masas mamarias en la adolescencia: keep calm & ultrasound

Carlota Cano Rodríguez, Maria Carme Duran Feliubadaló, Sergi Ganau Macias, Melcior Sentís Crivellé, Carles Gómez Zaragoza, Maria Magdalena Serra Salas
PDF

APLICACIONES DE LA ELASTOMETRÍA ARFI EN LA VALORACIÓN DE LESIONES DE MAMA.

Teresa Álvarez De Eulate García, José María Duro Roca, Rebeca Sigüenza González, Jorge Galván Fernández, Esther Gómez San Martín, Ana Gil Guerra
PDF

Cuantificación de linfadenectomías innecesarias tras PAAF ganglionar axilar positiva en pacientes con cáncer de mama tras ACOSOG Z0011

Elizabeth M. Núñez Peynado, María Martínez Gálvez, María Carrillo García, Jo´se Ignacio Bares Fernández, Sandra Sánchez Jiménez, José Ignacio Gil Izquierdo
PDF

Carcinoma de Mama en tratamiento con quimioterapia neoadyuvante: hallazgos en la Resonancia Magnética prequirúgica y correlación anatomopatológica.

Clara Morandeira Arrizabalaga, Olatz Gorriño Angulo, Monica Santamaría Peña, Ana Legorburu Piedra, Lander Antón Méndez, Domingo Grande Icaran
PDF

METASTASIS EN MAMA DE TUMORES EXTRAMAMARIOS

Yolanda Rodríguez De Diego, Sara Plaza Loma, Antonio Gines Santiago, María De La O Hernández Herrero, Francois Xavier Emile Brunie Vegas, Manuel Fajardo Puentes
PDF

Relación entre el realce parenquimatoso de fondo y los distintos subtipos moleculares de cáncer de mama.

Begoña Cajal Campo, Ana Isabel Hijas Gómez, Mercedes Torres Tabanera, Silvia Alonso Roca, Ana Belén Delgado Laguna
PDF

Fibromatosis mamaria esporádica y postquirúrgica: el tumor de la prótesis

Maria Ainhoa Diaz De Otalora Serna, Maider Bringas Veiga, Diana Gorostiza Laborda, Begoña Iturre Salinas, Mª Pilar Utrilla Mainz, Olivia Rodriguez San Vicente
PDF

CORRELACION RADIO-PATOLOGICA EN LAS LESIONES BIRADS 4B. NUESTRA EXPERIENCIA. ¿LO ESTAMOS HACIENDO BIEN?, ¿COMO PODEMOS MEJORAR?

Rosa Mª Jiménez Yáñez, Mª Fermina Lorente Fernández, Julia Pérez Cutillas, Mª Eugenia Arias Laverde, Nadia Picazo Escribano, Alba Mas Sánchez
PDF

ESTUDIO DE COSTE EFECTIVIDAD DE LA BIOPSIA ASISTIDA POR VACÍO GUIADA POR ESTEREOTAXIA VERTICAL O ECOGRAFÍA FRENTE A LA BIOPSIA CON AGUJA GRUESA Y EL ARPON EN LAS LESIONES MAMARIAS.

Pilar Fernández García, Santiago F Marco Domenech, Valentina Troconis Vaamonde, Antonio Lorenzo Gorriz, Antonio Navarro Ballester, Eva Casanovas Feliu
PDF

CIRCUITO URGENTE DE TUMORES MAMARIOS, ¿cómo lo estamos haciéndo?, ¿cómo podemos mejorar?

Rosa Mª Jiménez Yáñez, Julia Pérez Cutillas, Laura Humanes López, Nadia Picazo Escribano, Mª Fermina Lorente Fernández, Fatima Garcia Navarro
PDF

CORRELACIÓN RADIO-PATOLÓGICA DE MICROCALCIFICACIONES MAMARIAS BIOPSIADAS MEDIANTE SISTEMA ASISTIDO POR VACÍO GUIADO POR ESTEREOTAXIA

María José Fernández Bermúdez, Laura López González, José Daniel Samper Wamba, Luis Alberto Domitrovic, Ana María Fernández Martínez, Nancy Bibiana Aristizábal Buitrago
PDF

Evaluación de las lesiones adicionales de RM de mama mediante técnicas avanzadas de fusión de imagen ecografía-RM con navegación en tiempo real.

María Culiáñez Casas, Francisco Miras Azcón, María Dolores García Roa, Salvador Martínez Meca, Elena Pastor Pons
PDF

Lesiones quísticas de mama con potencial maligno

Antonio Navarro Ballester, Pilar Fernández García, Santiago F. Marco Domenech, Antonio Lorenzo Górriz
PDF

Punciones ecoguiadas de mama en Acto Único: Resultados preliminares

Guadalupe Garrido Ruiz, Gema Díaz Córdoba, Elena Pardo Susacasa, Ana Tapia Guerrero, Joaquín Irigoyen Oyarzabal, Mercedes Acebal Blanco
PDF

¿Son indicación de biopsia los nódulos visibles con ecografía que presentan márgenes indistintos?

Francisco Luis Romero Cique, Jose Hernanz Padial, Mercedes Torres Tabanera, Teresa Iscar Galan, Paula Martinez Miravete
PDF

Características mamográficas de los tumores derivados del PDPCM por un único lector

Cristina Martín Rodríguez, Sara Romero Martín, José Luis Raya Povedano
PDF

LINFOMAS, TAMBIÉN EN MAMA.

Roberto D. Tabernero Rico, Carmen Martínez Lara, Manuel A. Martín Pérez, Bianca Prieto Hernández, Sara Higuero Hernando, José Marín Balbín
PDF

Impacto de la creación de una unidad de Cáncer Heredofamiliar en las indicaciones de estudios de RM de mama

Eduardo Enrique Daguer Tamayo, Oscar Bueno Zamora, Iván Márquez Rodas, Jose Maria Jiménez Pérez, Jesus Javier Martín Pinacho
PDF

Utilidad del TAC en la valoración de los ganglios linfáticos axilares en los pacientes con cáncer de mama

Olivia Benítez Dupin, Joaquín Gómez Ramírez, Alejandro Tejerina Bernal, Sonia Rivas Fidalgo, Mariano Díaz Miguel Maseda, Carmen Estrada Blan
PDF

ESTUDIO DE CORRELACIÓN ENTRE LA DENSIDAD MAMOGRÁFICA Y EL PATRÓN INMUNOHISTOQUÍMICO EN EL CÁNCER INVASIVO DE MAMA

Ana Azahara García Ortega, María Arantzazu Romero Borque, Elenaº Lopez Banet, Guillermo Carbonell Lopez Del Castillo, Florentina Guzmán Aroca, Dolores Hernández Gómez
PDF

CARACTERÍSTICAS ECOGRÁFICAS DE GANGLIOS AXILARES EN PACIENTES CON CÁNCER DE MAMA: CORRELACIÓN RADIO-PATOLÓGICA.

José David Guio Fernández, María Yolanda Torres Souza, María Eugenia Banegas Illescas, David García Muñoz, Cristina Gómez Vega
PDF

Cáncer de mama triple negativo, un reto diagnóstico

María Cristina Hernández Rodríguez, Miguel Gonzalo Domínguez, Verónica Alvarez Alamo, Carmen Martínez Lara, Tomás Hernández Corral, José Marín Balbín
PDF

Estudio de la correlación en el informe de mamografía respecto a lesión y patrón de densidad en el cáncer de mama entre dos radiólogos expertos.

Ana Azahara García Ortega, María Arantzazu Romero Borque, Luis González Ramos, Guilda Morell González, Florentina Guzmán Aroca, Dolores Hernández Gómez
PDF

Asimetrías de densidad: Concepto, imagen y correlación anatomopatológica.

Verónica Gamero Medina, Javier Torréns Martínez, Josefa Galobardes Monge, Abdulhamit Batiray Polat, Carolina Ramírez Lozano
PDF

Biopsia de mama por RM con sistema de vacío portátil VACORA®

Amaia Arrillaga Hermoso, Esther Fernandez Pardavila, Cristina Gonzalez Sainza, Manuel San Vicente Galparsoro, Elena Arizaga Batiz, Daniel Rodriguez Rodriguez
PDF

Correlación del grado de respuesta tras quimioterapia neoadyuvante, en pacientes con Ca de mama con fenotipo triple negativo. RM vs anatomía patológica.

Jai Jaime Marcano Fernandez, Maria Lopez Garcia, Silvia Perez Rodrigo, Miguel Chiva De Agustín, Luisana Fernandez Muñoz
PDF

Tumor phyllodes de la mama: revisión de casos clínicos

Cristina Gómez De Las Heras, Patricia Mármol Vázquez, María Fátima Ramos Solis
PDF

Manifestaciones de las enfermedades hematológicas a nivel mamario

Lidia Ceniceros Robles, Daniel Pardo Durán, Marcela Vasquez Veloza
PDF

ESTADIAJE GANGLIONAR AXILAR EN PACIENTES DERIVADAS DEL PROGRAMA DE CRIBADO

Sara Plaza Loma, Yolanda Rodríguez De Diego, Rebeca Pintado Garrido, María Elena Villacastín Ruíz, Ana Arnal Burró, Marcelino Mendo González
PDF

Screening mamario. Controversias

Manuel Delgado Márquez, Juliana Catalina Rodríguez Arango, César Canales Pimentel, Luis Alberto Mullor Delgado
PDF

Hallazgos radiológicos del carcinoma lobulillar infiltrante de mama y otros tipos específicos.

Juan Carlos Monte González, María José Ciudad Fernández, Myriam Montes Fernández, José Luis Lerma Gallardo, Alejandro Pascual Martin, Juan Arrazola García
PDF

Revisión de los canceres triple negativo en el programa de cribado poblacional

Asunción Fariña Sarasqueta, Mª Elisa Operé Salas, Mónica Campo Diego, Ana Legorburu Piedra
PDF

Aspectos técnicos de la Resonancia Magnética de Mama. ¿Está todo dicho?

Leire Álvarez Pérez, Vicente Martínez De Vega Fernandez, Diana Mollinedo Xx, Susana Linares Gonzalez, Isaacº Daimiel Naranjo
PDF

¿Es la RM mamaria una técnica predictora de respuesta patológica completa (RPc) fiable en todos los subtipos inmunohistoquímicos de cáncer de mama?

Silvia Pérez Rodrigo, Paola Nasute Fauerbach, Jaime v, Juan Manuel Blázquez Ortiz
PDF

Tumor mucinoso de la mama. Nuestra experiencia

Vega García Blázquez, Miguel Chiva De Agustín, Silvia Pérez Rodrigo, Silvia Castilla Miguel, Juan Manuel Blazquez Ortiz
PDF

ANALISIS DE RESULTADOS EN LAS PACIENTES DERIVADAS DESDE EL PROGRAMA DE DETECCIÓN PRECOZ A LA UNIDAD DE MAMA

Yolanda Rodríguez De Diego, Sara Plaza Loma, María Elena Villacastín Ruíz, Rebeca Pintado Garrido, Itziar Anacabe Goyogana, Marcelino Mendo González
PDF

Patología Inflamatoria De La Mama

Raquel Ramirez Galvez, Inmaculada Gallardo Muñoz, Miriam Portero De La Torre

Ecografía de prótesis mamaria : hallazgos normales y complicaciones.

Carlos Domínguez Rodríguez, Miriam Reche Blanes, Brenda Melero Romero, Beatriz Romera Barroso, Alberto Quirce Vazquez
PDF

MAMOPLASTIA DE REDUCCIÓN. LO QUE EL RADIÓLOGO DEBE CONOCER.

Sara Plaza Loma, Yolanda Rodríguez De Diego, María Elena Villacastín Ruíz, Rebeca Pintado Garrido, Antonio Gines Santiago, María De La O Hernández Herrero
PDF

COMPORTAMIENTO DE LA NEOPLASIA DE MAMA EN LA TC: UNA HERRAMIENTA MÁS PARA SU DIAGNOSTICO

Sonia Ruiz Macarrilla, Jordi Català Forteza, Caterina Montull Ferrer, Teresa Salgado Derqui, Carlos Martínez Marchena
PDF

Valoración pronóstica de los factores radio-patológicos del cáncer de mama triple negativo y la respuesta a la quimioterapia neoadyuvante.

Cristina Sebastián Sebastián, Carmen García Mur, Silvia Cruz Ciria, David Santiago Rosero Cuesta, Belén Gros Bañeres, Elisa Ruíz De La Cuesta
PDF

SARCOMA MAMARIO: EL GRAN OLVIDADO

Rafael Reina Cubero, Maria Rosario Campos Arenas, Soraya Garcia Gomez, Eva Marie Heursen, Teresa Maria Guijo Hernandez, Andres Garcia Gamez
PDF

Carcinoma coloide de mama: correlación de sus características radiológicas con los hallazgos de anatomía patológica en 35 casos.

Susana Linares Gonzalez, Vicente Martinez De Vega, Diana Mollinedo Xx, Leire Alvarez Perez, Agustin Acevedo Barbera
PDF

Mientras mirábamos la mama: lesiones axilares incidentales

Diana Mollinedo Xx, Vicente Martinez De Vega, Susana Linares González, Leire Alvarez Perez, Agustin Acevedo Barbera
PDF

Revisión de lesiones benignas capaces de simular un cáncer de mama

Eduardo Herrero Carretero, Sara Lojo Lendoiro, mercedes Leal Cala, Marta Gallego Riol, Aurora Salinas Delicado, María Consolación Cárdenas Rodríguez
PDF

Utilidad de la Resonancia Magnética en el marcaje prequirúgico de tumores de mama

Vicente Martinez De Vega Fernandez, Susana Linares Gonzalez, Diana Mollinedo Xx, Leire Alvarez Perez, Manuel Recio Rodriguez, Isaac Daimiel Naranjo
PDF

Cáncer de mama tras radioterapia supradiafragmática.

Diana Gorostiza Laborda, Begoña Iturre Salinas, Ainhoa Diaz De Otalora Serna, Maider Bringas Veiga, Gema Tabernero Jubindo, Gaizka Mallabiabarrena Ormaechea
PDF

IMAGEN MOLECULAR PET-TC EN EL CANCER DE MAMA

Antonio Maldonado Suarez, Vicente Martinez De Vega, Susana Linares Gonzalez, Silvia Fuertes Cabero, Gines Hernandez Cortes, Javier Hornedo Muguiro
PDF

Comportamiento en Resonancia Magnética de mama del variado espectro de lesiones papilares de la mama

Vicente Martinez De Vega Fernandez, Susana Linares Gonzalez, Leire Alvarez Perez, Manuel Recio Rodriguez, Isaac Daimiel Naranjo
PDF

Hallazgos incidentales descubiertos en la RM mamaria.

Ana Begoña Valentín Martín, Rocío Lerma Ortega, María Carmen Madrid Muñiz, Jesus Julian Cortes Vela, Maria Arias Ortega, Javier González Spinola
PDF

Lesiones hiperecogénicas de la mama: ¿nos quedamos tranquilos?

Amàlia González López, Viviana P. Beltrán Salazar, Sergi Ganau Macías, Amaya Martín Olóriz, Melcior Sentís Crivellé
PDF

El arte de la mamografía

Estibaliz Gomez Jimenez, Nerea Garcia Garai, Jose Javier Echevarria Uraga, Elena Ingunza Loizaga, Gorka Del Cura Allende, Belen Mugica Alcorta
PDF

LO QUE ESCONDE UNA IMAGEN DE SOSPECHA

OLATZ Gorriño Angulo, ANA Legorburu Piedra, ELENA Cintora León, Mónica Santamaría Peña, Sara Fernandez Ferrer, Domingo Grande Icaran
PDF

Correlación radio-patológica de las lesiones malignas de mama

Alinne Morales Pulachet, Rebeca Mirón Mombiela, Seyther Morales Burbano, Jesús Palao Errando, Raquel García García, Vicente Ballester Leiva
PDF

Cáncer de mama en mujeres menores de 35 años: nuestra experiencia en 50 casos

Begoña Iturre Salinas, Diana Gorostiza Laborda, Patricia Cobos Baena, Ainhoa Diaz De Otalora Serna, Gaizka Mallabiabarrena Hormaechea, Maider Bringas Veiga
PDF

Ecografía "second-look". Algunos trucos y consejos para localizar las lesiones

Esther Domínguez Franjo, Josefa Galobardes Monge, Trinidad Villarejo Ramos, Rosa Lorente Ramos, Maria Martinez Martinez-Losa, Ana Maria Garcia Morena
PDF

Hallazgos radiológicos de la necrosis grasa de la mama: un atlas.

Aránzazu Gutiérrez Pantoja, Dolores Sánchez García, Ana Fernández Lozoya, Miguel Angel Méndez Alonso, Jaime Gutierrez Camargo
PDF

EXPERIENCIA INICIAL CON EL SISTEMA DE ESCISIÓN PERCUTÁNEA DE LESIONES DE MAMA BAJO CONTROL ECOGRÁFICO

Analía María Cubero Vujovich, Óscar Bueno Zamora, Yolanda María González Mullor, María Del Carmen Rodriguez Cano
PDF

EFECTIVIDAD DE LA BIOPSIA ASISTIDA POR VACÍO GUIADA POR ESTEREOTAXIA VERTICAL O ECOGRAFÍA COMPARADA CON LA BIOPSIA CON AGUJA GRUESA Y EL ARPON EN LESIONES MAMARIAS

pILAR Fernández García, Santiago f Marco Domenech, Soraya Barrachina Hidalgo, Susana De Lazaro De Molina, nadia Ouyoun Ouyoun, Iliana Romero Batista
PDF

Estudio comparativo de cáncer incidente vs prevalente en un programa de cribado mamográfico.

Monica Campo Diego, Maria Elisa Operé Salas, Asunción Fariña Sarasqueta, Domingo Grande Icaran
PDF

DISTORSIONES ARQUITECTURALES: DIFICULTADES DIAGNÓSTICAS, CORRELACIÓN RADIOPATOLÓGICA

Rocío Lerma Ortega, María Arias Ortega, ignacio Bares Fernandez, Carmen Madrid Muñiz, Javier González
PDF

EL GANGLIO AXILAR: "UN CENTINELA PATOLÓGICO"

Rafael Reina Cubero, Eva Marie Heursen, Soraya Garcia Gómez, Diego Alejandro Utor Fernández, Pilar Moreno Paredes
PDF

Patología mamaria en el varón: ¿Qué hacer? ¿Qué buscar?

Sergio Carrasco Muñoz, Óscar Bueno Zamora, Elsa García Laborda, Francisco Javier Olcoz Monreal, José Carlos Garrido Bermejo, Maite Urizar Gorosarri
PDF

LA MAMA ROJA: MÁS QUE UN COLOR

Ana Azahara García Ortega, Guillermo Carbonell López Del Castillo, Elena López Banet, Andres F. Jiménez Sánchez, Florentina Guzmán Aroca, Dolores Hernández Gómez
PDF

INDICACIONES CLÍNICAS DE LA RM DE MAMA, ¿SABEMOS CUÁLES SON?

Ana Azahara García Ortega, Guillermo Carbonell López Del Castillo, Luis González Ramos, Elena López Banet, Florentina Guzmán Aroca, Dolores Hernández Gómez
PDF

RESONANCIA DE MAMA. Correlación molecular (espectroscopía) y funcional (difusión) con biomarcadores inmunohistoquímicos y histológicos del cáncer de mama.

JOAQUIM Barceló Obregón, JOAN CARLES Vilanova Busquets, MARIA Boada Ordis, Francesc Castañer Corretger, Joana Ferrer Subiros, Anna Perez De Tudela
PDF

Hallazgos y consejos en la mama con cirugía conservadora, qué no debemos olvidar

José Ma MaríaJiménez Pérez, Oscar Bueno Zamora, Francisco Javier Olcoz Monreal, Eduardo Daguer Tamayo, Maite Urizar Gorosarri, Miguel Paniagua González
PDF

Lesiones benignas mamarias poco frecuentes, correlación radio-histológica

María Udondo González Del Tánago, Olatz Gorriño Angulo, Elena Cintora León, Sara Fernandez Ferrer, Lander Antón Mendez, Domingo Grande Icaran
PDF

¿Existe alguna asociación entre la densidad mamaria y los subtipos moleculares del cáncer de mama?

Maria Elisa Operé Salas, Asunción Fariña Sarasqueta, Mónica Campo Diego, Sara Fernandez Ferrer
PDF

Correlación radio-patológica y seguimiento de las lesiones mamarias histológicas de alto riesgo en nuestro hospital.

Diana Lucia Acevedo Soto, Yudy Marleny López Barrera, Claudia Pascual Montero, Alicia Victoria Gavilanes Vaca, Juan Luis Quirós Cebría, Alfonso Martín Arganda
PDF

ECOGRAFÍA AXILAR EN LA SECCIÓN DE MAMA. MÁS ALLÁ DEL CÁNCER DE MAMA.

Antonio Ginés Santiago, Yolanda Rodríguez De Diego, Sara Plaza Loma, María De La O Hernández Herrero, Sara Higuero Hernando, François Brunie Vegas
PDF

EXPERIENCIA INICIAL DE LA RADIOTERAPIA INTRAOPERATORIA EN CÁNCER DE MAMA

Jonathan Paul Taboada Villca, Jessica Guadalupe Molina Osorio, Silvia Cruz Círia, Ylenia Marta Navarro Monforte, Elisa Ruiz De La Cuesta Martín, Carmen García Mur
PDF

Afectación mamaria en las enfermedades hematológicas sistémicas: hallazgos radiológicos

Alexandre Pérez Girbés, Guillermina Montoliu Fornas, Alejandro Montoya Filardi, Jesús Javier Collado Sánchez, Juan José Delgado Moraleda, Yurany Ochoa Santiago
PDF

Papel de las diferentes técnicas de Imagen en la patología mamaria masculina frecuente e infrecuente.

Alexander Rodas Ocampo, Natividad Rebollo García, Carmen Soto Aguilar, Maria Teresa Hidalgo Martin, MAria Fuensanta Cordero Sanchez
PDF

DESCARTANDO MALIGNIDAD CON LA TOMOSÍNTESIS

Carmen Nicole Tischendorf Dumreicher, Maria Del Mar Ramirez Arrizabalaga
PDF

DE LA MANO CON LA TOMOSÍNTESIS

Carmen Nicole Tischendorf Dumreicher, Maria Del Mar Ramirez Arrizabalaga
PDF

Evaluación de la BAG axilar en la estadificación ganglionar del cáncer de mama.

Jone Sagasta Urrutia, Oleksandr Ostapenko Xxx, Jon Etxano Cantera, Fernanda Llorente Moreno, Ibon Enciso Baztan, Ramón Arrizabalaga Guereñu
PDF

Evaluación de la mama durante la gestación y lactancia. Lo que el radiólogo debería saber

Covadonga Del Camino Fernández-Miranda, Inmaculada Caramés García, Verónica Bulnes Vázquez, Seila Sal De Rellán Arango, Ana Díaz García, Alberto Velasco Bejarano
PDF

Mama roja. ¿Qué nos podemos encontrar?

Maider Bringas Veiga, Ainhoa Diaz De Otalora Serna, Diana Gorostiza Laborda, Begoña Iturre Salinas, Pilar Utrilla Mainz
PDF

RM EN DE MAMA EN PACIENTES DE RIESGO. REVISIÓN DEL TEMA

Mercedes Arias González, Alfonso Iglesias Castañón, Beatriz Nieto Baltar, Rosa Mallo Alonso, Cristina Ruibal Villanueva, Marta Rodríguez Álvarez
PDF

BAV guiada por ecografia como tratamiento de los papilomas intraductales

Marta Ornia Rodriguez, Astrid López Secades, Carlos Baldó Sierra, Francisco Domínguez Iglesias
PDF

Implantación de un Audit de calidad en mamografía para un programa de prevención.

Belén Ejarque Sanahuja, Cristina Díaz Garcia, Mónica Arranz Frías, Francesc Macià Guilà
PDF

¿ESTAMOS AUMENTANDO EL SOBREDIAGNÓSTICO CON LA TOMOSÍNTESIS?

Paloma Quevedo Moreno, Manuela Parras Jurado, Cristina Miró Guillén, Cristina Márquez González, Olga Martín Ruíz
PDF

Tomosíntesis de mama. Aplicaciones clínicas y hallazgos radiológicos.

Seila Sal De Rellán Arango, Covadonga Del Camino Fernández-Miranda, Verónica Bulnes Vázquez, Inmaculada Caramés García, Ana Díaz García
PDF

ARPÓN QUIRÚRGICO VS SEMILLA DE IODO 125 I) EN LA LOCALIZAC IÓN DE LESIONES NO PALPABLES DE MAMA. RESULTADOS PRELIMINARES

I Mendoza Arnau, R Sánchez Sánchez, M Culiañez Casas, A Moyano Portillo,, Pablo Tomás Muñoz, S Martinez Meca
PDF

Utilidad de la Angio TC en la planificación preoperatoria de la reconstrucción mamaria microquirúrgica mediante colgajo pediculado con ramas perforantes de arteria epigástrica inferior (DIEP). Revisión de la experiencia en el Hospital Clínico Universitario de Valencia y comparación con los datos publicados

Juan Manuel Sanchis García, Carolina Hortaneda López, Nerses Nersesyan, Jorge Guijarro Rosaleny, Joaquín Gil Romero, Julio Palmero da Cruz
PDF

APLICACIONES DE LA ELASTOGRAFÍA SEMICUANTITATIVA EN LA EVALUACIÓN DE NÓDULOS MAMARIOS SUBCENTIMÉTRICOS

Yesica Martínez Paredes, Florentina Guzmán Aroca, María José Martínez Cutillas, Juan Francisco Martínez Martínez, Andrés Francisco Jiménez Sánchez, Ana Azahara García Ortega
PDF

ESTUDIO DE CORRELACIÓN RADIOPATOLÓGICA EN LA AGRUPACIÓN DE MICROQUISTES . ¿CUÁNDO BIOPSIAR?

Alberto Ibáñez Ibáñez, Ana Gema Blanco Cabañero, Patricia Camino Marco, María Angeles Ortega Encinas, Cristina López Cárceles, Jenifer Rubio Medina
PDF

UTILIDAD DE LA PET/TC CON 18F FDG EN LA DETECCIÓN DE LA RECIDIVA DEL CARCINOMA LOBULILLAR INFILTRANTE DE MAMA

JR García, FJ Alvarez Moro, M Soler, M Cozar, J Ferrer, E Riera
PDF

Influencia de la RM preoperatoria ha en la actitud quirúrgica del cáncer de mama: Identificación de subgrupos

RE Pacios Blanco, M Chiva de Agustín, S Bermúdez Nieto, F Farfán Leal, S Pérez Rodrigo, JM Blázquez, V García Blázquez, M Andreu, J. Blázquez Sánchez
PDF

CORRELACIÓN RADIO PATOLÓGICA Y VALOR PREDICTIVO DE LA BIOPSIA INTRAOPERATORIA DEL GANGLIO CENTINELA DE MAMA EN EL HOSPITAL DE SIERRALLANA TORRELAVEGA CANTABRIA

María Díaz De Tuesta Hernández, Pilar Alonso Bartolomé, Teresa Azcarretazábal González-Ontaneda, Andrés Güezmes Domingo, Olga Acinas García, Javier García Poza
PDF

Estudio de correlación entre los hallazgos en RM y la histología e inmunohistoquímica del cáncer invasivo primario de mama

Elena López Banet, María Aranzazu Romero Borque, Ana Azahara García Ortega, Florentina Guzmán Aroca, Dolores Hernández Gómez, Andrés Francisco Jiménez Sánchez
PDF

Análisis de las características tumorales de las pacientes de alto riesgo estudiadas mediante RM mamaria

D. Marquina Martínez, C. García Mur, S. Cruz Círia, C. Muel Guerrero, A. García Barrado, B. Gros Bañeres
PDF

MAMOGRAFÍA SINTETIZADA FRENTE A MAMOGRAFÍA DIGITAL 2D EN SCREENING DE CÁNCER DE MAMA

C González Huerta, J Álvarez González, M Pérez-Peña del Llano, C Quispe León, I Gutierrez Pérez, S Shehadeh Mamalat
PDF

Clasificación automática del realce parenquimatoso de fondo (BPE) en DCE-MRI

Oliver Díaz Montesdeoca, Albert Gubern Mérida, Susanne Diekmann, Ritse Mann, Robert Martí Marly
PDF

Espécimen quirúrgico de mama, cómo abordarlo radológicamente

O. Zubeldia, B. Barber, P. Archidona, G. Aguirreche, I. Iribarren, M. Felix
PDF

MICROCALCIFICACIONES EN LA MAMOGRAFÍA Y LESIONES HISTOLÓGICAS DE ALTO RIESGO: ¿SIEMPRE BIOPSIA QUIRÚRGICA?

Aurora Bolívar Puente, Sara Romero Martín, Cristina Pulido Carmona, José Ignacio Cortés García, Juan Mesa Quesada, José Luis Raya Povedano
PDF

Segmentación semiautomática en ecografía mamaria automatizada (ABUS)

Richa Agarwal, Oliver Díaz Montesdeoca, Xavier Lladó Bardera, Albert Gubern Mérida, Joan Carles Vilanova Busquets, Robert Martí Marly
PDF

UTILIDAD DE LA RM DE MAMA PARA PREDECIR RESPUESTA PATOLÓGICA COMPLETA EN NEOADYUVANCIA EN EL CÁNCER DE MAMA: ASOCIACIÓN CON SUBTIPO TUMORAL

Sara Jiménez Arranz, Leisy Sotolongo Díaz, Javier Torrens Martínez, Rocío González Tovar, María Teresa Fernández Taranilla, Manuel Delgado Márquez
PDF

RESECCIÓN PERCUTÁNEA DE LESIONES DE MAMA MEDIANTE BLES CON CONTROL ECOGRÁFICO

Analía María Cubero Vujovich, Oscar Bueno Zamora, Yolanda María González Mullor, Miguel Ángel Olmo López, Carmen María Ema Rodríguez, Angélica Barrio Cao
PDF

PROGRAMA DE DETECCIÓN PRECOZ DE CÁNCER DE MAMA. INDICADORES DE CALIDAD.

Pilar Alonso Bartolomé, Alexandra De Diego Diez, Eduardo Herrera Romero, Paula Merino Rasillo, Estrella Ortega García, Sonia Sánchez Gómez, Mar Sánchez Movellán
PDF

Correlación radiopatológica de Ia respuesta a neoadyuvancia en cáncer de mama evaluada mediante RM

E. García Santana, M. Andreu Rodríguez, V. García Blázquez, S. Bermúdez Nieto, B. Alba Pérez, M. Chiva de Agustín
PDF

Perfil del TSID en programas de screening de mama en mujeres portadoras de implantes.

María Begoña Ballesteros Escolar, Beatriz García Sánchez
PDF

Monitorización de la respuesta a la quimioterapia neoadyuvante con Resonancia Magnética en carcinoma de mama: Correlación radiopatológica en 75 casos

B. Iturre Salinas, P. Cobos Baena, J. Burgos San Cristobal, D. Gorostiza Laborda, A. Díaz de Otalora Serna, M. Bringas Veiga
PDF

CORRELACIÓN DE LA SEMIOLOGÍA ECOGRÁFICA DE LAS LESIONES BIRADS 4 Y 5 DE LA MAMA CON SU RESULTADO ANATOMOPATOLÓGICO

Ramón Ortiz Giménez, José Antonio Fernández Gómez, José María Sainz Martínez, Blanca Madariaga Ruiz, José Andrés Guirola Ortiz
PDF

Estudio de la correlación radiopatológica de RM con diferentes modelos de respuesta en anatomía patológica en pacientes con neoadyuvancia por cáncer de mama localmente avanzado

R M Lorente-Ramos, J Azpeitia Armán, M A Lara Alvarez, Berta Obispo Portero, T Rivera García

EL CÁNCER DE MAMA EN EL VARÓN:º REVISIÓN DE CASOS DE NUESTRO HOSPITAL.

Claudia Pinilla Rivas, Astrid López Secades, Carlos Baldó Sierra, Rebeca Fernández De Sanmamed Gutiérrez, Begoña Palomo Antequera, Jennifer Carolina Barbato Mateos
PDF

ESTUDIO DESCRIPTIVO DE LAS SEGUNDAS NEOPLASIAS DE MAMA DIAGNOSTICADAS EN NUESTRO CENTRO DE 2012 A 2016

Mª Victoria Torres Isidro, Mª Dolores Sánchez García, Ana Fernández Lozoya, José Antonio Feria Herrera, José Fernando Antezana Tapia
PDF

¿Existen diferencias en la forma de presentación de la recurrencia del cáncer de mama entre pacientes con tratamiento conservador y no conservador?

Mª Victoria Torres Isidro, Ana Fernández Lozoya, Mª Dolores Sánchez García, José Fernando Antezana Tapia, José Antonio Feria Herrera
PDF

Cáncer de mama en mujeres mayores: nuestra experiencia

Ana Mª Fernández Lozoya, Mª Dolores Sánchez García, Mª Victoria Torres Isidro, Paloma Arias Baldo, Aránzazu Gutiérrez Pantoja
PDF

Diagnostico y tratamiento de lesiones sospechosas de alto grado usando Biopsia asistida por vacio guiada por ultrasonografia

J Vucetic, J Palao Errando, C Barber Hueso, J S Cárdenas Herrán, M Ortega Millán, R García García
PDF

Nueva clasificación BI RADS para microcalcificaciones : Más no siempre es mejor

J Vucetic, M Ortega Millán, J Rivera Mata, J Palao Errando, C Barber Hueso, R García García
PDF

HALLAZGOS EXTRAMAMARIOS INCIDENTALES EN LA RESONANCIA MAGNETICA DE MAMA

Mª Dolores Sánchez García, Ana Mª Fernández Lozoya, Mª Victoria Torres Isidro, Aránzazu Gutiérrez Pantoja, PAloma Arias Baldó
PDF

Neurorradiología

 

 

El Circuito de Papez: Anatomía Radiológica de la Emoción

Ana Sánchez Martín, Carolina Calvo Corbella, Patricia Carreño Moran, Juan Antonio Juanes Méndez, Andrés Framiñán De Miguel
PDF

CIERRE ESPONTÁNEO DE LAS FÍSTULAS CARÓTIDO CAVERNOSAS DIRECTAS. RESOLUCIÓN INFRECUENTE DE UNA PATOLOGÍA POCO COMÚN.

Valentina Troconis Vaamonde, Volker Schröer, Antonio Lorenzo Gorriz, Soraya Barrachina Hidalgo, Eva Casanovas Feliu, Iliana Romero Batista
PDF

EL INFORME RADIOLÓGICO EN EL CÓDIGO ICTUS. PUNTOS CLAVE PARA GUIAR UN TRATAMIENTO INDIVIDUALIZADO

Isabel Herrera Herrera, Mónica Bernabéu Rodríguez, Rafael González Gutiérrez, Elena Capilla Cabezuelo, Juan Manuel García Benassi, María Teresa Fernández Taranilla
PDF

Cambios y complicaciones en el cráneo postquirúrgico.

Amparo Gívica Pérez, Alina Uriarte Rodríguez, María del Carmen González Domínguez, Jano Manuel Rubio García, María Elena Orihuela De La Cal, María Valentina Vivas Escalona
PDF

Lesiones solitarias hiperdensas del encéfalo en el TC de cráneo sin contraste

José Adolfo Flores Méndez, Ariel Pacheco Usmayo, Miguel Mazón Momparler, Jesús Javier Collado Sanchez, Juan José Delgado Moraleda, Alejandro Montoya Filardi
PDF

Importancia y papel de la TC-Perfusión en los cuadros simuladores de ACVA

Brenda Melero Romero, Irene García Pastor, Jose Ignacio Gallego León, Javier Manso Del Caño
PDF

Cirugía endoscópica nasosinusal en qué interviene el radiólogo en el antes, el durante y el después.

Silvia Cisneros Carpio, Juan José Gomez Muga, M. Mar Sarmiento De La Iglesia, Fco. Javier Martin Arregui, Javier Aitor Zabala Lopez De Maturana, Alex Grande Astorquiza
PDF

EVALUACION POR IMÁGENES DE NEUROPATIAS PERIFERICAS RELACIONADAS A CIRUGIAS.

Rafael Barousse, Santiago Molinas Ortiz, Juan Martin Santos, Carlos Cadena Barrenechea, Ariel Gonzalez, Fernando Caro Mateo
PDF

IMAGEN MULTITRAZADOR PET-RM EN EL MANEJO DE LOS TUMORES CEREBRALES

Antonio Maldonado Suarez, Manuel Recio Rodriguez, Mar Jimenez De La Peña, Ana Aurora Diaz Gavela, Silvia Fuertes Cabero, Vicente Martinez De Vega
PDF

Neuroimagen diagnóstica en las cefaleas

Silvia Torres Del Río, Elisabeth Cruces Fuentes, Carlos Vázquez Olmos, Lucia Hernández Sánchez, Elisabeth Maria Nuñez Peynado, José María García Santos
PDF

ESTUDIO POR IMAGEN DE LA NEUROPATIA DEL NERVIO PERONEO COMUN

Victor Manuel Encinas Tobajas, José Manuel Morales Perez, Antonio Cano Rodriguez, José Ignaio Reina Sanchez De Movellan
PDF

PET­TC y PET­RM en el manejo de los tumores de cabeza y cuello

Antonio Maldonado Suarez, Javier Carrascoso Arranz, Cecilia Garcia Villafañe, Ana Aurora Diaz Gavela, Elia Del Cerro Peñalver, Ana Alvarez Vazquez
PDF

Tumores intramedulares del cordón espinal Neoplasias infrecuentes y localmente agresivas.

María Carolina Gutiérrez Ramírez, Guilda Morell Gonzalez, Guillermo Carbonell López Del Castillo, Victoria Vásquez Sáez, Ernesto Domenech Abellán, Amparo Gilabert Úbeda
PDF

PET-RM MULTITRAZADOR EN EL ESTUDIO DE LA ENFERMEDAD DE ALZHEIMER

Antonio Maldonado Suarez, Manuel Recio Rodriguez, Mar Jimenez De La Peña, David Ezpeleta Echavarri, Silvia Fuertes Cabero, Vicente Martinez De Vega
PDF

DIAGNÓSTICO POR IMAGEN DE LA AMILOIDOSIS CEREBRAL

Laura Koren Fernández, Amaia Hilario Barrio, elena Salvador Álvarez, Patricia Martin Medina, Ana Ramos González
PDF

TUMORES MEDULARES CLASIFICACIÓN Y SEMIOLOGÍA POR RESONANCIA MAGNÉTICA NUCLEAR.

Carlos Martín Gómez, Daniel Zarranz Sarobe, Esther Riñones Mena, Esther Alonso García, María Jesús Rubio Sanz, Amaia Dehesa García
PDF

Manifestaciones neurorradiológicas en el síndrome de embolia grasa.

Iñaki Escudero Martínez, Jenny Catalina Correa Zapata, Beatriz Mateos Goñi, Ainara Dolado Llorente, José Rafael Villoria Alonso
PDF

Imagen de la degeneración axonal secundaria en el sistema nervioso central.

Alejandro Montoya Filardi, Joan Carreres Polo, Javier Collado Sánchez, Daniel Sánchez Mateos, Juan Delgado Moraleda
PDF

ENCEFALITIS INFECCIOSAS DEL ADULTO. PROBLEMAS EN EL DIAGNÓSTICO DIFERENCIAL.

Elena López Banet, Gillermo Carbonell López Del Castillo, Luis González Ramos, Ana Azahara García Ortega, Andrés Francisco Jiménez Sánchez, Victoria Vázquez Sáez
PDF

Correlación entre los tiempos de circulación cerebral, medidos mediante Synglo iflow en la angiografía cerebral, y el pronóstico funcional en los pacientes con hemorragia subaracnoidea aneurismática.

Mariano Facundo Werner Reyes, Antonio Lopez Rueda, Laura Llull, Sergio Amaro, Laura Oleaga Zufiría, Juan Macho Fernández
PDF

Lesiones de la duramadre: más allá del meningioma.

Renzo Javier Andrade Gonzales, Florentina Guzman Aroca
PDF

Craniosinostosis. Definición, clasificación y ejemplos de casos de nuestro centro.

Maria Antonia Garrido Collado
PDF

Complicaciones de los sistemas de derivación ventrículo-peritoneales.

Idoia Echegoyen Juaristi, Edurne Pardo Zudaire, Enaut Garmendia Lopetegui, Itsaso Barral Juez
PDF

SÍNDROMES NEUROCUTÁNEOS: MANIFESTACIONES NEUROLÓGICAS Y SISTÉMICAS.

Susana Bahamonde Cabria, Blanca E. Viñuela Rueda, José Ignacio Barragan Tabares, Jesús Simal Fernández, Miguel Ángel Nieto Arroyo
PDF

Patología intracraneal asociada a VIH

Silvia Rosa Calero, Alejandro Samitier Pastor, Cristina Delgado Ricote, Stefano Pasetto X
PDF

TI-RADS: QUÉ, CÓMO, CUÁNDO Y PORQUÉ.

Eugenia De Lama Salvador, Natalia Romero Martinez, Joana Valcarcel Jose, Raul Ortega Martinez, Isabel Catala Costa
PDF

Lesiones tumorales de la mandíbula

Pedro Blas García Jurado, María Eugenio Pérez Montilla, Elisa Roldán Romero, Manuel J Ramos Gómez, Fco. De Asís Bravo- Rodríguez
PDF

Trombectomía intraarterial mecánica en el ictus del despertar.

Mariano Espinosa De Rueda Ruiz, Blanca Garcia-Villalba Navaridas, Giorgio Barbieri X, Joaquín Zamarro Parra, Cristina Sanchez-Vizcaino Buendia, Guillermo Parrilla Reverter
PDF

RM DE ÓRBITA Y GLOBO OCULAR: EXPERIENCIA EN UN HOSPITAL TERCIARIO

Ana Isabel Cisneros Calvo, Beatriz Rodríguez-Vigil Junco, Rocío Pelaez Chato, Jon Echeveste Aizpurua, Carmen Romera De La Fuente, Blanca Martínez De Guereñu Ortuoste
PDF

Espectroscopia Y Psiquiatria

José David Albillo Labarra, Heidy Sáenz Acuña, Manuel Jesús Uribe Heredia, Aurymar Fraino
PDF

CONTRIBUCION DE LA PET CON 11C-METIONINA EN PACIENTES TRATADOS DE GLIOMAS CON RM NO CONCLUYENTE PARA LA DIFERENCIACION ENTRE RECURRENCIA TUMORAL Y RADIONECROSIS

Jose Ramon Garcia Garzon, Pilar Teixidor Rodriguez, Miguel Baquero Munera, Marina Soler Peter, Ana Miriam Staitie Galí, Carme Balaña Quintero
PDF

Diagnóstico Del Ictus Agudo Empleando Un Dispositivo Electrónico Portátil (Ipad 2). Concordancia Interobservador En La Valoración De TC Basal Y Angio-TC.

Daniel Lourido Garcia, Agustina Vicente Bartulos, Jose Armando Alvarado Rosas, Maria Nieves Plana, Javier Blázquez Sánchez
PDF

Hiperintensidades en los ganglios basales y el tálamo. Una aproximación al diagnóstico diferencial.

Andrés Francisco Jiménez Sánchez, Elena López Banet, Yésica Martínez Paredes, Luis González Ramos, María Carolina Gutiérrez Ramírez, Victoria Vázquez Sáez
PDF

LIBRO DE BOLSILLO DE ANGIOGRAFÍA POR RM EN NEURORRADIOLOGÍA: TÉCNICAS Y APLICACIONES PRÁCTICAS

Patricia Martín Medina, Amaya Hilario Barrio, Elena Salvador Álvarez, Laura Koren Fernández, Federico Ballenilla Marco, Ana Ramos González
PDF

RM Cerebral ¿Cuándo pensar en CMV?

Beatriz García Martínez, Enrique Marco De Lucas, Victor Fernández Lobo, Paula Gallego Ferrero, Alexandra De Diego Diez, María Díez Blanco
PDF

Aire en el cerebro

Beatriz García Martínez, Enrique Marco De Lucas, Jose María Navasa Melado, Victor Fernández Lobo, Paula Gallego Ferrero, Javier Valentín De La Calle Lorenzo
PDF

Ataxia y tremor asociado a X-fragil. Lo que el radiólogo debería saber.

Luis Fernández Prudencio, Ana María López Moreno, Germán Lucini Pelayo, Luis Fernández De Alarcón, Clara Rodríguez Godoy, Clara Gil Perea
PDF

CÓDIGO ICTUS: LA IMPORTANCIA DE UN INFORME PREDEFINIDO (IP)

Nuria Bermejo Espinosa, Miren Gorriño Angulo, Luisa Vidales Arechaga, Karmele Armedariz Tellitu, Elena Ingunza Loizaga
PDF

TIROIDITIS AUTOINMUNE, LA GRAN SIMULADORA. ¿CUÁL ES LA CLAVE DIAGNÓSTICA?

Silvia Caparrós Cánovas, Dolores Montero Rey, Sonia Águeda Martín, Antonio Santiago Hernando, Carmen Martín Hervás
PDF

Glioblastomas recurrentes tratados con bevacizumab: ¿predice el cambio en la permeabilidad microvascular la respuesta al tratamiento?

Amaya Hilario Barrio, Laura Koren Fernández, Elena Salvador Álvarez, Juan Manuel Sepúlveda Sánchez, Aurelio Hernández Laín, Ana Ramos González
PDF

Angio-TC y spot sign en la hemorragia intracerebral aguda.

Paula Gallego Ferrero, Enrique Marco De Lucas, Beatriz García Martínez, Víctor Fernández Lobo, Javier Valentín De La Calle Lorenzo, Marta Drake Pérez
PDF

COMPLICACIONES ENDOCRANEALES DE PATOLOGÍA ORL

Sara Lojo Lendoiro, Raquel Esteban Saiz, Manuela Rebolledo Vicente
PDF

LA RM CEREBRAL ¿UNA AYUDA O UN PROBLEMA? CLAVES DIAGNÓSTICAS PARA INICIADOS.

Mercedes Leal Cala, Eduardo Herrero Carretero, Marta Gallego Riol, Sara Lojo Lendoiro, Itziar Bañales Arnaiz, Manuela Rebolledo Vicente
PDF

Hallazgos del Carcinoma Adenoide Quístico en los tumores de Cabeza y Cuello

Gabriel Nombela Fernández, María Ramos López, Gloria María Anicama Orcón, Mónica Hernando Cuñado, Covadonga Del Riego Fernández-Nespral, Luisa Fernanda Taborda Ramírez
PDF

Código ictus... ¿siempre ictus?

Víctor Fernández Lobo, Enrique Marco De Lucas, Amaya Iturralde Garriz, Beatriz Garcia Martinez, Paula Gallego Ferrero, Javier Valentín De La Calle Lorenzo
PDF

Enfermedad inflamatoria orbitaria idiopática. A propósito de tres casos.

Carlos Oliva Fonte, Cristina Fernández Rey, Javier Pereda Rodríguez, Teresa González De La Huebra Labrador, Montserrat Garrido Blázquez, Olga Montsinos Sanchez-Girón
PDF

PERFUSIÓN DE LUJO VERSUS TRANSFORMACIÓN HEMORRÁGICA DE UN ACCIDENTE CEREBROVASCULAR AGUDO ( ACVA ) ISQUÉMICO EN LA TAC

lAURA Díaz Rubia, jOSE Antonio Miras Ventura, Ana Milena Muñoz, Cristina Dávila Arias, Virginia Jiménez Coronel
PDF

La TC en patología orbitaria urgente

David Romero Alonso, Beatriz Ramos Antón, Eugenio Navarro Sanchis
PDF

Fístulas carotido-cavernosas. Utilidad del AngioTC en el diagnóstico y abordaje terapeutico.

Maria Soraya García Gómez, Teresa Guijo Hernandez, Jose Lope Garrido Rull
PDF

Encefalocele Temporal Espontáneo: Como causa de crisis epiléptica

Carmen Zevallos Maldonado, Laura Abenza Oliva, Carmen María Aleman Navarro, Carmen Alcantara Zafra, Lucia Sanchez Alonso, Alejandro Puertas Sales
PDF

SINDROME DE LA DEHISCENCIA DEL CONDUCTO SEMICIRCULAR SUPERIOR EN TC DE ALTA RESOLUCIÓN

M. Caterina Montull Ferrer, Laura Castrillo Salas, Marta Sandoval Puig, Sonia Ruiz Macarrilla, Gracia Valderas Martinez, Miquel Baquero Munuera
PDF

TRAUMATISMOS DEL HUESO TEMPORAL

Elena Quílez Caballero, Emilio Valentín Agrela Rojas, Adriana María López Ruiz, Federica Cordido Herniquez, Ignacio López-Vidaur Franco, Montserrat Barxias Martín
PDF

Hemorragia Cerebelosa Remota: una complicación que debemos conocer

Diego Páez Granda, Santiago Ibañez Caturla, Juan Francisco Martínez Martínez, Antonio Navarro Baño, Andrés López Sánchez, Victoria Vázquez Sáez
PDF

Linfoma Primario de Tiroides: papel de los ultrasonidos en la secuencia diagnóstica

Guillermo García Gutiérrez, Victoria Romero Laguna, María Lucía Bermá Gascón, Laura Peñuela Ruiz, Antonio Márquez Moreno
PDF PDF

Melanoma de Coroides: papel de la ecografía en el manejo diagnóstico

Guillermo García Gutiérrez, Ana Tapia Guerrero, Laura Domínguez Gómez, María José Regañá Feijóo, Antonio Márquez Moreno
PDF

Exploración ecográfica del melanoma ocular: lo que el radiólogo debe saber

Antonio Navarro Ballester
PDF

TUMORES OLIGODENDROGLIALES GRADO III. EXPERIENCIA EN NUESTRO CENTRO.

Cristina Gomez Vega, Fatima Jimenez Aragon, Vanessa Goic Ortiz, Jose David Guio Fernandez, Manuel Calvo Garcia, Jordi Vidal Gonzalez
PDF

REVISIÓN ACTUALIZADA DE UN CLÁSICO: PAPEL DE LA ECOGRAFIA Y ECO-PAAF EN EL NÓDULO TIROIDEO. LO QUE NO DEBEMOS OLVIDAR.

Cristina Gomez Vega, Fatima Jimenez Aragon, Vanessa Goic Ortiz, Maria Teresa Gomez San Roman, Maria Eugenia Banegas Illescas, Jose Alfredo Villanueva Liñan
PDF

¿Cuando debo pensar y que debo saber de la enfermedad de Creutzfeldt-Jakob?

Diana Carolina Cuellar Marquez, Jose Manuel Villanueva Rincon, Jose Federico Ojeda Esparza, Aurymar Fraino, Juan Carlos Paniagua Escudero
PDF

ECOGRAFIA DOPPLER COLOR OCULAR. TECNICA E INDICACIONES.

Manuel Montero Jaime, Josep Garcia Bennet, Ariadna Conejero Olesti, Daniel Rodriguez Martinez, Ander Zugazaga Cortazar, Mireia Pitarch Diago
PDF

Papel de la RM cerebral con secuencia de difusión, más allá de la isquemia aguda.

Patricia Menal Muñoz, Cristina Galache Osuna, Noelia Padrón Rodriguez, José Andrés Guirola Ortiz, Ruth Domene Moros, Maria José Gimeno Peribañez
PDF

HALLAZGOS RADIOLÓGICOS PREDICTORES DE LESIÓN NERVIOSA DURANTE EL TRATAMIENTO QUIRÚRGICO DEL TERCER MOLAR INFERIOR.

DIONISIO JESÚS Donate Ortiz, Patricia Camino Marco, María Isabel Tercero Azorín, Inmaculada Alcaltud González, Cristina López Cárceles, Rosa María Collado Jiménez
PDF

Variantes anatómicas del polígono de Willis. Todo lo que debemos conocer.

Sandra Delgado Sáiz, Lander Antón Méndez, Juan José Gómez Muga, Maria Del Mar Sarmiento De La Iglesia, Silvia Cisneros Carpio, Domingo Grande Icarán
PDF

Síndrome de compresión vascular del nervio vestibulococlear: correlación clínico-radiológica.

Alejandro Samitier Pastor, Iván Carrión Martínez, Carla Merma Linares, Esther Domènech Vadillo
PDF

Utilidad de la Resonancia Magnética Funcional en el diangóstico y caracterización de las lesiones parotídeas glándulas salivares.

Emilio Agrela Rojas, Elena Quílez Caballero, Montserrat Barxias Martín, María López Ruíz, Federica Cordido Henríquez
PDF

Comparativa entre NeuroQuant® y FIRST de la estimación del volumen de sustancia gris subcortical en pacientes con esclerosis múltiple

Deborah Pareto Onghena, Francesc Xavier Aymerich Martínez, Jaume Sastre Garriga, Cristina Auger Acosta, Xavier Montalban Gairín, Alex Rovira Cañellas
PDF

Tumores cerebrales intraaxiales en adultos: qué nos aportan las técnicas

Mª Luisa Masó Navarro, Laura Serrano Velasco, María Nuria López Ramírez, Marta Huertas Moreno
PDF

Ablación por radiofrecuencia de nódulos tiroideos sintomáticos benignos. Resultados a 6 meses de 5 pacientes dentro de un estudio multicéntrico nacional.

Daniela Díaz Arancibia, Laura Castro Frías, Jordi Reverter Calatayud, Jordi Bechini Bernard, Montse Tenesa Bordas, Malgorzata Agata Stachno
PDF

La Biopsia con aguja gruesa en los nódulos tiroideos. Un estudio de 676 casos consecutivos con correlación quirúrgica

Sandra Delgado Sáiz, Miguel Paja Fano, María Udondo González Del Tánago, Rosa Zabala Landa, Igone Korta Gómez, Jose Luis Del Cura Rodríguez
PDF

Embolia gaseosa cerebral: detección precoz, causas y tratamiento

Victoria Romero Laguna, Ana Rodríguez Molina, Laura Domínguez Gómez, María José Regaña Feijoó, Tania Díaz Antonio, María Del Mar García Gallardo
PDF

VENTRICULITIS CEREBRAL

Carlos Piñana Plaza, Delfina Dualde Beltrán, José Soler Martínez, Susanie Flores Casaperalta, Álvaro Pesquera Muñoz, Julio Palmero Da Cruz
PDF

FRACTURAS DE MANDÍBULA. PECULIARIDADES Y DIAGNÓSTICO POR TC

Álvaro Santiago Pesquera Muñoz, Delfina Dualde Beltrán, Marcelo Rengel Ruiz, Juan José Pomares Pomares, Carlos Piñana Plaza, Julio Palmero Da Cruz
PDF

Meningiomas intratimpánicos: una causa tratable de hipoacusia de transmisión.

Cristina López Cárceles, Rosa María Collado Jiménez, Ángela Fernández López, PAtricia Camino Marco, Dionisio Jesús Donate Ortiz, Inmaculada Alcantud González
PDF

Hallazgos radiológicos de los quistes foliculares o dentígeros.

Cristina López Cárceles, Rosa María Collado Jiménez, Patricia Camino Marco, Ángela Fernández López, Maria Isabel Tercero Azorín, Javier Peinado Rodenas
PDF

EPILEPSIA: PAPEL DE LAS PRUEBAS DE IMAGEN

Sara Higuero Hernando, Manuel Ángel Martín Pérez, Antonio Ginés Santiago, Rodrigo Blanco Hernández, Cecilia Santos Montón, Miguel Gonzalo Dominguez
PDF

Cambios postquirúrgicos y complicaciones de la craniectomía descompresiva en pacientes pediátricos.

Irene España Ramírez, Araceli Montilla Moreno, María Isabel Martínez León, Anabel Doblado López, Cristina Bravo Bravo, Pascual García-Herrera Taillefer
PDF

HALLAZGOS RADIOLÓGICOS DEL SÍNDROME DE DYKE – DAVIDOFF – MASSON EN LA EDAD ADULTA

Antonio v, Celia López Redondo, Leandro Burgos Vigara, Natalia Pérez Sánchez
PDF

Impacto de la RM cerebral para evaluar las complicaciones intracraneales inmediatas tras la colocación de stent carotídeo en pacientes con estenosis carotidea sintomática: estudio de serie casosº

Yiken Karelys Ng Wong, Alex Rovira Cañellas, Carla Vert Soler, Marc Ribó, Pilar Coscojuela Santaliestra, Alejandro Tomasello Weitz
PDF

Hallazgos de TC y RM en el diagnóstico de la Hidrocefalia Crónica del Adulto.

Miguel Gonzalo Domínguez, Maria Cristina Hernández Rodríguez, Juan Antonio Juanes Méndez, Laila Santirso Abuelbar, Cecilia Santos Motón, Ignacio Martin García
PDF

Análisis de la valoración de la escala del ASPECTS en pacientes con ictus isquémico agudo

Angela Patricia Salazar Gomez, Pilar Cosocojuela Santaliestra, Alejandro Tomasello Weitz, Carla Vert Soler, Cesar Augusto Ortiz Andrade, Alex Rovira Cañellas
PDF

Riesgo de ictus isquémico en niños con anemia de células falciformes: Estudio con Doppler transcraneal

Sara Desamparados Picó Aliaga, Juan José Delgado Moraleda, Carmen Cinta Sangüesa Nebot, Enrique Garcés Iñigo

TRATAMIENTO ENDOVASCULAR DEL ICTUS ISQUÉMICO VERTEBROBASILAR AGUDO. EXPERIENCIA EN LOS ÚLTIMOS 5 AÑOS

Eduardo Fandiño Benito, José Carlos Méndez Cendón, Javier García Poza, Daniel Lourido García, Juan Salvador Martínez San Millán
PDF

Hemorragia cerebral parenquimatosa no traumática – posibles causas y su detección

Eva-Marie Heursen, Teresa Guijo Hernandez, María Soraya García Gomez, Rafael Reina Cubero
PDF

Traumatismo craneoencefálico leve, ¿Cuándo realizar TC? Revisión bibliográfica y propuesta de protocolo MAPAC.

Diego Garrido Alonso, Lorena Rodríguez Gijón, María José Simón Merlo, Aurea Díez Tascón, Milagros Martí De Gracia, Gonzalo Garzón Moll
PDF

ENCEFALOPATÍA LEVE CON LESIÓN REVERSIBLE DEL ESPLENIO DEL CUERPO CALLOSO (MERS, Mild Encephalopathy with Reversible Splenial lesion)

Carlos Piñana Plaza, Roberto Aliaga Méndez, Francisco Menor Serrano, José Luis León Guijarro, Álvaro Pesquera Muñoz, Julio Palmero Da Cruz
PDF

HALLAZGOS POR RM DE LA ENCEFALOPATÍA HEPÁTICA

Lara Farràs Roca, Mario Huete Naval, Juan José Sánchez Fernández, Paloma Puyalto De Pablo, Albert Pons Escoda, Carlos Aguilera Grijalvo
PDF

Diagnóstico de muerte encefálica mediante angioTC

Idoia Echegoyen Juaristi, Edurne Pardo Zudaire, Eñaut Garmendia Lopetegui, Gorka Arenaza Choperena, Virginia Gomez Usabiaga
PDF

Papel del radiólogo en las complicaciones neurológicas durante el embarazo y el puerperio

Inmaculada Alcantud González, Javier Peinado Rodenas, Dionisio Jesús Donate Ortiz, Patricia Camino Marco, Rosa María Collado Jiménez, Elena Lozano Setien

Reconocimiento radiológico de la trombosis venosa cortical.

Manuel Salomón De La Vega, Esther Gorostiza Bermejo, Verónica García De Pereda De Blas, Josu Mendiola Arza, José Rafael Villoria Alonso, Olivia María Rodríguez San Vicente
PDF

¿Hay Acuerdo Entre Radiólogos Con La Escala ASPECTS Para Informar El Ictus?.

Agustina Vicente Bártulos, Daniel Lourido García, jose Armando Alvarado Rosas, Ana Royuela Vicente, Maria Nieves Plana Farras, Javier Blázquez Sánchez
PDF

LESIONES HIPERINTENSAS EN GANGLIOS BASALES Y TÁLAMOS EN PEDIATRÍA: UN RETO DIAGNÓSTICO

Marina Cristina Sánchez-Porro Del Río, María Rosario Campos Arenas, Macarena Sánchez-Carpintero De La Vega, Cristina García Villar, Rafael Reina Cubero, Amaya Zuazo Ojeda
PDF

RM en ictus agudo: ¿que necesita saber el clínico?

Teresa Maria Guijo Hernandez, Maria Rosario Campos Arenas, Marina Sanchez-Porro Del Rio, Soraya Garcia Gomez, Manuel Valdes Anastasio
PDF

PAPEL DE LA PERFUSIÓN POR RESONACIA MAGNÉTICA EN PATOLOGÍA TUMORAL CEREBRAL

Marina Cristina Sánchez-Porro Del Río, María Rosario Campos Arenas, Teresa María Guijo Hernandez, Mª Soraya García Gomez, Alejandro García Muñoz, José Lope Garrido Rull
PDF

Papel de la ecografía y de la RM fetal y postnatal en la valoración de la infección cerebral congénita por citomegalovirus.

Manuel Recio Rodríguez, Raquel Cano Alonso, Manuela López Azorín, Inés Tamarit Degenhardt, Pilar Martínez Ten, Vicente Martínez De Vega Fernández
PDF

EVALUACIÓN DEL CRÁNEO POSQUIRÚRGICO POR TC

Vladimir Cheranovskiy, Mario Prenafeta Moreno, Sandra Pérez Aguilera, Martin Zauner Jakubik, Antoni Rovira Gols, Amalia González López
PDF

REVISIÓN DE LAS LESIONES QUÍSTICAS CEREBRALES: UNA RÁPIDA APROXIMACIÓN POR EL RADIÓLOGO.

Maria Esther Gómez San Martín, Joaquin Ortega Quintanilla, Luis Ruiz García, Teresa Alvarez De Eulate García, Margarita Rodriguez Velasco, Jose Manuel Montes Plaza
PDF

Aproximación diagnostica de las masas intraxiales, un reto para el” neuroradiologo eventual”.

Teresa Maria Guijo Hernandez, Macarena Sanchez Carpintero De La Vega, Eva Marie Heursen, Rafael Reina Cubero, Soraya Garcia Gomez, Alejandro Garcia Muñoz
PDF

RM fetal: descripción e interpretación práctica de la patología ventricular y periventricular.

Chawar Hayoun Chaara, Manuel Recio Rodriguez, Cecilia Garcia Villafañe, Julio Fernandez Mata, Pilar Martinez Ten, Vicente Martinez De Vega
PDF

El Angio-TC como herramienta diagnóstica de las fístulas arteriovenosas intracraneales en la Urgencia.

Paula Gallego Ferrero, Enrique Marco De Lucas, Andrés Antonio González Mandly, José María Navasa Melado, Beatriz García Martínez, Víctor Fernández Lobo
PDF

Síndrome de MELAS: papel de la neuroimagen.

Nuria Rojo Sanchis, Maria Rosa Cambra Martí, Antonio Marín Cañete, Ana Maria Sanchez Laforga
PDF

MEDULOBLASTOMA: Hallazgos en RM predictores del tipo genético y pronóstico asociado.

Mónica Orgaz Álvarez, Mauricio Castillo M.D., Francisco Gabriel Sepúlveda F.A.C.R, María Luisa Lorente Hermosilla, Jorge Mario Sánchez Jareño
PDF

Hipointensidades cerebrales múltiples en secuencia de susceptibilidad: Enfoque diagnóstico.

Mónica Orgaz Álvarez, Mauricio Castillo M.D, Francisco Gabriel Sepúlveda F.A.C.R., Ana Lorena Hermosilla, María Fernanda Cedeño Abello
PDF

El papel del Radiólogo en la valoración de lesiones de Cabeza y Cuello en la Era de la Cirugía Robótica

Ana Alonso Torres, Félix Guerra Gutiérrez, María Aragonés García, José Granell Navarro, Raimundo Gutiérrez Fonseca, Jaime Fernández Cuadrado
PDF

HIPERTROFIA OLIVAR DEGENERATIVA: Claves en imagen para su interpretación.

Mónica Orgaz Álvarez, Mauricio Castillo M.D., Francisco Gabriel Sepúlveda F.A.C.R., Verónica Gamero Hermosilla, María Fernanda Cedeño Medina
PDF

PARAGANGLIOMAS DE CABEZA Y CUELLO; LO QUE EL RADIOLOGO DEBE SABER

BEATRIZ Romera Barroso, ELENA Garcia Garrigos, JUAN Arenas Jimenez, BRENDA Melero Romero, CARLOS Dominguez Rodriguez, MARINA Sirera Matilla
PDF

ABSCESOS CEREBRALES NEONATALES. EL CITROBACTER COMO PRINCIPAL AGENTE PATÓGENO.

Mercedes Leal Cala, Andrea López Martínez, María Isabel Martínez León, Amparo García Galera, Almudena Pérez Lara, Cristina Bravo Bravo
PDF

Síndrome de Horner: Hallazgos en neuroimagen.

Aranzazu Gutiérrez Pantoja, Estrella Collado Montes, Francisco Maria Salgado, Begoña García-Castaño Gandiaga, Zuleikys López Ricardo, José Fernando Antezana
PDF

Valor pronóstico del tensor de difusión en pacientes con traumatismo craneoencefálico y lesión axonal difusa

Amaya Hilario Barrio, Elena Salvador Álvarez, Laura Koren Fernández, Ana María Castaño León, Alfonso Lagares Gómez-Abascal, Ana Ramos González

Lo que el radiólogo debe saber sobre el infarto de la arteria de Percherón.

Ana Tapia Guerrero, Guillermo García Gutierrez, Ana Rodríguez Molina, Laura Peñuela Ruiz, María Del Mar García Gallardo, Rafael Aguilar Cuevas
PDF

Neuralgia del trigémino: Anatomía y Patología

Silvia Torres Del Río, Marta Tovar Pérez, Carlos Vázquez Olmos, Jose María García Santos, Almudena García Gerónimo, Marta Huertas Moreno
PDF

Predictores radiológicos de crecimiento de hemorragia cerebral

Miguel Cuadrado Blázquez, Deysi Garcia Figueredo, Santiago Bolivar Cuevas, Joana Madureira Cordeiro, Jorge Hernández García, Xavier Pruna Comella
PDF

LESIONES QUÍSTICAS CEREBRALES NO NEOPLÁSICAS. CLAVES Y PISTAS PARA SU DIAGNÓSTICO DIFERENCIAL.

Mercedes Leal Cala, Marta Gallego Riol, Sara Lojo Lendoiro, Eduardo Herrero Carretero, Raquel Esteban Saiz, Berta Pinto Vargas
PDF

Lesiones pseudotumorales del sistema nervioso central.

Cristina Fernández Rey, Marta Lobo Garcia, Javier Pereda Rodriguez, Carlos Oliva Fonte, Cris Eugenia Sibaja Castro
PDF

TRASTORNOS HEREDITARIOS DE SUSTANCIA BLANCA. CLAVES PARA EL DIAGNÓSTICO DIFERENCIAL

Jade García Espinosa, Alberto Martínez Martínez, Elena Moya Sánchez, Jorge Pastor Rull, Javier Martínez Bosch
PDF

PATOLOGÍA TUMORAL PRIMARIA NO ASTROCITARIA DEL SNC

Jade García Espinosa, Alberto Martínez Martínez, Marta Revelles Paniza, Jorge Pastor Rull, Francisco Javier Martínez Bosch
PDF

El cerebro traumatizado

Miguel Arturo Schüller Arteaga, Juan José Gómez Muga, María Del Mar Sarmiento De La Iglesia, Ainhoa Viteri Jusue, María Udondo González Del Tánago, Mikel Grau García
PDF

Utilidad de la perfusión RM sin contraste “pseudo-continuos arterial spin labeling” (pCASL) en el manejo diagnóstico del síndrome de encefalopatía posterior reversible (PRES) con patrón de afectación holohemisférico

Victor Manuel Suárez Vega, Felix Guerra Gutierrez, Ana Díez Barrio, Gustavo Torres Gaona, Ana Alonso Torres, Carlos Sánchez Almaraz
PDF

El valor pronóstico de la resonancia magnética por difusión en recién nacidos con encefalopatía hipóxico isquémica

Eva-Marie Heursen, Amaya Zuazo Ojeda, Isabel Benavente Fernández, Simón Lubián López
PDF

Mielopatía aguda-subaguda no traumática Utilidad de la difusión como secuencia rutinaria en la patología aguda medular

Maria Del Mar Jiménez De La Peña, Javier Carrascoso Arranz, Lidia Gómez Vicente, Rocio Garcia Cobos, Ana Alvarez Vazquez, Vicente Martínez De Vega
PDF

TC CRANEAL URGENTE EN NUESTRO ENTORNO. REVISIÓN DE LAS INDICACIONES Y HALLAZGOS RADIOLÓGICOS

Elena Roa Martínez, Elena Barcina García, Elena Díez Uriel, Nuria Santamaría Guinea, María Martínez Martínez Losa
PDF

VALOR DE LA PET-RM EN EL PROTOCOLO PREQUIRÚRGICO DE LA EPILEPSIA FÁRMACO-RESISTENTE

Antonio Maldonado Suarez, Mar Jimenez De La Peña, Manuel Recio Rodriguez, Anne Gomez Caicoya, Silvia Fuertes Cabero, Vicente Martinez De Vega
PDF

LESIONES NEUROLÓGICAS ATÍPICAS ENCONTRADAS EN PACIENTES CON VON HIPPEL LINDAU

José Adolfo Flores Mendez, Francisco Menor Serrano, Jesús Javier Collado Sanchez, Ariel Pacheco Usmayo, Alejandro Montoya Filardi, Juan Jose Delgado Moraleda
PDF

LAS COMPLICACIONES VISUALIZADAS EN LA ANGIOGRAFÍA Y TAC DURANTE Y DESPUÉS DEL TRATAMIENTO ENDOVASCULAR DEL ICTUS AGUDO; ¿QUÉ DEBEMOS SOSPECHAR?

Amaya Iturralde Gárriz, Enrique Marco De Lucas, Javier De La Calle Lorenzo, Alexandra De Diego Diez, V´íctor Fernández Lobo, Andrés González Mandly
PDF

EL CLIVUS: Ecchordosis Physaliphora y semejantes.

Mónica Orgaz Alvarez, Mauricio Castillo M.D., Carlos Zamora F.A.C.R, Francisco Gabriel Sepúlveda M.D., Ruth Teresa Martín Ph.D, Julian Panizo Hermosilla
PDF

PAPEL DE LA RADIOLOGÍA EN EL DIAGNÓSTICO DEL SÍNDROME DE HIPOTENSIÓN ENDOCRANEAL

Erika Natalia Arenas Rivera, Santiago Medrano Martorell, Sofia Gonzalez Ortiz, Jaume Capellades Font
PDF

Urgencias neurológicas en el paciente oncológico: ¿qué debemos buscar más allá de las metástasis?

Elisabeth Cruces Fuentes, Silvia Torres Del Río, Carlos Vázquez Olmos, Elizabeth Núñez Peynado, Marta Tovar Pérez, María Carrillo García
PDF

Diagnóstico radiológico de los distintos tipos de hematoma intracraneal en el paciente con traumatismo craneoencefálico

José Antonio Miras Ventura, Laura Díaz Rubia, Ana Milena Muñoz
PDF

Tumores orbitarios.

David Romero Alonso, Beatriz Ramos Antón, Eugenio Navarro Sanchis, Eva Briceño Garcia
PDF

Epilepsia, el reto diagnóstico para el neurorradiólogo y la importancia de un protocolo específico adecuado

Marta Tovar Pérez, Carlos Vázquez Olmos, Elizabeth M. Nuñez Peynado, Silvia Torres Del Río, Carmen Botía Gónzalez, Lucía Hernández Sánchez
PDF

Astrocitomas: papel de la imagen avanzada en el diagnóstico y la evaluación de la respuesta al tratamiento

María Gómez Huertas, Miguel Angel Pérez Rosillo, Maria Dolores García Roa, Jorge Pastor Rull
PDF

PATOLOGÍA CEREBELOSA: MÁS QUE TUMORES Y CAUSAS DEGENERATIVAS. UN ABORDAJE GENERAL.

Alejandro Pérez Martín, Amado Rodríguez Benítez, Cristina García Villar, Macarena Sanchez-Carpintero De La Vega, Cristina Liberato Cano
PDF

Lesiones iatrogénicas del nervio facial

Carmen María Alemán Navarro, Plácida Del Carmen Alemán Diaz, María Victoria Redondo Carazo, Noelia Lacasa Pérez, Carmen Del Pilar Zevallos Maldonado, Lucía Sánchez Alonso
PDF

Cirugía oncológica en cabeza y cuello: claves para la interpretación de los injertos y sus complicaciones.

Paula Bartumeus Martinez, Maria Eugenia Arias Laverde, Laura Humanes Lopez, Nadia Picazo Escribano
PDF

Patología hipofisaria en RM.

Maria Soraya García Gómez, Teresa Guijo Hernandez, Eva Marie Heursen, Rafael Reina Cubero
PDF

EL MAPA NEURAL: UNA NUEVA HERRAMIENTA PARA LA VALORACIÓN DE LAS POLINEUROPATÍAS

Elena Gallardo Agromayor, Rosa Landeras Alvaro, Ana Lara Pelayo Negro, Victor Férnandez Lobo, Javier De La Calle Lorenzo, Antonio García García
PDF

Cuarto ventrículo: Algo más que líquido cefalorraquídeo en su interior

Cecilia Santos Montón, José Manuel Villanueva Rincón, Sara Higuero Hernando, Roberto Domingo Tabernero Rico, Manuel Ángel Martín Pérez, José Martín Marín Balbín
PDF

ANATOMIA Y PATOLOGIA TUMORAL NASOSINUSAL.

Laura Castrillo Salas, Caterina Montull Ferrer, Miguel Baquero Munuera, Maria Martel Martin, María Sandoval Puig, Irene Moysset Agustí
PDF

El cuello tratado. Cambios secundarios al tratamiento quirúrgico y radioterápico y complicaciones derivadas del mismo.

Enrique Calleja Cartón, Carlos Pérez García, Adriana Fernández Gonzalo, Jesús Javier Martín Pinacho, Carlos Malfaz Barriga, Jorge González Cantero
PDF

LOS VENTRÍCULOS: VIAJE AL FONDO DE LA MENTE

Santiago Medrano Martorell, Anna Agustí Claramunt, Erika Natalia Arenas Rivera, Luis Alexander Del Carpio Bellido Vargas, Sofía González Ortiz, Jaume Capellades Font
PDF

Valoración de las técnicas de imagen en la determinación de la penumbra isquémica en pacientes con ictus isquémico agudo

Alexandre Soler Perromat, Oscar Chirife Chaparro, Napoleón Macías Rodríguez, Federico Zarco Contreras, Jordi Blasco Andaluz, Juan Macho Fernández
PDF

Hallazgos de imagen mediante resonancia magnética cerebral en pacientes recién nacidos después de cirugía cardiaca . Experiencia de 24 meses

Alberto Alvarez Muelas, Cristina Utrilla Contreras, Arantxa Royo Orejas, Amelia Fernandez Zubillaga, Diego Garrido Alonso, Gonzalo Garzón Moll
PDF

Lesiones de calota en adultos: Diagnóstico por imágen

Gorka Del Cura Allende, Nuria Bermejo Espinosa, Elena Ingunza Loizaga, Miren Gorriño Angulo, Luisa Vidales Arechaga, Iñigo Vicente Olabarria
PDF

HEMORRAGIA SUBARACNOIDEA: hallazgos por imagen

Elena Ingunza Loizaga, Miren Gorriño Angulo, Nuria Bermejo Espinosa, Luisa Vidales Arechaga, Nerea García Garai, Estíbaliz Gómez Jiménez
PDF

Lesiones intracraneales que restringen en difusión

Silvia Paulina Gallegos Espinoza, Andrea Llavata Solaz, Giovanni Benedetto, María Vaño Molina, Enrique Mollá Olmos, Esther Blanco Perez
PDF

Papel del radiólogo en el código ictus: del diagnóstico avanzado al tratamiento endovascular

María José García Hernández, Noelia Romera Romera, Ernesto García Bautista
PDF

"VENTRICULOSTOMÍA PREMAMILAR ENDOSCÓPICA: VALORACIÓN PRE Y POST-QUIRÚRGICA MEDIANTE RM SIN TÉCNICA DE CONTRASTE DE FASE O CINE-RM. CINCO AÑOS DE EXPERIENCIA"

Macarena Sánchez-Carpintero De La Vega, Irene Iglesias Lozano, Marina Sánchez-Porro Del Río, María Del Rosario Campos Arenas, Amaya Zuazo Ojeda
PDF

DESCRIPCIÓN DE LOS DISPOSITIVOS INTRACRANEALES MÁS UTILIZADOS DESDE UN PUNTO DE VISTA RADIOLÓGICO.

Cristina Gomez Vega, Fatima Jimenez Aragon, jose David Guio Fernandez, Maikal Villena Martin, Vanessa Goic Ortiz, Jordi Vidal Gonzalez
PDF

Codigo ICTUS sin ICTUS... Que otras cosas me puedo encontrar?

Luisa Fernanda Taborda Ramirez, Covadonga Del Riego Fernandez- Nespral, Sara Santos Magadán, Gloria Anicama Orcon, Adina Negoita Negoita, Gabriel Nombela Fernandez
PDF

Diagnóstico de las lesiones del ángulo pontocerebeloso

Montserrat Garrido Blázquez, Olga Montesinos Sánchez-Girón, Diana Oquillas Izquierdo, Cris Eugenia Sibaja Castro, Carlos Oliva Fonte, Belén García Granda
PDF

REVISIÓN DE LA ANATOMÍA Y PATOLOGÍA DEL SENO CAVERNOSO MEDIANTE ESTUDIOS MORFOLÓGICOS DE TC y RM.

Vanessa Goic Ortiz, Fátima Jiménez Aragón, Cristina Gómez Vega, Carlos López Menéndez, Manuel Calvo Gacía, María Teresa Gómez San Román
PDF

LINFOMAS DEL SNC: PRIMARIOS Y SECUNDARIOS

Elena Salvador Álvarez, Amaya Hilario Barrio, Laura Koren Fernández, Patricia Martín Medina, Aurelio Hernández Lain, Ana Ramos Gonzalez
PDF

Nuestra experiencia en el tratamiento de aneurismas intracraneales mediante embolización con PED

Josima Luchsinger Heitmann, Karla Vivancos Costaleite, Eduardo Barcena Ruiz, Jose Luis Caniego Monreal, Ana Bermúdez De Castro Muela, Xiomara Altagracia Santos
PDF

FORMAS DE PRESENTACIÓN DE LAS INFECCIONES DEL SNC EN EL PACIENTE INMUNOCOMPETENTE

Sara Higuero Hernando, Enrique Marco De Lucas, Manuel Ángel Martín Pérez, Antonio Ginés Santiago, Ignacio Martín García, José Marín Balbín
PDF

ESPECTROSCOPIA. APLICACIONES EN RM CEREBRAL.

María Cristina Hernández Rodríguez, Miguel Gonzalo Domínguez, Juan Antonio Juanes Mendez, Ignacio Martin Garcia, Cecilia Santos Montón, José Marín Balbín
PDF

Diagnóstico diferencial de las infecciones intracraneales del adulto.

María José Raya Núñez, José Antonio Pérez Retortillo, Luis Gijón De La Santa, Lidia Nicolás Liza, Ainhoa Camarero De Miguel, Emilio Valbuena Durán
PDF

DIAGNOSTICO RADIOLÓGICO DE LAS MALFORMACIONES ARTERIOVENOSAS CEREBRALES Y SU TRATAMIENTO ENDOVASCULAR

Yudy Marleny López Barrera, Claudia Pascual Montero, Diana Lucia Acevedo Soto, Alicia Victoria Gavilanes Vaca, Ernesto Garcia Bautista, Sergio Luis Moyano Calvente
PDF

TC DE PERFUSION Y ANGIO-TC: ¿SON DE UTILIDAD PARA EL DIAGNÓSTICO DE LA ISQUEMIA CEREBRAL TARDIA TRAS HEMORRAGIA SUBARACNOIDEA?

Maria Teresa Fernández Taranilla, Elena Capilla Cabezuelo, Rafael Gonzalez Gutierrez, Isabel Herrera Herrera, Juan Manuel Garcia Benassi, Beatriz Gutierrez Martinez
PDF

Diagnóstico de muerte cerebral. Enfasis en la AngioTC.

Cristina Gomez De Las Heras, María Fátima Ramos Solís, Rosa Lepe Vazquez, Patricia Marmol Vazquez, Victoria De La Lara Bendahan
PDF

CHIARI DE 0 A 4, ¿CÓMO PODEMOS AYUDAR LOS RADIÓLOGOS?

Cristina Utrilla Contreras, Arantxa Royo Orejas, Amelia Fernández Zubillaga, Alberto Álvarez Muelas, Juan Álvarez-Linera Prado, Gonzalo Garzón Moll
PDF

¿Cómo afecta el alcohol al Sistema Nervioso Central? Hallazgos en pruebas de imagen

Julio Fernández Mata, Mar Jiménez De La Peña, Isaac Daimiel Naranjo, Javier Carrascoso Arranz, Raquel Cano Alonso, Vicente Martinez De Vega
PDF

Hipointensidades puntiformes - microhemorragias cerebrales en secuencias de susceptibilidad (SWI).

Jenny Catalina Correa Zapata, Iñaki Escudero Martínez, Beatriz Mateos Goñi, Jennifer Barredo Parra, Josu Mendiola Arza, Olivia María Rodríguez San Vicente
PDF

ENCEFALOPATÍA HIPÓXICO-ISQUÉMICA (EHI) EN EL RECIÉN NACIDO. NUESTRA EXPERIENCIA.

Ana Belén Sanabria Gay, Lucía Nuria Izquierdo Palomares, Cristina Martín Rodríguez, Raquel Muñoz Sánchez, Josefina Vicente Rueda
PDF

Deteccion de aneurismas en el contexto de una hemorragia subaracnoidea: comparación de la angiografía TC multidetector respecto a la angiografía rotacional 3D.

Giorgio Barbieri, Guillermo Parrilla Reverter, Blanca García-Villalba Navaridas, Mariano Espinosa De Rueda Ruiz, Joaquín Zamarro Parra, Antonio Moreno Dieguez
PDF

Correlación radio-patológica en el diagnóstico de astrocitomas localizados.

Maria Rosa Marti Domenech, Macarena Reyes Ortega, Andrea Elias Mas, Josep Lluis Dolz Jordi, Guadalupe González Pont, Cristina Corbella Sala
PDF

Explorando el seno cavernoso: recuerdo anatómico y su correlación patológica

Enrique Rico Aragón, Laura Koren Fernández, Amaya Hilario Barrio, Ana Ortiz De Mendivil Arrate, Esteban Peghini Gavilanes, Ana Ramos González
PDF

Craniometria en la valoración de la unión craniocervical, ¿Qué debe conocer el radiólogo?

Maria Jesús Fernández Ferrando, Lucia Sánchez Alonso, Carmen María Alemán Navarro, Maria Francisca Cegarra Navarro, Mª Victoria Redondo Carazo, Placida Aleman Diaz
PDF

USO DEL PET CEREBRAL CON F-FLUOROCOLINA Y CORRELACIÓN CON LA RM CRANEAL EN EL DIAGNÓSTICO Y SEGUIMIENTO DE GLIOMAS

Esther Granell Moreno, Fidel Núñez Marín, Andrea Lozano Martínez, Valle Camacho Marti, Alejandro Fernández León, Beatriz Gómez Ansón
PDF

"Lo que el ojo no ve": patología orbitaria no traumática

María Fraga Sánchez, Alba Novo Amado, Silvia Guerrero Vázquez, Víctor Armesto Pérez, Berta Vila González
PDF

Fracturas del hueso temporal: lo que el otorrino necesita saber.

Belén Del Río Carrero, Sagrario Santos De Vera, Caritat García Vera, Diego Preciado Borreguero, Lola Esteba Bech De Careda, Aleiny Castro García
PDF

Retinoblastoma: Valoración mediante RM de la extensión intra y extraocular del tumor ante la planificación terapeútica

Alberto Alvarez Muelas, Arantxa Royo Orejas, Jose Abelairas Gómez, Juan Alvarez-Linera Prado, Cristina Utrilla Contreras, Gonzalo Garzón Moll
PDF

COMPLICACIONES DE LAS INFECCIONES NASOSINUSALES: PRESENTACIÓN CLÍNICA Y HALLAZGOS EN EL TCMC.

María José Regaña Feijoo, Ana Rodríguez Molina, Laura Domínguez Gómez, María Lucía Bermá Gascón, Laura Peñuela Ruiz, Guillermo García Gutierrez
PDF

EL CEREBRO EN VIH. DIAGNÓSTICOS DIFERENCIALES CLAVE.

Antonio Ginés Santiago, Enrique Marco De Lucas, Sara Higuero Hernando, Rebeca Pintado Garrido, elena Villacastín Ruíz, Gabriel C. Fernández Pérez
PDF

Embolismo graso subaracnoideo: hallazgos radiológicos.

Jennifer Barredo Parra, Ricardo Ituarte Uriarte, Josu Mendiola Arza, Iñaki Escudero Martinez, Daniel Zarranz Sarobe, Ana Rosa Gil Martín
PDF

METÁSTASIS EN CABEZA Y CUELLO DE LOCALIZACIÓN INUSUAL: UN ABORDAJE INTEGRAL

Louisiana Rivera Valladares, Mario Prenafeta Moreno, Viviana Patricia Beltran Salazar, Francesc Xavier Pozo Ariza, Victor Perez Riverola, Antoni Rovira Gols
PDF

PRUEBAS DE IMAGEN EN EL DIAGNÓSTICO DE TUMORES NEUROENDOCRINOS: ACTUALIZACIÓN DEL ALGORITMO DIAGNÓSTICO.

Iñaki Rodriguez Lizarbe, Mª Del Prado Reyero Lafuente, Tania De Las Heras Carballo, Marta Escribano Perez, Mercedes Mitjavila Casanovas, Concepción Gonzalez Hernando
PDF

Hallazgos radiológicos de TC en la muerte encefálica

Patricia Camino Marco, Cristina López Cárceles, Juan David Molina Nuevo, Enrique Marcos Naranjo, Maria Isabel Tercero Azorin, Rosa María Collado Jiménez
PDF

Semiología radiológica de las masas de ángulo pontocerebeloso

Patricia Camino Marco, Cristina López Cárceles, Javier Peinado Rodenas, Inmaculada Alcantud González, Elena Lozano Setien, Lorenzo Abad Ortiz
PDF

RESONANCIA CEREBRAL FETAL: HALLAZGOS EN LA INFECCIÓN CONGÉNITA POR CITOMEGALOVIRUS

Amelia Fernández Zubillaga, Cristina Utrilla Contreras, Aránzazu Royo Orejas, Pilar Soledad García Raya, María De La Calle Fernández-Miranda, Gonzalo Garzón Moll
PDF

ESTUDIO DE INFILTRACIÓN PERITUMORAL EN GLIOBLASTOMAS

Ana Azahara García Ortega, Luis González Ramos, Guillermo Carbonell López Del Castillo, Matías Felipe
PDF

Tumor fibroso solitario (TFS): Nuestra experiencia en 10 casos.

Macarena Reyes Ortega, Cristina Corbella Sala, Anna Ungueti Rodriguez, Andrea Elias Mas, Josep Luis Dolz Jordi, José Ángel De Marcos Izquierdo
PDF

AFECTACIÓN EXTRAPULMONAR DE LA TBC

Sara Higuero Hernando, Maria Del Carmen Martínez Lara, Felicicana Agustín Cembellín, Juan Ramón Olivo Esteban, Manuel Ángel Martín Pérez, José Marín Balbín
PDF

ESCLEROSIS MÚLTIPLE: rol de la RM en el diagnóstico.

Alexander Rodas Ocampo, Beatriz Asenjo García, Fátima Nagib Raya, Maria Vidal Denis, Natividad Rebollo García, Patricia Leal Oliveira
PDF

ABORDAJE DIAGNÓSTICO SISTEMÁTICO DE LAS LESIONES ATÍPICAS DE LA SILLA TURCA

Sara Comellas Cruzado, Milagros Milán Rodríguez, Ramón Palacios Bote, Alberto Sierra Solis, Susana Arenas Moreno, Clara Rodríguez Godoy
PDF

Complicaciones neurológicas de las drogas de abuso.

Alejandro Montoya Filardi, Miguel Mazón Momparler, Yurany Ochoa Santiago, José Adolfo Flores Méndez, Alexandre Pérez Girbés
PDF

Leucoencefalopatía multifocal progresiva en pacientes con esclerosis múltiple a tratamiento con Natalizumab. Hallazgos en RM.

Alejandro Cernuda García, Lucía Terán Alvarez, Ana Isabel Barrio Alonso, Juan Sanz Diaz, Elena Santamarta Liebana, Antonio Saiz Ayala
PDF

LESIONES DE LA REGIÓN PINEAL: anatomía y semiología radiológica.

Alexander Rodas Ocampo, Natividad Rebollo García, Patricia Leal Oliveira, Maria Vidal Denis, Fátima Nagib Raya, Beatriz Asenjo García
PDF

LESIONES QUISTICAS PRIMARIAS CEREBRALES NO NEOPLASICAS, LO QUE EL RADIOLÓGO NECESITA SABER.

Rebeca Vara Cilla, Teresa Corbalán Sevilla, Lara Núñez Moreno, Guadalupe Ugena Díaz, Juan Vega Villar, Jorge Mario Sánchez Reyes
PDF

Imagen en epilepsia: más allá de la etiología.

Maria Del Mar Jiménez De La Peña, Raquel Cano Alonso, Antonio Maldonado Suarez, Anne Gomez- Caicoya, Ana Fernández Alfonso, Vicente Martínez De Vega
PDF

Manifestaciones radiológicas de la esclerosis múltiple.

Lara Núñez Moreno, María Teresa Corbalán Sevilla, Rebeca Vara Cilla, Juan Vega Villar, Jorge Mario Sánchez Reyes, Jorge Cobos Alonso
PDF

Esquema para el diagnóstico de las lesiones infratentoriales en adultos por resonancia magnética (RM).

Diego Enrique Nova Vaca, Angels Camins Simon, Iván Camilo García Duitama, Sara Castañer Llanes, Consuelo María Grassi Zamora, Lara Farras Roca
PDF

RM-Difusión avanzada y biomarcadores en el sistema nervioso central, un nuevo enfoque. Bases físicas y relevancia clínica.

Teodoro Martín Noguerol, Jose Pablo Martínez Barbero
PDF

Lesiones extraaxiales hiperdensas en la TC de craneo sin contraste. Guía sistemática de diagnóstico diferencial.

Ariel Pacheco Usmayo, Jo´sé Adolofo Flores Mendez, Carles Fonfria Esparcia, Yurany Ochoa Santiago, José Delgado Moraleda, Jesus Javier Collado Sanchez
PDF

CRITERIOS DE RESECABILIDAD EN EL CÁNCER DE CABEZA Y CUELLO

Delfina Dualde Beltrán, Jorge Guijarro Rosaleny, Rosa María Dosdá Muñoz, Juan Ignacio Cervera Miguel, Sergio Torondel Calaforra, Julio Palmero Da Cruz
PDF

Ictus isquémico agudo, lo que el radiólogo de guardia debe aportar.

Fares Salame Gamarra, Antonio Jose Revert Ventura, Yolanda Pallardo Calatayud
PDF

SINDROME DE APNEA OBSTRUCTIVA DEL SUEÑO (SAOS): DIAGNÓSTICO MEDIANTE SECUENCIAS DE CINE-RM.

ALFONSO Carrasco Rubio, José Navalón Burgos, Luis Jimenez Ferreres, Joaquín Otero Carrasco, José Antonio García Asensio
PDF

LINFOMATOSIS CEREBRI MEDIANTE RM: ¿QUÉ DEBEMOS SABER? ¿CÓMO LA DIAGNOSTICAMOS?

Lara Farràs Roca, Pablo Naval Baudin, Juan José Sánchez Fernández, PAloma Puyalto De Pablo, Mònica Cos Domingo, Carlos Aguilera Grijalvo
PDF

INFARTO CEREBRAL AGUDO POR OCLUSIÓN CAROTÍDEA E INTRACRANEAL EN TANDEM. TRATAMIENTO ENDOVASCULAR. EXPERIENCIA EN LOS ÚLTIMOS 5 AÑOS.

Eduardo Fandiño Benito, José Carlos Méndez Cendón, Daniel Lourido García, Javier García Poza, Juan Salvador Martínez San Millán
PDF

Anatomía radiológica de TSA mediante angioTC y principales hallazgos patológicos.

Yolanda Núñez Delgado, Macarena Eisman Hidalgo, Laura Díaz Rubia
PDF

Papel del radiólogo en el diagnóstico de las Complicaciones de las Válvulas de Derivación Ventricular.

Carmen María Fernández Hernández, Francisco Sarabia Tirado, Andrés Francisco Jimenez Sánchez, Ernesto Domenech Abellán, Cristina Serrano García, Amparo Gilabert Úbeda
PDF

Patrones Neurorradiológicos en las Enfermedades Metabólicas Hereditarias: Claves Diagnósticas

Leticia López Arellano, Florinda A. Roldán Lora, Cristina Gómez Rodriguez, Brett Northrop Sharp, Rafael Félix Ocete Pérez
PDF

ENFERMEDAD DE MOYA MOYA

Marina Cristina Sánchez-Porro Del Rio, Juan García Villanego, Maria Rosario Campos Arenas, José Garrido Rull, Alejandro Garcia Muñoz, Macarena Sánchez-Carpintero De La Vega
PDF

INFECCIÓN POR VIH: AFECTACIÓN DEL SISTEMA NERVIOSO CENTRAL

Marta Domínguez Fraga, Manuela Jorquera Moya, Pablo Gómez Cáceres, Natividad Gómez Ruiz, Alex Roberto Ramírez Mejía, Miguel Yus Fuertes
PDF

ANALIZANDO LA SECUENCIA SWI: ¿SE DEBE ADQUIRIR DE FORMA RUTINARIA?

Elena Utrera Pérez, Eloísa Santos Armentia, Ana Villanueva Campos, Claudia Jurado Basildo, Montserrat Novoa Ferro, Andrés Sepúlveda Villegas
PDF

Biomarcadores de imagen para el diagnóstico precoz de enfermedad de Alzheimer

Juan José Delgado Moraleda, Luis Marti Bonmati, Fernando Aparici Robles, Angel Alberich Bayarri, Miguel Baquero Toledo
PDF

INVERSIÓN HIPOCAMPAL INCOMPLETA (IHI) EN SUJETOS CON SÍNDROME DE DOWN

I Espallargas, J Capellades, M Haddouche, S Medrano, J Fortea, S Glez-Ortiz
PDF

POSIBLE CORRELACIÓN DEL DETERIORO COGNITIVO Y FÍSICO EN UNA COHORTE DE PACIENTES CON ESCLEROSIS MÚLTIPLE CON LAS ALTERACIONES DE LA PERFUSIÓN DE LA SG MEDIDAS CON LA TÉCNICA DE ARTERIAL SPIN LABELLING (ASL)

Mar Jiménez de la Peña, Ignacio Casanova Peña., Pablo García-Polo García, Miguel López Gavilán, Norberto Malpica, Margarita Rubio Alonso, Rafael Arroyo González, Vicente Martínez de Vega.
PDF

Detección automática de lesiones activas en esclerosis múltiple usando substracción de imágenes y campos de deformación

Mostafa Salem, Sergi Valverde, Mariano Cabezas, Deborah Pareto, Arnau Oliver, Joaquim Salvi, Alex Rovira, Xavier Lladó
PDF

UTILIDAD DE LOS PARÁMETROS DE PERMEABILIDAD DERIVADOS DE LA PERFUSIÓN T1 Y LA PERFUSIÓN T2* EN LA EVALUACIÓN PRE QUIRÚRGICA DE LOS GLIOMAS DIFUSOS

A Hilario, L Koren, P Martín, G Ayala, A Ramos
PDF

Comparación entre la RM y la 18FDG PET/TC en el diagnóstico de los plasmocitomas con correlación anatomo patológica

Itxaso Galán González, Xiomara Santos Salas, Ramiro Campos Rivas, Carmen Idoate Ortueta, Jose Manuel Muñoz Olmedo, Nie Nieves Gómez León
PDF

¿Existe asociación entre los hallazgos clínicos y radiológicos en el paciente con Traumatismo craneoencefálico (TCE)?

Agustina Vicente Bártulos, Olga María Sanz De León, Inés Pecharromán De Las Heras, Borja Fernández Félix, Alfonso Muriel García, Javier Zamora Romero
PDF

UTILIDAD DE LA TC PERFUSIÓN EN LOS ICTUS DE LA ARTERIA CEREBRAL MEDIA (ACM). NUESTRA EXPERIENCIA.

José Miguel Blanc Molina, Beatriz Alba Pérez, Pablo Marazuela García, Alfonso López-Frías López-Jurado,, Carmen Campos Ferrer, Agustina Vicente Bártulos
PDF

Estudio comparativo entre secuencias 2D T1 y 3D T1 con contraste en la detección de lesiones activas en pacientes con Esclerosis Múltiple (EM) o Síndrome Neurológico Aislado (SNA).

Andréa De Barros Figueredo, Raquel Mitjana Penella, Laura Ludovica Gramegna, Helena Huerga Núñez, Alex Rovira Cañellas, Cristina Acosta
PDF

Tengo un nódulo tiroideo con categoría Bethesda IV, ¿lo opero o lo controlo ecográficamente?

Juan Lloret, Salomé Merino, María Ángeles Rojas, Issa Subhi, Tomás Ganado
PDF

TC CRANEO Y CERVICAL JUNTO O SEPARADO

Oihane San José Olóriz, María Begoña Fernández Sánchez, Sara Díaz Ibañez, Maite Laguardia Sánchez, Nora Burgui Villanueva
PDF

IMPACTO DEL EMPLEO DE UN NUEVO MODELO DE TOMOGRAFÍA COMPUTARIZADA EN LA DOSIS DE RADIACIÓN EN TC DE CRÁNEO. RESULTADOS PRELIMINARES EN UNA SERIE DE 30 PACIENTES

Cristina de Gracia Serrano, Mariana Cecilia Planells Alduvín, Aroa Barredo Sánchez, Marina Sirera Matilla, Elena García Garrigós, Juan José Arenas Jiménez
PDF

Estudio de indicaciones para la realización de TC por cefalea ¿Realmente está indicado?

Loren Cecilia Marbello García, Jorge Escribano Poveda, Alberto Martín Pagán, Antonio Enrique Cores Prieto, Elena Esteban García, María Isabel Moya García
PDF

PERCLOSE: PROTECCIÓN DE LA ARTERIA FEMORAL TRAS PROCEDIMIENTOS NEUROINTERVENCIONISTAS

Francisco Pozo Piñón, Eduardo Torres Diez, Enrique Montes Figueroa, Yasmina Lamprecht, Alexandra De Diego Diez, Andrés González Mandly
PDF

EL STENTRIEVER Y SU PAPEL EN LA TROMBECTOMÍA

Francisco Pozo Piñón, Eduardo Torres Diez, Eduardo Herrera Romero, Elena Marín Diez, Andrés González Mandly
PDF

Indicaciones de TC urgente en el primer episodio de epilepsia. ¿Realmente está indicado?

J. Escribano Poveda, L. M. Marbello García, A. Martín Pagán, A. E. Cores Prieto, E. Esteban García
PDF

LEUCOENCEFALOPATÍA POSTERIOR REVERSIBLE: ¿existen diferencias pronósticas según el patrón de afectación en RM?

Gerardo Ayala Calvo, Carlos Fernández Cabrera, Amaya Hilario Barrio, Laura Koren Fernández, Patricia Martín Medina, Ana Ramos González
PDF

APORTACIÓN DE LA RESONANCIA MAGNÉTICA EN EL DIAGNÓSTICO DE LA HEMORRAGIA INTRACRANEAL FETAL.

Luisa Londoño Villa, Roberto Llorens Salvador, Guillermina Montoliu Fornas
PDF

PATOLOGÍA VASCULAR Y QUÍSTICA INTRACRANEAL EN LA POLIQUISTOSIS RENAL AUTOSÓMICA DOMINANTE (PQRAD)

José Ignacio Rodríguez Martín, Irene Miguelsanz Martínez, Emilio Cuesta López, Montserrat Bret Zurita, Marta Oñate Miranda, Ramón Peces Serrano
PDF

DISMINUCIÓN DE TIEMPOS DE ACTUACIÓN EN EL CÓDIGO ICTUS MEDIANTE INTERVENCIONES INFORMATIVAS CON LOS EQUIPOS DE TRABAJO

Ramón Ortiz Giménez, María José Gimeno Peribañez, Eduardo Sáez Valero, Alberto Garrido Fernández, Alba López Bravo, Cristina Pérez Lázaro
PDF

NEUROTUBERCULOSIS: LO QUE EL RADIÓLOGO DEBE SABER

Ramón Ortiz Giménez, María José Gimeno Peribañez, Eduardo Sáez Valero, Diekgo Solís Gutiérrez, Enrique Álvarez Arranz, Diego Dotti González
PDF

NEURODESARROLLO EN PREMATUROS CON DIAGNÓSTICO ECOGRÁFICO DE GERMINOLISIS

Nuria Pérez Peláez, David Coca Robinot, Elisa Aguirre Pascual, Carmen Gallego Herrero, Constanza Liébana De Rojas, Gloria Del Pozo García
PDF

Vasoespasmo tras hemorragia subaracnoidea no traumática, hallazgos en TC Perfusión de 320 detectores.

Pablo Marazuela García, Alfonso López-Frías López-Jurado, José Miguel Blanc Molina, Beatriz Alba Pérez, María Esther García Casado, Agustina Vicente Bártulos
PDF

BIOMARCADORES EN LOS EPENDIMOMAS SUPRATENTORIALES EN ADULTOS: HALLAZGOS EN IMAGEN Y EXPRESIÓN RELA FUSIÓN

Julio Ambrosio Fernández Gajardo, Jimena Angarita Beltrán, Claudio Saavedra Gutiérrez, María Carmen Bacaicoa Saralegui, Teresa Cabada Giadas, Victoria Zelaya Huerta
PDF

RÁPIDA VALORACIÓN DE LA CIRCULACIÓN COLATERAL LEPTOMENÍNGEA MEDIANTE UN ROI CORTICAL ÚNICO EN TC PERFUSIÓN DE PACIENTES CON ICTUS ISQUÉMICO

M.A. Rios, P. Coscojuela, David Hernández, Van Wijk, S. Boned, A. García-Tornel, M. Muchada, M. Ribo, CA. Molina, M. Rubiera
PDF

Romboencefalitis por enterovirus en niños. Papel de la RM

María Conde Martín, Satish Nagrani Chellaram, Jessie Zulay Ramírez Calderón, Laura Koren Fernández, PAtricia Martín Medina, Ana Ramos González
PDF

LA ESPECTROSCOPIA CONFIRMA EL PAPEL NEUROPROTECTOR DEL LITIO EN PACIENTES CON TRASTORNO BIPOLAR.

JOSÉ DAVID ALBILLO LABARRA, MANUEL JESÚS URIBE HEREDIA, HEIDY SÁENZ ACUÑA
PDF

ROMBOENCEFALITIS POR ENTEROVIRUS EN PLOBACIÓN PEDIÁTRICA

Lidia Nicolás Liza, José Antonio Pérez Retortillo, Luis Gijón de la Santa, Carlos Marco Schulke, Beatriz Sastre Borregón, Javier Martínez Ollero
PDF

TRATAMIENTO ENDOVASCULAR DE LA OCLUSIÓN AGUDA EN TÁNDEM DE CARÓTIDA INTERNA EXTRACRANEAL Y CARÓTIDA INTRACRANEAL O CEREBRAL MEDIA.

Eñaut Garmendia Lopetegui, Pedro Navia Álvarez, Jose Ángel Larrea Peña, Javier Ignacio Masso Romero, Idoia Echegoyen Juaristi, Edurne Pardo Zudaire
PDF

Estandarizar la lectura de TC simple de cráneo para estudiantes de Medicina: un proyecto docente extracurricular.

Carmen Trejo Gallego, Raquel Acosta Hernández, Nicolás Rodríguez Albacete, Juana María Plasencia Martínez, José María García Santos
PDF

Hallazgos de Neuroimagen en el paciente trasplantado de pulmón

Elena Marín Díez, Yasmina Lamprecht, Enrique Montes Figueroa, Víctor Fernández Lobo, Francisco Pozo Piñón, Enrique Marco de Lucas
PDF

Valor diagnóstico de la RM en el estudio de lesiones parotídeas

H. Maestre Aramendiz, P. Bartumeus Martínez, N. Picazo Escribano, L. Humanes López, A. Mas Sánchez
PDF

ASTROCITOMA PILOCÍTICO HIPOTÁLAMO QUIASMÁTICO: UNA FORMA DE PRESENTACIÓN ATÍPICA

Maitane Alonso Lacabe, Manuel Fajardo Puentes, Francisco Brunie Vegas, Covadonga Sales Fernández, Trinidad Escudero Caro, Verónica Álvarez-Guisasola Blanco
PDF

Tratamiento endovascular de las fístulas carótido cavernosas

Juan García Villanego, José Garrido Rull, Alejandro García Muñoz
PDF

ANÁLISIS DE LA CORRELACIÓN CLÍNICO RADIOLÓGICA EN ESTUDIOS MEDIANTE RM CEREBRAL PRACTICADOS TRAS SOSPECHA DE ICTUS EN UN HOSPITAL COMARCAL

Maria Gomez Huertas, Jose Pablo Martinez Barbero, Miguel Angel Perez Rosillo
PDF

ENFERMEDAD DE CREUTZFELDT-JAKOB: UN RETO PARA EL RADIÓLOGO

Elisa Jara Cumplido Sánchez, Rub en Mendez Rodriguez, Jorge Mañas Uxó, Mercedes Arias Gonzalez, Juan Manuel Vieito Fuentes
PDF

Neurocitoma central, un infrecuente tumor intracraneal. Estudio radiopatológico de 9 casos.

Rubén Méndez Rodríguez, Alfonso Illade Fornos, Elisa Jara Cumplido Sánchez, Concepción Fiaño Valverde, Mercedes Arias Gonzalez, Juan Manuel Vieito Fuentes
PDF

Importancia de la circulación colateral en el tratamiento endovascular del ictus isquémico: correlación clínico radiológica

Christian Hernández Rodríguez, Herbert Tejada Meza, Pilar Seral Moral, Rosario Barrena Caballo, Alba Beltrán Gallego, Miguel Ángel Marín Cardenas
PDF

Utilidad Diagnóstica y variabilidad interobservador del signo de la arteria cerebral media hiperdensa en el diagnóstico del trombo agudo

Alba Beltrán Gállego, Christian Josué Hernández Rodríguez, Pilar Seral Moral, Celia Bernal Lafuente, Pedro Perpiñán Sánchez, Ana Carmen Vela Marin
PDF

Hallazgos por imagen en pacientes pediátricos con monitorización invasiva con electrodos profundos (estereoelectroencefalografía o SEEG)

Mónica Rebollo Polo, Santiago Candela Canto, Jordi Rumià Arboix, Javier Aparicio Calvo, Maria Victoria San Antonio Arce
PDF

LEUCOENCEFALOPATÍA MULTIFOCAL PROGRESIVA. CARACTERÍSTICAS RADIOLÓGICAS.

Daniel Sánchez Mateos, Joan Carreres i Polo, María Victoria Álvarez Martínez, Nicolás Albertz Arévalo, Alexandre Pérez Girbes
PDF

DESMONTANDO EL MITO VARIANTES RADIOLÓGICAS EN CABEZA Y CUELLO QUE ASOCIAN PATOLOGÍA U OTRAS VARIANTES DE LA NORMALIDAD

Alba Virtudes Pérez Baena, José López Abraldes, Ana Raquel De Castro Almeida, Almudena Pérez Lara, Eva Briceño Garcia, Maria Vidal Denis
PDF

HALLAZGOS INCIDENTALES EN TC DE SENOS PARANASALES: IMPLICACIÓN CLÍNICA Y RADIOLÓGICA

lORENZO Tenorio Tornero, Lidia María Sánchez Linares, Carmen Simón Bejarano, María Vidal Denis, Eva Briceño García, Almudena Pérez Lara
PDF

CARCINOMA ESCAMOSO DE LENGUA: PROBABILIDAD DE DESARROLLO DE METÁSTASIS GANGLIONARES EN FUNCIÓN DEL VOLUMEN TUMORAL

Rodrigo Dominguez Piedra, Beatriz Ramos Anton, Verónica Vallejo Herrera, Almudena Pérez Lara, Eva Briceño García, María Vidal Denis
PDF

Astrocitoma pilocítico en adultos: experiencia en el Hospital Neurológico de Montreal

Almudena Pérez Lara, Denis Melançon, Donatella Tampieri, Maria Del Pilar Cortés Nino
PDF

Aplicaciones del TC de energía dual en la valoración de tejido inflamatorio en cabeza y cuello

Almudena Pérez Lara, Teresa Romero Sanchez, Maryam Bayat, Reza Forghani
PDF

FACTORES PRONÓSTICOS DE MORTALIDAD EN EL SEGUIMIENTO A 30 DÍAS DE PACIENTES CON EMBOLISMO PULMONAR AGUDO

María Luz Parra Gordo, Paloma Caballero Sánchez-Robles, Napoleón Pérez Farinós, Alfonsa Friera Reyes
PDF

UTILIDAD DE RM POTENCIADA EN DIFUSIÓN EN DIAGNÓSTICO DE TUMOR CEREBRAL DE ALTO GRADO (TAG) VS METÁSTASIS CEREBRAL SOLITARIA(MS)

Isabel Cortés Alonso, Carlos Mayordomo García, Miguel Angel Marín Cárdenas, Ana Vela Marín, Jorge Bescós Uribe, Ignacio García Sola
PDF

Imagen pediátrica

 

 

Enfoque y manejo radiológico de las lesiones óseas líticas pediátricas.

José Luis Lerma Gallardo, Iñigo De La Pedraja Gómez-Ceballos, Ángel Miguel Lancharro Zapata, Juan Carlos Monte González, David Llanos Pérez
PDF

Ecografía ginecológica en la infancia y adolescencia

Yanné Avilés Vistorte, Paloma Tallón Guerola, Elena Calabuig Barbera, Juan Felipe Rojas Blandón
PDF

QUISTES RENALES EN LA EDAD PEDIÁTRICA SIGNO DE ALARMA DE DIFERENTES ENFERMEDADES

Mónica Fernández Martín, Diana García Asensio, Maite Alonso Espinaco, Ana Carballeira Alvarez, Miren Zubizarreta Etxaniz, Merche Ubetagoyena Arrieta
PDF

UTILIDAD DE LA RM CON TECNICAS DE ALTA RESOLUCIÓN EN EL DIAGNÓSTICO DE PATOLOGÍA CAUSANTE DE EPILEPSIA INFANTIL

Mónica Fernández Martín, Diana García Asensio, Edurne Pardo Zudaire, Idoia Echegoyen Juaristi, Amaia Llodio Uribeetxebarria, Emma Salvador Pardo
PDF

LA ENTERO-RM EN EL ESTUDIO DE LA ENFERMEDAD DE CROHN EN LA EDAD PEDIÁTRICA nuestra experiencia

Carmen María Fernández Hernández, Francisco Sarabia Tirado, Yessica Martinez Paredes, Ernesto Domenech Abellán, Cristina Serrano García, Amparo Gilabert Úbeda
PDF

INSTRUMENTAL NO HABITUAL EN PEDIATRÍA VALORACIÓN MEDIANTE RADIOGRAFÍA SIMPLE

Macarena Sánchez-Carpintero De La Vega, Francisco Javier Padilla Palomo, Ana María Cáceres Valverde, María Isabel Martínez León
PDF

Dolor agudo de cadera en niños

Rebeca Fernández De Sanmamed Gutiérrez, Ana Rosa Meana Moris, Elena Reimunde Seoane, Sandra Tadeo Reyes, Rita Gavela Ramón, Linda Jenny Castañeda Rodriguez
PDF

Trasplante de médula ósea en pediatría hallazgos en imagen de las principales complicaciones

Sandra Sánchez García, Joud Zanabili Al-Sibai, Diego Rubio Solís, Laura García Suárez, Susana González Sánchez, Gonzalo Anes González
PDF

Valor de la ecografía cerebral en el protocolo de hipotermia para la encefalopatía hipóxico-isquémica

Yanné Avilés Vistorte, Juan Felipe Rojas Blandón, Paloma Tallón Guerola, Elena Calabuig Barbera
PDF

Lesiones de partes blandas en pediatría

Irene García Pastor, Dolores Lora Jimenez, Juan Felipe Rojas Blandón, Brenda Melero Romero, Paloma Tallón Guerola, Diana Patricia Cañón Murillo
PDF

Importancia de la RM fetal en el diagnóstico precoz de esclerosis tuberosa.

Manuel Recio Rodríguez, Raquel Cano Alonso, Manuel López Azorín, Javier Carrascoso Herranz, Danel Martín Fernández-Mayoralas, Inés Tamarit Degenhardt
PDF

RM EN LA EVALUACIÓN DE LA PATOLOGÍA TORACICA PULMONAR FETAL

María Magdalena Serra Salas, César Martín Martínez, Carles Gomez Zaragoza, Carlota Cano Rodríguez
PDF

Crisis Epilépticas en la edad Pediátrica una aproximación al diagnóstico por RM de 3T.

Joaquín Alaín Castillo, Enrique Marco De Luca, Juan Carlos Quintero Rivera, Cristina Pérez López, Jaime Castillo Iglesias, Ulrike Novo Rivas
PDF

TUMORES CEREBRALES PRIMARIOS EN PEDIATRÍA: EL DESAFÍO DE CONCRETAR MEDIANTE LA RM

María Rosario Campos Arenas, María Cristina Sánchez-Porro Del Río, Rafael Reina Cubero, Teresa María Guijo Hernández, Miren Amaya Zuazo Ojeda, Alejandro José García Muñoz
PDF

La RM cerebral como herramienta esencial en el diagnóstico y seguimiento de las lesiones hipóxico-isquémicas en niños mayores

Guilda Morell González, Guillermo Carbonell López Del Castillo, Carmen María Fernández Hernández, Cristina Serrano García, Ernesto Domenech Abellán, Amparo Gilabert Úbeda
PDF

Diagnóstico por imagen en el dolor de espalda en edad pediátrica.

Daniel Batista Martín, Juan Antonio Hernández Ponce, Patricia Mora Guanche, Alba Alonso De León, Cristina González Delgado, María Soledad Pastor Santoveña
PDF

Lesiones cervicales pediátricas: estudio mediante ecografía.

Inmaculada Mota Goitia, Nieves Romera Pintor, Vega García Blázquez
PDF

EII en niños. Correlación clínico-radiológica y estadificación del grado de actividad

Beatriz Izquierdo Hernández, Cristina Gutierrez Alonso, María Victoria Cobos Hernández, Cristina Sebastian Sebastian, Ignacio Ros Arnal, Ruth Garcia Romero
PDF

ANOMALÍAS CONGENITAS DEL RIÑON Y DEL TRACTO URINARIO (CAKUT). Utilidades y recomendaciones de los métodos de imagen

Gabriela Porcel De Peralta Fontela, Beatriz Romero Díaz, Julio Pérez González, Leonor López Morales, Rafael Ávila Suárez, Rafael Fuentes Pavón
PDF

Importancia de la ecografía pélvica en la valoración de la pubertad precoz femenina.

Juan Carlos Monte González, Iñigo De La Pedraja Gómez-Ceballos, José Luis Lerma Gallardo, Diego López De Lara, David Llanos Pérez
PDF

Lesiones quísticas óseas benignas postraumáticas pediátricas.

Paula Gallego Ferrero, Vanes Gómez Dermit, Juan Ignacio Ortuzar Guillamón, Marta Pelaz Esteban, Víctor Fernández Lobo, Beatriz García Martínez
PDF

Valoración del papel de la Resonancia Magnética en el diagnóstico etiológico de la tortícolis en pacientes pediátricos

Ylenia Navarro Monforte, Alba Castán Senar, Elisa Ruiz De La Cuesta Martín, Ana Carmen Vela Marín, Magdalena Cózar Bartos, Miguel Ángel Marín Cárdenas
PDF

Trombosis yugular y empiema subdural como complicaciones intracraneales infrecuentes de las otitis media en niños.

María De La Paz Gómez Molinero, Pedro Riquelme Montaño, Rafael Díaz Manga, Jose Luis Payares Cordero, Pilar Jiménez Villares
PDF

Síndrome del niño maltratado: lo que el radiólogo debe saber.

Daniel Batista Martín, Juan Antonio Hernández Ponce, Juan Luis Conchuela Fumero, Yolanda Marcelino Reyes, Natalia Mylonás Leegstra, María Soledad Pastor Santoveña
PDF

Abdomen agudo en edad pediátrica....con apariencia de edad adulta

Elvira Contreras De Miguel, Inmaculada Pérez Recio, Gloria Román Rios
PDF

Elastografía ARFI hepática en niños sanos.

Manuel Santa-Olalla González, Carmen María Fernández Hernández, Ernesto Domenech Abellán, Cristina Serrano García, Ana García Ortega, Amparo Gilabert Úbeda
PDF

Edema escrotal idiopático: una entidad infrecuente a tener en cuenta en el abordaje radiológico del escroto agudo durante la edad pediátrica.

Carlos Borrega Harinero, Victoria De Lara Bendahan, Inmaculada Sánchez Romero, Francisco Javier Hidalgo Ramos, Gloria Porcuna Cazalla
PDF

UTILIDAD DE LA TOMOGRAFÍA COMPUTARIZADA EN EL DIAGNÓSTICO DE LA TUBERCULOSIS EN NIÑOS

Víctor Moreno Ballester, Eugenio Sánchez Aparisi, Diego Soriano Mena, María José Morales Lozano, Julia Pérez Verdú, Fernando Gómez Pajares
PDF

PET/TC con civ, el híbrido esencial para la toma de decisiones terapéuticas y el control de tumores en la edad pediátrica.

Yesica Martínez Paredes, Carmen María Fernández Hernández, Luis González Ramos, Ernesto Doménech Abellán, Cristina Serrano García, Amparo Gilbert Úbeda
PDF

Masas renales en la edad pediátrica

Jose Enrique Gordillo Arnaud, Francisco Fernandez Valverde, Margarita Pedrosa Garriguet, Esperanza Elias Cabot
PDF

Diagnóstico y seguimiento del reflujo vesicoureteral en la infancia con urosonografía miccional seriada con contraste de segunda generación

Maria Isabel Tercero Azorin, Cecilia Parrondo Muiños, María Fernández Ibieta, Luis C Fernández Masaguer
PDF

Urosonografía miccional seriada con contraste de segunda generación o cistouretrografía miccional seriada en el diagnóstico de la patología uretral y del reflujo vesicoureteral en pacientes pediátricos

Maria Isabel Tercero Azorin, Cecilia Parrondo Muiños, Maria Fernández Ibieta, Luis C Fernández Masaguer
PDF

Estudio de la afección uretral en el niño mediante urosonografia miccional seriada con contraste de segunda generación

Maria Isabel Tercero Azorin, Cecilia Parrondo Muiños, Maria Fernández Ibieta, Luis C Fernández Masaguer

El papel del radiólogo ante la sospecha de ingesta de cuerpos extraños en edad pediátrica

Milton Cesar Rendon Villa, Ignasi Barber Martínez De La Torre, Gabriela Guillen Burrieza, Joan Carlos Carreño Pedemonte, Joaquin Piqueras Pdellansar, Élida Vázquez Méndez
PDF

Cuantificación de ADC en tumores neuroblásticos en edad pediátrica: Correlación histológica y valoración de la respuesta a la quimioterapia.

Milton Cesar Rendón Villa, Lizbet Perez Marrero, Ignasi Barber Martínez De La Torre, Amparo Castellote Alonso, Ana Coma Muñoz, Élida Vazquez Méndez
PDF

Valoración del grosor del complejo íntima-media carotídeo con ultrasonidos en niños obesos

Francisca Velazquez Marín, Giorgo Barbieri, Inmaculada Bañón García, Antonio Navarro Baño, Maria Dolores Morales Cano
PDF

NEOPLASIAS MÁS FRECUENTES EN EDAD PEDIÁTRICA DIAGNOSTICADAS EN URGENCIAS

Johanna Marcela Vasquez Veloza, Monica Rebollo Polo, Lucia Riaza Martin, Maria Navallas Irujo, Emili Inarejos Clemente
PDF

Rabdomiosarcoma Infantil De Los Pies A La Cabeza

Sandra M Córdoba Rovira, Maria Navallas Irujo, Lucia Riaza Martin, Monica Rebollo Polo, Emilio Inarejos Clemente
PDF

PATOLOGÍA HIPOFISARIA EN LA INFANCIA.

Raquel García Latorre, Ángeles Silva Rodríguez, Laura García Alonso De Caso, Mª Isabel García Gómez Muriel, Ricardo Rodríguez Díaz, Juan S. Martínez San Millán
PDF

Causas infrecuentes de cojera en la infancia: Guía de supervivencia para el radiólogo en apuros.

Ana María López Moreno, Luis Fernández Prudencio, Danyelle Elena Sánchez Paré, Susana Arenas Moreno, Paloma Rincón Rodera, Alberto Sierra Solis
PDF

Patología del Espacio Supraclavicular en la edad pediátrica.

María I. Martínez León, Laura Peñuela Ruiz
PDF

Hematoma retroclival en traumatismos en edad pediátrica

Sebastián Cervantes Ibáñez, Pablo Rodríguez De La Fuente, Lesly Ortega Molina, Joaquín Esparza Estaún
PDF

“Dentro de los límites de la normalidad”. Estudio de los valores normales de la vena porta mediante ecografía en los pacientes pediátricos sin hepatopatía.

Andrés Francisco Jiménez Sánchez, Carmen María Fernández Hernández, Yésica Martínez Paredes, Ernesto Doménech Abellán, Cristina Serrano García, Amparo Gilabert Úbeda
PDF

HALLAZGOS NORMALES EN LOS ESTUDIOS RADIOLÓGICOS DE LA COLUMNA CERVICAL EN LA EDAD PEDIÁTRICA

Alix Juliette Mantilla Pinilla, Paloma Tallón Guerola, Diana Patricia Cañón Murillo, Marina Sirera Matilla, Juan Felipe Rojas Blandón, Beatriz Romera Barroso
PDF

EL CRANEOFARINGIOMA PEDIÁTRICO: UTILIDAD DE LA RESONANCIA MAGNÉTICA EN SU ABORDAJE DIAGNÓSTICO-TERAPÉUTICO

Patricia Solano Díaz, María Isabel Martínez León, Sonia Claret Loaiza, Cristina Bravo Bravo, Anabel Doblado López
PDF

Pielonefritis xantogranulomatosa en edad pediátrica

Yurany Ochoa Santiago, Cinta Sangüesa Nebot, Sara Pico Aliaga, Alejandro Montoya Filardi, Jesús Javier Collado Sánchez, Juan Delgado Moraleda
PDF

INFECCIONES NEFROUROLÓGICAS PEDIÁTRICAS

Yurany Ochoa Santiago, Cinta Sangüesa Nebot, Sara Pico Aliaga, Enrique Garces Iñigo
PDF

PET/TC EN EL DIAGNÓSTICO, ESTADIAJE Y SEGUIMIENTO DE LOS LINFOMAS EN PEDIATRÍA

luis Gonzalez Ramos, Carmen Maria Fernández Hernández, Andrés Francisco Jiménez Sánchez, Ernesto Doménech Abellán, Cristina Serrano García, Amparo Gilabert Úbeda
PDF

¿Está bien puesto el catéter?

Sandra Liliana Barrero Varon, Eva Regina Amador Gonzalez, Maria Rodriguez Eiriz, Ana Belén Marin Quiles, Daniel Alfonso Torres Gamboa, Valeriano Henales Villate
PDF

VALORACIÓN POR IMAGEN DE LA RODILLA PEDIÁTRICA. ANATOMÍA NORMAL Y VARIANTES DE LA NORMALIDAD QUE SIMULAN PATOLOGÍA. ESPECIAL ATENCIÓN A LA RM.

Carme Blancas Hinarejos, Joana Madureira Cordeiro, Sonia Carbó Cerdan, Natalia Soria, Miguel Cuadrado Blázquez, Xavier Pruna Comella
PDF

ECOGRAFÍA DE MASAS MAMARIAS PEDÍATRICAS: DESCRIPCIÓN DE LAS ENTDADES MÁS FRECUENTES

Juan José Delgado Moraleda, Sara Desamparados Pico Aliaga, Enrique Garcés Íñigo, Carmen Cinta Sangüesa Nebot, María Andrea Jarre Mendoza, Valentina Troconis Vaamonde
PDF

PATOLOGÍA TORÁCICA Y ABDOMINAL EN EL RECIÉN NACIDO PREMATURO

Laura Garcia Suarez, Javier Manso Molina, Diego Jair Tovar Salazar, Ana Isabel Barrio Alonso, Susana Gonzalez Sanchez, Gonzalo Anes Gonzalez
PDF

Hallazgos Radiológicos en las Complicaciones del Transplante Hepático Pediátrico

Shelagh Dyer Hartnett, Cristian Hernandez Giraldo, Ana Coma Muñoz, Ignasi Barber Martínez De La Torre, Amparo Castellote Alonso, Elida Vazquez Méndez
PDF

¿Qué podemos encontrar en la vía aérea de un niño?

Cristina Martín Rodríguez, Lucía Nuria Izquierdo Palomares, Ana Belén Sanabria Gay, RAquel Muñoz Sanchez, RAquel Mateos Gil, Josefina Vicente Rueda
PDF

Osteomielitis de localización atípica en pacientes pediátricos. Más allá del fémur y la rodilla.

Renzo Javier Andrade Gonzales, Carmen María Fernández Hernández, Guillermo Carbonell López Del Castillo, Ernesto Domenech Abellán, Cristina Serrano García, Amaparo Gilabert Úbeda
PDF

REVISIÓN Y HALLAZGOS RADIOLÓGICOS DE LA DISPLASIA CORTICAL FOCAL EN EDAD PEDIÁTRICA

Susana Arenas Moreno, Maria Milagros Milán Rodriguez, Paloma Rincón Rodera, Luis Montsech Angulo, Sara Comellas Cruzado
PDF

Diagnóstico por imagen de la Tortícolis en pediatría

Ignasi Barber Martínez De La Torre, Ignacio Delgado Álvarez, Ángel Sanchez-Montañez García-Carpintero, Sebastià Gonzalez Perez, Élida Vázquez Méndez
PDF

PROCEDIMIENTO QUE EVITA LA ANESTESIA DE NEONATOS AL REALIZAR UNA RM

Mercedes Arias González, Alfonso Iglesias Castañón, Ángel Nieto Parga, Beatriz Nieto Baltar, Jorge Mañas Uxó, Natalia González Freiría
PDF

Enfermedades pulmonares intersticiales en periodo neonatal. Papel de las técnicas de diagnóstico por imagen

Shelagh Dyer Hartnett, Cristian Hernández Giraldo, Ignasi Barber Martínez De La Torre, Joan Carlos Carreño Pedemonte, Antonio Moreno Galdo, Elida Vazquez Méndez
PDF

CORRELACIÓN DE LAS DIMENSIONES HEPÁTICAS CON LAS VARIABLES CORPORALES EDAD, TALLA Y PESO Y ESTANDARIZACIÓN DE VALORES NORMALES EN POBLACIÓN INFANTIL

Luis González Ramos, Andrés Francisco Jiménez Sánchez, Carmen Maria Fernández Hernádez, Cristina Serrano García, Ernesto Domenech Abellán, Amparo Gilabert Úbeda
PDF

Actitud radiológica ante la ingesta de una pila de botón en niños. Nuestra experiencia.

Antonio Navarro Baño, Juan Francisco Martínez Martínez, Cristina Serrano García, Carmen María Fernández Hernández, Ernesto Domenech Abellán, Amparo Gilabert Úbeda
PDF

RESONANCIA MAGNÉTICA CEREBRAL EN NEONATOS CON COLCHÓN DE VACÍO Y SUEÑO NATURAL

Alba Carrillo, Susana Hernández, Manuel Gómez, Mónica Rebollo, Josep Munuera, Mª Teresa Maristany
PDF

Eficacia de la RM en el seguimiento de pacientes pediátricos con pie plano flexible portadores de prótesis de Giannini .

Jennifer Carolina Barbato Mateos, Ana Rosa Meana Moris, María Elena Reimunde Seoane, Begoña Palomo Antequera, Manuela Riera Campillo, Patricia Lopez Cuello
PDF

Biotecnología

 

 

TCMD, UNA HERRAMIENTA ESENCIAL EN EL ESTUDIO PREOPERATORIO DEL LOS PACIENTES PEDIÁTRICOS CANDIDATOS A IMPLANTE COCLEAR

Elena López Banet, Carmen María Fernández Hernández, Andrés López Sánchez, Ernesto Domenech Abellán, Cristina Serrano García, Amparo Gilabert Úbeda
PDF

Radiología de los dispositivos cardíacos. Lo que el radiólogo debe conocer.

Fredy Dueñas Ramos, Carla Linares Villavicencio, Carlos Cárcamo Flores, Juan De Alba Montero, Susana Novo Aparicio, Concepción Álvarez Sanz
PDF

Obtención de la señal de sincronismo cardíaco a partir de los datos del k-espacio en IRM cine cardiaca

A. Godino Moya, T. Cloquell, J. Royuela del Val, M. Martín Fernández, C. Alberola López
PDF

Imagen musculoesquelética

 

 

Resonancia de Rodilla: una propuesta de sistemática de lectura.

José María Bondia Gracia, José Miguel Madrid Pérez, Paula García Barquin, Andrés Valenti Azcarte
PDF

Estudio por imagen de la patología osteo-articular y músculo-tendinosa de la cadera

Alberto Martínez Martínez, Jade García Espinosa, María del Mar Castellano García, Fernando Ruiz Santiago, Luis Guzmán Álvarez
PDF

Artroplastia de cadera: Seguimiento y diagnóstico de complicaciones en radiología simple y TC

Ana Carballeira Álvarez, Amaia Llodio Uribeetxebarria, Santiago Correa García, Ion Gurutz Esnal Andueza, Mikel Beristain Mendizabal
PDF

DIAGNÓSTICO POR IMAGEN DE ESPONDILOARTROPATÍAS EL PAPEL DEL RADIÓLOGO EN EL MANEJO CLÍNICO

Elena López Banet, Guillermo Carbonell López Del Castillo, Andrés López Sánchez, Dolores Abellán Rivero, Ángela Cepero Calvete, Begoña Torregrosa Sala
PDF

Estudio del espacio cervical visceral correlación entre pieza anatómica y TC con énfasis en la identificación de los trayectos neurales.

Marta Huertas Moreno, Ana Patricia Solano Romero, Rafael Vergel Eleuterio, Miguel Ángel Fernández-Villacañas Marín, Matilde Moreno Cascales, José María García Santos
PDF

OSTEONECROSIS EN IMAGEN

Elena López Banet, Andrés López Sánchez, Guillermo Carbonell López Del Castillo, Ángela Cepero Calvete, Dolores Abellan Rivero, Begoña Torregrosa Sala
PDF

ESPACIOS CERVICALES Patología basada en imágenes.

John Jairo Bautista Castro, Jorge Mario Sánchez Reyes, Mónica Orgaz Alvarez, Verónica Gamero Medina, Fernando Carretero López, Juan Vega Villar
PDF

LA INFILTRACIÓN ECOGUIADA DE PLASMA RICO EN PLAQUETAS (PRP) EN EL TRATAMIENTO DE LA ROTURA PARCIAL DEL TENDÓN DEL SUPRAESPINOSO Funciona.

Carmen María Fernández Hernández, Juan De Dios Berna Mestre, Francisco Sarabia Tirado, Ángela Cepero Calvete, Dolores Abellán Rivero, Begoña Torregrosa Sala
PDF

GUÍA BÁSICA DE LA MÉDULA ÓSEA EN RESONANCIA MAGNÉTICA

Yesica Martínez Paredes, Elena López Banet, María Dolores Abellán Rivero, María Carolina Gutiérrez Ramirez, Andrés Francisco Jiménez Sánchez, Renzo Javier Andrade Gonzalez
PDF

Hallazgos por imagen de las lesiones deportivas del miembro superior

Alberto Martínez Martínez, Jade García Espinosa, Fernando Ruiz Santiago, María del Mar Castellano García, Luis Guzmán Álvarez
PDF

VALORACIÓN DE LA COLUMNA TORACOLUMBAR POSTOPERADA Y SUS COMPLICACIONES

Adina Negoita Negoita, Paula Gamo Villegas, Jorge Cabezudo Pedrazo, Sonia Allodi De La Hoz, Jesús María Capilla Ampudia, Gabriel Nombela Fernández
PDF

LAVADO PERCUTÁNEO ECOGUIADO EN LA TENDINOSIS CALCIFICANTE DEL MANGUITO ROTADOR LAVADO PERCUTÁNEO ECOGUIADO EN LA TENDINOSIS CALCIFICANTE DEL MANGUITO ROTADOR

Adina Negoita Negoita, Sonia Allodi De La Hoz, Jorge Cabezudo Pedrazo, Paula Gamo Villegas, Covadonga Del Riego Fernandez, Gloria Anicama Orcon
PDF

EL MENISCO ARRUGADO ¿Patología o defecto técnico?

Román Vidal Pérez, Alejandro Quintela Aguado, Carles Vilà Parera, Nadine Romera Lobato, Manel Escobar Amores
PDF

Lesiones líticas benignas de la mandíbula

Predro Blas García Jurado, María Eugenia Pérez Montilla, Elisa Roldán Romero, Manuel J. Ramos Gómez, Francisco De Asís Bravo- Rodríguez
PDF

LA DENSITOMETRÍA ÓSEA UN DESCONOCIDO PARA EL RADIÓLOGO

Camen Nicole Tischendorf Dumreicher, Delia Del Rey Mora
PDF

ANATOMÍA RADIOLÓGICA DE LA PELVIS MASCULINA Y FEMENINA LO QUE COMO RADIÓLOGOS DEBEMOS CONOCER

Macarena Sánchez-Carpintero De La Vega, Amado Rodríguez Benítez, Cristina Liberato Cano, María José Calvo López, Alejandro Pérez Martín
PDF

Tratamiento percutáneo de quiste sinovial intracanal dependiente de articulaciones facetarias.

Ernesto Rivera Sánchez, José Manuel Rodríguez Mesa, Ignacio Rivera Sánchez, Carlos Alonso Sierra, José Antonio Aguilar Arjona, Carmen María Vega Vigo
PDF

La necrosis ósea avascular: una enfermedad con nombre y apellidos Una enfermedad con nombre y apellidos

Marta Morán Hevia, Pilar Redondo Buil, María De Valle López Díaz, Ana Montes García, María Vicente Quílez
PDF

ATROPATÍAS INFLAMATORIAS: HALLAZGOS EN RM.

Esteban Peghini Gavilanes, Vanesa Rueda Sainz-Aja, Satish Nagrani Chelleram, Carlos Holguera Blazquez, Concepción Merino Sanchez, Ana María Bermejo Moriñigo
PDF

Utilidad de la rizolisis en el síndrome facetario lumbar: estado actual y experiencia en nuestro centro con guía TC

Alberto Martínez Martínez, Jade García Espinosa, Fernando Ruiz Santiago, María del Mar Castellano García, Miguel Ángel Pérez Rosillo, Luis Guzmán Álvarez
PDF

Dolor inguinal: más alla de la hernia

Christian Escalona Huerta, Begoña Gutierrez San José, Javier Fernández Jara, Isabel Fernández Sobrino, Beatriz Álvarez De Sierra García
PDF

Valoración radiográfica de las lesiones traumática en el codo pediátrico

Javier Castillo De Juan, Maitane Arroyo Blazquez, Eider Alcalde Odriozola, Naroa Nates Uribe, Roque Oca Pernas, Alex Grande Astorquiza
PDF

HALLAZGO INADVERTIDO EN EL PACIENTE POLITRAUMATIZADO. FRACTURAS NASO-ORBITO-ETMOIDALES (NOE).

Alvaro Santiago Pesquera Muñoz, Delfina Dualde Beltrán, Susanie Flores Casaperalta, Carlos Piñana Plaza, Juan José Pomares Pomares, Julio Palmero Da Cruz
PDF

PATRÓN DE CAPTACIÓN DE contraste ev en TC-MD de LOS TUMORES DE CELULAS GIGANTES óseos

Mario Huete Naval,, José Antonio Narváez García, Marta Pérez Rubiralta, Javier Hernández Gañán, Jaime Isern Kebschull, Anna Güell Bara
PDF

Valoración mediante RM de las lesiones de los ligamentos y tendones de la mano.

Ana María Benítez Vázquez, María Isabel Rossi Prieto, Carlos Luis Peñalver Paolini, Belén Fernandez Crehuet, Javier Carrascoso Arranz, Luis Herraiz Hidalgo
PDF

DENOSUMAB EN EL TRATAMIENTO DE TUMORES DE CELULAS GIGANTES óseos: RESPUESTA AL TRATAMIENTO Y PATRÓN RADIOLÓGICO.

Mario Huete Naval, José Antonio Narváez García, Javier Hernández Gañán, Jaime Isern Kebschull, Pablo Naval Baudín, Joana Valcarcel José
PDF

Técnicas de imagen avanzada mediante RM del cartílago articular.

Teodoro Martín Noguerol, Marta Gómez Cabrera, Joan Carles Vilanova Busquets, Antonio Luna Alcala
PDF

LO QUE EL REUMATÓLOGO NECESITA SABER EN LA RM DE LAS SACROILÍACAS

Olga Montesinos Sánchez-Girón, Montserrat Garrido Blazquez, Belén García Granda, Diana García Casado, Carlos Oliva Fonte
PDF

TUMOR DE CELULAS GIGANTES: hallazgos en imagen y datos claves para su diagnóstico.

Marta Lobo Garcia, Cristina Fernandez Rey, Ana Vargas Díaz, Carlos Oliva Fonte, Cris Sibaja Castro, Virginia Fernandez Cisneros
PDF

RESONANCIA MAGNÉTICA MEDULAR URGENTE: ¿CUÁNDO ESTÁ INDICADA Y QUÉ NOS PODEMOS ENCONTRAR?

Silvia Caparrós Cánovas, Marta Oñate Miranda, Cristina Utrilla Contreras, Alberto Álvarez Muelas, Remedios Frutos Martínez, Arancha Royo Orejas
PDF

El codo: Correlación anatomo-ecográfica .Protocolo de actuación para un buen estudio de la articulación.

Teresa Guerra Garijo, Julia Mato Chaín, Irene Pérez Alonso, Juan Cristobal Valenzuela Claros, Julio César Gallego Beuth, Ana Pastor Valbuena
PDF

OTOESCLEROSIS UN NUEVO CONOCIDO

Bibiana Aristizábal Buitrago, José Rafael Villoria Alonso, Laura Gerarda Cianci Jaimes
PDF

Artro-Resonancia de hombro

Francisco Fernandez Valverde, Jose Enrique Gordillo Arnaud, Esperanza Elias Cabot, Margarita Pedrosa Garriguet
PDF

Osteocondroma evanescente

Antonio Martínez Mansilla, Javier Carrascoso Arranz, Iván Pipa Muñiz, Luis Herráiz Hidalgo, Vicente Martínez De Vega Fernández
PDF

Tumores de los elementos posteriores de la vertebra

Teresa Maria Guijo Hernandez, Eva Marie Heursen, Soraya Garcia Gomez, Federico Navarro Diaz, Carmen Gonzalez Partida, Andres Garcia Gamez
PDF

Actualización del estudio por imagen del dolor extraarticular de cadera

María Victoria Redondo Carazo, Maria Jesús Fernandez Ferrando, María Francisca Cegarra Navarro, Laura Abenza Oliva, Carmen Alcántara Zafra, Lucia Sanchez Alonso
PDF

LESIONES PSEUDOTUMORES DE TOBILLO Y PIE: ¿QUÉ DEBE SABER EL RADIÓLOGIO?

María Victoria Redondo Carazo, María Jesús Fernandez Ferrando, María Francisca Cegarra Navarro, Laura Abenza Oliva, Carmen Alemán Navarro, María José Ruíz López
PDF

Revisión ilustrada con resonancia magnética de los distintos tipos de roturas meniscales y su correlación con la artroscopia.

Ignacio López-Vidaur Franco, Homero Valencia Garcia, Adriana López Ruiz, Elena Quilez Caballero, Miguel Angel Trapero Garcia
PDF

Osteogénesis imperfecta: deformidades esqueléticas, más allá de las fracturas

María Fernanda Cedeño Poveda, María Luisa Lorente Jareño, Ana Marái Bueno Sánchez, María Ester Benza Villarejo, Mónica Orgaz Álvarez, Verónica Gamero Medina
PDF

ÁNGULO POSTEROEXTERNO DE LA RODILLA. REVISIÓN DE LA ANATOMÍA Y PATOLOGÍA

Jaime Cardenal Urdampilleta, Gonzalo Lecumberri Cortés, Igore Korta Gomez, Berta Irene Ruiz Morin, Fernando Diez Renovales, Ainhoa Viteri Jusue
PDF

Diagnóstico radiológico de los tumores óseos primarios malignos de la columna vertebral

Anna Güell Bara, José Antonio Narváez García, Javier Hernández Gañán, Jaime Isern Kebschull, Mario Huete Naval, Pablo Naval Baudín
PDF

Carpo giboso. Hallazgos radiológicos y revisión del tema.

Ion Gurutz Esnal Andueza, Mikel Beristain Mendizabal, Ane Ugarte Nuño, Amaia Goienetxea Murgiondo, Eñaut Garmendia Lopetegui
PDF

PROLIFERACIÓN OSTEOCONDROMATOSA PAROSTAL BIZARRA (ENFERMEDAD DE NORA) COMO SIMULADOR DE ENTIDADES MALIGNAS

Jade García Espinosa, Alberto Martínez Martínez, Pablo Tomás Muñoz, Fernando Ruiz Santiago
PDF

Evaluación de la prótesis de cadera mediante tomografía computarizada – lo que el radiólogo debe saber

Eva-Marie Heursen, Federico Navarro Díaz, Maria Del Carmen González Partida
PDF

Pinzamiento isquiofemoral: evaluación mediante RM.

Raquel Seijo Rodríguez, Mónica Fernández Blanco, Ana María Afonso Centeno, Sabela Barreiro Villalustre, Juan Manuel Vieito Fuentes, Mercedes Arias González
PDF

Diagnóstico por imagen del pie diabético

Federica Cordido Henríquez, Elena Quílez Caballero, Emilio Agrela Rojas, Isabel Rozas Gómez, Adriana López Ruiz, Angel Bueno Horcajadas
PDF

PIT sinovial: ¿signo indicador de patología?. Revisión clínica a los 10 años.

Mª Del Rosario García-Barredo Pérez, Elena Gallardo Agromayor, Rosa Landeras Alvaro, Héctor Vidal Trueba, Victor Fernández Lobo, Marta Drake Pérez
PDF

UN GRAN RETO PARA EL RADIÓLOGO: DIAGNÓSTICO POR IMAGEN DE LA OSTEOMIELITIS CRÓNICA MULTIFOCAL RECURRENTE. CLAVES PARA SU DETECCIÓN.

Teresa Álvarez De Eulate García, Israel Sánchez Lite, Nuria Andrés García, Borja Toribio Calvo, David Noriega González, Rebeca Sigüenza González
PDF

Luces y sombras de la aplicacion de la RM funcional en la patología osteomuscular

María José Romero Rivera, Inmaculada Romero Rivera, Marcelo Potolicchio Z., Teodoro Martin Noguerol, Antonio Luna Alcalá
PDF

UTILIDAD DE LA RM FUNCIONAL EN LA PATOLOGIA INFECCIOSA OSTEOMUSCULAR

María José Romero Rivera, Federico Navarro Díaz, Inmaculada Romero Rivera, Pilar Caro Mateo, Marta Gómez Cabrera
PDF

Comparación de las técnicas de inyección ecográfica y radioscópica en los estudios de artro-TC y artro-RM de cadera

Alberto Martínez Martínez, Jade García Espinosa, Fernando Ruiz Santiago, Luis Guzmán Álvarez, María Del Mar Castellano García
PDF

Osteoporosis y aterosclerosis en nonagenarios frágiles institucionalizados: relación con la cantidad y la calidad muscular

Fernando Idoate Saralegui, Eduardo Cadore Lusa, Alvaro Casas Herrero, Nicolás Martínez Velilla, Pedro Luis Alejandre García, Mikel Izquierdo Redín
PDF

Utilidad de la secuencia DIR en las lesiones desmielinizantes. Comparación con secuencias clásicas FLAIR y DP/T2.

Juan Sanz Díaz, Ana Isabel Barrio Alonso, Lucia Terán Álvarez, Antonio Saiz Ayala, Elena Santamarta Liebana, Sandra Sánchez García
PDF

Coalición tarsal. En aras de una mejor rentabilidad diagnóstica

Isabel Rozas Gómez, Emilio Agrela Rojas, Federica Cordido Henriquez, Gustavo Albi Rodriguez, Leire Armendariz Blanco, Gloria Gómez Mardones
PDF

FIBRODISPLASIA OSIFICANTE PROGRESIVA

Claudia Pascual Montero, Alicia Victoria Gavilanes Vaca, Yudy Marleny López Barrera, Diana Lucia Gavilanes Vaca, Segio Luis Moyano Calvente, Urbano De La Calle Pato
PDF

Síndrome de la apófisis odontoides coronada.

Danyelle Elena Sánchez Paré, Clara Rodriguez Godoy, Juan Pablo Alejo Gonzalez, Luis Fernandez Prudencio, Ana María Lopez Moreno, Clara Gil Perea
PDF

Hallazgos patológicos en la radiografía simple en relación al botón patelar en la prótesis total de rodilla

Carlota Cano Rodríguez, Pietro Melloni Ribas, Maite Veintemillas Araiz, Ana Marín Aznar, Rafael Valls Pascual, Maria Magdalena Serra Salas
PDF

Fractura de pelvis: diamante o ruptura?

M Auxiliadora Peralta Silva, Xavier Salvador Izquierdo, Angel Seara Gil, Sonia Rodriguez González, Montserrat Monzón Gaspá
PDF

Valoración ecográfica de las lesiones musculares agudas del miembro inferior

Antonia Mora Jurado, Alejandro García De La Oliva, Celia Izco García Cubillana, Antonio Delgado Cotán, Carmen Pérez Ramirez, Luis Cueto Álvarez
PDF

Tumores pardos. Más allá de un curioso nombre.

Marina Cristina Sánchez-Porro Del Río, Ana Collantes González, María Eugenia Rodríguez Cabillas
PDF

Lesiones musculares crónicas del miembro inferior. Valoración ecográfica

Alejandro García De La Oliva, Antonia Mora Jurado, Antonio Delgado Cotán, Celia Izco García Cubillana, Carmen González Castellano, Juan Alejandro Hincapie Baena
PDF

Papel del radiólogo en la predicción de los resultados clínicos tras la colocación de los dispositivos interespinosos vertebrales

Patricia Menal Muñoz, Cristina Galache Osuna, Noelia Padrón Rodriguez, Clara Del Río Pérez, Juan Bosco Calatayud Pérez, Maria José Gimeno Peribañez
PDF

ADECUACIÓN DE LAS PETICIONES RADIOLÓGICAS EN PATOLOGÍA MÚSCULO-ESQUELÉTICA: DIFERENCIAS ENTRE ATENCIÓN PRIMARIA Y ESPECIALIZADA.

Mª Francisca Cegarra Navarro, Plácida Aleman Díaz, Miguel Alcaraz Baños, Ascensión Sánchez Fernández, María Victoria Redondo Carazo, Carmen Ojados Hernández
PDF

Efecto analgésico de la descompresión ósea

David Balaguer Paniagua, Damián García Perdomo, Ricard Pérez Andrés, Francisco Casero Navarro, Paloma Puyalto De Pablo, Luis Ramos Cuesta
PDF

Procedimientos intervencionistas con guía ecográfica más relevantes en músculo-esquelético.

Emilio Agrela Rojas, Ángel Bueno Horcajadas, José Martel Villagrán, Isabel Rozas Gómez, Leire Armendariz Blanco
PDF

ADECUACIÓN DE LAS TÉCNICAS DE IMAGEN EN PATOLOGÍA MUSCULO-ESQUELÉTICA: CARACTERÍSTICAS EN ATENCIÓN ESPECIALIZADA.

Mª Francisca Cegarra Navarro, María Jesús Fernández Ferrando, Miguel Alcaraz Baños, Ascension Sánchez Fernández, Carmen Aleman Navarro, Jose Antonio Díaz Manzano
PDF

Esquina Posterolateral de la Rodilla : Aproximación Clínico - Radiológica

Estefania Fernández Delgado, Gonzalo Hernández Fernández, Julia Calatayud Moscoso Del Prado, Diana Exposito Jimenez, Felix Guerra Gutierrez, Sergio Serrano Belmar
PDF

EFICACIA DEL TRATAMIENTO PERCUTÁNEO DE TUMORES ÓSEOS MEDIANTE ABLACIÓN TÉRMICA POR RADIOFRECUENCIA (ATR) GUIADA MEDIANTE TAC.

Marta Revelles Paniza, Fernando Ruiz Santiago, Alicia Santiago Chinchilla, Antonio Gámez Martinez, María Gomez Huertas, Noelia Romera Romera
PDF

TIPOS DE FRACTURAS COSTALES ENCONTRADAS EN TRAUMATISMOS COSTALES

Sonia Galicia Puyol, Alejandro Puerta Sales, Helena Pérez-Templado Ladrón De Guevara, César Cinesi Gómez, Laura Abenza Oliva, Maria Encarnación Sánchez Cánovas
PDF

Alteraciones congénitas de la columna vertebral. Diagnóstico radiológico.

Fernando Ruíz Santiago, Laura Fernández Navarro, Álvaro Moyano Portillo, Luis Guzmán Álvarez, María Del Mar Castellano García, Alberto Martínez Martínez
PDF

LA INFECCIÓN EN EL SISTEMA MUSCULOESQUELÉTICO: EVALUACIÓN RADIOLÓGICA PLANO A PLANO.

Jose David Guio Fernández, Maria Eugenia Banegas Illescas, Maria Yolanda Torres Souza, María Librada Rozas Rodríguez, Vanessa Paz Goic Ortiz
PDF

Errores diagnósticos: entendiendo los conceptos a través de ejemplos de columna.

Javier Mota Martínez, Fernando Facal De Castro, Rebeca Mirón Mombiela
PDF

RM de la médula ósea: variantes normales y patología benigna y maligna (diagnóstico diferencial basado en la intensidad de señal en T1).

María Del Carmen Alcántara Zafra, Francisca Cegarra Navarro, María Victoria Redondo Carazo, Mª Jesús Fernandez Ferrando, Laura Abenza Oliva, Carmen Ojados Hernández
PDF

Anatomía y complicaciones postquirúrgicas de la ligamentoplastia del ligamento cruzado anterior valoradas mediante RM.

Mercedes Vallejo Márquez, Marta Del Rio Arteaga, Amaya Fernández-Argüelles García, Vinicius Bianchi Batista, Rafael Muela Velasco, Maximo Villalba Varona
PDF

El papel de la RM en la creación de plantillas preconformadas personalizas para la colocación de prótesis de rodilla.

Mercedes Vallejo Márquez, Marta Del Rio Arteaga, Amaya Fernandez-Argüelles García, Vinicius Bianchi Batista, Rafael Muela Velasco, Jesus Valera Dieguez
PDF

Hernia obturatriz: diagnóstico preoperatorio.

Antonio Navarro Ballester, Sandra Emilia González Ibáñez, Francisco Rodríguez Pardo
PDF

Importancia de las técnicas de imagen para el diagnóstico de la gota.

Ariana Bustos Fiore, María González Vázquez, Daniel Mera Fernandez, Ana Villanueva Campos, Elena Utrera Pérez, María Costas Alvarez
PDF

diagnostico por imagen de las fracturas de estrés

Santiago Correa Garcia, Amaia Llodio Uribeetxebarria, Ana Carballeira Alvarez, Mikel Beristain Mendizabal, Ion Esnal Andueza
PDF

Osteocondromas: "el Bueno, el Feo y el Malo"

Concepción Crespo Martínez, Maria Carmen Castro Copete, Fátima García Navarro, Jorge Calbo Maiques, María Eugenia Arias Valverde, Cándido Martínez García
PDF

Estudio ecográfico de la muñeca y mano . Estructuras a visualizar y guía de actuación para evitar demoras de diagnóstico en hospitales que no disponen de RM

Teresa Guerra Garijo, Julia Mato Chaín, Julio César Gallego Beuth, Irene Pérez Alonso, Juan Cristobal Valenzuela Claros, Jose Ángel Guerro Polo
PDF

Patología vertebral agresiva: hallazgos radiológicos, diagnóstico diferencial, correlación clínica y anatomo-patológica.

María Francisca Cegarra Navarro, Maria Jesus Fernández Ferrando, Carmen Alcantara Zafra, Maria Victoria Redondo Carazo, Lucia Sánchez Alonso, Almudena García Jerónimo
PDF

Serie ósea en pacientes con gammapatía monoclonal. Valor actual de la técnica en el estudio de lesiones óseas.

Maria Del Carmen Alcántara Zafra, Francisca Cegarra Navarro, Laura Abenza Oliva, Maria Jesús Fernández Ferrando, Maria Victoria Redondo Carazo, Lucía Sánchez Alonso
PDF

Fracturas del codo en pediatría, cómo evaluar, dónde buscar, qué informarle al traumatólogo.

Juan Felipe Rojas Blandón, Yanné Avilés Vistorte, Paloma Tallón Guerola, elena Calabuig Barbero, David Londoño Mejía
PDF

EVALUACIÓN DE LAS LESIONES DE LISFRANC EN RX, TCMD y RM

Vladimir Cheranovskiy, M. Teresa Veintemillas Araiz, Anna Marin Aznar, Pietro Melloni Ribas, Rafel Valls Pascual
PDF

LESIONES ÓSEAS DE LOS DEDOS DE LAS MANOS

Roberto Severín Samuel Espín, Silvia Martín Martín, Maria Luisa Pico Fuster, Montserrat Jofre Guasch, Sandra Patricia Arévalo Arévalo, Marta Llopis Pardo
PDF

Enfermedades articulares inflamatorias del pie y el tobillo: pistas de imagen para un diagnóstico preciso

Meylin Caballeros Lam, José Miguel Madrid Pérez, Almudena Quilez Larragan, Alejandra García Baizán, Damaso Aquerreta Beola
PDF

RESULTADOS A CORTO PLAZO DE LA CORRELACIÓN CLÍNICO RADIOLÓGICA MEDIANTE RM DE LA TÉCNICA AMIC PARA EL TRATAMIENTO DE LESIONES CONDRALES DE LA RODILLA.

Milton César Rendón Villa, Rosa Domínguez Oronoz, Lourdes Casas Gomila, Matías De Albert De Las Vigo, Antoni Rivas García, Nayana Joshi Jubert
PDF

RESULTADOS DE LA CORRELACIÓN CLÍNICO Y RADIOLÓGICA POR RM DESPUÉS DEL TRATAMIENTO DE DEFECTOS CONDRALES FEMOROPATELARES CON IMPLANTES SINTÉTICOS BIODEGRADABLES.

Milton César Rendón Villa, Rosa Domínguez Oronoz, Carme Torrents Odin, Matías De Albert De Las Vigo, Antoni Rivas García, Nayana Joshi Jubert

Tobillo y pie: Anatomía ecográfica de la articulación sana y localizaciones frecuentes de la patología que presenta.

Teresa Guerra Garijo, Julia Mato Chaín, Juan Cristobal Valenzuela Claros, Julio César Gallego Beuth, Irene Pérez Alonso, Jose Ángel Guerro Polo
PDF

Anatomía de la cadera: Correlación Anatómico-Radiológica.

Laura Abenza Oliva, Maria Francisca Cegarra Navarro, María Jesús Fernández Ferrando, María Del Carmen Alcántara Zafra, María Victoria Redondo Carazo, Lucía Sánchez Alonso
PDF

Ecografía músculo-esquelética urgente y preferente

Alberto Martínez Martínez, Jade García Espinosa, Luis Guzmán Álvarez, Fernando Ruiz Santiago, Maria Del Mar Castellano García
PDF

RADIOLOGÍA SIMPLE DE MUÑECA. SISTEMÁTICA DE ESTUDIO, PATOLOGÍA MÁS FRECUENTE Y CAUSAS DE ERROR

Jade García Espinosa, Alberto Martínez Martínez, Antonio Gámez Martínez, Fernando Ruiz Santiago
PDF

Enfermedad de Paget: características radiológicas.

Laura Abenza Oliva, Francisca Cegarra Navarro, Maria Jesús Fernández Ferrando, Carmen Alemán Navarro, María Victoria Redondo Carazo, Maria Jose Ruiz Lopez
PDF

Correlación de la ecointensidad muscular con la fuerza muscular para el síndrome de fragilidad en el adulto mayor

Rebeca Mirón Mombiela, Consuelo Borrás Blasco, Fernando Facal De Castro, Pilar Moreno Granero
PDF

Diagnóstico precoz de las fracturas ocultas de escafoides mediante RM

Julia Calatayud Moscoso Del Prado, Diana Exposito Jimenez, Beatriz Alvarez De Sierra Garcia, Juan Jesús Gómez Herrera, Juan Jesús Gómez Herrera, Javier Sánchez Hernández, Antonia Arjonilla López
PDF

Debilidad de miembros inferiores de causa inesperada: Nuestra experiencia en el Síndrome de Foix- Alajouanine.

Maria Jesús Fernández Ferrando, Maria Francisca Cegarra Navarro, Mª Victoria Redondo Carazo, Mª Del Carmen Alcántara Zafra, Lucia Sánchez Alonso, Noelia Lacasa Pérez
PDF

Estudio del manguito rotador, guía para el residente.

Mónica Fernández Blanco, Raquel Seijo Rodríguez, Ana Afonso Centeno, Vanesa Taboada Rodríguez, Juan Manuel Vieito Fuentes, Mercedes Arias Gonzalez
PDF

"Revisión del diagnóstico diferencial en las alteraciones de la señal de la musculatura pélvica".

borja Toribio Calvo, Nuria Andres García, Israel Sanchez Lite, jorge Galván Fernández, Esther Gómez San Martín, Reyes Petruzzella Lacave
PDF

UTILIDAD DE LAS TÉCNICAS DE IMAGEN EN LA VALORACIÓN DE LAS COMPLICACIONES DE LA CIRUGÍA INSTRUMENTADA DE COLUMNA.

Alfonso Romeo Tris, Ana Carmen Vela Marín, Elena Ruiz De La Cuesta Martín, Miguel Ángel Marín Cárdenas, Maria Dolores Martín Lambas, Jonathan Paul Taboada Villca
PDF

Claves para el estudio por imagen de las fracturas de columna dorsolumbar

Elena Moya Sánchez, Pablo Tomás Muñoz, Jade García Espinosa, Miguel Ángel Pérez Rosillo, Fernando Ruiz Santiago
PDF

Hallazgos radiológicos de la displasia de cadera en el adulto

Noelia Arevalo Galeano, Elena Diez Uriel, Nuria Santamaria Guinea, Juan Gredilla Molinero, Miguel Grande Barez, Elena Barcina Garcia
PDF

Evaluación radiológica de las fracturas por insuficiencia.

Covadonga Sales Fernández, Trinidad Escudero Caro, Verónica Alvarez-Guisasola Blanco, María De La O Hernández Herrero, Francois Xavier Brunie Vegas, Manuel Fajardo Puentes
PDF

La TC en la valoración de la articulación radiocubital distal postraumática.

Begoña Sancho Garaizabal, María José Ereño Ealo, Estibalitz Montejo Rodrigo, Elixabete Pastor Ausín
PDF

Diagnóstico por imagen del tendón de Aquiles. Anatomía y espectro patológico

Elena Barcina García, Rosa Lorente Ramos, Elena Díez Uriel, Javier Herraiz Garvin, Rosalía De Dios Alvarez, Javier Azpeitia Armán
PDF

Fracturas de la pelvis: El papel del radiólogo.

Antonio Gámez Martínez, Noelia Romera Romera, Jade García Espinosa, Fernando Ruiz Santiago
PDF

¿Cómo reconocer la Enfermedad de Müller-Weiss?

Aránzazu Gutiérrez Pantoja, José Martel Villagran, Angel Bueno Horcajadas, Miguel Angel Méndez Alonso, Cecilia López Masa, Carolina Calvo Corbella
PDF

Columna lumbar operada: desde la obtención de la imagen al diagnóstico.

Félix Guerra Gutierrez, Pilar Gallego Gomez, Victor Suárez Vega, Ana Alonso Torres, Estefania Fernández Delgado, Félix Tomé Bermejo
PDF

Importancia de la biopsia guiada por TCMC en el diagnóstico de la patología infecciosa musculoesquelética.

Miguel Angel Perez Rosillo, Maria Gomez Huertas, Luis Guzman Alvarez, Maria Del Mar Castellano Garcia, Alberto Martinez Martinez, Fernando Ruiz Santiago
PDF

NOMENCLATURA DE LA PATOLOGÍA DISCAL 2.0: Hablemos el mismo idioma.

Mónica Orgaz Alvarez, Mauricio Castillo M.D., Francisco Gabriel Sepúlveda F.A.C.R, John Jairo Bautista Hermosilla, María Ester Benza Castro
PDF

Dime con quién andas y te diré que TLICS eres: Revisión de las fracturas traumáticas toracolumbares.

Joaquín Morán Marsili, Cristina Utrilla Contreras, Cesar Oterino Serrano, Alberto Alvarez Muelas, Maria Arantzazu Royo Orejas, Milagros Marti De Gracia
PDF

There is a fracture, I need to find it: Revisión de las fracturas traumáticas cervicales.

Joaquín Morán Marsili, Cristina Utrilla Contreras, Aurea Díez Tascón, Maria Arantzazu Royo Orejas, Maria Jose Simon Merlo, Gonzalo Garzon Moll
PDF

Cuando la pequeña fractura no lo es tanto

Lucía Hernández Sánchez, Almudena García Gerónimo, Margarita Martínez Fernández, Irene Vicente Zapata, Carmen Botía González, Marta Tovar Pérez
PDF

Ecografía doppler de miembros inferiores: anatomía, técnica y patología frecuente.

Lucía Hernández Sánchez, Almudena García Gerónimo, Margarita Martínez Fernández, Marta Tóvar Pérez, Alba patricia Solano Romero, Elisabeth Cruces Fuentes
PDF

Escafoides tarsiano: Valoración radiológica del RN al adulto.

Marta Pelaz Esteban, Elena Gallardo Agromayor, Vanesa Gomez Dermit, Rosa Landeras Alvaro, Cristina Villaespesa Diaz, Paula Gallego Ferrero
PDF

La inyección ecoguiada de triamcinolona en el neuroma de Morton es un tratamiento factible, seguro y que puede evitar el tratamiento quirúrgico: revisión retrospectiva de 307 procedimientos en 143 pacientes.

Ainhoa Viteri Jusue, Clara Morandeira Arrizabalaga, Amaia Bilbao Gonzalez, Rosa Zabala Landa, Igone Korta Gómez, José Luis Del Cura Rodríguez
PDF

Fibromixoma lipoesclerosante ante otras lesiones óseas benignas que pueden presentar tejido fibroso, grasa y calcio: ¿entidad única y estática o estadio común en la evolución de otras lesiones?

Lídia Fortuny Garrido, Xavier Tomás Batllé, Carme Mallofré Gómez, Ana Isabel García Díez, Jaume Pomés Tallo, Montserrat Del Amo Conill
PDF

Diagnóstico por RM de tumores y malformaciones vasculares del sistema musculoesquelético. Importancia de la clasificación.

Marta Rodríguez Alvarez, Sabela Barreiro Villalustre, Ana María Afonso Centeno, Carmen Saborido Ávila, Cristina Ruibal Villanueva, Angel Nieto Parga
PDF

UTILIDAD DE LA RM EN EL DIAGNOSTICO DEL DESARROLLO DE REACCIONES ADVERSAS A PARTICULAS METALICAS EN PACIENTES PORTADORES DE PROTESIS DE CADERA. RECOMENDACIONES ACTUALES PARA EL SEGUIMIENTO DE PACIENTES "DE RIESGO"

Gracia Valderas Martínez, Javier Milián García, José María Vila De Miguel, Jordi Catala Forteza, Caterina Montull Ferrer, Sonia Ruiz Macarrilla
PDF

Fracturas del radio distal: importancia de una correcta valoración mediante radiografía simple y TCMC para una adecuada decisión terapéutica.

Irene Vicente Zapata, Margarita Martínez Fernández, Almudena García Gerónimo, Lucía Hernández Sánchez, Carmen Botía González, Irene Cases Susarte
PDF

Hallazgos en RM pubiana y de caderas en jugadores profesionales de fútbol

Fernando Idoate Saralegui, Miriam Garrues Irisarri, Ara Kassarjian Gulesserian, Tomás Fernandez-Villa Del Hoyo, Francisco Cipriain Urmendia, Jurdan Mendiguchia Sorabilla
PDF

PIE PLANO: LA APORTACIÓN DEL RADIÓLOGO.

Margarita Martínez Fernández, Almudena García Gerónimo, Lucía Hernández Sánchez, Elisabeth Cruces Fuentes, Irene Vicente Zapata, Carmen Botia González
PDF

Diagnóstico por la imagen y opciones terapéuticas intervencionistas del neuroma de Morton: una revisión de la literatura

Pablo Tomás Muñoz, Elena Moya Sánchez, Antonio Gámez Martínez, Fernando Ruíz Santiago, Marta Revelles Paniza
PDF

MANEJO INTEGRAL DE LAS FRACTURAS ORBITARIAS. HALLAZGOS RADIOLÓGICOS, TÉCNICAS Y MATERIALES QUIRÚRGICOS Y EVALUACIÓN DE COMPLICACIONES

Elisa Ruiz De La Cuesta Martín, Marina Cámara Vallejo, Ana Carmen Vela Marín, Celia Bernal Lafuente, Pilar Seral Moral, Alfonso Romeo Tris
PDF

Ecografía de la patología traumática de la muñeca y dedos

Rosa María Landeras Álvaro, Elena Gallardo Agromayor, Rosario García-Barredo Pérez, Rosa De La Puente Formoso, Amaya Iturralde Garriz, Vanesa Gómez Dermit
PDF

STUMP: hallazgos en RM y correlación patológica

Alfonso Iglesias Castañón, Mercedes Arias González, M'onica Fernández Blanco, Marta Herreros Villaraviz, Lara Alberte Lista, Orlando Valenzuela Besada
PDF

PATOLOGÍA DE LA ALMOHADILLA GRASA DE HOFFA

Isabel Carbonell Casañ, Adela Batista Domenech, Salva Costa Hervás
PDF

Estenosis raquídea por lesión extradural: más allá del traumatismo.

Elisabeth Cruces Fuentes, Margarita Martínez Fernández, Almudena García Gerónimo, Lucía Hernández Sánchez, Carmen Botía González, María Carrillo García
PDF

EVALUACIÓN MEDIANTE TCMC DE LAS FRACTURAS BLOW OUT DE ÓRBITA. DIAGNÓSTICO INICIAL, VALORACIÓN POSTQUIRÚRGICA Y COMPLICACIONES.

Elisa Ruiz De La Cuesta Martín, Celia Bernal Lafuente, Alba Castán Senar, Ana Carmen Vela Marín, Miguel Ángel Marín Cárdenas, Marina Cámara Vallejo
PDF

EVALUACION DE LAS IMÁGENES DIAGNOSTICAS EN LA OSTEOMIELITIS EN NIÑOS

Angélica María Rueda Mejía, Luis Riera Soler, Eulalia Oliva Oliva Brañas, Natalia Joaqui Lopez, Nuria Pons Diviu, Ana Diez Izquierdo
PDF

Prótesis de reconstrucción de la cadena osicular: tipos, indicaciones y problemas.

Javier Salceda Artola, David Ibañez Muñoz, Laura Romina Zalazar, Pedro Garatea Aznar, Álvaro Gargallo Vaamonde, Nerea Yanguas Barea
PDF

Diagnóstico precoz de la artritis reumatoide mediante resonancia magnética.

Andrés López Sánchez, Dolores Abellán Rivero, Angela Cepero Calvete, Elena López Banet, Guillermo Carbonell López Del Castillo, Begoña Torregrosa Sala
PDF

Lesiones benignas de la pelvis femenina: Hallazgos por RM.

Amaia Dehesa García, Juan Carlos Ruíz Jaureguizuría, Silvia Martinez Blanco, María Victoria Ferrufino Villalba, Daniel Zarranz Sarobe, Carlos Martín Gómez
PDF

EVALUACIÓN RADIOLOGICA DE LOS CAMBIOS POSQUIRÚRGICOS DE COLUMNA LUMBAR.

Yudy Marleny López Barrera, Diana Lucia Acevedo Soto, Claudia Pascual Montero, Alicia Victoria Gavilanes Vaca, Urbano De La Calle Pato, Sergio Luis Moyano Calvente
PDF

Estudio por la imagen de la artropatía del manguito rotador: que aportar al traumatólogo en nuestro informe?

Almudena García Gerónimo, Ana Blanco Barrio, Margarita Martinez Fernandez, Lucía Hernandez Sanchez, Carmen Maria Botia Gonzalez, Elisabeth Cruces Fuentes
PDF

El lado oscuro del Running

Elena Canales Lachén, Elena Álvarez Moreno, Verónica Muñoz Carpio, Javier Carrascoso Arranz, Manuel Recio Rodríguez, Vicente Martínez De Vega
PDF

SÍNDROME DE CIRUGÍA FALLIDA DE COLUMNA (SCFC): Lo que el radiólogo necesita conocer para responder al cirujano.

Carlos Luis Peñalver Paolini, Maria Isabel Rossi Prieto, Ana Maria Benítez Vázquez, Belen Fernández Crehuet, Ana Alejandro Sánchez Naves, Luis Herraiz Hidalgo
PDF

PATOLOGÍA TUMORAL EN EL SACRO: TUMORES ÓSEOS BENIGNOS Y MALIGNOS.

Ana Azahara García Ortega, Yesica Martinez Paredes, Dolores Abellán Rivero, Angela Cepero Calvete, Begoña Torregrosa Salas, Guilda Morell González
PDF

Inestabilidad glenohumeral: qué nos aporta la artro-RM

Mª Luisa Masó Navarro, Aída Ramos Alcala, Eloisa María Titos Vilchez, Almudena García Gerónimo, Ana Belén Veas López
PDF

Lipoma intraoseo. Correlación de los hallazgos en RM con la clasificación histopatológica de Milgram

Jesús Jiménez Del Río, Marta Hernández García, Angel Quispe Mauricio, M Angeles Ramírez Escobar, M. Isabel Fernández Martínez
PDF

Columna degenerativa: un reto difícil de afrontar para el residente. Importancia de la unificación de criterios y sistemática para la elaboración de un informe radiológico con resonancia magnética (RM).

Andrés López Sánchez, Elena López Banet, Diego Páez Granda, Alba Patricia Solano Romero, Antonio Navarro Baño, Victoria Vázquez Sáez
PDF

APOFISIOLISIS ISQUIÁTICA: LO QUE EL RADIÓLOGO DEBE SABER

Leire Hernaiz Argudo, Eneritz Larrazabal Echevarria, Nerea Insausti Jaca, María Begoña Guantes Del Vigo, Miren Zubizarreta Etxaniz, Amaia Masso Odriozola
PDF

Osteosarcomas: De la semiología clásica a las técnicas multimodalidad.

Mercedes Lozano Gallardo, Maria José Moreno Casado, Miguel Muñoz Del Blanco, Luis Fernandez Vila, Ana Maria Crespo Rodriguez, Maria Luisa Vega Gonzalez
PDF

Imagen de la necrosis avascular como complicación de las fracturas de tibia distal.

Mª Del Rosario García-Barredo Pérez, Elena Gallardo Agromayor, Rosa Landeras Alvaro, Héctor Vidal Trueba, Javier V De La Calle Lorenzo, Amaya Iturralde Garriz
PDF

UTILIDAD DE LA ECOGRAFÍA EN LA PATOLOGÍA URGENTE DE LAS EXTREMIDADES INFERIORES

Joana Madureira Cordeiro, Sonia Carbó Cerdan, Carme Blancas Hinarejos, Natalia Soria, Santiago Bolivar Cuevas, Xavier Pruna Comella
PDF

Fracturas y fracturas-luxaciones del codo en el adulto: diagnóstico, manejo y análisis de complicaciones en el seguimiento.

María Vicente Quílez, Pilar Redondo Buil, María Del Valle López Díaz, Ana Montes García, Marta Morán Hevia, Sara Gálvez García
PDF

El retropié. Valoración mediante RM de las causas más frecuentes de talalgia

Elena Barcina García, Noelia Arévalo Galeano, Rosa Lorente Ramos, Araceli Muñoz Hernández, Elena Roa Martínez, Miguel Grande Bárez
PDF

La membrana dural y el “Signo del Escalpelo”. Un diagnóstico a tener en cuenta en las deformidades, sintomáticas o asintomáticas, del cordón medular dorsal.

Juan Sanz Díaz, Jorge Peña Suarez, Ana Isabel Barrio Alonso, Lucía Terán Alvarez, Alejandro Cernuda García, Ángela Meilán Martinez
PDF

GANGLIÓN INTRANEURAL PERONEAL: ETIOLOGÍA Y DIAGNÓSTICO MEDIANTE RM

Raquel Monreal Beortegui, Amaya De Blas Mendive, Mabel Inchusta Sarasibar, Ainhoa Ovelar Ferrero, Marta Tirapu Tapiz, Alberto Tejero Ibañez
PDF

VALORACIÓN POR TC DE LESIONES COSTALES MEDIANTE LA MODALIDAD DE RECONSTRUCCIÓN 2D PLANAR CURVA. “EL RODABALLO”

Javier Sánchez Hernández, Julia Calatayud Moscoso Del Prado, Antonia Arjonilla López, Carmelo Palacios Miras, Diego Pereira Boo, Daniel Hernández Aceituno
PDF

COMPRESIÓN MEDULAR. URGENCIA RADIOLÓGICA. VALIDACIÓN DE UN PROTOCOLO DE ACTUACIÓN MULTIDISCIPLINAR

Jonathan Paul Taboada Villca, Ana Carmen Vela Marín, Alfonso Romeo Tris, Magdalena Cózar Bartos, Ylenia Marta Navarro Monforte, Elisa Ruiz De La Cuesta Martín
PDF

Necrosis avascular vertebra. Una patología infradiagnosticada.

Arántzazu Alcázar Parra, Juan Campos García
PDF

Anatomia y patologia frecuente del antepie en resonancia. ¿ si no es un neuroma

Diego Jair Tovar Salazar, Laura Garcia Suarez, Maria Vicente Quiles, Maria Del Valle Lopez Diaz
PDF

MANIFESTACIONES EN RM DE LAS ESPONDILOARTROPATÍAS

Sara Higuero Hernando, Manuel Án ÁngelMartín Pérez, Antonio Ginés Santiago, Bianca Prieto Hernández, Roberto Domingo Tabernero Rico, José Marín Balbín
PDF

ARTROPLASTIAS DE CADERA Y RODILLA, ¿QUÉ PASA CUANDO SE COMPLICAN? Lo que un radiólogo debe conocer.

Marta Martínez Montalbán, Beatriz Carro Alonso, Diego Edgardo Dotti Gonzalez, Eva MAria Lacoma Latre, Noelia Padrón Rodríguez
PDF

Infiltración lumbar de corticoides guiada por TC: indicaciones, detalles técnicos y respuesta al tratamiento.

Clara Morandeira Arrizabalaga, Fernando Diez Renovales, Jose Luis Del Cura Rodriguez, Joaquin Carrandi Camina, Miguel Arturo Schüller Arteaga, Berta Ruiz Morin
PDF

Infiltración lumbar de corticoides guiada por TC: elección del corticoide.

Clara Morandeira Arrizabalaga, Fernando Diez Renovales, Amaia Bilbao Gonzalez, Jose Luis Del Cura Rodriguez, Sandra Delgado Saiz, Domingo Grande Icaran
PDF

Lesión sutil de Lisfranc, un diagnóstico que no puede pasar desapercibido

Javier Carrascoso Arranz, Julio Fernández Mata, Cecilia García Villafañe, Manuel Monteagudo De La Rosa, Ernesto Maceira Suárez, Manuel Recio Rodríguez
PDF

"El exilio del calcio". Hallazgos radiológicos de calcificaciones en tendones y discos intersomáticos, con erosiones o migraciones intraóseas.

Aurymar Fraino Carrasco, José Martel Villagrán, Ángel Bueno Horcajadas, Maica Souto Pardo, Andrea Alcalá-Galiano Rubio, Silvia Martín Martín
PDF

Hallazgos en RM sugerentes de gota.

Mª Victoria Torres Isidro, Esther De Luis Pastor, MArcin Javier Bakun, Virginia Pérez Dueñas
PDF

Fracturas patológicas: clasificación, etiología, localización y características por imagen.

Diana Exposito Jimenez, Julia Calatayud Moscoso Del Prado, Maria Ruiz De Gopegui Andreu, Beatriz Álvarez De Sierra Garcia, Patricia Nieto Moreno, Estefania Fernández Delgado
PDF

La radiología de la columna vertebral mediante TC y RM hecha fácil

Iria Osorio Vázquez, M Gabriela Tirapu De Sagrario, Miguel Blanco Ulla, José Antonio Castiñeira Mourenza, Fernando Vázquez Herrero, José Manuel Pumar Cebreiro
PDF

RM de los linfomas musculoesqueléticos primarios: claves diagnósticas

Cristina Méndez Díaz, Rafaela Soler Fernández, Esther Rodríguez García, Lucia Álvarez Devesa, Pablo Fernández Armendáriz, Andrea López Da Costa
PDF

La importancia de la imagen en las diskinesias de escápula

Lucía Fernández Rodríguez, Elsa Camuera González, Imran Hafeez X,, Rahul Sharma X, Javier Beltrán Latorre
PDF

Aportación de la tomografía de cuerpo completo (TCCC) en la valoración inicial del traumatismo potencialmente grave (TPG).

Maria José Simón Merlo, Áurea Díez Tascón, Nuria López Garro, Maria Claudia Pulido Rozo, Rosa Capilla Pueyo, Milagros Martí De Gracia
PDF

Utilidad de la RM-difusión, tensor de difusión (DTI) y la tractografía en la valoración de la patología medular. Bases físicas y aplicaciones clínicas.

Teodoro Martin Noguerol, Sara Canovas Delgado, Jose Pablo Martínez Barbero, Maria Eugenia Aumente Rubio, Mariano Jose Parada Balzquez
PDF

Lesiones condroides no agresivas. ¿Cuándo pensar en un condrosarcoma de bajo grado?

David Quintana Blanco, Gurutz Larrañaga Hernando, Itziar Neve Lete, Sara Beltrán De Otalora, Laura Alonso Irigaray, Oleksandr Ostapenko
PDF

LESIONES MANDIBULARES: ¿QUÉ HAGO?

Marta Gallego Riol, Raquel Esteban Saiz, Itziar Bañales Arnaiz, Eduardo Herrero Carretero, Mercedes Leal Cala, Sara Lojo Lendoiro
PDF

Rodilla postquirúrgica: técnicas quirúrgicas habituales y su aspecto en los estudios de RM

Diana Exposito Jimenez, Julia Calatayud Moscoso Del Prado, Maria Ruiz De Gopegui Andreu, Alfredo Lopez Ruiz De Salazar, Maria Rossi Prieto, Beatriz Álvarez De Sierra
PDF

Diagnóstico diferencial de las lesiones quísticas cervicales.

Celia Borrego González, Pedro Seguí Azpilcueta
PDF

DISRAFISMOS ESPINALES

Rocío Mora Monago, Ana María López Moreno, Milagros Lucas Gutiérrez, Fátima Mora Monago, Francisco Luis Pérez Caballero, Luis Montsech Angulo
PDF

¿Seguro que conoces la osteoporosis?

Roque Oca Pernas, Alex Grande Astorquiza, Javier Castillo De Juan, Eider Alcalde Odriozola, Naroa Nates Uribe, Eloisa Santos Armentía
PDF

VALOR DEL TC EN LA INTERPRETACION DE LOS TUMORES OSEOS.

Susana Rico Gala, Pablo López Ramírez, Mario Gago Galan, Celia Pérez Ramírez, Ana Cáceres Valverde, Rafael Aznar Méndez
PDF

Estudio por Resonancia Magnética de la Región Peripatelar

Fernando Diez Renovales, Jaime Cardenal Urdampilleta, Berta Irene Ruiz Morin, Igone Korta Gomez, Mª Mar Sarmiento De La Iglesia, Joaquin Carrandi Camiña
PDF

Efectos secundarios de la radioterapia en la pelvis. Hallazgos en TCMD

Ainize Cancho Salcedo, Iciar Aguirre Oloriz, Pablo Sádaba Sagredo, Nerea García Garai, Elena Ingunza Loizaga, Gorka Del Cura Allende
PDF

ESTADIOS RADIOLÓGICOS DE LA OSTEONECROSIS MANDIBULAR Y MAXILAR A PARTIR DE UN ESTUDIO DE PREVALENCIA DE LOS HALLAZGOS RADIOLÓGICOS EN LA OSTEONECROSIS MAXILAR Y MANDIBULAR RELACIONADA CON EL TRATAMIENTO POR BIFOSFONATOS.

Laura Serrano Velasco, Inmaculada Bañón García, Francisca Velazquez Marín, Maria Dolores Morales Cano
PDF

CORRELACIÓN ENTRE LOS HALLAZGOS DE IMAGEN Y QUIRÚRGICOS DE LOS GANGLIONES EXTRANEURALES E INTRANEURALES DE LA ARTICULACIÓN TIBIOPERONEA SUPERIOR

Nerea Baraibar Argota, Amaya De Blas Mendive, Alberto Tejero Ibañez, Raquel Monreal Beortegui, Jokin Zabalza Unzué, Natalia Álvarez De Eulate León
PDF

RM del transplante e implante meniscal.

Marta Gómez Cabrera, Antonio Luna Alcalá, Teodoro Martín Noguerol, Miguel Jose Romero Rivera, Pilar Caro Mateo, Fernando Caro Mateo
PDF

VALORACIÓN CON RESONANCIA MAGNÉTICA 1,5 y 3T DE LA RODILLA POSTQUIRÚRGICA

Adina Negoita Negoita, Jesús Maria Capilla Ampudia, Paula Gamo Villegas, Sonia Allodi De La Hoz, Jorge Cabezudo Pedrazo, Luisa Fernanda Taborda Ramírez
PDF

Valor de RM en lesiones de estrés

Sergio Ignacio Serrano Belmar, Gonzalo Andres Serrano Belmar, Felipe Ignacio Belmar Olivares, Ruth González Crisostomo
PDF

SINOVIAL: ANATOMIA y PATOLOGÍA

Berta Ruiz Morin, Fernando Diez Renovales, Jaime Cardenal Urdampilleta, Naroa Nates Uribe, Marimar Sarmiento De La Iglesia, Clara Morandeira Arrizabalaga
PDF

Complicaciones infecciosas postquirúrgicas en sistema musculo esquelético.

T. Pirogova, A. Bartolome Villar
PDF

Hallazgos radiológicos normales en prótesis total de cadera de vástago corto.

Mercedes Vallejo Márquez, Marta Del Rio Arteaga, Estrella Borrego Paredes, David Serrano Toledano, Juan Ribera Zabalbeascoa
PDF

RM DE COLUMNA TORACOLUMBAR EN PACIENTES CON ESTIMULADORES MEDULARES COMPATIBLES CON RM. ¿SON REALMENTE SEGUROS?

Cecilia Santos Montón, María José Sánchez Ledesma, Juan Carlos Paniagua Escudero, Juan Ignacio Santos Lamas, Sara Higuero Hernando, Roberto Domingo Tabernero Rico
PDF

DISPLASIA DEL DESARROLLO DE LA CADERA: 14 años de implementación y práctica de un cribado ecográfico semiuniversal

P. Rodríguez, J. Esparza, B. Elduayen, C. de Arriba
PDF

CRIOABLACIÓN PERCUTÁNEA POR TC DE LESIONES MUSCULOESQUELÉTICAS: EXPERIENCIA EN 10 CASOS

Irene Miguelsanz Martínez, María Jesús García Sánchez, Mar Tapia Viñé, Víctor Manuel Muley Luelmo, Daniel Bernabeu Taboada
PDF

INFILTRACIÓN INTRAARTICULAR ECOGUIADA DE CORTICOSTEROIDES EN EL MANEJO DEL DOLOR CRÓNICO DE CADERA

Olaya Fernández Nieto, Ulrike Novo Rivas, Javier Fernández Jara, Eugenia Gil Pineda, Gonzalo Monedero Herrador
PDF

El éxito de la Artro-RM

M. Rodrigo, M. Planas, A. Parals, S. Sala
PDF

ANOMALIAS ARTICULARES Y EXTRA ARTICULARES ASOCIADAS AL IMPINGEMENT FÉMORO ACETABULAR: VALORACIÓN POR RM Y ARTROSCOPIA DE CADERA.

María Francisca Cegarra Navarro, María Del Carmen Gutiérrez Sánchez, José Fernando Soler Gutiérrez, Laura Abenza Oliva, Carmen Ojados Hernández, Ana Belén Veas López
PDF

Optimización de proyecciones radiológicas en portadores de TrueLok Ring Fixation System ®

Joaquín Moran-Marsili, Montserrat Bret-Zurita, Juan Cabello Blanco, Fernando Escámez Fernández, Juan Carlos De La Fuente, Consuelo Prieto Arellano
PDF

CIFOPLASTIA CON SPINE JACK: RESPUESTA ANALGÉSICA Y MEJORÍA MORFOLÓGICA

Francisco Pozo Piñón, Eduardo Torres Diez, Enrique Montes Figueroa, Elena Marín Diez, Eduardo Herrera Romero, Andrés González Mandly
PDF

Dame fractales y mediré el mundo: análisis fractal muscular para evaluar el síndrome de fragilidad.

Jenny Soraya Cárdenas, H. R. Mirón Mombiela, J. Vucetic, F. Facal de Castro, C. Borrás
PDF

¨INFILTRACIÓN DE FACTORES DE CRECIMIENTO COMO TRATAMIENTO ALTERNATIVO EN LAS ROTURAS TENDINOSAS COMPLETAS¨

Sara Escoda Menéndez, Pedro García González, Ana Rosa Meana Morís
PDF

Efectividad del lavado aspiración percutáneo ecodirigido como tratamiento de la tendinitis calcificante del hombro. Nuestra experiencia.

Cristina Narváez Galán, Jorge Calbo Maiques, María Del Carmen Castro Copete, Concepción Crespo Martínez, Alba Mas Sánchez
PDF

HIDRODISTENSIÓN PERCUTÁNEA COMO OPCIÓN TERAPÉUTICA EFECTIVA EN LA CAPSULITIS ADHESIVA REFRACTARIA

David Quintana Blanco, Gurutz Larrañaga Hernando, Fernando López Zarraga, Jone Sagasta Urrutia, Erika Santos Corraliza, Ainara Gamarra Cabrerizo
PDF

RESULTADOS CLíNlCOS DE LA INFILTRACIÓN CON CORTICOIDES EN LA TENDINOPATíA DEL PSOAS ILíACO COMO COMPLICACIÓN DE LA PRÓTESIS

David Quintana Blanco, Gurutz Larrañaga Hernando, Amaya Iturralde Garriz, Rebeca Bastida Torre, Eva Pampín Álvarez, Alexander Ostapenko
PDF

Valoración de las peticiones de radiología simple músculo esquelética en Atención Primaria en un área de salud: análisis post-intervención

María Francisca Cegarra Navarro, Miguel Alcaraz Baños, María Jesús Fernández Ferrando, Laura Abenza Oliva, Carmen Alcántara Zafra, Plácida Alemán Díaz
PDF

Osteogénesis Imperfecta: Características radiológicas en el momento del diagnóstico y durante el seguimiento

Guadalupe Ugena Díaz, Paula Salcedo Arroyo, María Luisa Lorente Jareño, Juan Vega Villar, Alicia Marina Berral Santana, Joaquín Costa Subías
PDF

PROTOCOLO DE REALIZACIÓN DE RESONANCIA MAGNÉTICA DE HOMBRO PREFERENTE CON “EFECTO ARTROGRÁFICO” TRAS EPISODIO DE INESTABILIDAD GLENOHUMERAL

Mateo Martínez Hervás, Maria Dolores Moreno Ramos, Fernando Romero Gallego, Jorge Vivancos García, Francisco Ramos Ramos Medrano
PDF

Experiencia de 2 años en Tomografía computarizada de haz cónico o Cone Beam(CBCT) en sistema músculo-esquelético.

Jordi Catala March, Jorge Salmeron Santos, Adolfo Florensa Suriñach
PDF

Evaluación de dosis CTDI/DLP en las distintas exploraciones de traumatologia y ortopedia realizadas en CBCT versus MDCT.

Jordi Catala March, Jorge Salmeron Santos, Adolfo Florensa Suriñach
PDF

Análisis de realidad virtual mediante herramienta de medición de rango dinámico en estudios de Resonancia Magnética de Hombro

Juan Calabia Del Campo, Mario Martinez Zarzuela, Rodrigo De Luis Garcia, Diego Colinas Garcia, Luis Calabia Del Campo
PDF

Estudio preliminar de Biomodelos con impresión 3D mediante técnica en espejo ante el tratamiento con aloinjertos de lesiones osteocondrales masivas astragalinas

Juan Calabia Del Campo, Carlos Alberola Lopez, Rodrigo De Luis Garcia, Marcos Martin Fernandez, Juan J. Gutierrez Carrera
PDF

Ultrasonidos

 

 

Ecografía de abdomen para principiantes algo más que sombras

Marta Huertas Moreno, Elena Parlorio De Andrés, Alba Patricia Solano Romero, Carmen María Botía González, María Jesús Gayán Belmonte
PDF

Utilidad de la ecografía con contraste en la valoración de las complicaciones en el transplante renal.

F. Ximena Aragón Tejada, Carmen García Roch, Lina Cruz Hernández, Maite Fernández Taranilla
PDF

Invaginación intestinal: Guia para la reducción hidrostática guiada por ecografía.

David Balaguer Paniagua, Raúl Rodriguez Iniesta, Daniella Diaz Aranzabia, Judith Horneros Torres, Montse Tenesa Bordas, Jordi Bechini Bernard
PDF

Gradación de la severidad del Síndrome del Túnel de Carpo Estudio comparativo de la ecografía de alta resolución con mediciones del area del nervio mediano frente a las escalas clínicas Hi-Ob-Db y BCTQ y la Electroneurografia.

Luz María Morán Blanco, Yamilet Cepeda Ibarra, Marta Escribano Pérez, Gianluca Martinelli, Tania De Las Heras Carballo, Ana Isabel López Llorca
PDF

Biopsa renal percutánea en riñones nativos. Nuestra experiencia

Catherine Facenda Perez, Mario Negrini Morux, Maria Asunción Pardina Solano, Maria Paz Marco Mayayo, Carla Cerdá Vilaplana
PDF

Ecografia de la columna vertebral: lo que el radiologo tiene que saber para realizar procedimientos intervencionistas. Tecnica, anatomía ecografica normal y correlación con las exploraciones radiológicas

Mattia Squarcia Podestá, Daniel Barnes Navarro, Daniel Vas, Julian Moreno Rojas, Javier Moreno Negrete, Lidia Fortuny Garrido
PDF

UTILIDAD DE LA ELASTOGRAFÍA EN LOS NÓDULOS TIROIDEOS CON CITOLOGÍA NO CONCLUYENTE

Luis Gonzalez Ramos, Ángela Cepero Calvete, Ana Azahara Garcia Ortega, Guilda Morell Gonzalez, Guillermo Carbonell Lopez Del Castillo, Yesica Martinez Paredes
PDF

¿Está rota la prótesis?

José Carlos Garrido Bermejo, Oscar Bueno Zamora, Francisco Javier Olcoz Monreal, Elsa García Laborda
PDF

ANALISIS ECOGRAFICO DE LAS LESIONES DERMICAS Y SUBCUTANEAS: ¿HASTA DONDE PUEDO LLEGAR?

Pedro Seguí Azpilcueta, Simona Espejo Pérez, Alberto Benito Ysamat
PDF

Ecografía con contraste intravenoso: ¿qué nos aporta en lesiones renales?

José Lope Garrido Rull, Alejandro García Muñoz, Teresa María Guijo Hernandez, Macarena Sánchez-Carpintero De La Vega, Cristina Del Pilar Liberato Cano, Eduardo Vallejos Roca
PDF

ECOGRAFÍA EN EL DIAGNÓSTICO DE LA NEFROCALCINOSIS

Mariola Gutiérrez Gallardo, Carmen Martínez Huertas, Virginia Jiménez Coronel, Ana Milena Muñoz, Inmaculada C. Valero Rosa, Cristina Dávila Arias
PDF

Conceptos básicos de anatomía para la realización de la ecografía de muslo.

José María Bondia Gracia, José Miguel Madrid Peréz, Jesús Dámaso Aquerreta Beola
PDF

VALIDEZ DE LA ECOGRAFÍA PARA EL DIAGNÓSTICO Y GUÍA DE BIOPSIA DE TUMORES DE PARTES BLANDAS

Jade García Espinosa, Alberto Martínez Martínez, Elena Moya Sánchez, Fernando Ruiz Santiago
PDF

ECOGRAFÍA CON CONTRASTE HEPÁTICA: NO TODO ES LO QUE PARECE

Gotzon Iglesias Hidalgo, José Ignacio Martín Gomez, Leire Atilano Santos
PDF

La física en la ecografía. Aplicaciones.

Marta Tovar Pérez, Elena Parlorio De Andrés, Lucía Hernández Sánchez, María Carrillo Garcia, Alba Patricia Solano Romero, Elisabeth Cruces Fuentes
PDF

LA ECOGRAFIA EN EL ESTUDIO DE LOS BULTOMAS DEL ESPACIO BUCAL

Elena Gallardo Agromayor, Rosa Landeras Alvaro, Rosario García-Barredo Pérez, Pedro Lastra García-Barón, Alejandro Fernández Florez, Gerardo López Rasines
PDF

ESTUDIO ECOGRÁFICO DE LOS TUMORES TESTICULARES

Carmen Martínez Huertas, Rocío Martín Mellado, Ana Milena Muñoz, Inmaculada C. Valero Rosa, Virginia Jimenez Coronel, Mariola Gutierrez Gallardo
PDF

La ecografía en el estudio del melanoma. Diagnóstico y seguimiento.

Rosa María Landeras Álvaro, Elena Gallardo Agromayor, Vanesa Gómez Dermit, Alexandra De Diego Díez, Eugenio Trillo Bohajar, Carmen González Vela
PDF

APLICACIONES ENDOCAVITARIAS DE LA ECOGRAFÍA CON CONTRASTE.

Gianluca Martinelli Martinelli, Pilar Servent Saez, Teresa Fontanilla Echeveste, Santiago Mendez Alonso, Cristina Cortés León, Yamilet Cepeda Ibarra
PDF

Ecografía de alta resolución en las neuropatías del tobillo y pie

Rosa María Landeras Álvaro, Elena Gallardo Agromayor, Rosa De La Puente Formoso, Rosario García-Barredo Pérez, Javier Valentín De La Calle Lorenzo, Marta Pelaz Esteban
PDF

Ecografía oftálmica: técnica y revisión de la patología más frecuente.

Elizabeth M. Núñez Peynado, Carlos Vázquez Olmos, Elisabet Cruces Fuentes, Silvia Torres Del Río, Marta Tovar Pérez, María Carrillo García
PDF

ECOGRAFIA TIROIDEA: EN QUÉ PODEMOS EQUIVOCARNOS Y CÓMO EVITARLO

Pedro Luis Alejandre García, Tomás Fernández-Villa Del Hoyo, Fernando Idoate Saralegui
PDF

Valor de la ecografía intra-operatoria y su utilidad en el manejo quirúrgico y terapéutico de los pacientes

Alba María Novo Amado, María Fraga Sánchez, Cynthia Vidal Cameán, Jorge González Ramírez, Gabriela Calvo Arrojo, José Manuel Crespo Teijeiro
PDF

TUTORIAL DE ECOGRAFÍA ESCROTAL. RESULTADOS POSITIVOS EN 6 MESES.

Pilar Márquez Sánchez, Eugenio L. Navarro Sanchis, Francisco Sendra Portero
PDF

ECOGRAFIA DOPPLER DE PENE CON POTENCIADOR DE SEÑAL EN EL ESTUDIO DE LA DISFUNCIÓN ERECTIL. NUESTRA EXPERIENCIA EN 20 CASOS

Laura Diaz Rubia, Irene Garrido Márquez, Yolanda Núñez Delgado, Jose Antonio Miras Ventura, Laura Guirado Isla
PDF

DIAGNÓSTICO PRECOZ DEL TUMOR PHYLLODES MEDIANTE ECOGRAFÍA: UN RETO PARA EL RADIÓLOGO

Cristina Odene Cantero, Carlos Ballano Franco, Adriana Fernández Gonzalo, Óscar Bueno Zamora, Elsa García Laborda, Francisco Javier Olcoz Monreal
PDF

Clasificación de los nódulos tiroideos según la Guía Americana de Tiroides del 2015. Correlación con resultados citológicos de eco PAAF Revisión de 110 casos

N. Alberdi Aldasoro, N. Alonso Ordás, P. López Sala,, H. Gómez Herrero, p. Caballero García, B. Álvarez Galván
PDF

DIAGNOSTICO DEL ADENOMA PARATIROIDEO MEDIANTE ECOGRAFÍA Y CORRELACIÓN CON GAMMAGRAFIA 99MTC SESTAMIBI: RESULTADOS EN 20 CASOS

Laura Díaz Rubia, Jose Antonio Miras Ventura, Irene Garrido Márquez, Laura Guirado Isla
PDF

UTILIDAD DE LA ECOGRAFÍA INTRAOPERATORIA EN LA CIRUGÍA DE LA RECIDIVA GANGLIONAR DEL CARCINOMA DE TIROIDES

Ana María Quiles Granado, Gemma Laguillo Sala, Jose Ignacio Rodríguez Hermosa, Jordi Gironès Vilà, Eva Gómez Roselló, Mª Montserrat Fernández Viñas
PDF

Imagen cardiotorácica

 

 

Tumores Fibroblásticos/Miofibroblásticos de los Tejidos Blandos: Orientación Según sus Hallazgos Radiológicos.

María Carolina Gutiérrez Ramírez, Begoña Torregrosa Sala, Guilda Morell González, Yesica Martínez Paredes, Ángela Cepero Calvete, María Dolores Abellán Rivero
PDF

Manifestaciones radiológicas de la patología pleural.

Ana María Vargas Díaz, Virginia Fernandez Cisneros, Carlos Oliva Fonte, Jacinto Grasa Díaz, Cris Eugenia Sibaja Castro, Teresa González De La Huebra Labrador
PDF

Signos Clásicos en la Radiología Convencional de Tórax Lo que el radiólogo debe saber.

F. Ximena Aragón Tejada, Carmen Ruiz Yague, Rafael Morcillo Carratala, Beatriz Gutierrez Martinez, Mónica Bernabeu Rodriguez
PDF

Atelectasias Pulmonares Aprende A Verlas Para Poder Encontrarlas

Isabel Belda González, Daniel Soliva Martínez, Pedro Fernández Iglesias, Lourdes Hernández Muñóz, Vilbrun Jean-Pierre
PDF

Miocardiopatía hipertrófica asociada a no compactación miocardica. Diagnóstico diferencial.

Margarita Pons Perelló, María Rodríguez Eiriz, Diego Mauricio Angulo Henao, Melisa Guadalupe Tito Mollo, Sandra Liliana Barrero Varon, Mercedes Rodriguez Romero
PDF

LAS DIFERENTES CARAS DE LA PATOLOGÍA DE AORTA TORÁCICA

Juan Vega Eraso, Joana Elejondo Oddo, Virginia Gomez Usabiaga, Gonzalo Vega-Hazas Porrua, Carmen Biurrun Mancisidor, Leire Elsa Calvo De Apraiz
PDF

Angio- TC de energía dual en el tromboembolismo pulmonar agudo (TEPA) revisión de las causas, semiología y pitfalls de los defectos de perfusión y otras alteraciones en el mapa de iodo

Sara Gálvez García, Ana Lucia Muñoz Ruiz, Encarnación Nava Tomás, Sandra Sánchez García, María Vicente Quílez, Amador Prieto Fernandez
PDF

Hallazgos cardiacos en TC de tórax sin sincronización electrocardiográfica.

Victoria De Lara Bendahán, Inmaculada Sánchez Romero, Cristina Montes Duran, Silvana María Lara Fernández, Francisco Javier Hidalgo Ramos, Gloria Porcuna Cazalla
PDF

IMAGEN PET-TC EN EL MANEJO DEL NODULO PULMONAR Y EN EL CANCER DE PULMON NO MICROCITICO

Antonio Maldonado Suarez, Chawar Hayoun Chaara, Ana Alvarez Vazquez, Luis Herraiz Hidalgo, Silvia Fuertes Cabero, Vicente Martinez De Vega
PDF

Utilidad del TC de atenuación en estudios miocárdicos de Medicina Nuclear

Sandra Marcos Mondón, Patricia Lloro Lancho, Inés Hernández Ercilla, Pablo Navarro Beltrán
PDF

Traumatismo torácico estudio mediante TCMD de las lesiones de la vía aérea y el parénquima pulmonar.

María Rodríguez Eiriz, Néstor Calvo Rado, Sandra Liliana Barrero Varon, Paula Roig Egea, Margarita Palmer Sans
PDF

HIPERTENSIÓN PULMONAR UN RETO VIGENTE PARA UNA VIEJA CONOCIDA. ¿QUÉ APORTA LA IMAGEN?

Joana Elejondo Oddo, Ane Ugarte Nuño, Amaia Goienetxea Murgiondo, Eñaut Garmendia Lopetegui, Karmele Biurrun Mancisidor, Juan Vega Eraso
PDF

Neuroendoscopia virtual en el sistema ventricular y cisternas subaracnoideas

Miguel Gonzalo Dominguez, María Cristina Hernández Rodriguez, Juan Antonio Juanes Méndez, Margarita Rodriguez Velasco, Laila Santirso Abuelbar, Juan Chaviano Grajera
PDF

Diagnóstico y tratamiento con embolización percutánea de las fístulas arteriovenosas pulmonares.

Joel Aranda Sánchez, Daniel Cubillo Prieto, Yeray Aguilar Tejedor, María del Carmen González Domínguez, Alina Uriarte Rodríguez, Olena Ivanytska
PDF

LA INSUFICIENCIA CARDIACA EN TCMD ¿TIENE ALGÚN PAPEL?

Ángeles Franco López, Gabriel C. Fernández Pérez, María Velasco Casares, Alba Mas, María Eugenia Arias Laverde, Fátima García Navarro
PDF

Lesiones hiliares pulmonares unilaterales No todo es cáncer.

María del Carmen González Domínguez, Fredi Giovanni Rocuts Martínez, Sara García Quesada, Joel Aranda Sánchez, Aliana Uriarte Rodríguez, Jano Manuel Rubio García
PDF

DIAGNÓSTICO DIFERENCIAL DE LA ENFERMEDAD PULMONAR CAVITADA LO QUE EL RADIÓLOGO PUEDE APORTAR

Elena López Banet, Guillermo Carbonell López Del Castillo, Yesica Martínez Paredes, Daniel Rodríguez Sánchez, Guilda Morell González, Francisco Sarabia Tirado
PDF

RM en la miocardiopatía hipertrófica. Fenotipos y fenocopias

Rafaela Soler Fernández, Cristina Méndez Díaz, Esther Rodríguez García, Roberto Barriales Villa, Juan Pablo Ochoa, Lorenzo Monserrat Iglesias
PDF

Tumor fibroso solitario extrapleural: "ni tan raro, ni tan bueno"

Jorge Argimiro López García, Carmen Nieves Pérez Brito, Carmen Nieves Hernández León, Josefina Cruz Jurado
PDF

Utilidad de la Resonancia Magnetica Cardiaca (RMC) en el estudio de las masas cardiacas y del pericardio

Silvia Navarro Herrero, Alberto J. Rodríguez Rodríguez, Cristina Asensio Moreno, Elena Merchante García, María Pilar Serrano Gotarredona

Resonancia magnetica cardiaca en enfermedad isquémica coronaria con hallazgos normales en coronariografía.

Maria Isabel Tercero Azorin, Cristina López Cárceles, Tomás Cros Ruiz De Galarreta, Miguel Villar García, Patricia Camino Marco, Inmaculada Alcantud García
PDF

Valoración prequirúrgica de las anomalías del origen coronario mediante cardio-TC como técnica gold estándar frente a la angiografía por cateterismo a través de nuestra experiencia desde 2010

Maria Isabel Tercero Azorin, Inmaculada Alcantud García, Miguel Villar García, Angela Fernández López, Javier Peinado Rodenas, Tomas Cros Ruiz De Galarreta

Exposición al asbesto: ¿Que ocurre en el tórax con el paso del tiempo?

L. Ortega Molina, H. Gómez Herrero, P. Caballero García, K. García Guevara, J Saénz Bañuelos, C. Sánchez Rodríguez
PDF

El papel del radiólogo en el diagnóstico y seguimiento del timoma

Victoria Cuartero Revilla, Isabel Rivera Campos, David Petite Felipe, Paula María Hernández Guilabert, M Ángeles Francés Arpón, Jesús Lopez Lafuente
PDF

RADIOGRAFÍA DE TÓRAX: HALLAZGOS FRECUENTES

Juan José Delgado Moraleda, Alberto Alegre Delgado, Macarena Barreda Solana, Nicolás Albertz Arévalo, María Victoria Álvarez Martínez, Rosa María Piqueras Olmeda
PDF

EL PULMÓN DEL ANCIANO: ¿Cómo envejecemos con los años?

Almudena Quílez Larragán, Jesus Ciro Pueyo Villoslada, Pablo Bartolomé Leal
PDF

PET-TC EN LA ESTADIFICACIÓN DE NEOPLASIAS: FALSOS POSITIVOS EN EL TÓRAX.

Carles Gómez Zaragoza, Xavier Gallardo Cistaré, Eva Castañer González, Marta Andreu Magarolas, Paula Caresia Aroztegui, Ato Rodríguez Revuelto
PDF

Utilidad de la TC dual en el diagnóstico y seguimiento de la Hipertensión Pulmonar Tromboembólica Crónica (HPTEC)

Mariana Benegas Urteaga, Marcelo Sánchez González, Iván Vollmer Torrubiano, Teresa Maria De Caralt, Marta Barrufet Solé, Marta Burrel Samaranch
PDF

VALORACIÓN RADIOLÓGICA DE LAS ENFERMEDADES VASCULARES PULMONARES

Sergi Juanpere Marti, Noemi Cañete Abajo, Gloria Sanchez Nuñez, Arantxa Gelabert Barragán, Jaume Codina Font, Pedro Ortuño Muro
PDF

Malformación Adenomatoide Quística del pulmón en pacientes adultos: rasgos clínico radiológicos y manejo. Estudio de una serie de casos.

Josefa Perez-Templado Ladron De Guevara, Sandra Bermudez Nieto, Gemma Munoz Molina, Paola Arrieta Narvaez, Amparo Benito Berlinches, Luis Gorospe Sarasua
PDF

Papel Del Angio-TC En Las Anomalías Vasculares Pulmonares

Victoria De Lara Bendahán, Francisco Javier Hidalgo Ramos, Silvana Lara Fernández, Gloria Porcuna Cazalla, Verónica Lorenzo Quesada
PDF

Pneumomediastino: Revisión y exposición de casos.

Jorge Galván Fernández, Borja Toribio Calvo, Antonio Hermosín Peña, Maria Pina Pallin, Teresa Alvarez De Eulate, Ana Gil Guerra
PDF

Hiperplasia difusa idiopática de células neuroendocrinas pulmonares (DIPNECH): importancia de la imagen.

Ángeles Silva Rodríguez, Raquel García Latorre, Frank Farfan Leal, Paola Arrieta Narvaez, Patricia Castro Acosta, Luis Gorospe Sarasúa
PDF

Precisión y eficiencia de un software automático para cuantificar los volúmenes del ventrículo izquierdo por cardio-resonancia magnética (CRM)

Pablo Bartolomé Leal, Paula García Barquín, Almudena Quílez Larragan, Meylin Caballeros Lam, Jesús Pueyo Villoslada, Gorka Bastarrika Alemañ
PDF

Caracterización en el TC de tórax del síndrome de Birt-Hogg-Dubé: hallazgos para su diagnóstico diferencial.

J.A Prat Matifoll, Jordi Andreu Soriano, Albert Prats Uribe, Ester Pallisa Núñez, Oscar Persiva Morenza, Diego Varona Porres
PDF

Adaptación individual del kilovoltaje en TC de tórax de pacientes con patología respiratoria: niveles de radiación en la práctica clínica utilizando dos diferentes TC multidetector (TCMD).

Miguel Sineiro Galiñanes, Miguel Pombar Cameán, Jorge Juan Suárez Cuenca, Miguel Souto Bayarri
PDF

Aspectos epidemiológicos relevantes en el diagnóstico por angioTC del embolismo Pulmonar

Víctor Fernández Lobo, Ana Garcia Bolado, Irene Andrés Garcia
PDF

Valor diagnóstico de los principales signos de Insuficiencia Cardiaca Congestiva en el angioTC de pacientes con Embolismo Pulmonar

Víctor Fernández Lobo, Ana Garcia Bolado, Irene Andrés García
PDF

Disnea brusca y Dímero D alto... ¡Sin TEP!

Víctor Fernández Lobo, Ana Garcia Bolado, Paula Gallego Ferrero, Beatriz Garcia Martinez, Amaya Iturralde Garriz, Javier Valentín De La Calle Lorenzo
PDF

El regadenosón como agente de estrés en cardio-RM. Descripción de nuestra experiencia.

Ana Alvarez Vázquez, Vicente Martínez De Vega, Manuel Recio Rodriguez, Gonzalo Pizarro Sánchez, Cecilia García Villafañe, Julio Fernández Mata
PDF

Correlación de los índices de Adragao y Kauppila con el score de Agatston en pacientes con Enfermedad Renal Crónica 4- 5

Juan Sales Sánchez, José Vizuete Del Río, Lidia Navarro Vilar, Juan Manuel Pazos Guarín, Verónica Escudero Quesada
PDF

Hallazgos radiológicos en el Tromboembolismo Pulmonar

Celia Izco García-Cubillana, Laura Cuesta Lujano, Antonia Mora Jurado, Antonio Delgado Cotan, Ana Belen Molina Navarro, Carmen Gonzalez Castellano
PDF

Complicaciones pulmonares agudas en el paciente hematológico. Aproximación diagnóstica.

Juan José Pomares Pomares, Álvaro Santiago Pesquera Muñoz, Rosa Dosdá Muñoz, Susanie Flores Casaperalta, Marcelo Rengel Ruíz, Julio Palmero Da Cruz
PDF

Algoritmo de estimación volumétrica RECIST automático para seguimiento de cáncer de pulmón en TCMD.

Jorge Juan Suárez Cuenca, Gonzalo Ferro Costas, Miguel Souto Bayarri
PDF

Cuando sospechar de coartación / interrupción aórtica del adulto.

Maria Soraya Garcia Gomez, Rafael Reina Cubero, Maria Cristina Sanchez Porro Del Rio
PDF

Sobre la osificación pulmonar dendriforme

Rebeca Fernández De Sanmamed Gutiérrez, Antonio Martinez Mansilla, Rosa Yelena López Suárez
PDF

Cuantificación de la fracción de eyección por imagen cardiaca multimodal en la práctica clínica diaria.

Laura Fernández Fernández, Marta Álvarez Cacho

Afectación pulmonar por toxicidad farmacológica

Daniela Díaz Arancibia, Isabel Nogueira Mañas, Victor Margelí Cervera, Ignasi Guasch Arriaga, Ana Cristina Pérez Balaguero, Francisco Casero Navarro
PDF

UTILIDAD DE LA ESCALA DE WELLS PARA MEJORAR EL RENDIMIENTO DEL ANGIOTC DE PULMÓN ANTE LA SOSPECHA DE TEP EN URGENCIAS

Ignacio Florencio Quilis, Michaela Alina Guitulescu, Nueria Castillo Soria, Jose Ignacio Massa Navarrete, Mari Luz Paredes Martínez, Diego Martínez García
PDF

¿SERÍA POSIBLE PRESCINDIR DEL ANGIOTC PULMONAR ANTE LA SOSPECHA DE TEP CUANDO TANTO LA ESCALA DE WELLS COMO EL DIMERO-D SEAN INFERIORES A 2,5?

Ignacio Florencio Quilis, Jose Ignacio Massa Navarrete, Mari Luz Paredes Martínez, Nuria Castillo Soria, Michaela Alina Guitulescu, Diego Martínez García
PDF

TC Coronariografía en pacientes candidatos a trasplante hepático.

Miguel Paniagua González, José Javier Alarcón Rodríguez, José Antonio García Robles, María Luisa Sánchez Alegre, Nerea Álava Echevarría, Jesús De La Torre Fernández
PDF

SINDROME DE VENA CAVA SUPERIOR: Etiología, fisiopatogenia y hallazgos radiológicos fundamentales.

Tani Díaz Antonio, Victoria Romero Laguna, Maria Del Mar García Gallardo, Ana Tapia Guerrero, Guillermo García Gutierrez, María Lucía Bermá Gascón
PDF

Tumor del Sulcus Pulmonar Superior: papel de la Resonancia Magnética en el estadiaje

Guillermo García Gutiérrez, Victoria Romero Laguna, Ana Rodríguez Molina, Laura Domínguez Gómez, Nieves Alegre Bayo
PDF

Estudio anatómico del drenaje venoso pulmonar mediante TCMD en pacientes con arritmias auriculares comparado con sujetos en ritmo sinusal.

Alfonso Martín Díaz, Emilio Cuesta López, Carmelo Palacios Miras, Elena Refoyo Salicio, María Isabel Torres Sánchez, Gonzalo Garzón Moll
PDF

ARTRITIS REUMATOIDE: MANIFESTACIONES RADIOLÓGICAS TORÁCICAS EN TACAR.

Marta Revelles Paniza, Genaro López Milena, Jade García Espinosa, Pablo Tomás Muñoz, Miguel Ángel Pérez Rosillo, Elena Moya Sánchez
PDF

ESTUDIO DE LAS VENAS PULMONARES MEDIANTE TCMD PREVIO AL TRATAMIENTO DE LA FIBRILACIÓN AURICULAR MEDIANTE ABLACIÓN: HALLAZGOS MÁS FRECUENTES EN NUESTRA EXPERIENCIA.

Ana María Cáceres Valverde, Francisco Romero Ruiz
PDF

EL ARCO AÓRTICO. CUÁNDO NO TODO ESTÁ EN SU SITIO.

Antonio Ginés Santiago, Jesús Gómez Corral, Gloria Sevilla Redondo, Trinidad Escudero Caro, Verónica Álvarez-Guisasola Blanco, Gabriel C. Fernández Pérez
PDF

Hernias pulmonares, una entidad poco frecuente

Sandra Delgado Sáiz, María Udondo González Del Tánago, Miguel Arturo Schüller Arteaga, Clara Morandeira Arrizabalaga, Silvia Cisneros Carpio, Domingo Grande Icarán
PDF

El papel de la ecografía en el diagnóstico y seguimiento de las consolidaciones pulmonares en el paciente pediátrico.

Andrés Francisco Jiménez Sánchez, Carmen María Fernández Hernández, María Carolina Gutiérrez Ramírez, Ernesto Doménech Abellán, Cristina Serrano García, Amparo Gilabert Úbeda
PDF

Patrones radiológicos poco frecuentes en el tratamiento de tumores pulmonares primarios y metastásicos en tratamiento con quimioterapia convencional y terapias moleculares dirigidas

Luis López Calderón, Mª Luis Domingo Montañana, Santiago Isarria Vidal, Ronny Rodelo Haad
PDF

Mirando al corazón: es un tumor?

M. Carmen Saborido Ávila, Marta Rodriguez Álvares, Beatriz Nieto Baltar, Angel Nieto Parga
PDF

Micosis torácicos de hongos oportunistas: una revisión para el residente.

Meylin Caballeros Lam, Jose Miguel Madrid Pérez, Almudena Quilez Larragán, Alejandra García Baizán, Jesús Pueyo Villoslada, Gorka Bastarrika Alemán
PDF

Hallazgos radiológicos de los tumores fibrosos solitarios en el tórax

Esther Reguero Llorente, María Victoria Ferrufino Villalba, Carlos Martín Gómez, Daniel Zarranz Sarobe, Luis María Castaño Martín, Eliseo Arauzo Álvarez
PDF

RX tórax en decúbito supino: un reto que comienza frente al R1

Diego Edgardo Dotti Gonzalez, Marta Martínez Montalbán, Yasna Villegas Mora, Ramon Ortiz Gimenez, Ruth Domene Moros, Noelia Padron Rodriguez
PDF

Manifestaciones radiológicas del adenocarcinoma de patrón lepídico: recuerdo y nuestra experiencia

Guillermo González Zapico, Marta Lázaro Serrano, Ainhoa Gandiaga Mandiola, Jose María Peña Sarnago, Elsa Camuera González, Aritz De La Fuente Gaztañaga
PDF

Medida del anillo aórtico en el estudio pre –TAVI mediante ecografía transtorácica y TC multicorte. Influencia en el tamaño final de la prótesis.

Juan Calvo Blanco, Helena Cigarrán Sexto, Ana Fidalgo Argüelles, María Martín Fernández, Cecilia Corros Vicente, Raquel Del Valle Fernández
PDF

Hemotórax espontáneo en pacientes puerperales con Neurofibromatosis tipo I

Ignacio Terreros Bejo, Alexander Aguinaga Alesanco, Javier Izquierdo Peñafiel, Unai Jimenez Maestre, Oscar Prieto Calderon, Fernando Muñoz Dermit
PDF

Complicaciones pulmonares no infecciosas en el trasplante de células hematopoyéticas

David Romero Alonso, Jose L. Abraldes, María Isabel Padin, María Carmen Aguilar Hurtado
PDF

Tromboembolismo Pulmonar: Énfasis en las medidas vasculares como factores predictivos en la evolución.

María Luz Parra Gordo, Napoleón Pérez Farinós, Alfonsa Friera Reyes, Paloma Largo Flores, Juan Antonio Del Pozo Jiménez, Paloma Caballero Sanchez-Robles
PDF

Consideraciones sobre el Tromboembolismo Pulmonar hospitalario

María Luz Parra Gordo, Napoleón Pérez Farinós, Alfonsa Friera Reyes, Josima Luchsinger Heitmann, Juan Antonio Del Pozo Jiménez, Paloma Caballero Sánchez-Robles
PDF

HALLAZGOS RADIOLÓGICOS DEL SÍNDROME DE LADY WINDERMERE

Antonio Bueno Palomino
PDF

Cortocircuitos entre circulación sistémica y pulmonar. Utilidad de la RM cardiaca y de la TCMD

Genaro López Milena, María Dolores García Roa, Eduardo Ruíz Carazo
PDF

Planificación con TC multidetector previa a implantación de válvula aórtica percutánea (TAVI): comparación de las mediciones manuales con las obtenidas por software específico.

Nicolás Ahumada Pavez, Ana Bustos García De Castro, Joaquín Ferreirós Domínguez, Beatriz Cabeza Martinez, María José Ciudad Fernández, Iñigo De La Pedraja Gómez Ceballos
PDF

Necesidad de la BAG para el correcto manejo del cancer de pulmon no de celulas pequeñas.

Maria De La Paz Gomez Molinero, Pedro Riquelme Montaño, Rafael Diaz Manga, Pilar Jimenez Villares, Jose Luis Payares Cordero
PDF

Solicitud de radiografías por traumatismo torácico

Sonia Galicia Puyol, Alejandro Puerta Sales, Laura Abenza Oliva, Natalia Triguero Ruiz, Isabel Pena Fernández, Isabel Gil Rosa
PDF

ASPECTOS BÁSICOS PARA REALIZAR UNA CORRECTA INTERPRETACIÓN DE LA TC TORÁCICA EN LA PATOLOGÍA PULMONAR

Victoria Mayoral Campos, José Andrés Guirola Ortiz, Yasna Villegas Mora, Ruth Domene Morós, Blanca Madariaga Ruiz, José Luis De Benito Arévalo
PDF

Estudio de los niveles hidroaéreos en mediastino.

María Lucía Bermá Gascón, Ana Rodriguez Molina, Margarita González Fernández, Victoria Romero Laguna, Guillermo García Gutiérrez, Laura Peñuela Ruiz
PDF

Análisis De Dos Métodos De Cuantificación De La Función Del Ventrículo Derecho Por RM Y Su Correlación Con Parámetros Ecocardiográficos.

Cecília Vieira Leite, Miguel Couto Pérez, Amparo Martínez Monzonis, José Martin Carreira Villamor, Miguel Souto Bayarri
PDF

Nódulos Pulmonares Milimétricos No Neoplásicos: Cómo Reconocerlos Y Qué Hacer Con Ellos.

Ana Tapia Guerrero, Victoria Romero Laguna, Laura Domínguez Gómez, María José Regañá Feijoo, Nieves Alegre Bayo, María Del Mar García Gallardo
PDF

Sarcoidosis Pulmonar: La Enfermedad Inesperada

Isabel Belda González, Daniel Soliva Martínez, Miguel Angel Pérez Gil, Sagrario Relanzón Molinero, Javier Gómez Hernández
PDF

Diafragma elevado en la radiografía de tórax: en qué debemos pensar.

José Miguel Madrid Pérez, Fanny Meylin Caballeros Lam, Pablo Bartolomé Leal, Almudena Quilez Larragan, Loreto García Del Barrio, Jesús Ciro Pueyo Villoslada
PDF

¡No nos olvidemos de la pleura! Claves para reconocer el mesotelioma pleural maligno.

Ana Velarde Pedraza, Paola Barón Rodiz, Francisca Sánchez Ortega, Cristina Cárdenas Valencia
PDF

DIAGNÓSTICO DE LAS NEUMONÍAS INTERTICIALES IDIOPÁTICAS: UN RETO CONSTANTE PARA EL RADIÓLOGO

Maria Esther Gómez San Martín, Maria Rosa Lopez Pedreira, Pilar Cartón Sanchez, María Henar Borrego Pintado, Borja Toribio Calvo, Maria Antonia Udaondo Cascante
PDF

Sarcomas cardíacos: ¿Qué aporta su evaluación mediante RM cardíaca?

Rosa María Ruiz Peralbo, Miguel Pastrana Ledesma, Miguel Angel Cavero Gibanel, Marta Alfageme Zubillaga, Javier Segovia Cubero, Concepción González Hernando
PDF

Adenocarcinoma de pulmón: correlación radio-patológica y diagnóstico precoz.

Chawar Hayoun Chaara, Ana Alvarez Vazquez, Isaac Daimiel Naranjo, Ana Fernandez Alfonso, Luis Ortega Medina, Vicente Martinez De Vega
PDF

Mapeo T1 del miocardio: lo que un residente necesita saber

Meylin Caballeros Lam, José Miguel Madrid Pérez, Pablo Bartolomé Leal, Alejandra García Baizán, Jesús Pueyo Villoslada, Gorka Bastarrika Alemán
PDF

SIMULADORES DE TROMBOEMBOLISMO PULMONAR (TEP).

Raquel García Latorre, Ángeles Silva Rodríguez, Laura García Alonso De Caso, Cristina Abad Fernández, Rut Romera Sánchez, Agustina Vicente Bártulos
PDF

Estudio por imagen de las masas pleurales

Pilar Cartón Sánchez, Teresa Alvarez De Eulate García, María Rosa López Pedreira, Enrique Calleja Cartón, Antonio Hermosín Peña, Isabel Jiménez Cuenca
PDF

Correlación clínico-radiológica de la aspergilosis pulmonar.

María Rosa López Pedreira, Jorge Galván Fernández, Pilar Cartón Sánchez, Ana Gil Guerra, José Luis Ruiz García, María Antonia Udaondo Cascante
PDF

Puntos clave en el seguimiento del cáncer de pulmón: Efectos de la radioterapia y su diagnóstico diagnóstico diferencial.

Ana Alvarez Vázquez, Chawar Hayoun Chaara, Antonio Maldonado Suarez, Ana Fernández Alfonso, Felipe Couñago Lorenzo, Vicente Martinez De Vega
PDF

" SÍNDROME DE DISTRÉS RESPIRATORIO AGUDO: CÓMO RECONOCERLO Y PORQUÉ ES IMPORTANTE IDENTIFICARLO"

Macarena Sánchez-Carpintero De La Vega, Amado Rodríguez Benítez, Alejandro Pérez Martín, María Rosario Campos Arenas, Francisco Japón Sola
PDF

TC EN EL DIAGNÓSTICO DIFERENCIAL DE LAS LESIONES PULMONARES CAVITADAS

Silvana María Lara Fernández, Verónica Lorenzo Quesada, Cristina Montes Durán, Victoria De Lara Bendahán, Miguel Ángel Conde Sánchez
PDF

La miocardiopatía hipertrófica: más allá del grosor miocárdico

Pablo Bartolomé Leal, José Miguel Madrid Pérez, Almudena Quílez Larragán, Meylin Caballeros Lam, Maite Millor Muruzábal, Jesús Pueyo Villoslada
PDF

Interpreta mi Corazón... Lo que el radiologo debe reconocer en el seguimiento por imagen de las cardiopatias congenitas.

Claudia Lorena Martinez Higueros
PDF

¿CÓMO AFECTA EL TABACO A LOS PULMONES? Correlación radio-patológica de las enfermedades intersticiales pulmonares relacionadas con el tabaco.

Maria Magdalena Serra Salas, Xavier Gallardo Cistaré, Marta Andreu Magarolas, Eva Castañer González, Maria Rosa Escoda Giralt, Josep Maria Mata Duaso
PDF

MALFORMACIONES CONGÉNITAS DE LOS VASOS PULMONARES EN EL ADULTO

Maria Magdalena Serra Salas, Eva Castañer González, Xavier Gallardo Cistaré, Marta Andreu Magarolas, Josep Maria Mata Duaso, Carlota Cano Rodriguez
PDF

Pulmón esofágico: Malformación broncopulmonar congénita infrecuente, derivada del intestino anterior

Silvia Badillo Rodríguez-Portugal, Elena Alvarez Moreno, Manuela López Azorín, Verónica Muñoz Carpio, Manolo Recio Rodríguez, Vicente Martínez De Vega
PDF

La radiografía de tórax en la cardiopatía adquirida. Una herramienta muy valiosa.

Marta Tovar Pérez, Remedios Rodríguez Mondéjar, Irene Cases Susarte, Elisabeth María Núñez Peynado, María Carrillo García, Lucía Hernández Sánchez
PDF

TUMOR CARCINOIDE PULMONAR: HALLAZGOS RADIOLÓGICOS, CLÍNICOS Y DE HISTOLOGÍA EN UN ANÁLISIS RETROSPECTIVO DE CASOS EN NUESTRO CENTRO.

Juan Manuel Pazos Guarín, Maria Luisa Domingo Montañana, Santiago Isarria Vidal
PDF

ENFERMEDAD PULMONAR INDUCIDA POR FÁRMACOS

Maria Isabel Rivera Campos, David Petite Felipe, Victoria Cuartero Revilla, Ana Piazza Dobarganes, Prado Reyero Lafuente, Concha Gonzalez Hernando
PDF

NEUMONÍAS INTERSTICIALES IDIOPÁTICAS. REVISIÓN Y ACTUALIZACIÓN

Iria Álvarez Silva, Inmaculada Herráez Ortega, Ana María Fernández Martínez, Diana García Casado, Cristina Antolín Pérez, Jose Samper Wamba
PDF

Infección pulmonar por mycobacterias no tuberculosas (MNT): hallazgos radiológicos

Carlota Cano Rodríguez, Eva Castañer González, Oscar Luis Cuevas Lobato, Marta Andreu Magarolas, Xavier Gallardo Cistare, Miguel Gallego Díaz
PDF

EL RADIÓLOGO ANTE LA MIOCARDIOPATÍA HIPERTRÓFICA: REVISIÓN DEL PROTOCOLO DE ESTUDIO Y DESCRIPCIÓN DE LOS HALLAZGOS EN RM

Elena Diez Uriel, Noelia Arevalo Galeano, Nuria Santamaría Guinea, Elena Barcina Garcia, Miguel Grande Barez, Elena Roa Martinez
PDF

PATOLOGÍA PERICÁRDICA URGENTE, UTILIDAD DEL TCMD

David Balaguer Paniagua, Victor Margelí Cervera, Ignasi Guasch Arriaga, Isabel Nogueira Mañas, Miriam Staitie Gali, Electra Hernández Santana
PDF

Síndrome de fuga aérea pulmonar: hallazgos radiológicos

Cecilia Santos Montón, Roberto Llorens Salvador, Amparo Moreno Flores, Ignacio Martín García, Rodrigo Blanco Hernández, María Teresa Garzón Guiteria
PDF

Síndrome del Outlet Torácico: Contribución de la Angio-RM (ARM).

Macarena Reyes Ortega, Andrea Elias Mas, Anna Ungueti Rodríguez, Kathy Quisiyupanqui Ascate, María Rosa Martí Doménech, Josep Lluis Dolz Jordi
PDF

NEUMONÍAS INTERSTICIALES IDIOPÁTICAS: diagnóstico y hallazgos por imagen

Elena Ingunza Loizaga, Karmele Armendariz Tellitu, José María Abaitua Ibañez, Ignacio Javier Quílez Barrenetxea, Gorka Del Cura Allende, Ainhoa Tellería Bajo
PDF

DISPOSITIVOS CARDIACOS ELECTRÓNICOS IMPLANTABLES: LO QUE UN RADIOLOGO GENERAL DEBE SABER.

Rodrigo Blanco Hernández, Sara Higuero Hernando, Javier Chimeno García, Cecilia Santos Monton, Manuel Ángel Martín Pérez, José Marin Balbin
PDF

Angio-TC coronario: Eficiencia y mejora de la calidad asistencial con respecto a la coronariografía invasiva.

Alfonso Martín Díaz, Emilio Cuesta López, Elena Refoyo Salicio, Gabriela Guzmán Martínez, María Isabel Torres Sánchez, José Antonio Blázquez González
PDF

Lesiones de la pared costal estudiadas por diferentes técnicas radiológicas

Sandra Arévalo Arévalo, Silvia Martín Martín, María Jesús Soleto Roncero, Miguel Gonzalez De Cabo, Roberto Severín Samuel Espin, Marta Lllopis Pardo
PDF

Linfangitis carcinomatosa: Hallazgos en la radiografía de tórax y correlación con TCMD.

Antonio Navarro Baño, Juan Francisco Martínez Martínez, Santiago Ibañez Caturla, Diego Páez Granda, Daniel Rodríguez Sánchez, Francisco Sarabia Tirado
PDF

Cadenas ganglionares en el tórax. Aplicación al TNM del cáncer de pulmón no microcítico

Carmen María Botía González, Maria Remedios Rodríguez Mondéjar, Ana Sánchez González, Manuel Luis Rodríguez Rodríguez, Marta Huertas Moreno, Marta Tovar Pérez
PDF

Tumores del mediastino anterior: estado del arte y correlación anatomo-radiológica.

Alfonso Martín Díaz, Lucía Fernández Rodriguez, María Fernández-Velilla Peña, Inmaculada Pinilla Fernández, María Isabel Esteban Rodriguez, María Isabel Torres Sánchez
PDF

Tumores de mediastino medio y posterior: todo lo que el radiólogo debe conocer.

Alfonso Martín Díaz, Lucía Fernández Rodríguez, María Fernández-Velilla Peña, Inmaculada Pinilla Fernández, María Isabel Esteban Rodríguez, María Isabel Torres Sánchez
PDF

Diverticulitis Yeyunal como causa de Abdomen Agudo

Sandra Sánchez Jiménez, María Angélica Yilo Carreño, Carmen Zevallos Maldonado, Cristina Bermudez Garcia, Ruge Felipe Diaz Tchelebi, Teresa Fuente Yarnoz
PDF

Calcificaciones torácicas ¿un hallazgo frecuente? Revisión y claves para su diagnóstico diferencial

Carlos R. Cárcamo Flores, J. Silva Coya, A. Mejias Espada, F. F. Dueñas Ramos, M. E. Hernández García, M. C. Álvarez Sanz
PDF

EVALUACIÓN MEDIANTE TC DEL TRAUMATISMO TORÁCICO

Eneritz Larrazabal Echevarria, Leire Hernaiz Argudo, Nerea Insausti Jaca, Begoña Guantes Del Vigo, Naroa Nates Uribe
PDF

Utilidad clínica de la cardioRM: experiencia en un hospital de área.

Lucía Raposo Rodríguez, Óscar Fernández Guinea, Tomás Díaz Sánchez, Nuria Fernández García, Esther Montes Pérez, Lorenzo Pastor Hernández
PDF

La patología de la aorta torácica del adulto en angio-TC: lo que el radiólogo necesita saber

José Carlos Pérez Tejada, Ana María Cáceres Valverde, Francisco Romero Ruiz, Rafael Aznar Méndez, Ana María Romero Marina, Celia Pérez Ramírez
PDF

La embolia pulmonar: diagnostico radiológico según sus causas.

Carmen Ojados Hernández, Maria Del Carmen Alcántara Zafra, Maria Jesus Fernández Ferrando, Laura Abenza Oliva, Maria Francisca Cegarra Navarro, Maria Victoria Redondo Carazo
PDF

Correlación TC-Histología del patrón en "vidrio deslustrado" pulmonar.

Carlos Francisco Muñoz Núñez, Carolina Martínez Ciarpaglini, Carles Fonfría Esparcia, Pilar Calvillo Batlles, Nuria Mancheño Franch, Laura Trilles Olaso
PDF

Correlación TC-Histología de la Enfermedades Intersticiales Pulmonares Asociadas a Tabaquismo.

Carlos Francisco Muñoz Núñez, Carolina Martínez Ciarpaglini, Carles Fonfría Esparcia, Pilar Calvillo Batlles, Nuria Mancheño Franch, Laura Trilles Olaso
PDF

Valoración con TC de tórax de complicaciones pulmonares infecciosas y no infecciosas en pacientes inmunodeprimidos.

Carolina Martínez Gamarra, Inmaculada Pinilla Fernández, Lucía Fernández Rodríguez, Alfonso Martín Díaz, Alberto Jiménez Rodrigo, María Isabel Torres Sánchez
PDF

Hernia pulmonar: Presentación de 7 casos y revisión de la literatura.

Angel Quispe - Mauricio, Almudena Mejias Espada, Percy Arenas García, Eduardo Crespo Vallejo, Carmen Izquierdo Sancho, Concepción Álvarez Sanz
PDF

Los desconocidos nódulos subsólidos. Por qué son importantes y cómo debemos manejarlos.

Lucía Fernández Rodríguez, Alfonso Martín Díaz, Alicia Linares Beltran, Carolina Martínez Gamarra, María Fernández-Velilla Peña, María Isabel Torres Sánchez
PDF

Manifestaciones radiológicas atípicas de las metástasis torácicas: lo infrecuente de lo frecuente.

Luis López Calderón, Mª Luisa Domingo Montañana, Santiago Isarria Vidal, Ronny Rodelo Haad
PDF

¿Es necesaria la ecocardiografía transesofágica (ETE) en el estudio pre-TAVI? Nuestra experiencia con la TC cardíaca centrada en válvula.

Aritz De La Fuente Gaztañaga, Ainhoa Gandiaga Mandiola, Marta Lazaro Serrano, Roberto Blanco Mata, Jose María Peña Sarnago, Esther Gorostiza Bermejo
PDF

Embolismo pulmonar no trombótico. Un reto diagnóstico.

Amaia Llodio Uribeetxebarria, Santiago Correa García, Ana Carballeira Alvarez, Karmele Biurrun Mancisidor, Maite Esnaola Albizu, Juan Vega Eraso
PDF

¿ERES R1? ESTAS SON LAS PRIMERAS 100 RADIOGRAFÍAS DE TÓRAX QUE DEBERÍAS VER.

Roberto Severín Samuel Espín, María Jesus Soleto Roncero, Marta Llopis Pardo, Sandra Patricia Arévalo Arévalo
PDF

Cardio-RM en el estudio de la miocardiopatía no compactada.

María Dolores García Roa, Silvia López Fernández, Ángela Salmerón Ruiz, Genaro López Milena
PDF

Trombo cardiaco: Revisión multimodal, papel de la cardio RM y diagnóstico diferencial

Ana Alvarez Vázquez, Vicente Martínez De Vega, Manuel Recio Rodríguez, Jose Angel Cabrera Rodriguez, Luis Herraiz Hidalgo, Mar Jimenez De La Peña
PDF

Cardiopatías congénitas como causa de hipertensión pulmonar en el adulto. Aportación de la tomografía computarizada.

Ana Belén Sanabria Gay, Simona Espejo Pérez, Marta Blanco Negredo, Isabel María Fernández López, Cristina Martín Rodríguez, Raquel Mateos Gil
PDF

Efectos cardíacos y hemodinámicos de la obstrucción arterial en pacientes con trombo-embolismo pulmonar agudo relacionado con cáncer.

Juana María Plasencia Martínez, Alberto Carmona Bayonas, David Calvo Temprano, Ángela Fernández Plaza, Alejandro Puerta Sales, Ángel Domínguez Pérez
PDF

NO SÓLO CORAZÓN. HALLAZGOS EXTRACARDIACOS INCIDENTALES CORONARIA

Santiago Ibáñez Caturla, Juan Francisco Martínez Martínez, Antonio Navarro Baño, Diego Páez Granda, José Antonio Hurtado Martínez
PDF

RM cardíaca en el seguimiento de pacientes con tetralogía de Fallot intervenida: protocolo y estudio de complicaciones.

María Dolores García Roa, Silvia López Fernández, Mercedes González-Molina Espinar, Genaro López Milena
PDF

Papel del radiólogo en el manejo del nódulo pulmonar subsólido: del diagnóstico al tratamiento.

M. Julian Moreno Rojas, Ivan Vollmer Torrubiano, Mariana N. Benegas Urteaga, Teresa M. De Caralt Robira, Rosario J. Perea Palazon, Marcelo Sánchez González
PDF

Estadificación del cáncer de pulmón: propuesta para la nueva edición del TNM.

Anna Agustí Claramunt, Marta Cufí Quintana, Flavio Zuccarino, Fernando Fernández Alarza, Ángel Gayete Cara
PDF

Patología transdiafragmática. Rutas de diseminación en imagen.

Guillermo Carbonell López Del Castillo, Ana Azahara García Ortega, Elena López Banet, Daniel Rodríguez Sánchez, Francisco Sarabia Tirado, Andrés Parrilla Almansa
PDF

Anatomía radiológica y estadificación de las neoplasias de hipofaringe

Malgorzata Agata Stachno, Daniela Andrea Montserrat Diaz Arancibia, Francisco Casero Navarro, Paloma Puyalto De Pablo, Patricia Cuadras Collsamata, Damián García Perdomo
PDF

Adenopatías mediastínicas. Espectro patológico y claves diagnósticas.

Pablo Naval Baudín, Elena Carreño García, Gemma Solana Tubau, Joana Valcárcel José, Iván Camilo García Duitama, Francisca Martínez Torrens
PDF

Estudio de la afectación pulmonar de la fibrosis quística mediante TCMD: 20 años con Bhalla.

Guilda Morell González, María Carolina Gutiérrez Ramírez, Luis González Ramos, Renzo Javier Andrade Gonzáles, Elena López Banet, Carmen María Fernández Hernández
PDF

¿Valoramos todas las estructuras en la TC torácica? Nuestra experiencia en hallazgos incidentales cardiacos en la TC.

Ángela María Fernández Plaza, Lourdes Martínez Encarnación, Patricia Navarro Sánchez, Ana Belén Veas López, María Ángeles Gutierrez Fuente, Isabel Pena Fernández
PDF

El timo, la glándula en la que no pensamos, la clave del diagnóstico

Caritat Garcia Vera, Inmaculada Romero Novo, Carmina Duran Feliubadaló, Sagrario Santos De Vega, Belén Del Río Carrero, Carles Gómez Zaragoza
PDF

APRENDIENDO DE LOS ERRORES: RADIOLOGÍA SIMPLE DE TÓRAX

Mónica Bernabéu Rodríguez, Beatriz Gutiérrez Martínez, Rafael Morcillo Carratalá, Andrés Enríquez Puga, PAul Martín Aguilar Angulo, María Carmen Ruíz Yagüe
PDF

Patrones de evolución radiológica en pacientes con carcinoma de pulmón no microcítico estadio IV con translocación ALK tratados con Crizotinib.

Alicia M. Linares Beltrán, Silvia Caparrós Cánovas, Lucía Fernández Rodríguez, Inmaculada Pinilla Fernández, Patricia Cruz Castellanos, María Isabel Torres Sánchez
PDF

Mesotelioma Pleural Maligno, estado actual.

Alicia M. Linares Beltrán, Lucía Fernández Rodríguez, Joaquín Patricio Morán Marsili, María Fernández Velilla Peña, Inmaculada Pinilla Fernández, Maria Isabel Torres Sánchez
PDF

CAMBIOS EN EL ESPECTRO DE LAS CARDIOPATÍAS CONGÉNITAS DEL ADULTO: RETOS DEL RADIÓLOGO ACTUAL

Carmen Biurrun Mancisidor, Juan Vega Eraso, Gonzalo Vega-Hazas Porrua, Ane Ugarte Nuño, Amaia Goienetxea Murgiondo, Virginia Gómez Usabiaga
PDF

TEPA: correlación entre la Escala de Ginebra Modificada y los hallazgos en el Angio-TC.

Alejandro Cernuda García, Lucía Terán Alvarez, Ana Isabel Barrio Alonso, Juan Sanz Diaz, Helena Cigarrán Sexto, Juan Calvo Blanco
PDF

Perfusión miocárdica quantitativa con TC de doble energía en estrés: diferencias en la concentración de iodo entre el miocardio normal, isquémico y con necrosis.

Roque Oca Pernas, Carlos Delgado Sánchez-Gracián, Carmen Trinidad López, Eloísa Santos Armentia, Gonzalo Tardáguila De La Fuente
PDF

Nódulos pulmonares en transplantes pulmonares: complicaciones reales o pitfalls?

Yiken Karelys Ng Wong, Joan Albert Prat Matifoll, Yilen Karen Ng Wong, Jordi Andreu Solano
PDF

El papel de la Radiología en el estudio anatomo-patológico del cáncer de pulmón: De la PAAF a la BAG y al arpón pulmonar.

Carlos Francisco Muñoz Núñez, Laura Trilles Olaso, Pilar Calvillo Batlles, Carles Fonfría Esparcia, Miryam Atarés Huerta, Jose Adolfo Flores Méndez
PDF

Infección pulmonar e inmunosupresión.

Carlos Francisco Muñoz Núñez, Pilar Calvillo Batlles, Carles Fonfría Esparcia, Miryam Atarés Huerta, Laura Trilles Olaso, Juan José Delgado Moraleda
PDF

PATOLOGÍA INTERSTICIAL PULMONAR ASOCIADA AL TABACO: ¿Hay vida más allá del cáncer de pulmón?

Almudena Quílez Larragán, Pablo Bartolomé Leal, Gorka Bastarrika Alemán, Jesus Pueyo Villoslada
PDF

RX de tórax: normal o patológico?

Alex Grande Astorquiza, Silvia Cisneros Carpio, Iñigo Lecumberri Cortes, Eider Alcalde Odriozola, Javier Castillo De Juan, Roque Oca Pernas
PDF

Lesiones pulmonares con signos radiológicos de malignidad con PET-TC negativo: ¿cuándo los radiólogos debemos insistir?

L. Ortega Molina, H. Gómez Herrero, P. Caballero García, S. Cervantes Ibáñez, N. Baraibar Argota, K. García Guevara
PDF

Si sospecho un mesotelioma pleural maligno, ¿Qué debo hacer?

Diana Carolina Cuellar Marquez, Jose Maria Fernandez Garcia-Hierro, Jose Federico Ojeda Esparza, Heidy Saenz Acuña, Juan Carlos Paniagua Escudero
PDF

MÁS ALLÁ DE LA PATOLOGIA INFECCIOSA: CONDENSACIONES PULMONARES ATÍPICAS

Emilio José Valbuena Durán, Luis Gijón De La Santa, José Antonio Pérez Retortillo, Lidia Nicolás Liza, Alfredo Joaquín Laguna, Arnaldo Javier Fernández Orué
PDF

DRENAJE VENOSO PULMONAR ANÓMALO TOTAL: DRENAJE VENOSO INFRADIAFRAGMÁTICO

Silvia Badillo Rodríguez-Portugal, Ignacio Pastor Abascal, Manuela López Azorín, Manuel Recio Rodriguez, Susana Linares González, Vicente Martínez De Vega
PDF

Difusión cardíaca: Técnica y aplicaciones clínicas.

Jordi Broncano Cabrero, Antonio Luna Alcalá, Javier Sánchez González, Pilar Caro Mateo
PDF

Enfermedades pulmonares quísticas múltiples: de la imagen al microscopio.

L. Ortega Molina, P. Caballero García, H. Gómez Herrero, K. García Guevara, P. Rodríguez De La Fuente, A. Burguete Moriones
PDF

Intervencionismo percutáneo torácico diagnóstico y terapéutico

Genaro López Milena, María Dolores García Roa, Eduardo Ruíz Carazo
PDF

Clasificación LU-RADS: Propuesta de Informe estandarizado para estudios de cribado de cáncer de pulmón.

Ana Utrera García De Salazar, Guillermo Gallardo Madueño, Daniella Gómez Campos
PDF

Variantes anatómicas vasculares torácicas en TC y RM : ¿normal o patológico?

Ana Utrera García De Salazar, Marta Tomás Mallebrera, Daniella Gómez Campos
PDF

El saco de mi corazón. Anatomia y patología del pericardio, estudio con RM.

M. Carmen Saborido Ávila, Marta Rodriguez Alvarez, Beatriz Nieto Baltar, Ana Maria Afonso Centeno
PDF

TUMORES BENIGNOS DE LA PARED TORACICA

Ana María Romero Marina, José Carlos Pérez Tejada, Celia Pérez Ramírez, Pablo López Ramírez, Laura Reyes Márquez, Carolina Méndez Lucena
PDF

Técnica de reducción de volumen pulmonar por broncoscopia (RPB): Hallazgos radiológicos y complicaciones frecuentes. Nuestra experiencia.

Ana Utrera Garcia De Salazar, Andrés Alcázar Peral, Guillermo Gallardo Madueño, Daniella Gómez Campos, Christian Escalona Huerta, Isabel Fernández Sobrino
PDF

Pseudoaneurismas postoperatorios en la raíz aorta, evaluación por técnicas de imagen avanzada.

Yesica Martínez Paredes, Luis Gonzalez Ramos, Andres Francisco Jiménez Sánchez, Juan Francisco Martínez Martínez, Daniel Rodríguez Sánchez, Francisco Sarabia Tirado
PDF

Cirugía de la aorta torácica . Técnicas quirúrgicas. Imagen mediante TCMD

Diego Mauricio Angulo Henao, Mercedes Rodriguez Romero, Laura Vidal Bonet, Beatriz Rodriguez Fisac, Juan Palmer Sancho, Jose Ignacio Saez De Ibarra Sanchez
PDF

Nuestra historia cardiovascular escrita con calcio: Calcificaciones cardiovasculares

Amaia Goienetxea Murgiondo, Ane Ugarte Nuño, Karmele Biurrun Mancisidor, Juan Vega Eraso, Ion Gurutz Esnal Andueza, Leire Calvo Apraiz
PDF

Algoritmo de actuación ante la cardiopatía isquémica en urgencias. ¿Cuándo incluimos el TCMD-coronario?. Proyecto MAPAC-Imagen.

Agustina Vicente Bártulos, Jesús Corres Gonzalez, Inés Pecharromán De Las Heras, Olga Sanz De León, Santiago Resano Pardo, Javier Zamora Romero
PDF

Signo del halo invertido en TC. Más allá de la neumonía organizada

Paula Roig Egea, Mercedes Rodriguez Romero, Beatriz Miriam Rodriguez Chikri, Sandra Liliana Barrero Varon, Rosalina Grau Sola, Josep Castell Aulet
PDF

Papel de los hallazgos extrapulmonares en el diagnóstico de la enfermedad pulmonar quística difusa.

Flavio Zuccarino, Angel Gayete Cara, Natalia Arenas Rivera, Marta Cufi Quintana, Anna Agusti Claramunt, Fernando Fernandez Alarza
PDF

Metástasis pulmonares alveolares: hallazgos radiológicos y correlación patológica.

Flavio Zuccarino, Fernando Fernandez Alarza, Marta Cufi' Quintana, Luis Del Carpio Bellido, Angel Gayete Cara, Lara Pijuan Andujar
PDF

HALLAZGOS CARDÍACOS EN PACIENTES CON ICTUS: LO QUE EL RADIÓLOGO DEBE TENER EN CUENTA.

Flavio Zuccarino, Santiago Medrano Martorell, Helena Tizon Marcos, MArta Cufi' Quintana, Angel Gayete Cara, Fernando Fernandez Alarza
PDF

HALLAZGOS RADIOLÓGICOS DE LA FIBROSIS MASIVA PROGRESIVA

Antonio Bueno Palomino, Celia López Redondo, Natalia Pérez Sánchez, Leandro Burgos Vigara
PDF

Enfermedad de Castleman: más allá de los gamuts de diagnóstico diferencial

Rebeca Sigüenza González, Nuria Andrés García, Eugenio Sahagún Salcedo, Margarita Rodriguez Velasco, María Rosa López Pedreira, Teresa Álvarez De Eulate García
PDF

TRATAMIENTO DE LA HEMOPTISIS MEDIANTE EMBOLIZACIÓN DE LAS ARTERIAS BRONQUIALES.

Macarena Sánchez-Carpintero De La Vega, Juan García Villanego, Eva-Marie Heursen, Alejandro García Muñoz, José Lope Garrido Rull
PDF

Anomalías congénitas de las venas torácicas: atención a las "normas de circulación"

Simona Espejo Pérez, Pedro Seguí Azpilcueta, Ana Belén Sanabria Gay, Esperanza Elias Cabot, Marta Blanco Negredo, Isabel Fernández López
PDF

El TCAR en las manifestaciones pulmonares de las enfermedades del tejido conectivo.

Lisbeth Valoyes Guerrero, Manuel Sarrias Guzmán, Carmen Alvarez Sanchez, María José Bengoechea Fajardo
PDF

Biomarcadores en imagen en Fibrosis Quística: correlación con pruebas funcionales respiratorias

JJ Delgado Moraleda, P Calvillo Batllés, A Alberich Bayarri, F García Castro, L González Montes
PDF

Mediastinitis Aguda: Hallazgos radiológicos en TC de tórax, ¿Cuáles son los más frecuentes según su etiología?

Nicolás Almeida Arostegui, Beatriz Alba Pérez, Manuel Vicente Redondo, Fernando González Tello, Blanca Lumbreras Fernández, Agustina Vicente Bártulos
PDF

Artefacto de respiración en TACAR: ¿por qué se produce y cómo puedo evitarlo?

Antonio Martínez Mansilla, Claudia Pinilla Rivas, Begoña Palomo Antequera, Elisabeth Trillo González, Lorena Revilla Gutiérrez, Rosa Yelena López Suarez
PDF

MAPAS DE YODO PULMONAR: ¿QUE APORTAN EN EL DIAGNOSTICO DEL TROMBOEMBOLISMO PULMONAR CRÓNICO? RESULTADOS PRELIMINARES

C. Oterino Serrano, M. I. Torres Sánchez, M. I. Pinilla Fernández, M. Fernández-Velilla Peña, E. Cuesta López, C. Fernández Capitán
PDF

UTILIDAD DE LA RESONANCIA MAGNÉTICA CARDIACA EN EL IAM CON CORONARIAS NORMALES

i. Pérez Caballero, L.M. Requena López, M. J. Barrera Rodriguez, A.B.P. Martínez Pérez
PDF

Infección Pulmonar Por Micobacterias Avium Complex (MAC) En Pacientes Inmunocompetente (PI): Sindrome De Lady Windermere (SLW): HALLAZGOS RADIOLÓGICOS:

Alejandra Doroteo Lobato, Rocio Carreño Gonzalez, Carmen Dolores Herrero Platero, Carmen De la Torre Valdivia, Juan Antonio García Gutiérrez
PDF

CARDIO-RM EN LOS SHUNTS CARDIACOS: VENTAJAS DE LA TÉCNICA 4D FLOW

Vicente Martínez de Vega, Ana Alvarez Vázquez, Manuel Recio Rodríguez, mAR Jiménez de La Peña, Javier Carrascoso Arranz
PDF

UTILIDAD PAAF-BAG PULMONAR CON AGUJA 19G

JUAN JOSE Egea Martinez, Javier Garramone Ramírez, Maria Alberola Marco
PDF

IMPACTO DEL EMPLEO DE UN NUEVO MODELO DE TOMOGRAFÍA COMPUTARIZADA EN LA DOSIS DE RADIACIÓN EN TC TORÁCICA. RESULTADOS PRELIMINARES EN UNA SERIE DE 29 PACIENTES

Catalina Andrea Duarte Obando, Juan Martínez Martínez, Antonio Boluda Sánchez, Elena García Garrigós, Marina Sirera Matilla, Juan José Arenas Jiménez
PDF

CRIBADO DE CÁNCER DE PULMÓN: EXPERIENCIA, RESULTADOS Y CORRELACIÓN CON EL RESTO DE ESTUDIOS EUROPEOS

Mª Eugenia Gil Pineda, Andrés Alcázar Peral, Carmelo Palacios Miras, Guillermo Gallardo Madueño, Olaya Fernández Nieto, Luis M. Seijo Maceiras
PDF

SIGNIFICADO DE LOS QUISTES AÉREOS EN LAS NEOPLASIAS DE PULMÓN

Elena Utrera Pérez, Carmen Trinidad López, Ana María Villanueva Campos, Claudia Jurado Basildo, Montserrat Novoa Ferro, Carlos Andrés , Sepúlveda Villegas
PDF

ESTUDIO POR RM CARDIACA (CRM) DE LAS CARDIOPATIAS CONGENITAS (CC) EN EL ADULTO

JUAN JOSE Egea Martinez, Javier Garramone Ramírez, Maria Alberola Marco, Jessica Sánchez Quiñones
PDF

Eficacia diagnóstica de la TC con contraste en la estadificación del cáncer de pulmón no microcítico tratado con cirugía

Claudia Jurado Basildo, Carmen Trinidad López, Elena Utrera Pérez, Ana Villanueva Campos, Montserrat Novoa Ferro, Andrés Sepúlveda
PDF

Eficacia diagnóstica de la TC con contraste y de la PET-TC en la estadificación ganglionar del cáncer de pulmón no microcítico

Claudia Jurado Basildo, Carmen Trinidad López, Elena Utrera Pérez, Ana Villanueva Campos, Jose Manuel Nogueiras Alonso, Montserrat Novoa Ferro
PDF

TOXICIDAD SISTÉMICA EN EL TRATAMIENTO INMUNOTERÁPICO CON NIVOLUMAB EN EL CÁNCER DE PULMÓN

Maria Mayoral Peñalva, Eva Castañer González, Marta Andreu Magarolas, Xavier Gallardo Cistare, Elsa Dalmau Portulas, V´íctor José de Pedro Ambrosio
PDF

UTILIDAD DE UN TAPÓN PLEURAL DE HIDROGEL EN LAS BIOPSIAS DE PULMÓN GUIADAS POR TC

Santiago F. Marco Doménech, Pilar Fernández García, Antonio Navarro Ballester, Manuel Cifria´n Pérez, Raúl Díaz-Usechi Laplaza, Rubén Ruiz Marco
PDF

ESTUDIO DE COSTE-EFECTIVIDAD SOBRE LA UTILIZACIÓN DE UN TAPÓN PLEURAL DE HIDROGEL EN LAS BIOPSIAS PULMONARES GUIADAS POR TC.

Santiago f. Marco Doménech, Pilar Fernández García, Antonio Navarro Ballester, María Victoria Ibáñez Gual, Miriam Carlavilla Pérez, María Angeles Escobar Valero
PDF

BIOPSIA PULMONAR CON AGUJA GRUESA: TÉCNICA SEGURA Y CON ALTO RENDIMIENTO DIAGNÓSTICO

Álvaro Alegre Castellanos,, Manuel Redondo Olmedilla, Leandro Jesús Delgado Escudero, Antonio Bueno Palomino
PDF

Enfermedad intersticial pulmonar: Beneficios de un programa de detección precoz.

Albert Dorca Duch, Pilar Dorca Duch, Patricio Luburich Hernaiz, Ariadna Conejero Olesti, María Molina Molina, Santiago Bolívas Cuevas
PDF

Síndrome antisintetasa, ¿Qué es? y ¿Por qué debemos conocerlo?

Francisco Pozo Piñón, Gerardo Blanco Rodríguez, Víctor Mora Cuesta, Jose Javier Gómez Román, Jose Antonio Parra Blanco
PDF

Fórmula de Navarro y Marco: Modelo predictivo clínico radiológico para el diagnóstico precoz de la tuberculosis pulmonar

A Navarro Ballester, SF Marco Doménech, P Fernández García, MV Ibáñez Gual, MR Moreno Muñox, B Gomila Sard
PDF

Implante de válvula aórtica transcatéter (TAVI): valoración de la raíz aórtica mediante TC y análisis retrospectivo del resultado clínico y las complicaciones secundarias al procedimiento

M. de Dios Lascuevas, J.J. Alarcón Rodríguez, B. García Moreno, C. Odene Cantero, C. Ballano Franco, M.L. Sánchez Alegre
PDF

Seguridad del empleo de regadenosón como fármaco vasodilatador en cardioRM de estrés

Gorka Bastarrika, Ana Ezponda, Alejandra García Baizan, Marta Calvo, Ignacio González de la Huebra, Jesús C. Pueyo
PDF

Evaluación del Proceso asistencial del cáncer de pulmón de células no pequeñas (CPCNP) en un Hospital de 2º nivel

Carmen Paz Martínez, María Luisa Lores Aguín, Cristina Azpitarte Raposeiras, Cristina Gómez Varela
PDF

¿Qué ocurre con los resultados no tumorales en la biopsia pulmonar?

Victor Fernández Lobo, Ana Belén Barba Arce, María Elena Peña Gómez, Gerardo Blanco Rodríguez, José Antonio Parra Blanco, Paula Gallego Ferrero
PDF

Elastofibroma dorsi. Aspectos epidemiológicos

Victor Fernández Lobo, Elena Gallardo Agromayor, Enrique Montes Figueroa, Yasmina Lamprecht, Irene Andrés Garcia, Paula Gallego Ferrero
PDF

¿Influye la obesidad en la prevalencia de los apéndices pleurales?

Alberto Villanueva Marcos, Sonia Ochoa Santos, Jon Etxano Cantera, Ana Villanueva Campos, Fiona Miller, Nishal Patel
PDF

DETECCIÓN PRECOZ DEL CÁNCER DE PULMÓN CON TC DUAL DE TERCERA GENERACIÓN efecto sobre la reproducibilidad del estudio y dosis de radiación

Marta Calvo Imirizaldu, Ana Ezponda Casajús, Loreto García del Barrio, Javier Larrache Latasa, Jesús Pueyo Villoslada, Gorka Bastarrika Alemañ
PDF

EL SELLADO DEL TRAYECTO DE LA AGUJA CON SUERO SALINO DESPUÉS DE UNA BIOPSIA PULMONAR DISMINUYE EL RIESGO DE NEUMOTÓRAX

Irene Vicente Zapata, Ana Sánchez González, Juana María Plasencia Martínez, Begoña Márquez Argente del Castillo, María Jesús Gayán Belmonte, Manuel Luis Rodríguez Rodríguez
PDF

FACTORES RELACIONADOS CON LAS COMPLICACIONES TRAS BIOPSIA PULMONAR GUIADA POR TOMOGRAFÍA COMPUTARIZADA (TC): ANÁLISIS RESTROSPECTIVO DE CASOS Y CONTROLES DE 112 PROCEDIMIENTOS

Irene Vicente Zapata, Ana Sánchez González, Juana María Plasencia Martínez, Begoña Márquez Argente del Castillo, María Jesús Gayán Belmonte, María Remedios Rodríguez Mondéjar
PDF

Seguridad y eficacia diagnóstica de la cardioRM de estrés con regadenosón para la detección de vasculopatía del injerto en pacientes con trasplante cardíaco

Gorka Bastarrika, Alejandra García Baizan, Ana Ezponda, Meylin Caballeros, Alberto Paternain, Gregorio Rábago
PDF

SENSIBILIDAD DE LA ECOGRAFÍA DOPPLER DE TRONCOS SUPRAAÓRTICOS EN EL DIAGNÓSTICO DE LA ESTENOSIS CAROTÍDEA AL COMPARAR CON LA ANGIOTOMOGRAFÍA: NUESTROS RESULTADOS EN 20 PACIENTES

Laura Díaz Rubia, Yolanda Núñez Delgado, Virginia Jiménez Coronel
PDF

El diablo está en los detalles: Factores predictivos en la TC de la disección aórtica

Hug Cuéllar Calàbria, Gemma Burcet Rodríguez, José Miguel Escudero Fernández, Albert Roque Pérez, Artur Evangelista Masip, Manel Escobar Amores
PDF

Disnea y elevación de DD: cuando el TEP no es la respuesta.

Inmaculada Avilés Vázquez, Luis Cueto Alvarez, Daniela de Araujo Martins-Romeo, Xaira María Cortés Sañudo, Rocío Soledad Estellés López, Paula García Rodríguez
PDF

Estrecho torácico superior. Puesta en valor de la ecografía Doppler Xaira

Xaira María Cortés Sañudo, Rocío Soledad Estelles López, Carmen Pérez Ramírez, Eugenia Rangel Villalobos, Inmaculada Avilés Vázquez, MAría Paula García Rodríguez
PDF

HEMOPTISIS FACTORES QUE INFLUYEN EN LA DECISIÓN TERAPEÚTICA

Alberto Jiménez Rodrigo, Áurea Díez Tascón, Alberto Borobia Pérez, María Jesús García Sánchez, Lucía Fernández Rodríguez, Milagros Martí De Gracia
PDF

P 1717: ESTUDIO MULTICÉNTRICO PROSPECTIVO PARA LA DETECCIÓN PRECOZ DE CARCINOMA PULMONAR EN PACIENTES CON INFECCIÓN POR VIH (ESTUDIO GESIDA 8815). RESULTADOS PRELIMINARES.

Tatiana Pirogova, Ana Bustos, Marta Moreno, Inmaculada Jarrín, Mª Isabel Torres, Mª Eulalia Valencia
PDF

AngioTC en el Implante Transcatéter de Válvula Aórtica: Clave en la evaluación del "landing zone" aórtico.

Daniela De Araujo Martins-Romeo, Rafael Ruiz Salmeron, Carlos Caparros Escudero, Fernando Mateo Carballo, Luis Cueto Alvarez, Amparo Rivera Dominguez
PDF

Autoevaluación diferida y anónima de estudiantes de sexto de medicina mediante radiotorax.es

Francisco Sendra Portero, Rocío Lorenzo Álvarez, María Cristina Teruel Garrido
PDF

Tromboembolia pulmonar. Correlación entre escalas predictoras, dímeros D y hallazgos radiológicos.

Adrià Esplugues Vidal, Jose María Royo Alonso, Renato Silva Drummond, Mario Negrini Moroux, Catherine Facenda Perez, Agustína Sánchez Garcia
PDF

Impresión 3D pre quirúrgica en tumores torácicos con modelos híbridos CT y RM: Cómo hacerlo paso a paso.

Jordi Broncano Cabrero, Antonio Luna Alcalá, Javier Sanchez Gonzalez, Lidia Alcala Mata, Paula Montesino Suarez De La Vega
PDF

Utilidad de la punción percutánea guiada por ultrasonidos en el diagnóstico y en la estadificación del cáncer de pulmón

Hugo De La Rosa Toro, Leticia Sanz Canalejas, Salomé Merino Menéndez, Beatriz Cabeza Martínez, Tomás Ganado Díaz, Ana Bustos García De Castro
PDF

T1 mapping en tumores torácicos: Experiencia inicial

Jordi Broncano Cabrero, Fernando Caro Mateo, MAria Jose Tienda Flores, Javier Sanchez Gonzalez, Pilar Caro Mateo, Antonio Luna Alcala
PDF

MORTALIDAD TARDÍA EN PACIENTES CON TROMBOEMBOLISMO PULMONAR AGUDO

María Luz Parra Gordo, Paloma Caballero Sánchez-Robles, Napoleón Pérez Farinós, Alfonsa Friera Reyes
PDF

FACTORES PRONÓSTICOS EN LA MORTALIDAD POR EMBOLISMO PULMONAR AGUDO

María Luz Parra Gordo, Paloma Caballero Sánchez-Robles, Napoleón Pérez Farinós, Alfonsa Friera Reyes
PDF

Comparación de los fármacos utilizados en Resonancia Magnética cardíaca con estrés

Oihana Peña Orcoyen, Andrea Setuain Muriel, Francisco Larrad Pérez, Joana Igal Villafranca, Amaya Sánchez Vega
PDF

RESECCIÓN INTRAOPERATORIA DE NÓDULOS PULMONARES SUBCENTIMÉTRICOS MEDIANTE INYECCIÓN DE RADIOTRAZADOR Y DETECCIÓN CON GAMMACÁMARA PORTÁTIL. RESULTADOS PRELIMINARES

I Vollmer, D Sánchez, M Boada, M Benegas, M Sánchez, P Paredes
PDF

Radiología vascular e intervencionismo

 

 

Fabricación y técnicas de punción tipo Seldinger en un fantoma vascular guiado por ecografía.

José Andrés Guirola Ortíz, Victoria Mayoral Campos, Jordi Bosch Melguizo, Miriam Sánchez Ballestín, Joaquín Medrano Peña, Miguel Ángel De Gregorio Ariza
PDF

Tratamiento de la hipertensión portal en pacientes con Vena Porta Indivisa mediante el uso de TIPS.

María Carolina Gutiérrez Ramírez, Antonio Capel Alemán, Antonio Ocete Ocete
PDF

CORRELACIÓN RADIOPATOLÓGICA DE LOS MÁRGENES TUMORALES DE LAS PIEZAS QUIRÚRGICAS TRAS TUMORECTOMÍA nuestra experiencia

Guadalupe Garrido Ruiz, Margarita González Fernández, Gem Díaz Córdoba, María Victoria Ortega Jiménez, Elena Pardo Susacasa
PDF

La gran olvidada la arteria carótida externa

María Carrillo García, José María García Santos, Milivoj Franulic Guggiana, Sandra Sánchez Jiménez, Ana Moreno Pastor, Alba Patricia Solano Romero
PDF

Ecografía Doppler de troncos supraaórticos: Guía práctica para residentes

Blanca Morón Rodríguez, Natividad Rebollo García, Olga Victoria Guerrero Mayor, Carlos Lozano Calero, Kenza Machan, Ana Villar Puertas
PDF

VARIANTES ANATÓMICAS DE LOS GRANDES VASOS EN LA TOMOGRAFÍA COMPUTERIZADA MULTIDETECTOR

Beatriz Romera Barroso, Elena Garcia Garrrigos, Juan Arenas Jimenez, Carlos Dominguez Rodriguez, Brenda Melero Romero, Diana Cañón Murillo
PDF

Transposición de grandes vasos. Técnicas de corrección quirúrgica. Utilidad de la RM en el seguimiento.

María Rodríguez Eiriz, Margalida Pons Perelló, Sandra Liliana Barrero Varon, Eva Regina Amador González, Beatriz Miriam Rodríguez Chikri, Mercedes Rodríguez Romero
PDF

Papel de la PET-RM con F-Colina en la estadificación y evaluación de la recidiva bioquímica del cáncer de próstata.

Virginia Pérez Dueñas, Lina Garcia Cañamaque, Marjorie Garcerant Tafur, Laura Arrieta Larraz, Maria Allona Krauel
PDF

TRATAMIENTO ENDOVASCULAR DE ENDOLEAKS DE PRÓTESIS DE AORTA.

Alejandro Ramiro Cueva, Leticia Lopez Arellano, Juan Jurado Serrano
PDF

Utilidad de una nueva técnica de ablación Láser percutánea en el tratamiento de nódulos tiroideos benignos: The Light and Flight Technique.

Mattia Squarcia Podestá, Daniel Vas, Felicia Alexandra Hanzu, Mireia Mora Porta, Irene Halperin Rabinovic
PDF

UTILIDAD DE LA ANGIOGRAFÍA POR RM DE ALTA RESOLUCIÓN TEMPORAL (TWIST) EN LA VALORACIÓN DE LA PATOLOGÍA ARTERIAL PERIFÉRICA DE MIEMBROS INFERIORES.

Alvaro Alegre Castellanos, Manuel Redondo Omedilla, Jesús Delgado Escudero, Jose Garcia Garcia,, Eduardo Maza Montero
PDF

Complicaciones hemorrágicas tras tratamiento trombolítico intravenoso y/o intraarterial en el tratamiento del ictus.

Pedro Blas García Jurado, María Eugenia Pérez Montilla, Mª Dolores Bautista Rodríguez, Mª Isabel Bravo Rey, Roberto Valverde Moyano, Fco. De Asís Bravo-Rodríguez
PDF

LA ZONA ÁCIGOS

David José Petite Felipe, Isabel Rivera Campos, Victoria Cuartero Revilla, María Hernandez Guilabert, Enrique Adolfo Van Den Brule Rodriguez De Medina
PDF

ABLACIÓN PERCUTANEA DE NÓDULOS HEPÁTICOS DIFICILES DE TRATAR ¿VERDADERAMENTE DIFICIL?

Aleksandar Radosevic, Juan Sanchez Parilla, Fernando Bazan Asencios, Jose Maria Maiques Llacer, Jose Ignacio Poves Prim, Fernando Burdio Pinilla
PDF

Trombectomía mecánica primaria en el ictus isquémico agudo de vaso grande. Motivos de la selección de pacientes.

Blanca Garcia-Villalba Navaridas, Mariano Espinosa De Rueda Ruiz, Giorgio Barbieri X, Joaquín Zamarro Parra, Estefania Garcia Molina
PDF

Un Nuevo Enfoque Del Complejo Morton: Tratamiento Percutaneo De La Fibrosis Intermetatarsiana.

Leire Atilano Santos, Veronica Garcia De Pereda De Blas, Maria Berastegui Imaz, Iñaki Martin Gomez, Isabel Andia Ortiz
PDF

Contrastes Yodados Intravenosos. Lo Que El Radiólogo Debe Saber Sobre Sus Reacciones Adversas Y Tratamiento Urgente.

María Lucía Bermá Gascón, Victoria Romero Laguna, Eva García Carrasco, José Antonio Villalobos Martín, Carmen Leiva Vera, Tania Díaz Antonio
PDF

Propiedades de los agentes de embolización a partir de casos prácticos.

Carlos Gómez Zaragoza, José Ramón Fortuño Andrés, Eva Criado Paredes, Joan Falco Fages, Carlota Cano Rodríguez, María Magdalena Serra Salas
PDF

TIPS PARTICULARES PARA CASOS NO HABITUALES.

Rebeca Pintado Garrido, Elena Villacastín Ruíz, Hermógenes Calero Aguilar, Antonio Ginés Santiago, Mariola Hernández Herrero, Enrique Asensio Díaz
PDF

Utilidad de la angiografía 3D en la circulación posterior

Irene García Pastor, Brenda Melero Romero, Dolores Lora Jiménez, Alberto Quirce Vázquez, Xabier Manso Del Caño, Federico Ballenilla Marco
PDF

¿INFARTOS TALÁMICOS BILATERALES, DOCTOR PERCHERON?

Sara Lojo Lendoiro, Rocio Castañón Martínez, Marta Gallego Riol, Eduardo Herrero Carretero, Mercedes Leal Cala, Raquel Esteban Saiz
PDF

Disfunción de las fístulas arteriovenosas para hemodíalisis: Diagnóstico por TC

Ana María Vargas Díaz, Jacinto Grasa Díaz, Marta Lobo Garcia, Cristina Fernandez Rey, Javier Pereda Rodriguez
PDF

CTA de coronarias, una alternativa a la coronariografía invasiva en pacientes pre-cirugía cardiaca.

Pablo Naval Baudín, Gerard Roura Ferrer, Joana Valcárcel José, Albert Dorca Duch, Elena Carreño García, Francisca Martínez Torrens
PDF

ABLACIÓN CON MICROONDAS DE LESIONES TUMORALES GUIADA CON ECOGRAFÍA: NUESTRA EXPERIENCIA INICIAL.

María José Fernández Bermúdez, Luis Alberto Domitrovic, Constanza Tórrez Villarroel, Teresa Domínguez Cejas, Ana María Fernández Martínez, Victoriano Martínez Valderrábano
PDF

Malformación vascular venosa cervical en las diferentes técnicas de imagen

Cristina González Huerta, Cecilia Quispe Leon, Mar Pérez-Peña Llano, Irene Gutierrez Pérez, Elena Guerra Barrio, Sana Shehadeh X
PDF

Contrastes intravenosos yodados y nefropatía inducida por contraste. Lo que el radiólogo debe conocer.

Ana Milena Muñoz, Inmaculada Concepción Valero Rosa, Carmen Martínez Huertas, Rocío Martín Mellado, Paloma García-Villanova Ruiz, Francisco Ramirez Garrido
PDF

Endofugas en Prótesis Endovasculares de Aneurismas de Aorta Abdominal: caracterización y detección mediante TC.

Macarena Eisman Hidalgo, Yolanda Nuñez Delgado, María Ángeles Valero Gonzalez, Carmen Martinez Huertas, Inmaculada Concepción Valero Rosa
PDF

DIFERENTES MODALIDADES DE TRATAMIENTO ENDOVASCULAR PARA ANEURISMAS Y MALFORMACIONES RENALES

Maria Eugenia Pérez Montilla, Sagrario Lombardo Galera, Juan Jose Espejo Herrero, Luis Zurera Tendero
PDF

“Hallazgos radiológicos de la aortitis y alteraciones que pueden acompañarlas”

Lucía Fernández Rodríguez, Inmaculada Pinilla Fernández, Alfonso Martín Díaz, Alicia Linares Beltrán, Juan Jose Rios Blanco, Isabel Torres Sanchez
PDF

Indicaciones, resultados y beneficios en la toma de decisiones de la medición del gradiente de presión venoso hepático

José Pablo León Salinas, María Dolores Ferrer Puchol, Ernesto Fernandez Torvisco, Gemma Pacheco Del Río, Enrique Esteban Hernández, Raquel Ramiro Gandía
PDF

SELECCIÓN DE PACIENTES MEDIANTE IMAGEN MULTIMODAL. REQUISITOS PREVIOS PARA UN TRATAMIENTO ENDOVASCULAR DEL ICTUS ISQUÉMICO AGUDO CON EFICACIA Y SEGURIDAD.

Eduardo Fandiño Benito, José Carlos Méndez Cendón, Javier García Poza, Daniel Lourido García, Juan Salvador Martínez San Millán
PDF

Angiomiolipomas renales: cuándo, cómo y con qué embolizar

Alfonso Ruiz Guanter, Elena Lonjedo Vicent, Elisabetta Casula, Jorge Gómez Valdés
PDF

HACIA UN MODELO DE INFORME ESTANDARIZADO EN LA EVALUACION DOPPLER DEL ACCESO VASCULAR

Miguel Angel Zarca Diaz De La Espina
PDF

EMBOLIZACIÓN PERCUTÁNEA CON ONYX POR PUNCION DIRECTA DE TUMORES HIPERVASCULARES EN LA REGIÓN CERVICAL

Cristina Del Pilar Liberato Cano, Juan García Villanego, Alejandro Pérez Martín
PDF PDF

ESCENARIOS HABITUALES DE EMBOLIZACIÓN RENAL

Elena Villacastín Ruiz, Rebeca Pintado Garrido, Hermógenes Calero Aguilar, Antonio Ginés Santiago, Manuel Fajardo Puentes, Sara Plaza Loma
PDF

Variantes de la normalidad en la vascularización hepática

Roberto Fornell Pérez, Alvaro Lozano Rodríguez, Patricia Alemán Flores, Jano Rubio García
PDF

TERAPIA DE EMBOLIZACIÓN ARTERIAL RENAL: REVISIÓN DE PROCEDIMIENTOS ENDOVASCULARES

Gemma Sempere Campello, María Dolores Ferrer Puchol, Esther Taberner López, Enrique Esteban Hernández, Raquel Ramiro Gandia
PDF

Complicaciones del Bypass Aórtico.

Verónica Gamero Medina, Monica Orgaz Alvarez, María Fernanda Cedeño Poveda, John Jairo Bautista Castro, Jorge Cobos Alonso
PDF

Hallazgos por TCMD de las distintas anomalías congénitas de la Vena Cava Inferior

Danyelle Sánchez Paré, Ana María Lopez Moreno, Luis Fernández Prudencio, Clara Rodriguez Godoy, Elena Esteban Duran, Laura Laso Ramirez
PDF

PAAF guiada por ecografía. Estudio retrospectivo de resultados. Serie de 627 pacientes.

Álvaro Gómez Trujillo, Cristina Cristos Álvaro, Laura García Del Salto Lorente, Marcos Manzano Paradela, Patricia Fraga Rivas
PDF

VASCULARIZACION ARTERIAL RENAL. REVISION DE LAS VARIANTES ANATOMICAS Y SUS RELEVANCIA DE CARA A PLANIFICACIONES TERAPEUTICAS ENDOVASCULARES

Antonio Lorenzo Gorriz, Valentina Troconis Vaamonde, Laura Grimalt Garcia, Eva Casanovas Feliu, Iliana Romero Batista, Carola Rocafuerte Avila
PDF

OPCIONES TERAPEUTICAS EN PSEUDOANEURISMAS

Marcelo Rengel Ruíz, Marcelo Sanchis Garcia, Rocio Gil Viana, Susani Flores Casaperalta, Juan Jose Pomares Pomares, Alvaro Pesquera Muñoz
PDF

"MALFORMACIONES VASCULARES DE LOS TEJIDOS BLANDOS: GUÍA PRÁCTICA DE DIAGNÓSTICO ECOGRÁFICO Y QUÉ ESPERA EL CLÍNICO ENCONTRAR EN NUESTROS INFORMES"

Macarena Sánchez-Carpintero De La Vega, Amado Rodríguez Benítez, Juan García Villanego, María Del Rosario Campos Arenas, Marina Sánchez-Porro Del Río, Teresa Guijo Hernández
PDF

Shock hemorrágico por rotura de psudoaneurisma visceral: una urgencia susceptible de tratamiento endovascular

Nerea García Garai, Jose Javier Echevarría Uraga, Elena Ingunza Loizaga, Gorka Del Cura Allende, Ainhoa Telleria Bajo, Jose Luis Miguelez Vidales
PDF

LA RESISTENCIA EN LA BATALLA TERAPEUTICA PERCUTÁNEA CONTRA LOS LINFANGIOMAS: ANALISIS DEL NÚMERO DE SESIONES Y ÉXITO EN FUNCIÓN DEL ESCLEROSANTE EMPLEADO.

Virginia Navarro Cutillas, Carmen Gallego Herrero, María Eunate Martí Carrera, Jesús Vicente Redondo Serrano, Carlos Fernández Cabrera, Carmelo Serrano Hernández
PDF

REVISIÓN DE VARIANTES CONGÉNITAS Y PROCESOS PATOLÓGICOS DE LA VENA CAVA INFERIOR.

Jorge Galván Fernández, Maria Isabel Jimenez Cuenca, Santiago Perez Fernández, Antonio Hermosín Peña, Rebeca Sigüenza Gonzalez, Reyes Petruzzella Lacave
PDF

La disección de aorta. El tiempo apremia

Alejandro José García Muñoz, José Lope Garrido Rull, Daniel Rodríguez Vargas, Andrés Francisco García Gámez
PDF

Trombosis esplenoportal: revisión en imágenes.

Ana Begoña Valentín Martín, Jesús Julián Cortés Vela, Rocío Lerma Ortega, Juan Carlos García Nieto, María Carmen Madrid Muñiz, Javier Gozález Spínola
PDF

HIPERTENSION VENOSA RENAL. EVALUACIÓN ECOGRÁFICA DEL SÍNDROME DEL CASCANUECES

Víctor Moreno Ballester, Eugenio Sánchez Aparisi, María Teresa Lloret Martí, Elsa Alonso Muñoz, Rául Mut Pons, Ana Miralles Torres
PDF

Lesiones vasculares y viscerales graves en el paciente politraumatizado.

Diego Mauricio Angulo Henao, Beatriz Miriam Rodríguez Chikri, Margarita Palmer Sans, Beatriz Rodriguez Fisac, Paula Roig Egea, Margalida Pons Perelló
PDF

“Anatomía y patología venosa intrahepática. Lo que el radiólogo debería conocer.”

Lourdes Hernández Muñoz, María Antonia Godoy López, María Esther Blanco López, Isabel Belda González, Vilbrum Jean Pierre, Javier Gómez Hernández
PDF

Aortitis: Características generales, etiología y tipos, hallazgos radiológicos y errores de interpretación.

Aritz De La Fuente Gaztañaga, Leticia Mugica Alvarez, Jenny Catalina Correo Zapata, Guillermo Gonzalez Zapico, Esther Gorostiza Bermejo
PDF

Revisión de los Hallazgos Radiológicos y el Contexto Clínico de la Trombosis de Venas Pulmonares

Shelagh Dyer Hartnett, Carmen Parra Fariñas, Diego Varona Porres, Oscar Persiva Morenza, Esther Pallisa Nuñez, Jordi Andreu Soriano
PDF

SÍNDROMES DE COMPRESIÓN VASCULAR ABDOMINOPÉLVICOS (SCVA): CLAVES DIAGNÓSTICAS

Esther Blanco Pérez, Andrea Llavata Solaz, Miquel Forment Navarro, Almudena Vera Gonzalez, Verónica Ricart Selma, Raul Sánchez Jurado
PDF

Manejo terapeútico de la patología obstructiva de la vía biliar en una sala de radiología intervencionista

Silvia Bermúdez Sánchez, Teresa Moreno Sánchez, Florian Moreno Rodriguez
PDF

Conceptos clave para la realización de cartografía venosa en pacientes con insuficiencia venosa crónica

Cristina Gómez De Las Heras, María Fátima Ramos Solís, Patricia Mármol Vázquez, Mercedes García Carriazo
PDF

MEDIOLISIS ARTERIAL SEGMENTARIA: ¿Cuándo debemos tenerla en cuenta?

Almudena Quílez Larragán, Paula García Barquín, Pablo Bartolomé Leal, Jose Ignacio Bilbao Jaureguizar, Isabel Vivas Perez
PDF

Ecografía Doppler en las complicaciones de los accesos vasculares periféricos: más útil de lo que creías

Elena Martínez Carapeto, Ángel Sánchez Guerrero, Ana Plá Romero, Vanessa S. Terán Pareja, Virginia Navarro Cutillas
PDF

Intervencionismo en muñeca y mano. Quitando el miedo a la aguja

Miguel Arturo Schüller Arteaga, José Luis Del Cura Rodríguez, Rosa Zabala Landa, Igone Korta Gomez, Lander Antón Mendez, Clara Morandeira Arrizabalaga
PDF

Aportación del Xpert CT en el muestreo de venas suprarrenales en pacientes con hiperaldosteronismo primario

Maria Lourdes Díaz Dorronsoro, Marina Pardina Solano, Dolores González Campos
PDF

Trombectomía mecánica con sistema ANGIOJET en pacientes con oclusión de Bypass en miembros inferiores.

Ignacio David Domínguez Paillacho, Luis Zurera Tendero, Pedro Blas García Jurado, Jorge Mario Sanstoque Gomez, Juan Jose Espejo Herrero, María Eugenia Pérez Mont
PDF

Adquisición con pitch alto en estudios preablación de venas pulmonares: Efecto en la dosis de radiación y cantidad de contraste

Gorka Bastarrika, Marta Calvo, Ana Ezponda, Alejandra García Baizan, PAtricia Malmierca, Jesús C. Pueyo
PDF

MEJORA EN LA CALIDAD DE LA PRACTICA EN TC DE ARTERIAS PULMONARES UTILIZANDO UN PROGRAMA PARA EL REGISTRO Y PERSONALIZACION DE LA DOSIS DE CONTRASTE.

Elena Díaz Alonso, Mª Regina Díaz BoiLes, Mª Nieves García Rodríguez, Elvira Fernández Martínez, Mónica Vilela Gafo, Mª Del Mar Pérez-Peña
PDF

EFICACIA DE LA EMBOLIZACIÓN SELECTIVA Y SUPRASELECTIVA EN PACIENTES CON HEMATURIA PERSISTENTE. SERIE DE 44 CASOS

Electra Eduina Hernández Santana, David Balaguer Paniagua, Virgili Benito Santamaría, Gerardo Tovar Felice, Jaume Sampere Moragues, Andrés García Gámez
PDF

Perfil clínico y complicaciones usuales en usuarios de cateter PICC

Julio Cesar Rivera Mata, Jenny Soraya Cardenas Herraán, Jelena Vucetic, Rebeca Miron Mombiela, Amalia Talens Ferrando
PDF

MACAARET (MULTICENTER RETROSPECTIVE REGISTRY OF ANTERIOR COMMUNICATING ARTERY ANEURYSMS WITH ENDOVASCULAR THERAPY) ESTUDIO DE SEGURIDAD Y EFICACIA TENIENDO EN CUENTA LAS CARACTERÍSTICAS MORFOLÓGICAS DE LOS ANEURISMAS DE ARTERIA COMUNICANTE ANTERIOR.

Mariano Facundo Werner Reyes, Federico Xavier Zarco Contreras, Fernando Delgado Acosta, Santiago Rosati, Alejandro González García, Antonio López-Rueda
PDF

La ecografía Doppler en la aproximación diagnóstica de síndromes de compresión vascular

Rocío Soledad Estelles López, Eugenia Rangel Villalobos, Xaira María Cortés Sañudo, Carmen Pérez Ramírez, Inmaculada Avilés Vázquez, María Paula García Rodríguez
PDF

La Utilidad de la Angio TC en la Evaluación de las Fístulas de Hemodiálisis.

Nerses Nersesyan, Juan Manuel Sanchís García, Marcelo Rengel Ruiz, Cecilia Rubio Maicas, Antoni Bosca Ramon, Lautaro Meneses Vega
PDF

Sangrado activo espontáneo: ¿Qué influye en la decisión terapéutica?

María Jesús García Sánchez, Joaquín Morán Marsili, Aurea Díez Tascón, Alberto Borobia Pérez, Alberto Jiménez Rodrigo, Milagros Martí De Gracia
PDF

EMBOLIZACIÓN ESPLÉNICA PARCIAL EN EL TRATAMIENTO DE LA TROMBOCITOPENIA SECUNDARIA A HIPERESPLENISMO: CONSIDERACIONES TÉCNICAS, POSIBLES COMPLICACIONES Y EVALUACION DE RESULTADOS

Álvaro Alegre Castellanos, Manuel Redondo Olmedilla, Sebastián Urbano Catarain, Leandro Jesús Delgado Escudero, Eduardo Maza Montero
PDF PDF

Sedación y analgesia en la sala de intervencionismo: Aplicación de la guía clínica de la SERVEI. Puntos fuertes y debilidades.

Lourdes Díaz Dorronsoro, Renato Silva Drummond, Marina Asunción Pardina Solano, Adrià Esplugues Vidal, Mario Roberto Negrini Morux, Catherine Facenda Perez
PDF

ABLACIÓN PERCUTÁNEA POR RADIOFRECUENCIA DE NÓDULOS TIROIDEOS BENIGNOS

Claudia CARACELA ZEBALLOS
PDF

BAAF Una nueva forma de biopsiar lesiones pequeñas en sitios comprometidos

Alba Antón Jiménez, Ema Andra Moraru, Xavier Serres-Créixams, Richard Mast Vilaseca, Carolina Montealegre Angarita, Juan Halaburda Berni
PDF

El uso de un app. móvil Simulador Quirúrgico en guía coaxial de procedimientos intervencionistas en Biopsias Guiadas con TAC

Juan L. Calabia Del Campo, Carlos Alberola Lopez, Rodrigo De Luis Garcia, Marcos Martin Fernandez, Daniel Treceño Fernandez
PDF

Impresión 3D de modelos arteriales hepáticos huecos a partir de archivos DICOM

Alberto Lanuza Carnicer, Rodrigo Ortega Pérez, César Urtasun Iriarte, Ander Larrea Iñarra
PDF

 

Contacta con nosotros

Contacta con nosotros mediante este formulario.
Contestaremos tus dudas lo antes posible.

SERAM

C/ Alcalá, 135 1º | 28009 – Madrid

+ 34 91 575 26 13

secretaria@seram.es

Aviso legal

Política de privacidad

Política de cookies